Key Points
- ▪
Chest radiography in the context of cardiomyopathies is an important means by which to incrementally increase the sensitivity and specificity of determination of the presence of, particularly, cardiomegaly associated left-sided heart failure.
- ▪
The chest radiographic appearance of the different forms of cardiomyopathy is established by the expected enlargement of specific chambers (dilated cardiomyopathy: all chambers; hypertrophic cardiomyopathy: left atrium; and restrictive cardiomyopathy: both atria), and the relative amounts of expected left (hypertrophic cardiomyopathy) versus biventricular failure (dilated cardiomyopathy, restrictive cardiomyopathy).
Acquired Myopathies
Hypertrophic Cardiomyopathy
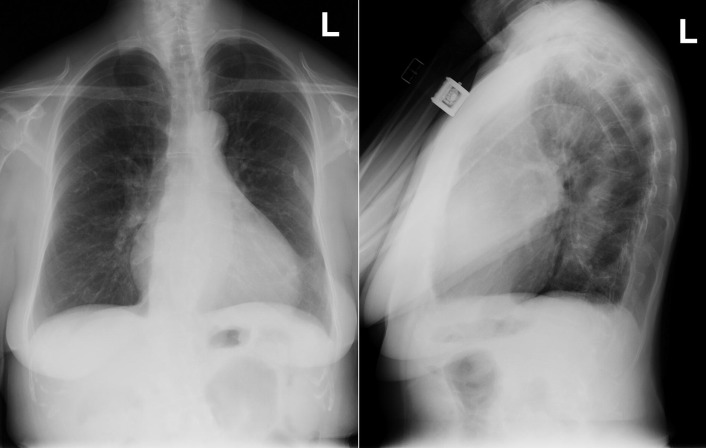
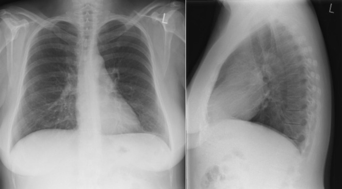
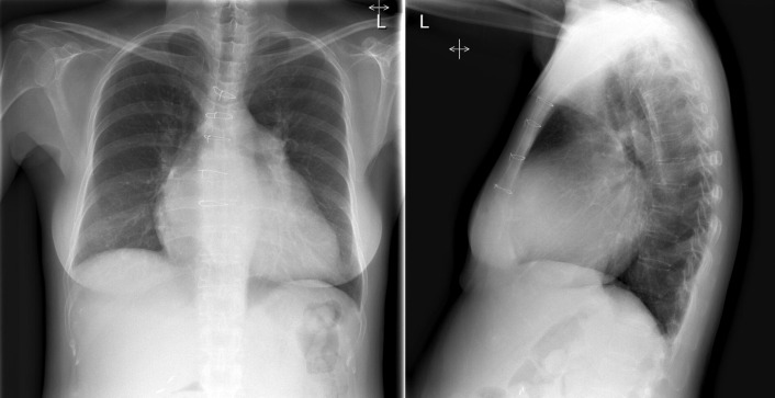
Enlargement of the left atrium is present in the majority of cases of hypertrophic cardiomyopathy ( Figs 14-1 to 14-4 ). Left atrial enlargement is greater in patients with hypertrophic cardiomyopathy when there is concurrent mitral insufficiency. The degree of left ventricular enlargement is variable but is usually mild and consistent with left ventricular hypertrophy. About 50% of cases have cardiomegaly, usually mild to moderate. Mitral annular calcification is common.









