Key Points
Congenital heart disease: other lesions
- ▪
Ebstein’s anomaly
- ▪
Cleft mitral valve
- ▪
Ebstein’s Anomaly
See Figures 21-1 to 21-9 . Possible findings are discussed in the following sections.

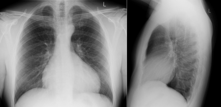
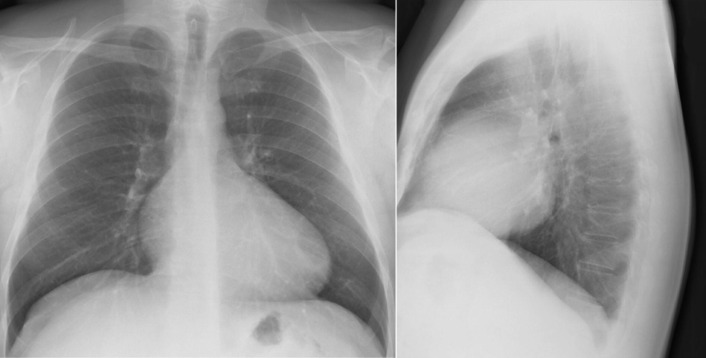
Ebstein’s anomaly. There is cardiomegaly with prominence of the right heart chambers. The appearance of the main pulmonary artery is small.

Ebstein’s anomaly. There is cardiomegaly with prominence of the right heart chambers. The appearance of the main pulmonary artery is small.

In this chest radiograph in an infant, there is gross cardiomegaly, particularly of the right-sided contours due to Ebstein’s anomalies.

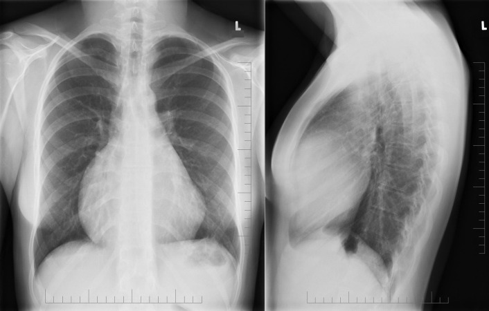
There is cardiomegaly with prominence of the right atrial contour, a small main pulmonary artery due to rotation of the heart due to Ebstein’s anomalies. The patient had previously undergone surgical repair of an associated atrial septal defect.

Ebstein’s anomaly. Note the marked right heart dilation, the raised apex, and the small pulmonary artery.

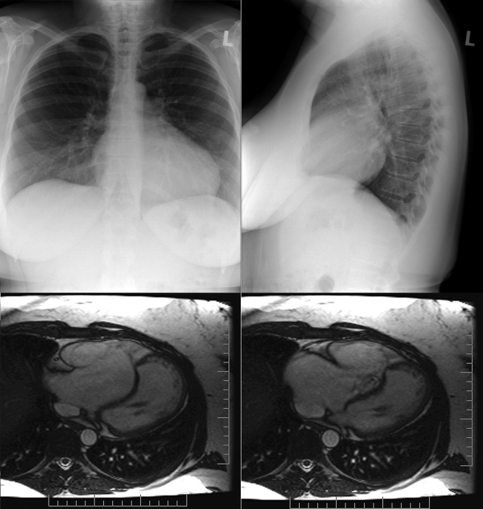
Chest radiographs and cardiac magnetic resonance (CMR; steady-state free precession [SSFP]) images of a patient with Ebstein’s anomaly. Note the signs of right heart chamber enlargement, the raised apex, and the small pulmonary artery. The CMR images reveal the atrialization of the right ventricle, marked enlargement of the right atrium and atrialized ventricle, and tricuspid regurgitation.

Ebstein’s anomaly. Note the moderate cardiomegaly, the prominence of the right atrium and right ventricle as well as the small main pulmonary artery.

Stay updated, free articles. Join our Telegram channel
Full access? Get Clinical Tree





