Madelung Dome Deformity
Andrea S. Bauer
Corrective Dome Osteotomy of the Distal Radius
Operative Indications
Progressive distal radius deformity secondary to ulnar volar growth arrest
Lunate fossa deformity (Figure 15.1)
Volar and proximal carpal subluxation (Figure 15.2)
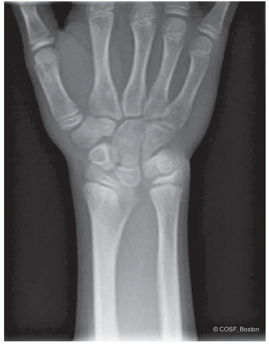
Distal radioulnar joint (DRUJ) incongruity secondary to distal radius deformity and ulna overgrowth (Figure 15.3)
Pain with functional limitations of wrist flexion-extension and forearm pronation-supination motion
Special consideration
Role of Vickers radiolunate ligament release with or without physiolysis (Figure 15.4) when identified early in life by x-ray
Alternative Treatment
Natural history
In the absence of pain and functional limitations of motion, the presence of deformity alone is not an indication for surgery

Figure 15-2 ▪ Photograph of Madelung’s with marked deformity of distal radius, volar subluxation of carpus and DRUJ incongruity. (Courtesy of Children’s Orthopaedic Surgery Foundation.)
Vickers volar radiolunate ligament release with or without physiolysis (Figures 15.5 and 15.6)
Indicated for very early Madelung deformity
Usually before marked Madelung deformity develops but identified by incidental x-ray for trauma or when x-ray taken due to positive family history
For this reason, consider asking about younger siblings during any initial evaluation of a patient with Madelung deformity

Figure 15-4 ▪ Illustration of Vickers ligament, which connects the volar lunate with the volar/ulnar aspect of the distal radius. (Courtesy of Children’s Orthopaedic Surgery Foundation.)

Figure 15-5 ▪ MRI appearance of Vickers ligament. (Courtesy of Children’s Orthopaedic Surgery Foundation.)

Figure 15-6 ▪ Clinical photograph of Vickers ligament. (Courtesy of Children’s Orthopaedic Surgery Foundation.)
Reasonable surgery to consider if there is not significant distal radial deformity, volar carpal subluxation, DRUJ incongruity, and/or ulnar positive variance
Results unpredictable but if successful, volar Vickers radiolunate ligament release much simpler surgical solution than later forearm skeletal rebalancing
Volar approach to distal radius flexor carpi radialis (FCR) sheath
Elevate pronator quadratus (assess for aberrant tendon insertion to carpus)
Isolate radiocarpal joint at foreshortened deformed lunate fossa with 25-gauge needle and fluoroscopy
Release Vickers thickened radiolunate ligament
Preserve radioscaphoid and volar dorsal radioulnar ligament
Assess release fluoroscopically with noted distal migration carpus
Check forearm pronation-supination motion
Consider physiolysis if there is a clear area of abnormal volar/radial physis on preoperative imaging
Abnormal physis/bony block excised sharply until normal physis is visible on all sides
Stay updated, free articles. Join our Telegram channel
Full access? Get Clinical Tree








