Key Point
- ▪
Chest radiography is an invaluable tool for determining the location and potential complications of various tubes and drains.
Endotracheal Tube
Because correct positioning of the endotracheal (ET) tube is of such major clinical importance, there is a radiopaque stripe along the length of the tube to facilitate visualization. The other aspect of the ET tube that is easily visualized is the air cuff, which confers a rounded lucency several centimeters proximal to the tip. The ideal position of the tip of the ET tube is 5 cm proximal to the carina, so that the balloon cuff is safely beyond the vocal chords and the tip is safely away from the carina. The position of the tip of the ET tube is dependent on the position of the chin/neck and varies by about 2 cm, depending on the amount of flexion/extension of the neck, and by up to 1 cm, depending on the rotation of the neck ( Table 25-1 ).
| Neck Position | Inferior border of mandible | Distance from carina (cm) |
|---|---|---|
| Extension | At or below C4 vertebra | 7 ± 2 |
| Neutral | At C5 or C6 vertebra | 5 ± 2 |
| Flexion | At or below T1 vertebra | 3 ± 2 |
Therefore, the tip of the ET tube should be at least 2 cm proximal to the carina. Overinsertion of the ET tube may selectively intubate the right mainstem bronchus with the risk of overinflating the right lung and hypoventilating the left lung.
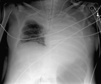
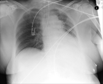
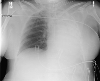
Complications of Endotracheal Intubation
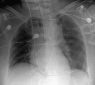
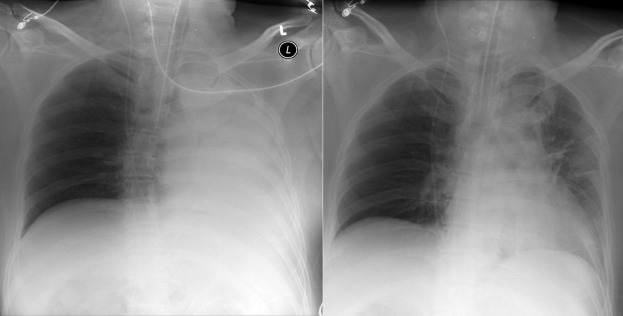
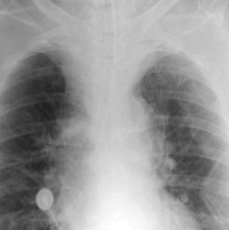
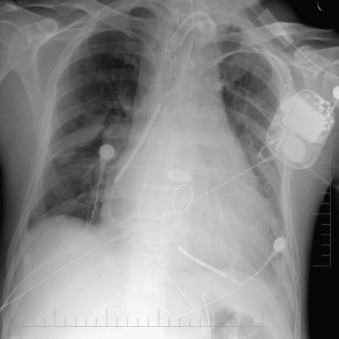
Complications of intubation ( Figs. 25-1 to 25-10 ) and ventilation that are apparent on a chest radiograph are often potentially life-threatening and should be excluded on every radiograph, both immediately following intubation and with each subsequent radiograph. These possibilities are listed in the following sections.










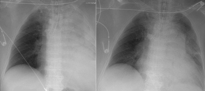
Right Mainstem Bronchus Intubation
- □
Location of the tip of the ET tube
- □
Possible overinflation of the right lung
- □
Possible volume loss of the left lung
Bronchus Intermedius Intubation
(This involves deep intubation of the right mainstem bronchus with the tip beyond the take-off of the upper lobe bronchi.)
- □
Location of the tip of the ET tube
- □
Possible volume loss of the right upper lobe
- □
Possible overinflation of the right lower and middle lobes
- □
Possible volume loss of the left lung
Barotrauma
- □
Pneumothorax
- □
Pneumomediastinum
- □
Pneumopericardium
- □
Subcutaneous emphysema
Hypopharyngeal Tear (Traumatic Intubation)
- □
Subcutaneous emphysema of the neck
- □
Possible pneumomediastinum
- □
Pneumothorax
Esophageal Intubation
- □
Distension of esophagus and stomach with air
- □
Location of ET tube to the side of the trachea
Cuff Overinflation
- □
The walls of the trachea should not be distended outward by the cuff. Distension is overinflation.
- □
Width of the ET tube two thirds of the width of the trachea
Stay updated, free articles. Join our Telegram channel
Full access? Get Clinical Tree





