Key Points
- ▪
Chest radiography has a standard role to assess for the position of central venous lines and pulmonary artery catheters following their insertion.
- ▪
Some postinsertion complications can be identified or excluded by chest radiography.
Determining malposition of catheters and tubes constitutes a forte of chest radiography and is mandatory following their insertion and repositioning.
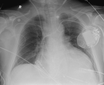
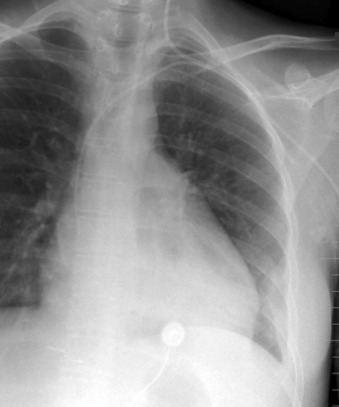
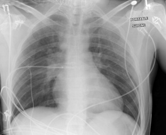
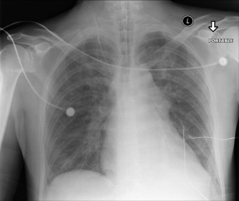
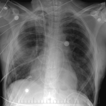
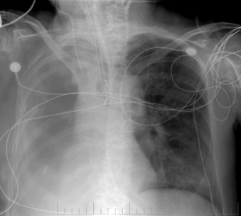
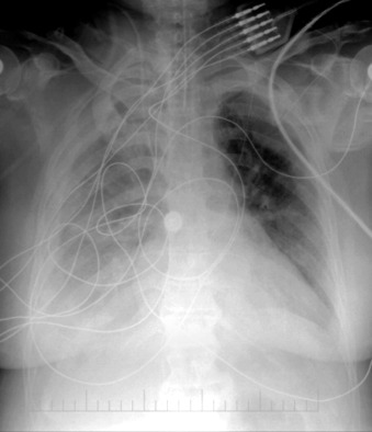
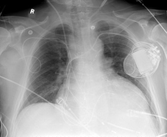
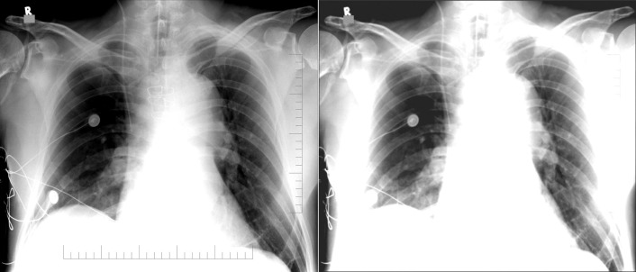
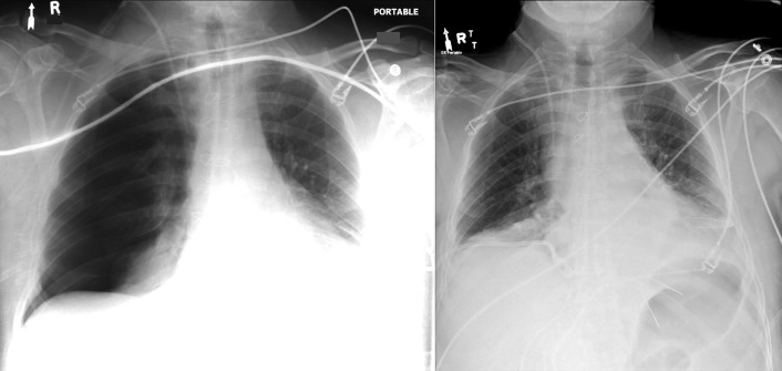
Central Venous Lines ( Figs. 22-1 to 22-13 )
To avoid mechanical irritation (from the catheter tip) and chemical irritation (from infusate) of the right atrium, the catheter tip of a central venous line should be further than the junction of the internal jugular vein and subclavian veins (near the level of the first thoracic rib). In addition, the tip should not be further in than the junction of the superior vena cava and right atrium. Central venous catheters that are intended to record central venous pressure should lie distal to the last venous valves (in the subclavian and internal jugular veins, 2.5 cm proximal to the beginning of the brachiocephalic vein) and before the right atrium. The ideal position of the tip of a peripherally inserted central catheter (PICC) line is in the distal superior vena cava.

















