Introduction
Many patients have tried a myriad of skincare products by the time they present to our offices, oftentimes with mixed results. It is not unusual for these patients to see little to no improvement in their skin or to develop an adverse reaction to a product they applied to their skin. As cosmetic surgeons, our role should be to address their concerns in both a clinically effective and cost-effective manner. Although devices are constantly changing, the skin cells that constitute the skin itself are constant and unchanging. This means that by learning about the cells and how they function, we can formulate a skincare regimen that can be individualized for each patient and enhance the results of our surgeries and skin resurfacing devices.
As the quest for beauty is wide-reaching and global, our patients are becoming more diverse. One needs to be comfortable treating patients of dark skin types. Oftentimes, these patients are turned away or told that they are not a suitable candidate for skin resurfacing. However, with the proper evaluation and treatment plan, darker-complexion patients can be safely treated. The author’s approach to skincare comes from 20 years of experience treating patients of all skin types and with many skin concerns. The best way to cultivate a growing population of cosmetic patients is by building trust and confidence, especially among racially diverse patients. Patients must know that when they come to your office, they are going to receive a “medical” approach to their skin and their skincare.
Additional benefits of starting an effective skincare regimen for patients is that results can be seen within weeks, thus encouraging patients to heed your advice and plan ( Fig. 12.1 ) and to build trust. When selected properly, a topical regimen can oftentimes achieve results that are at least equal to, if not better than current noninvasive lasers and microdermabrasion machines ( Fig. 12.2 ).






Lastly, once a patient has healed from a skin resurfacing procedure, the aging process begins again immediately. A proper topical skincare regimen can be used strategically to prolong the results of in-office procedures. This chapter covers an approach to skin rejuvenation including understanding of skin biology and aging as well as patient evaluation. A clear understanding of these topics will facilitate matching correct therapies and procedures for patients.
Skin Anatomy
Knowledge of skin anatomy is key. The skin is divided into three layers that are in constant interaction: the epidermis, dermis, and subcutaneous fat ( Fig. 12.3 ). Although there are many cells that play a role in skin function, this chapter focuses on the three cells most responsible for cosmetic improvement in skin texture and appearance: the keratinocyte, the fibroblast, and the melanocyte.

Epidermis
The epidermis is truly the body’s protective barrier as the most superficial layer of the skin. It is the body’s first line of defense, acting as both a mechanical and antimicrobial barrier. A properly functioning epidermis also helps with homeostasis by reducing transepidermal water loss. The epidermis consists of terminally differentiated stratified squamous epithelium (keratinocytes 80–90% of cells); melanocytes (dendritic cells that produce melanin-containing packets called melanosomes and distribute them to the keratinocytes, thus giving skin its color); Langerhans cells; and Merkel cells. Because the epidermis lacks a vascular supply, it derives its supply of nutrients from the dermis.
The epidermis is divided into four layers, each with characteristic intracellular proteins and morphologic changes to keratinocytes. The keratinocytes multiply in the stratum basale. As they mature, they work their way up through the stratum spinosum and stratum granulosum, and then become part of the stratum corneum. The stratum corneum consists of anucleate cells containing fibrils of keratin that are cross-linked to form the cornified envelope, which along with a durable protein/lipid polymer containing ceramides, gives rise to the lipid barrier that protects against water loss and mechanical injury. Natural moisturization factor (NMF) is an important component of the stratum corneum that is composed principally of free amino acids, inorganic salts, sugars, lactic acid, and urea. The role of the NMF is to maintain adequate skin hydration, which, in turn, helps maintain plasticity of the skin, protecting it from damage; allows hydrolytic enzymes to function in the process of desquamation; and contributes to optimum stratum corneum “barrier” function.
A key concept in skin rejuvenation is that of the “skin turnover cycle” or the approximate time for the epidermis to turn progress from the basal layer up through the stratum corneum, and then to be exfoliated or shed. The range can vary from 52–75 days, depending on anatomic location. The skin cycle is a useful measure to help patients understand how long it takes to see results from their skincare products and procedures. Typically, improvement in facial skin can be seen in about 6 weeks, or one skin cycle. As the skin continues to go through more cell turnover cycles, results continue to improve and usually peak at 3–4 skin cycles.
Dermis
The dermis resides between the epidermis and the subcutaneous fat. It can vary in thickness from 0.5 mm (eyelids) to over 4 mm (back) depending on the anatomic location. The extracellular matrix (ECM) is produced by the fibroblasts that reside in the dermis. The ECM is composed of collagen (mainly type I), elastin, glycosaminoglycans (GAGs), proteoglycans, and glycoproteins. When skin is pinched, what one is feeling is the tensile strength of the collagen in the dermis. When skin is stretched and then returns to its normal shape, this is a function of elastin. GAGs are crucial, hygroscopic molecules that can bind about 1000 times their weight in water. In fact, the injection of hyaluronic acid fillers to some degree mimics the function of the GAGs in the skin.
Within the dermis lie adnexal structures such as hair follicles, sebaceous glands, apocrine glands, and eccrine glands. These structures arise embryologically from the epidermis and grow downward into the dermis. The presence or density of these structures varies with anatomic location, with the face having more adnexal structure than the neck or chest. The density of these structures is also critical to wound healing. Resurfaced skin reepithelializes from these adnexal structures. Therefore the treated area must be rich in adnexal structures to have good wound healing. Patients who have scarring or prior radiation to their skin may have greatly reduced numbers of adnexal structures, making them susceptible to poor wound healing. The dermal-epidermal junction (DEJ) supports the epidermis, allows for cell signaling, and protects against external shearing forces by creating an interface between the epidermis and dermis.
Subcutaneous Fat
The subcutaneous fat serves as the “cushion” of the skin and sits between the dermis and the muscular layer. Fat lobules are separated by connective tissue septae through which blood vessels pass. More recently, we understand the vital role that facial fat compartments play in rejuvenation and aging. As we age, we see quite a drop in facial volume that arises from the underlying facial fat compartments.
Skin Aging
The chronologic passage of time causes certain aging changes in the skin, which is referred to as intrinsic aging . Intrinsic aging is an inevitable process resulting from the biologic action of cellular senescence. In addition to changes in the skin, we now understand that there is progressive atrophy in bone, muscle, and fat resulting in a complex, ongoing alteration of facial proportions. These changes include alteration in facial shape, loss of jawline definition, increased hollowing of the periorbital region, nasal tip droop, lip thinning and cutaneous lip elongation, skin texture/clarity, and pigmentation. Extrinsic aging is an acceleration of intrinsic aging caused by the accumulation of environmental damage to the skin and underlying fat, muscle, and bone. Although every patient undergoes intrinsic aging, the degree of extrinsic aging is variable and truly related to the degree of sun exposure, smoking, and other environmental insults ( Fig. 12.4 ).






Intrinsic Aging
The key cells of the skin (melanocytes, fibroblasts, keratinocytes) begin to exhibit an age-related reduction in signal transduction, decreased cell turnover, and upregulation of dermal cytokines and enzymes such as elastase, stromelysin, collagenase, and interleukin-1. Clinically, the skin begins to develop wrinkling, dermal fragility, and thinning of the dermis. Although there is no histologic correlate for superficial or fine wrinkles, broadening and shortening of subcutaneous fat connective tissue septae may contribute to deep furrows. Skin fragility results from the loss of the rete ridges at the DEJ, making the skin more susceptible to shearing forces. Furthermore, with each cell division, the telomeres, tandem repeats of a short sequence TTAGGG that cap the terminal portion of chromosomes, begin to shorten until the cell can no longer divide. At this point, the cell enters a state of replicative senescence.
Patients are often surprised when I ask them to guess at which age their collagen production peaks at. Patients will guess that maybe it is in their late 30 s or 40 s, but it truly peaks at 18 years of age. Starting at around 18 years of age, dermal collagen and elastin production declines by about 1% per year. It takes decades for this decline to become clinically manifested as thinning of the skin, fragility, and impaired wound healing. There is a gradual decrease in lipid synthesis and a gradual increase in baseline pH in the stratum corneum, which results in impaired skin barrier function. Oftentimes, these patients describe their skin as being “sensitive.” This sensitivity is further exacerbated in patients taking lipid-lowering medications.
Extrinsic Aging
Extrinsic aging is the toll taken on the skin through years and decades of exposure to environmental insults such as pollution, ultraviolet (UV) radiation, and chemicals. In the most simplistic terms, extrinsic aging can be conceptualized as accelerated and exaggerated intrinsic aging. Although we are aware of the negative impact of smoking/vaping and sun exposure, the combination of these detrimental behaviors has a much greater impact and accelerates the aging process in a multiplicative manner.
Pollution, smoking, and sun exposure induce damage to the skin via a cascade of oxidative damage resulting in the production and release of proinflammatory cytokines and dermis-degrading enzymes. The mechanisms by which this occurs is (1) impaired membrane/nuclear signaling, (2) mitochondrial damage, (3) protein oxidation, and (4) shortening of telomeres and reduced DNA repair capacity. UV radiation produces reactive oxygen species (ROS), which activate nuclear factor kappa beta (NFκB) transcription and lead to increased expression of proinflammatory cytokines. These, in turn, stimulate the production of matrix metalloproteinases (MMPs), which then degrade collagen and elastin in the dermis.
In dermal fibroblasts, UV irradiation induces mtDNA “common deletion,” leading to compromised synthesis of mitochondrial proteins, which further increases ROS and decreases the ability of the cell to generate energy. In-vitro studies suggest that UVA is a major contributor to protein oxidation in the skin. With reduced DNA repair capacity, sun-damaged skin has a greater propensity than non–sun-damaged skin to develop cutaneous malignancies.
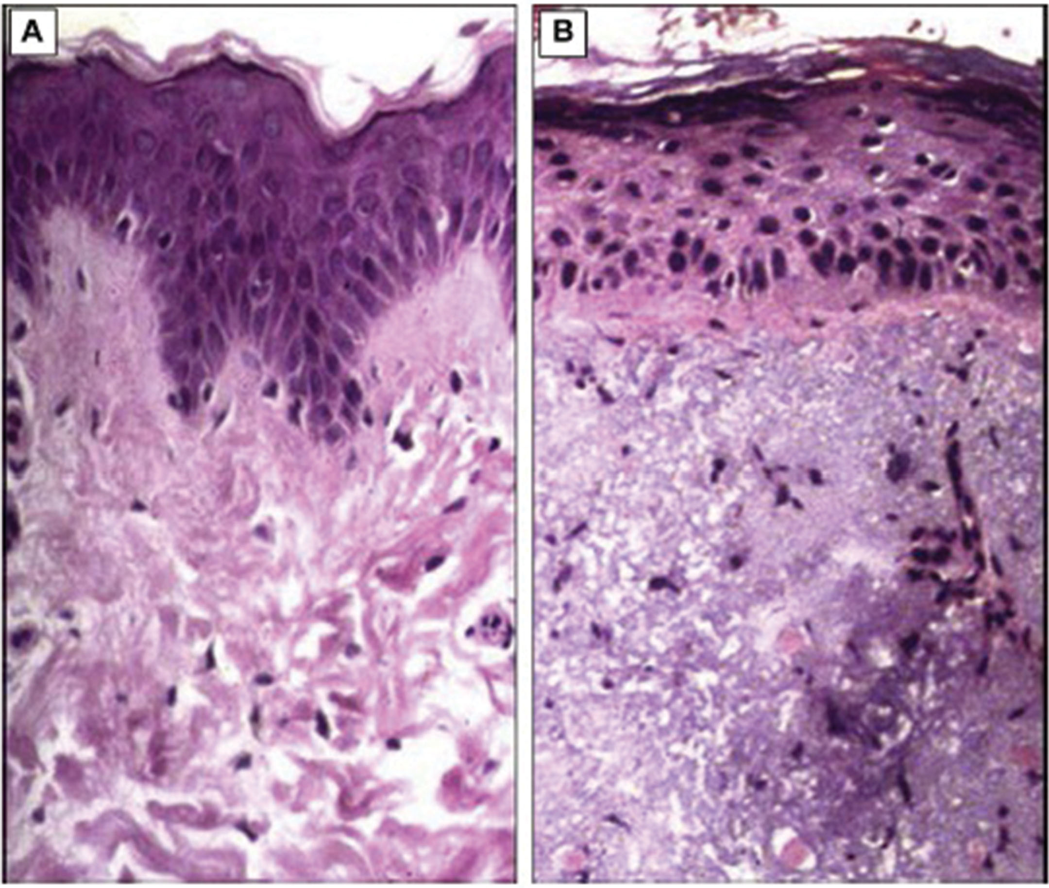
Extrinsically aged or photodamaged skin has specific histologic findings that are distinct from intrinsically aged skin ( Figs. 12.5 and 12.6 ). The epidermis may be atrophied (late-stage) or thickened with atypical keratinocytes. The most significant findings are seen in the dermis, with significant collagen and elastin degeneration. Cumulatively, these changes can manifest clinically as wrinkles, solar elastosis, dyschromias, actinic keratosis, enlarged pores, and telangiectasias ( Fig. 12.7 ).




Initial Consultation Goals
A well-executed skin evaluation helps engage the patient in the treatment plan and establishes a roadmap that the patient can follow to achieve the goals identified during this visit for skincare, noninvasive therapies, and surgical options. This consultation sets the expectation that care is a two-way street and that patients must actively do their part to enhance the results of any procedure performed in the office.
Consultations are best performed in a well-lit room with the patient seated upright, without makeup, and with the hair pulled off the face. A handheld mirror is crucial to showing the patient what is being evaluated on their skin. If patients have a difficult time understanding what constitutes environmental damage versus normal aging, you can usually show them the skin along the inner aspect of the upper arm. This skin is normally sun protected (intrinsic aging) and can give them a good visual as to what their normal aging would look like.
The goals of the topical regimen are to reverse actinic damage; slow the aging process by increasing collagen, elastin, and GAGs; minimize subsequent oxidative damage; and address any active disease states (acne, rosacea, melasma). Returning the skin to a healthier state requires choosing the correct skincare products to achieve this goal.
There is nothing more powerful than showing patients before-and-after photos of patients with a variety of skin conditions and the improvement they can achieve with adhering to a good skincare routine. Lastly, all patients receive detailed, written instructions on how to use the products, what reactions to expect while they start their new regimen, and how much of each product to actually apply. It is surprising how, despite all of the instructions, patients will modify their topical routine themselves. Therefore it is vital to educate the patient on correct product application and how to handle anticipated side effects so as to improve compliance. Patients are told that the goal of treatment is to return the skin back to its normal, healthy state.
Topical Agents
As discussed earlier, there are only three cellular targets for skincare: melanocytes, keratinocytes, and fibroblasts. A medically based skincare regimen should target these cells. Instituting the correct routine will slow the progression of aging and work toward reversing, to some degree, the extrinsic and intrinsic aging changes ( Fig. 12.8 ).







