Abstract
Diabetes mellitus is a common chronic disease that is associated with cutaneous manifestations in up to 70% of patients at some point of the disease. Cutaneous manifestations of diabetes can range from benign, asymptomatic conditions to debilitating disease; they can be observed as a presenting finding prior to the diagnosis of diabetes or as late manifestations of the disease. This chapter discusses cutaneous manifestations of diabetes, cutaneous findings seen in patients with diabetes mellitus, other dermatologic diseases associated with diabetes mellitus, and cutaneous complications of diabetes therapy.
Keywords
Acanthosis nigricans, Diabetic bullae, Diabetic dermopathy, Insulin resistance, Necrobiosis lipoidica
- •
Diabetes mellitus (DM) is a highly prevalent, chronic, multisystem disease that affects the skin at some point of the disease in up to 70% of affected individuals.
- •
Although the etiology is often unknown, the pathogenesis of many cutaneous findings is thought to be due to microangiopathy, glycosaminoglycan deposition with collagen alterations, and immune complex deposition.
- •
There are numerous cutaneous manifestations of DM, which range in severity from asymptomatic, benign conditions such as acanthosis nigricans, to debilitating diseases such as diabetic foot.
- •
Cutaneous manifestations such as necrobiosis lipoidica can precede the diagnosis of DM.
- •
Most cutaneous conditions linked with DM will improve with optimal glycemic control.
Diabetes mellitus (DM) is characterized by abnormal carbohydrate metabolism. The prevalence of diabetes worldwide is approximately 350 million, with increased prevalence in industrialized nations. Diabetes is a complex, multiorgan disease that can impact nearly every organ system. Cutaneous manifestations of diabetes, which can be associated with significant morbidity, are reported in up to 70% of patients with DM at some point during the course of their disease. This chapter describes dermatologic manifestations of diabetes, which is divided into (1) cutaneous manifestations of DM, (2) other cutaneous findings in DM, (3) dermatologic diseases associated with DM, and (4) cutaneous complications of diabetes therapy.
Cutaneous Manifestations of Diabetes
Acanthosis Nigricans
Description
Acanthosis nigricans (AN) is a common dermatologic finding seen in insulin-resistant states such as diabetes. It is characterized by velvety to verrucous thickening and light brown to black hyperpigmentation of the skin, found predominantly in intertriginous and flexural surfaces of the body ( Fig. 24-1 ). Flexural areas are most commonly affected areas such as the neck, axillae, and submammary regions. Involvement of the palmar hands is referred to as tripe palms. Histologically, epidermal papillomatosis, hyperkeratosis, and mild acanthosis are characteristic. The hyperpigmentation observed clinically relates to the thickness of the keratin-containing superficial epithelium, not to changes in melanocytes or melanin content. AN is considered a cutaneous marker of insulin resistance, thus clinical diagnosis of AN warrants screening for diabetes and potentially other endocrinopathies.

Epidemiology
Although observed in all ethnicities, there is a higher prevalence among Native Americans, Hispanics, Southeast Asians, and African-Americans. In addition to diabetes, AN can be observed as a paraneoplastic phenomenon, in obesity and metabolic syndrome, polycystic ovarian syndrome, Cushing syndrome, and other endocrine abnormalities involving insulin resistance.
Pathogenesis
The precise mechanism is not fully elucidated, but hyperinsulinemia may activate insulin growth factor (IGF-1) receptors on keratinocytes, leading to epidermal growth and subsequent hyperpigmentation.
Treatment
Lifestyle modifications such as weight reduction, dietary restrictions, and physical activity are most effective in the control and reversal of AN. Treatment of insulin resistance and optimizing glycemic and insulin balance will further improve this condition. Dermatologic therapies do not have a direct benefit, but topical keratolytics such as salicylic acid, ammonium lactate, or retinoid acid can help alleviate symptoms and reduce thickening of the skin.
Acquired Perforating Dermatoses
Description
Acquired perforating dermatoses (APD) are a group of chronic skin disorders characterized by pruritic, perifollicular, hyperkeratotic, dome-shaped papules or nodules with a central keratin plug. Perforating lesions can occur anywhere, but most commonly occur on the legs and trunk, and less often on the head. The eruption often demonstrates koebnerization and can be exacerbated by excoriation. Histologically these disorders are characterized by the presence of devitalization of connective tissue components of the dermis such as collagen, keratin, and elastic fibers, and transepidermal extrusion of the material.
Epidemiology
APD are observed nearly exclusively in patients with chronic renal failure and diabetes, although there are rare associations with malignancy and hypothyroidism. Although APD are rare in the general population, they are observed more often in African-Americans, and their incidence in diabetic patients undergoing renal dialysis is 5% to 10%. The disorder typically occurs in the context of advanced and long-standing diabetes, ranging from 10 to 30 years after diagnosis, and usually several months after initiation of renal dialysis, although lesions can occur before initiation of dialysis. In a review of patients with APD, 50% of patients had diabetes, and 91% of diabetic patients had chronic renal failure due to diabetic nephropathy.
Pathogenesis
The pathogenesis is not fully understood, though proposed theories include epidermal or dermal alterations as a result of metabolic derangements, deposition of a substance not removed through dialysis, and microtrauma as a result of chronic scratching and rubbing or as a manifestation of microangiopathy. Recent molecular studies have suggested that minor trauma or scratching in patients with DM leads to keratinocyte exposure to dermal interstitial advanced glycation end product-modified collagens, which interact and migrate upward together from the basal to the horny layers of the skin, leading to transepidermal elimination.
Treatment
Lesions are chronic and relatively unresponsive to therapy, but may resolve slowly over months if scratching and trauma are avoided. Thus, treatment is directed at symptomatic relief of pruritus. Topical and systemic retinoids, topical and intradermal corticosteroids, cryotherapy, psoralen plus UVA light (PUVA), UV light therapy, allopurinol, and doxycycline are treatment options with varying reports of efficacy. Although dialysis does not improve the disease, renal transplantation has resulted in clearance of the dermatosis.
Diabetic Bullae
Description
Diabetic bullae, or bullosa diabeticorum, present in diabetic patients as painless, noninflammatory, sterile blisters that arise on otherwise normal skin. They begin as tense bullae, but can become flaccid as they enlarge. The distal lower extremities are most commonly affected. Less often, fingers, hands, forearms, or trunk are involved. Histologic analysis of lesions reveals blisters that occur at different levels of cleavage. The most common patterns of cleavage are intraepidermal or subepidermal and nonacantholytic. These lesions can resolve spontaneously and without scarring. Less commonly, cleavage below the dermoepidermal junction is observed with destruction of anchoring fibrils, which can lead to clinical scarring and atrophy. Immunopathologic studies (immunofluorescence) are negative in patients with all forms of diabetic bullae.
Epidemiology
Diabetic bullae are a rare phenomenon, only seen in patients with DM. The overall reported prevalence of diabetic bullae is estimated to be 0.5% among diabetic patients. It is observed more often in long-standing type-1 insulin-dependent diabetes mellitus (IDDM), and the average age of onset ranges from 50 to 70 years. Bullae often occur in patients with severe DM, diabetic neuropathy, or retinopathy. Spontaneous acral bullae may be the first sign of DM.
Pathogenesis
The pathogenesis is unknown, although numerous proposed mechanisms include highly varying blood glucose levels, microangiopathy, an autoimmune phenomenon, and vascular insufficiency.
Treatment
Diabetic bullae are a self-limiting condition and lesions usually resolve within 2 to 6 weeks. There is no preventive treatment for this eruption and treatment is targeted at skin protection and prevention of secondary infection. Sterile drainage and topical antibiotics may be required for larger lesions.
Diabetic Dermopathy
Description
Diabetic dermopathy, also known as shin spots and pigmented pretibial patches, are red to brown papules or plaques that typically range in size from 0.5 to 1.5 cm. They occur most commonly on the pretibial legs, but occasionally affect the thighs and forearms ( Fig. 24-2 ). They are usually asymptomatic, and evolve into well-circumscribed macules that can be atrophic with a fine scale. Lesions at varied stages are seen contemporaneously. Biopsy specimens show thickening of blood vessels, perivascular lymphocytic infiltrates, and scattered hemosiderin skin deposits associated with hemorrhage, which are relatively nonspecific findings. Patients with diabetic dermopathy often have other vasculopathy-associated complications of diabetes, such as retinopathy, neuropathy, or nephropathy, thus the presence of diabetic dermopathy is a potential indication to clinicians to pursue further evaluation even in known diabetics.

Epidemiology
Shin spots are the most common cutaneous markers of DM, seen in up to 50% of diabetics, and observed twice as often in men than in women. In one report, up to 70% of men with DM older than 60 years had diabetic dermopathy. In addition, it is more prevalent in patients with longstanding disease and a history of poor glycemic control, although diabetic dermopathy can be seen preceding the onset of diabetes.
Pathogenesis
Although the exact mechanism of pathogenesis is unknown, microangiopathy with associated capillary changes is thought to cause diabetic dermopathy.
Treatment
Diabetic dermopathy is self-limited, and lesions heal spontaneously over time, leaving behind scars that are atrophic and often hyperpigmented. There is no known effective therapy aside from prevention of secondary infection, and no correlation has been established between glycemic control and the development of diabetic dermopathy.
Diabetic Foot
Description
Diabetic foot is a condition that involves neuropathic foot deformity in diabetic patients, and is characterized by the presence of peripheral neuropathy, Charcot arthropathy, and peripheral vascular disease. Peripheral neuropathy can lead to mal perforans, or neuropathic ulcers, which are nonpainful ulcerations. Typically, a thick callus forms over bony prominences and areas of repeated trauma, which breaks down over time to form an ulcer. The most common sites of involvement are the bony prominences of the foot and ankle. Infection and gangrene are potential serious complications ( Fig. 24-3 ). Charcot arthropathy in diabetic patients involves progressive deterioration of weight-bearing joints, usually observed in the ankle and hindfoot. Clawing deformities of the toes are other sequelae of diabetic neuropathy, thought to be due to intrinsic muscle atrophy leading to muscle imbalance.

Epidemiology
Peripheral neuropathy and subsequent ulcers account for significant morbidity and mortality in the diabetic population. The lifetime risk of developing a diabetic ulcer is estimated to be 15% to 25% among diabetic patients. In addition, 80% of major nontraumatic amputations performed in the US are in diabetic patients, 85% of whom presented with a preceding foot ulcer. Neuropathic arthropathy, a significant risk for limb loss, is seen in up to 10% of patients with neuropathy, and affects bilateral lower extremities in approximately one-third of patients.
Pathogenesis
Diabetic foot is a result of atherosclerosis of lower extremity arteries, abnormalities in sensory, motor, and autonomic nervous systems, and altered gait. Chronic hyperglycemia, which leads to formation of advanced glycosylation end products, oxidative stress, and neuroinflammation, causes a loss of myelinated and unmyelinated fibers and blunted nerve production. Sensory and motor neuropathy can lead to foot deformities that increase the risk of ulcer formation. Autonomic neuropathy can lead to anhidrosis in the lower extremities, causing dryness, cracks, and callus formation, increasing the risk for ulceration and secondary infection.
Treatment
Neuropathic ulcers usually heal within weeks if treated with aggressive debridement and offloading with various devices, or most effectively, with a total contact cast. Adherence to principles of wound-healing strategies is an important component of treatment, and there is a wide range of wound-healing agents available, including saline dressings, impregnated gauze, hydrogels, hydrocolloids, calcium alginate, silver, vacuum-assisted closure, and hyperbaric oxygen. A surgical revascularization procedure can correct the ischemic state. The use of topical growth factors or bioengineered skin grafts may be helpful but cannot replace revascularization procedures, debridement, and ulcer offloading. Because of the prevalence of bacterial colonization of ulcers, the need for antibiotic therapy rests on clinical evaluation and judgment. Prevention of complications remains paramount through daily foot inspection, care guidelines, and prevention of pressure, friction, and callus formation by the use of appropriate footwear.
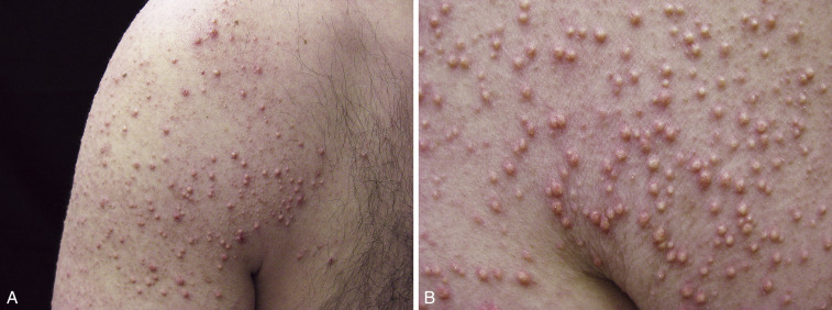
Eruptive Xanthomatosis
Description
Eruptive xanthomas present as yellow to red papules that appear over weeks to months ( Fig. 24-4 ). The lesions can be tender or pruritic, and may be surrounded with mild erythema. Xanthomas have a predilection for the buttocks and extensor surfaces of the extremities, with koebnerization noted in areas of pressure. Histologically, there is infiltration of the dermis with lipid-laden histiocytic foam cells as well as lymphocytes and neutrophils. Unlike other forms of xanthomas, the lipids within the macrophages represent triglycerides rather than cholesterol esters.







