Key Points
- ▪
The single most important role of chest radiography in valvular disease is to establish or document the presence of heart failure.
- ▪
The different valvular lesions reveal themselves through their respective influence on chamber dilation that is specific to the disorder.
Acquired Valvulopathies
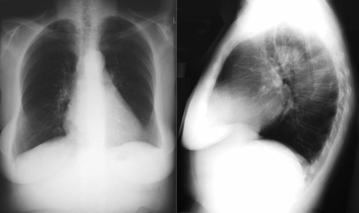
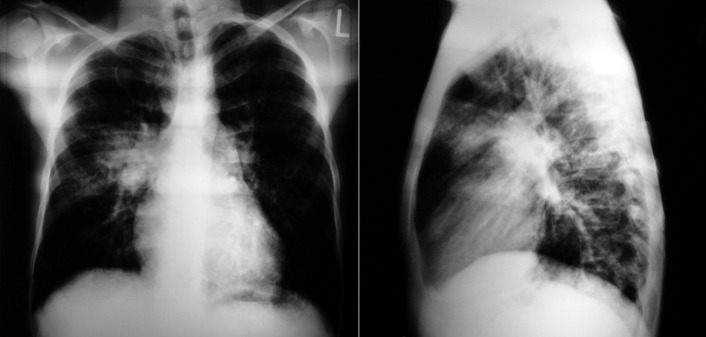
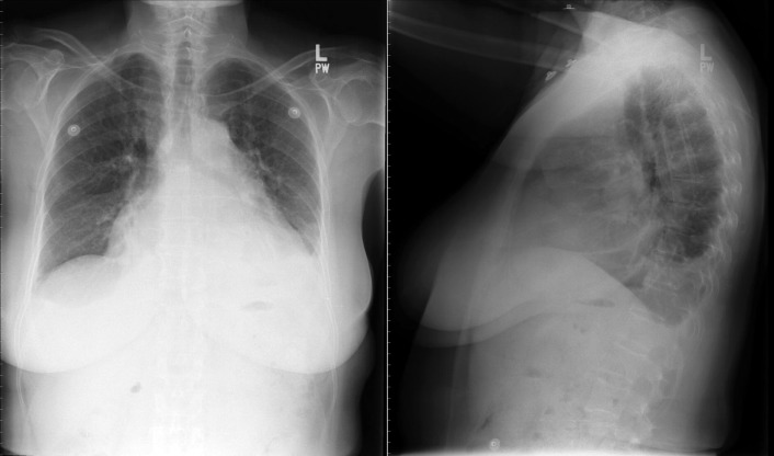
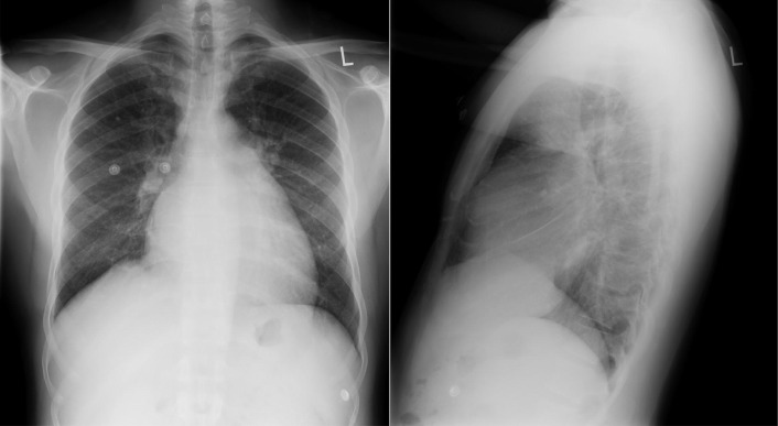
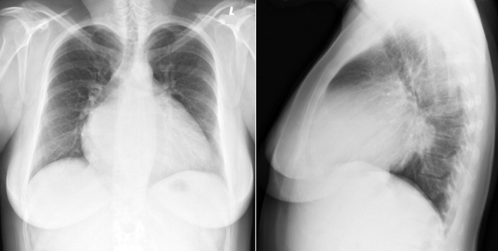
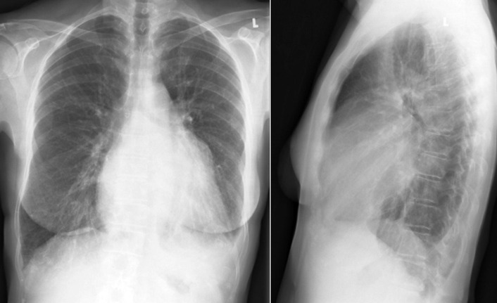
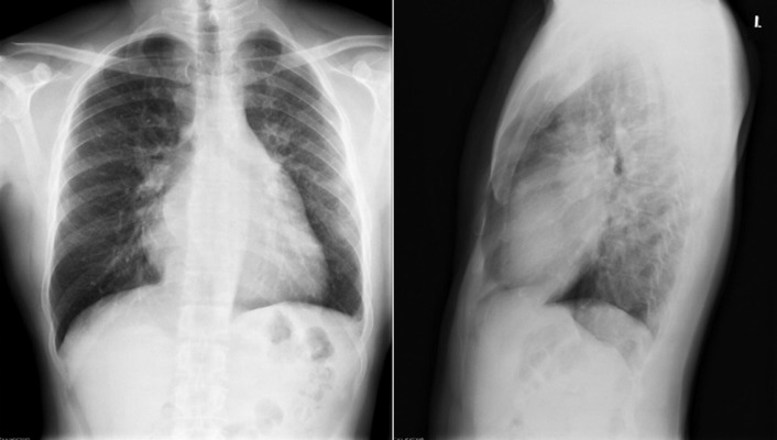
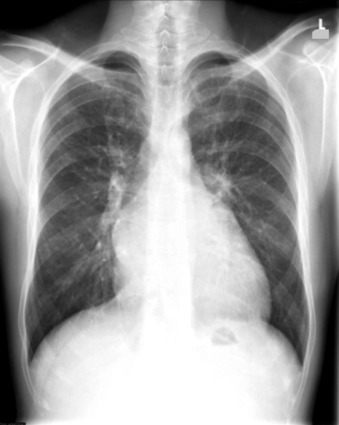
Mitral Stenosis
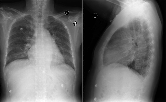
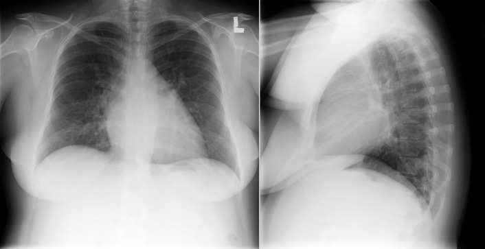
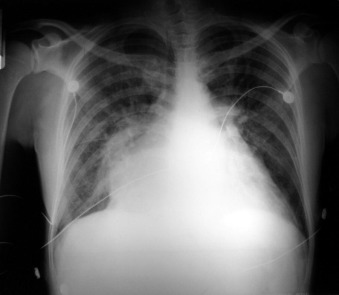
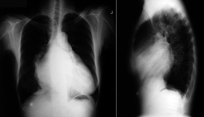
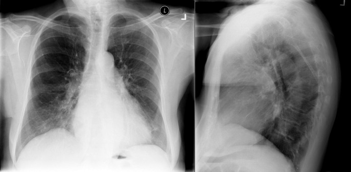
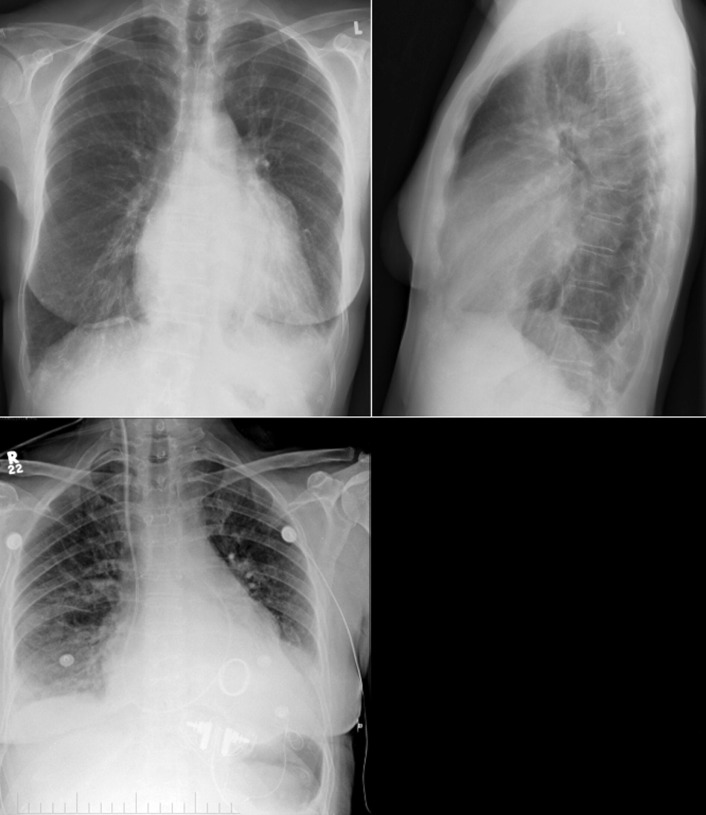
The radiographic findings of mitral stenosis ( Graphic 15-1 ; Figs. 15-1 to 15-16 ) reflect the pressure overload of the left atrium and pulmonary veins, and later of the right heart. As well, the commonly associated chronic atrial fibrillation contributes to (bi)atrial dilation. Associated rheumatic valvular lesions such as mitral regurgitation, tricuspid regurgitation, aortic insufficiency, and aortic stenosis/aortic insufficiency are common, and they alter the appearance of the heart.























