Fungi are a group of simple plants that lack flowers, leaves, and chlorophyll and get their nourishment from dead or living organic matter, thus depending on plants, animals, and humans for their existence. Fungal infections that affect humans may be superficial, deep, or systemic and can occasionally be fatal. Although they do not rank as pathogens with the bacteria or viruses, a number of species once thought to be ubiquitous and harmless have been implicated in various diseases, and with the increasing use of broad-spectrum antibiotics, corticosteroids, and potent cytotoxic agents and the increasing incidence of acquired immunodeficiency, deep mycoses have become increasingly significant.
The pathogenic fungal diseases are divided into superficial and deep infections. The superficial infections are those limited to the epidermis, hair, nails, and mucous membranes. Deep fungal infections are those in which the organisms affect other organs of the body or invade the skin through direct extension or hematogenous spread.
Superficial Fungal Infections
There are three common types of superficial fungal infection: dermatophytosis, tinea versicolor, and candidiasis (moniliasis). Those caused by dermatophytes are termed tinea, dermatophytosis , or because of the annular appearance of the lesions, ringworm . In addition, tinea nigra, a superficial infection of the stratum corneum caused by a yeast-like fungus and often misdiagnosed as a melanocytic lesion, and piedra, an asymptomatic infection of the hair shaft, may be noted in both children and adults.
The dermatophytes are a group of related fungi that live in soil (geophilic), on animals (zoophilic), or on humans (anthropophilic). They digest keratin and invade the skin, hair, and nails, producing a diverse array of clinical lesions. Depending on the involved site, the infection may be termed tinea capitis, tinea faciei, tinea barbae, tinea corporis, tinea manuum, tinea pedis, tinea cruris, or tinea unguium ( onychomycosis, tinea of the nails). The diagnosis and management of fungal diseases of childhood have become easier in the past decade owing to the development of more effective diagnostic techniques and therapeutic agents.
Diagnosis of Fungal Infections
Tests for fungal infection are rewarding procedures readily available to all physicians, not merely those trained in dermatology. Diagnosis of ringworm of the scalp may be aided by the presence of fluorescence under a Wood light examination, although the changing epidemiology of this infection in the United States has made this examination clinically irrelevant in most cases. Other diagnostic studies that may be useful include direct microscopic examination of skin scrapings or infected hairs and fungal culture. These tests can be performed simply, inexpensively, and rapidly in the office. Laboratory confirmation of fungal infection is useful in confirming the diagnosis, in detecting the asymptomatic carrier state, and in the case of tinea capitis, in demonstrating a mycologic cure when clinical symptoms have resolved. Dermatophyte identification may also provide useful epidemiologic information (i.e., human-to-human vs. animal-to-human transmission) and may help guide the clinician’s choice of antifungal therapy. Definitive proof of fungal infection should be considered when prolonged systemic therapy is being considered, in patients with some features but who lack lymphadenopathy (the most predictive clinical finding), and in patients who fail empiric therapy.
Wood Light Examination
The discovery in 1925 that hair infected by certain dermatophytes would fluoresce when exposed to ultraviolet light filtered by a Wood filter led to a helpful but occasionally improperly used diagnostic tool. When a Wood light examination is performed, it must be remembered that infected hairs, not the skin, fluoresce when exposed to light rays emitted by this lamp. Although the nature and the source of the fluorescent substance in infected hairs are not fully understood, this phenomenon is believed to be the result of a substance, perhaps pteridine, emitted when the fungus invades the hair.
Optimally, a powerful Wood lamp should be used in a completely darkened room. The usefulness of Wood lamp examination depends on the pattern of arthroconidial formation and hair invasion. Organisms that result in ectothrix infection (i.e., Microsporum audouinii and Microsporum canis ) result in brilliant green fluorescence with this examination. However, those organisms associated with endothrix infection (i.e., Trichophyton tonsurans and Trichophyton violaceum ), where organisms are present within the hair shaft, show no fluorescence. Trichophyton schoenleinii , the cause of favus (see below), produces a pale green fluorescence on Wood lamp examination. Sources of error in Wood light examinations include an insufficiently darkened room; the blue or purple fluorescence produced by lint, scales, serum exudates, or ointments containing petrolatum; and failure to remember that it is the infected hair and not the skin that fluoresces.
Potassium Hydroxide Wet-Mount Preparations
Microscopic examination of skin scrapings is an important but commonly overlooked aid in the diagnosis of suspected fungal infection of the skin or hair. This examination will yield rapid results but requires considerable experience, because false-positive interpretations are common. Material for mycologic study should be taken by gently scraping outward from the active border of a suspected lesion with a number 15 scalpel blade or the edge of a glass slide. Moistening the skin with alcohol before performing the scraping may be useful in adhering the skin debris to the blade before it is smeared on a slide. Cut hairs, nail scrapings, subungual debris, and material from the edge of an affected nail may also be used for wet-mount examination. The material is placed on a glass microscope slide with care and spread out flat and evenly in a single layer. A coverslip is applied, and a few drops of 10% to 20% potassium hydroxide (KOH) are added at the side of the coverslip until the entire space between coverslip and slide is filled. Gentle heating of the preparation (with care to prevent boiling of the KOH, because this will cause crystallization) should be performed until the horny cells and debris are rendered translucent. If the KOH solution contains dimethylsulfoxide (DMSO), the slide should not be heated, because heating a DMSO-KOH preparation will dissolve fungi as well as epidermal cells.
After collection and preparation of the specimen, gentle pressure is applied to the coverslip. This will improve the preparation by forcing out trapped air and thinning the specimen, thus allowing better visualization of fungi. The light of the microscope condenser should be dimmed to enhance contrast between branched hyphae and epidermal elements, and the specimen should be viewed under low power. A positive KOH examination reveals branching fungal hyphae with septations ( Fig. 17-1 ).

Fungal Culture
Although direct microscopic examination of skin scrapings will often confirm the suspicion of tinea, definitive identification rests on isolation of the fungus by the gold standard, fungal culture. There are several types of fungal culture media, but the most popular are Sabouraud dextrose agar or mycobiotic agar (Mycosel) containing cycloheximide and chloramphenicol, which suppress growth of common saprophytic and bacterial contaminants respectively. Dermatophyte test medium (DTM) agar is another commonly used media that also contains antibiotics (cycloheximide, gentamicin, and chlortetracycline), which inhibit saprophytic fungi and bacteria. DTM also contains a color indicator that changes from yellow to orange to red in the presence of dermatophytes. This medium is particularly useful for physicians who lack detailed knowledge of fungus-colony morphology and simply require confirmation of dermatophyte infection. However, one disadvantage of DTM is that the addition of the color indicator precludes laboratory identification of the exact dermatophyte, because it may obscure some colonial features used to distinguish these organisms.
Specimens for fungal culture may be obtained via a variety of collection procedures. Traditional methods include plucking broken hairs or scraping scale, but these procedures may be frightening or painful for younger children. Other modalities include use of a sterile toothbrush, wet gauze, cytobrushes, and adhesive tape. Use of a cytobrush has demonstrated very high sensitivity when compared with the traditional method of scraping the scalp. The simplicity and reliability of the cotton swab technique has also been confirmed. In this method, a sterile cotton-tipped applicator moistened with tap water (or Culturette swab in transport medium) is rubbed vigorously and rotated over the affected area of the scalp and then inoculated onto the appropriate fungal medium. This technique is atraumatic, readily available, and both sensitive and specific, even with delays between collection and plating of the sample.
Trichoscopy (which refers to dermoscopy of the hair) has been recently reported as a useful diagnostic modality in the diagnosis of various hair disorders including tinea capitis. A dermatoscope is a device composed of a magnifier attached to a nonpolarized light source utilized primarily by dermatologists. As such, this methodology is likely less applicable to the primary care provider. When utilized in tinea capitis, trichoscopy reveals comma-shaped and corkscrew hairs, black dots, and broken (not tapered) hairs.
The Dermatophytoses
Tinea Capitis
Tinea capitis, the most common dermatophytosis of childhood, is a fungal infection of the skin and hair of the scalp characterized by scaling and patchy alopecia. It is generally a disease of prepubertal children, especially those between the ages of 3 and 7 years, although infants and adults are occasionally affected. Neonatal tinea capitis has been reported. In a prospective, cross-sectional surveillance study of children in kindergarten through fifth grade in a large U.S. metropolitan area, 6.6% of children overall had positive cultures for T. tonsurans , and the infection rates at participating schools ranged from 0% to 19.4%, with African-American children demonstrating the highest rates of infection (12.9%).
A variety of dermatophytes may cause tinea capitis, especially T. tonsurans (the most common etiology in the United States, where it causes >90% of infections), T. violaceum, M. canis , and M. audouinii . Across Europe, M. canis remains the most common organism, although shifts toward T. tonsurans are being observed, especially in the United Kingdom. These organisms may be anthropophilic (spread from humans, i.e., T. tonsurans and T. violaceum ); zoophilic (spread from animals, i.e., M. canis and M. audouinii ); or geophilic (spread from soil). Dermatophytes have a short incubation period (generally 1 to 3 weeks) and infect boys more commonly than girls. Predisposing factors for tinea capitis include large family size, crowded living conditions, and low socioeconomic class. In addition to transmission from other humans or animals, dermatophyte spread via fomites (hairbrushes, combs, hats, and contaminated grooming instruments) is well documented. The reason for increased resistance to tinea capitis infection after puberty is unknown, but may be related to a higher content of fungistatic fatty acids in the sebum of postpubertal individuals. Hair-care practices (styling, frequency of washing, use of oils or grease), traditionally believed to play a significant role in the acquisition of tinea capitis, appear to not play a major role.
Asymptomatic scalp carriage of dermatophytes varies and tends to correlate with the amount of tinea capitis in a community. Such carriers constitute a major reservoir for transmission of the organisms causing the disease. Asymptomatic carriage is most common with the anthropophilic organisms T. tonsurans and T. violaceum , and most carriers are African-American, Afro-Caribbean, or black children in Africa. Household contacts may be a significant source of asymptomatic carriers, and cosleeping and comb sharing seem to be important factors in the spread of disease in this setting. Varied treatment options have been suggested for the carrier state, although there is a paucity of well-designed clinical studies.
The clinical manifestations of tinea capitis are varied and are summarized in Table 17-1 . It may present in a “seborrheic dermatitis” pattern, with diffuse scaling and minimal inflammation ( Fig. 17-2 ). One or multiple patches of alopecia may be present ( Fig. 17-3 ), and at times tinea capitis may present in a fashion similar to alopecia areata. “Black dot” tinea presents with alopecic areas with small black dots within them, representing the ends of broken off hair shafts ( Fig. 17-4 ). This form is most commonly seen with endothrix infections such as T. tonsurans . It should be noted that the black-dot sign is probably overemphasized and although present may often be relatively inconspicuous.
| Clinical Feature | Comment |
|---|---|
| SCALP | |
| Alopecia | One or multiple patches; may simulate alopecia areata |
| Scaling | May be minimally inflammatory; may mimic seborrheic dermatitis |
| Erythema | Localized or widespread |
| Pustules | Differential diagnosis includes sterile folliculitis or bacterial folliculitis |
| “Black dots” | Alopecia with hair shafts broken off at surface of skin; may simulate trichotillomania |
| Kerion | Boggy, tender plaque with pustules and purulent discharge; represents a vigorous host immune response |
| Scarring | Rarely seen when untreated; usually follows kerion |
| Favus | Yellow, cup-shaped crusts around the hair |
| OTHER | |
| Lymphadenopathy | Common; cervical or occipital |
| Id reaction | Widespread, papular or papulovesicular eruption; extremity-predominant; usually seen after initiation of therapy; must be recognized as distinct from true drug reaction |



Scalp pustules may be present ( Fig. 17-5 ) and need to be distinguished from bacterial or sterile folliculitis. Kerion ( Fig. 17-6 ) is a markedly inflammatory presentation of tinea capitis and reveals a boggy plaque with alopecia, pustules, and often purulent drainage from the surface. These lesions represent a vigorous host immune response to the dermatophyte and are caused most often by M. canis and T. tonsurans (and in rural areas by Trichophyton verrucosum ). Although kerions may heal spontaneously, aggressive therapy is desirable, because the severe inflammatory response may result in permanent scarring alopecia ( Fig. 17-7 ). Kerion has also been observed in neonates.



Lymphadenopathy, especially cervical or suboccipital, is very common in patients showing symptoms of tinea capitis. In one study, presence of lymphadenopathy was highly suggestive of a positive fungal culture in children who were suspected of having tinea capitis, especially those with the concomitant presence of alopecia or scaling.
Favus, a severe chronic form of tinea capitis rarely seen in the United States, is caused by the fungus T. schoenleinii . This disorder is characterized by scaly erythematous patches with yellow crusts or “scutula,” representing hairs matted together with hyphae and keratin debris ( Fig. 17-8 ). Such infections often result in scarring and permanent alopecia.

A widespread papular hypersensitivity or dermatophytid (id) reaction may occur in patients with tinea capitis. This usually presents as tiny lichenoid papules on the scalp, trunk, and extremities ( Fig. 17-9 ) that may be pruritic. This reaction is commonly seen after initiation of antifungal therapy and needs to be differentiated from a drug reaction so as to avoid the unnecessary discontinuation of therapy for the tinea. Although this distinction may not always be straightforward, drug reactions tend to be morbilliform, more widespread, and more erythematous. Id reactions represent an immune response to the dermatophyte and are best treated symptomatically with topical corticosteroid preparations and oral antihistamines as needed.


The differential diagnosis of tinea capitis includes seborrheic dermatitis, psoriasis, alopecia areata, trichotillomania, folliculitis, impetigo, lupus erythematosus, and a variety of less common scalp dermatoses. Confirmation of the diagnosis is desirable, and the gold standard is fungal culture, as discussed earlier. Wood light examination may be useful if the infection cause is an ectothrix organism but this is less common in the United States. Demonstration of the fungus by KOH wet-mount preparations of broken hairs or black dots collected with a forceps or of skin scrapings from scaly areas may be useful. Microscopic examination of an infected hair ( Fig. 17-10 ) will reveal tiny arthrospores surrounding the hair shaft in Microsporum infection (ectothrix infection) and chains of arthrospores within the hair shaft (endothrix infection) in T. tonsurans and T. violaceum infections .

The color change in a DTM-plated fungal culture may begin within 24 to 48 hours for fast-growing dermatophytes and appears as a pinkish or red zone around the developing colony. The color will intensify as growth proceeds, with full color development for most cultures in 3 to 7 days ( Fig. 17-11 ). When DTM medium is used, however, the culture should not be evaluated for color after 10 days, because contaminant fungal growth may cause color change by that time, thus leading to false-positive results. It must be remembered that fungi grow best at room temperature and require oxygen. Accordingly, the culture media should be left at room temperature, and the tops of the culture tubes or bottles should be left slightly unscrewed (or the tubes maybe covered only with a cotton plug) to allow aeration of the preparation.

Tinea capitis requires systemic therapy, because the drug needs to penetrate the hair follicle. For decades, the treatment of choice for tinea capitis has been griseofulvin, and this drug remained the only agent approved by the US Food and Drug Administration (FDA) for the treatment of this disorder in children until recently. Terbinafine oral granules are now approved by the FDA for treatment of tinea capitis in children 4 years of age and older. Several other agents, including the azole antifungals (fluconazole, itraconazole, and ketoconazole) have been increasingly evaluated as alternative approaches to therapy. Hence, although griseofulvin remains the gold standard, newer treatment options continue to be explored and may, in the near future lead to a modification of the traditional approach to therapy. In some instances, these newer agents may be preferable given similar efficacy to griseofulvin and shorter treatment durations.
Griseofulvin is a well-tolerated and safe drug that has been extensively used worldwide for this indication. Although in the past doses of 10 mg/kg per day were utilized, most experts currently recommend 20 to 25 mg/kg per day of microsize griseofulvin for 6 to 8 weeks (10 to 15 mg/kg per day if the ultramicrosize form is used). Absorption of griseofulvin is enhanced by a fatty meal, which should be recommended to the patient and parents. Treatment failures are reported and may represent increasing resistance of dermatophytes, although noncompliance with therapy or repeat exposure to infected contacts are probably more common reasons for treatment failure.
Side effects of griseofulvin are rare and include headache, gastrointestinal disturbance, photosensitivity, and rare morbilliform drug reactions. Hematologic and hepatic toxicity is very uncommon, and routine laboratory monitoring is generally not recommended. Although potential cross allergy with penicillins or cephalosporins is often mentioned, in reality this risk is quite low. Concomitant therapy with an antifungal shampoo such as ketoconazole or selenium sulfide twice to thrice weekly is desirable, because these agents may aid in removing scales and eradicating viable spores, which may help decrease the potential spread of infection. This recommendation should be made regardless of the choice of the systemic agent.
Contraindications to griseofulvin therapy include pregnancy, hepatic failure, and porphyria (especially acute intermittent, variegate, and porphyria cutanea tarda). The drug has rarely been implicated in causing exacerbations of lupus erythematosus or lupus-like syndromes. Drug interactions include warfarin-type anticoagulants, barbiturates, and oral contraceptives, and in addition, a disulfiram-like reaction may occur with alcohol ingestion.
Terbinafine is an allylamine antifungal agent that has been demonstrated very effective as therapy for tinea capitis. It is currently approved for onychomycosis and as noted above, was more recently approved for treatment of tinea capitis in children 4 years of age and older (in the oral granules formulation). Comparative studies between terbinafine and griseofulvin have demonstrated that treatment with the former for 4 weeks is at least as effective as griseofulvin for 8 weeks. In a comparison of terbinafine oral granules with griseofulvin oral suspension, the former resulted in greater rates of clinical cure and mycologic cure for patients infected with T. tonsurans (but not M. canis ). Metaanalyses of trials comparing griseofulvin to terbinafine have confirmed that the former is superior for infections caused by M. canis , whereas terbinafine may be superior for infections caused by T. tonsurans . Studies have evaluated a variety of terbinafine treatment regimens and durations, including continuous therapy for 1 to 10 weeks (package recommendation for terbinafine granules: 6 weeks) and pulsed dosing, somewhat similar to that described for itraconazole (see below). Suggested dosing regimens for terbinafine include 3 to 6 mg/kg per day or a schedule based on patient weight. According to this schedule, the granules (which come in packets of either 125 mg or 187.5 mg) are dosed as follows: weight less than 25 kg: 125 mg/day; 25 to 35 kg: 187.5 mg/day; greater than 35 kg: 250 mg/day. When the granules are used, they should be sprinkled onto nonacidic food such as mashed potatoes or pudding and swallowed without chewing. Some authors have suggested that the weight-scheduled dosing may underdose individuals at the high-end of the weight range. In a duration-finding study of terbinafine in the treatment of tinea capitis, a 2- or 4-week regimen was found to be clinically superior to a 1-week regimen. If it is used, higher doses of terbinafine or a longer course of therapy may be necessary for M. canis infections.
Oral terbinafine has an excellent safety profile overall and is the most commonly used systemic antifungal agent in Europe. Side effects related to its use are rare and include gastrointestinal symptoms, dizziness, headache, taste or smell disturbances, depression, and uncommonly, drug reactions (see Chapters 20 and 22 ). Elevated hepatic transaminases and cytopenias are occasionally seen, and some drugs including cimetidine, terfenadine, and cyclosporine may interact. Laboratory monitoring (complete blood cell count and liver enzymes) at baseline and during therapy is advisable.
Ketoconazole, a broad-spectrum azole antifungal compound, has good activity against dermatophytes, especially Trichophyton species. However, given the potential risk of hepatotoxicity and the lack of a liquid formulation, this drug is not a favorable alternative to griseofulvin. Other azole antifungal agents such as fluconazole and itraconazole seem to offer more promise as alternative agents in the treatment of tinea capitis.
Fluconazole, which is currently approved for systemic mycoses, has been demonstrated effective in tinea capitis and as with the other newer agents, may require a shorter treatment duration. It has an excellent safety profile, is usually well tolerated, and is available in a liquid suspension for children (10 and 40 mg/mL). Fluconazole has shown efficacy against both Microsporum and Trichophyton species. Most studies have evaluated dosing of 3 to 6 mg/kg per day for 2 to 4 weeks. Once weekly pulse dosing for 8 to 12 weeks has also been demonstrated effective. Potential adverse effects of fluconazole include gastrointestinal symptoms, headache, drug interactions, and drug reaction. Hematologic and hepatic toxicity may occasionally occur.
Itraconazole is another azole antifungal agent that has been studied for use in tinea capitis, where it has been demonstrated effective in most (but not all) studies. It is currently approved for onychomycosis and some systemic mycoses, and in studies has shown efficacy against both Microsporum and Trichophyton species. Itraconazole is effective in a 100-mg capsule and a 10 mg/mL oral solution. The dosing recommended for this agent is 3 to 5 mg/kg per day, with the lower end of the dosing schedule utilized when the oral solution is used. There are numerous studies evaluating itraconazole as a therapy of tinea capitis, and it has been demonstrated effective both in continuous dosing for 2 to 12 weeks and in a variety of pulsed dosing regimens. One such pulsed regimen consists of a daily dose for 1 week followed by repeat pulsing for 1 week given 2 weeks later, and a third pulse given 3 weeks after the second pulse. In this regimen, the decision to administer the second or third pulse was determined by the response of the patient at that point in the therapy. Side effects of itraconazole therapy include headache, gastrointestinal complaints, and occasional hepatic dysfunction. The oral solution seems to be associated with an increased incidence of gastrointestinal side effects. Multiple drug interactions are possible, and hence all concomitantly ingested medications should be carefully referenced before considering itraconazole therapy.
An important consideration in the child with tinea capitis is school attendance and the issue of contagiousness. It is not practical to keep children with tinea capitis out of the classroom, because spore shedding may continue for months, even after adequate therapy. Appropriate therapy should be instituted, and children receiving treatment should be allowed to attend school. Measures should be taken, where feasible, to avoid transmission between susceptible hosts, including no sharing of combs, brushes, hats, or hooded jackets. In patients in whom appropriate therapy has not led to improvement in symptoms, siblings and close contacts should be examined and fungal cultures performed. Haircuts, shaving of the head, or wearing a cap during treatment are unnecessary.
The treatment of kerion (also known as kerion celsi ) deserves special mention. These markedly inflammatory reactions not uncommonly result in permanent scarring alopecia, and therefore rapid institution of aggressive therapy is indicated. In addition to antifungal therapy, systemic antibiotics should be considered, especially in the presence of significant crusting, because secondary bacterial infection may concomitantly occur. Skin swab for bacterial culture and sensitivity may be useful in this setting to guide the choice of antimicrobial. Oral corticosteroids are recommended by many in the treatment of kerions in a dose of 0.5 to 1 mg/kg per day for 2 to 4 weeks, although good controlled studies are lacking. Anecdotally this approach seems to be associated with more rapid resolution of the inflammation and reduction of pain. However, some authors report excellent outcomes in patients with kerion that was treated with antifungal therapy alone.
Tinea Faciei
Dermatophyte infection of the face is referred to as tinea faciei. Although it often presents in a similar fashion to tinea corporis (see below) with annular, scaly plaques ( Fig. 17-12 ), tinea faciei may sometimes be quite subtle clinically, especially if topical corticosteroids have been used. In some instances, when the classic annular configuration is absent or the changes are markedly inflammatory, it is referred to as tinea incognito ( Figs. 17-13 and 17-14 ), which may also occur in nonfacial areas ( Fig. 17-15 ). Tinea incognito typically occurs in patients who have received preceding therapy with topical corticosteroids or calcineurin inhibitors. Although localized mild tinea faciei may respond to topical antifungal therapy, systemic treatment (as described for tinea capitis) is often required to completely clear these lesions and minimize the rate of recurrence.




Tinea Barbae
Tinea barbae is an uncommon fungal infection of the bearded area and surrounding skin of adolescent and adult males. Because the most common etiologic agents are zoophilic species of Trichophyton mentagrophytes and T. verrucosum (occasionally T. violaceum and Trichophyton rubrum ), it occurs primarily among individuals from rural areas in close contact with cattle or other domestic animals. Autoinoculation of T. rubrum from infected nails (onychomycosis) has been reported in association with tinea barbae.
The infection is usually confined to one side of the face and may consist of a solitary lesion or multiple areas of involvement. The majority of infections are characterized by highly inflammatory purulent papules, pustules, exudate, crusting, and boggy nodules. The hairs within the infected areas are loose or absent, and pus may be expressed through the follicular openings. Spontaneous resolution may occur, or the lesions may persist for months with resultant alopecia and scar formation. Occasionally a less inflammatory superficial variety may occur, characterized by mild pustular folliculitis, erythematous patches with broken-off hairs, and a vesiculopustular border with central clearing similar to that seen in tinea corporis.
Tinea barbae must be differentiated from bacterial folliculitis of the bearded area (sycosis barbae), contact dermatitis, herpes zoster, or severe herpes simplex. Sycosis barbae is distinguished by the presence of papular and pustular lesions pierced in the center by a hair that is loose and easily extracted. Herpes simplex or herpes zoster usually presents with clusters of vesicles or erosions on an erythematous base, and the diagnosis is confirmed by Tzanck preparation, direct fluorescent antibody examination, or viral culture. Tinea barbae can be confirmed by microscopic examination of a KOH wet-mount of skin scrapings for fungal elements and/or fungal culture.
Treatment of tinea barbae consists of warm compresses (which help to remove crusts) and topical or oral antibiotics for the common secondary bacterial infection. The mainstay of therapy is an oral antifungal agent. With appropriate therapy, resolution occurs over 4 to 6 weeks.
Tinea Corporis
Superficial tinea infections of the skin are termed tinea corporis . Sites of predilection include the nonhairy areas of the face (particularly in children; see Tinea Faciei ), the trunk, and extremities, with exclusion of ringworm of the scalp (tinea capitis), bearded areas (tinea barbae), groin (tinea cruris), hands (tinea manuum), feet (tinea pedis), and nails (onychomycosis). Contact with other individuals, such as is seen in high school and college wrestlers (“tinea corporis gladiatorum”), and domestic animals, particularly young kittens and puppies, is a common cause of the affliction in children. The causative organism in young children is often M. canis and occasionally M. audouinii or T. mentagrophytes . In older children and adults, T. rubrum , T. verrucosum , T. mentagrophytes , or T. tonsurans are more likely to be responsible. In children with infection caused by T. rubrum or Epidermophyton floccosum , parents with tinea infection (especially tinea pedis or onychomycosis) are commonly the source of infection.
Tinea corporis tends to be asymmetrically distributed and is characterized by one or more annular, sharply circumscribed scaly plaques with a clear center and a scaly, vesicular, papular, or pustular border (hence the term ringworm ) ( Figs. 17-16 and 17-17 ). When multiple lesions are present they may become coalescent, resulting in bizarre polycyclic configurations ( Fig. 17-18 ). Although tinea corporis may occur in people of all ages, it is most commonly seen in children, in individuals in warm humid climates, and in patients with systemic diseases such as diabetes mellitus, leukemia, or immunodeficiency. Although extensive tinea infection is considered a sign of possible immunodeficiency, it may also occur in otherwise-healthy, immunocompetent children ( Fig. 17-19 ).




Tinea corporis is commonly manifested as classic ringworm with annular, oval, or circinate lesions. The pattern may, however, be variable, and it may mimic a variety of other dermatoses, including the herald patch of pityriasis rosea, nummular eczema, psoriasis, contact dermatitis, seborrheic dermatitis, tinea versicolor, vitiligo, erythema migrans (Lyme disease), granuloma annulare, fixed drug eruption, and lupus erythematosus. The use of topical corticosteroids may mask the diagnosis by altering the presenting features while the infection persists. Presentations that may occur in this setting include tinea incognito (as described) and Majocchi granuloma. This perifollicular granulomatous disorder, which also occurs on the legs of women with tinea who shave, is a distinctive variant of ringworm and essentially represents a granulomatous folliculitis and perifolliculitis caused by T. rubrum or T. mentagrophytes . It presents with erythematous plaques or patches that reveal scattered papules, papulonodules, or pustules studding the surface ( Figs. 17-20 and 17-21 ). If observed early in the course of the process, a hair may be noted in the center of the papular or pustular lesions.


Tinea corporis can often be diagnosed based upon the clinical presentation. Diagnostic examinations include KOH wet-mount examination of skin scrapings and fungal culture, as described earlier for tinea capitis. Wood lamp examination is usually not useful for diagnosing tinea corporis.
Confusion often exists among nondermatologists regarding the classification and management of cutaneous fungal infections. By definition, this term incorporates disorders caused by either dermatophyte or Candida infection . It must be recognized, however, that dermatophytes and Candida are not synonymous, and that although nystatin is an effective agent against candidal infection, it is inappropriate and ineffective in the treatment of tinea (dermatophyte) infections. Conversely, some antifungal preparations that are active against dermatophytes, such as tolnaftate and terbinafine, seem to be minimally effective agents for treating candidal infections.
Topical antifungal therapy is generally effective for superficial or localized tinea corporis. These agents are usually applied twice daily, are well tolerated, and have very few side effects aside from occasional instances of irritant or allergic contact dermatitis. Table 17-2 lists some commonly used topical antifungal agents for dermatophyte infections. Although clinical improvement and relief of pruritus may be seen within the first week of therapy, treatment should be continued for at least 2 to 3 weeks to ensure complete resolution.
| Generic Name | Trade Name (Select) | Type | OTC/Rx |
|---|---|---|---|
| Butenafine | Mentax | C | Rx |
| Ciclopirox | Loprox, Penlac | C, L, G, NL, Sh | Rx |
| Clotrimazole | Lotrimin, Mycelex, Desenex | C, L, S, P | Both |
| Econazole | Spectazole, Ecostatin | C | Rx |
| Ketoconazole | Nizoral, Nizoral AD | C, Sh | Both |
| Miconazole | Monistat, Zeasorb AF, Micatin | C, L, P, S | OTC |
| Naftifine | Naftin | C, G | Rx |
| Oxiconazole | Oxistat | C, L | Rx |
| Sertaconazole | Ertaczo | C | Rx |
| Sulconazole | Exelderm | C, S | Rx |
| Terbinafine | Lamisil | C, S | Both |
| Tolnaftate | Tinactin, Zeasorb AF, Fungi Cure | C, G, P, S | OTC |
If a patient shows no clinical improvement after several weeks of therapy, the diagnosis should be reconsidered or if confirmed and the patient has recalcitrant disease, a course of systemic therapy may be required. In certain situations, systemic antifungal therapy (similar to that described for tinea capitis) may be necessary from the start. These may include disseminated or severe disease, infection in an immunocompromised host, and Majocchi granuloma, in which case the depth of infection within the hair follicle requires the degree of penetration permitted only by a systemic agent.
Combination antifungal/corticosteroid preparations (i.e., 1% clotrimazole/0.05% betamethasone dipropionate) are widely used by nondermatologists in the treatment of superficial fungal infections, but care should be exercised with these products because their use may result in persistent or worsening infection. In addition, some of these products contain a fairly potent corticosteroid, and hence their indiscriminate use can result in topical corticosteroid toxicities, including skin atrophy, telangiectasia, striae ( Fig. 17-22 ), or systemic absorption. In some instances, such as severe tinea manuum or tinea pedis, such a combination product may be useful but should be applied for no longer than 2 to 4 weeks. This combination product should never be used in the diaper area, on the face, in fold areas, or under occlusion, and it is not recommended for children younger than 12 years of age.

Tinea corporis gladiatorum, which can impact an individual wrestler’s ability to compete, as well as have an effect on entire wrestling squads, may require systemic therapy, especially when extensive. Many have advocated different approaches for prevention, although well-designed clinical trials have been minimal. In one study, 100 mg of oral fluconazole given once weekly resulted in a significantly decreased incidence of infection when compared with placebo. In a prospective longitudinal study, 100 mg of fluconazole given once daily for 3 days before onset of the competitive wrestling season and again 6 weeks into the season led to a dramatic decrease in the incidence rate of tinea gladiatorum.
Tinea Imbricata
Tinea imbricata (Tokelau), which is caused by Trichophyton concentricum , is a superficial dermatophyte infection seen primarily in tropical regions of the Far East, South Pacific, South and Central America, and parts of Africa. It is characterized by concentric rings of scaling that form extensive patches with polycyclic borders. With time, the lesions spread peripherally and form large plaques that may cover almost the entire skin surface, although the scalp, axillae, palms, and soles are usually spared. When fully developed, the concentric rings are seen as parallel lines of scales overlapping each other, resembling tiles or shingles ( imbrex means “having overlapping edges,” like a shingle) on a roof. Diagnosis is based on the characteristic clinical presentation, microscopic demonstration of interlacing septate hyphae, and identification of the organism by fungal culture. Although treatment with a systemic antifungal agent will usually clear the eruption within 2 to 4 weeks, there is a tendency for recurrence when treatment is discontinued. Susceptible individuals tend to carry the disease for their lifetime, given the difficulty in achieving a total cure.
Tinea Cruris
Tinea cruris (“jock itch”) is an extremely common superficial fungal infection of the groin and upper thighs. It is seen primarily in male adolescents and adults and occurs less commonly in females. Tinea cruris is most symptomatic in hot, humid weather and is most commonly noted in obese individuals or those subject to vigorous physical activity and chafing. Tight-fitting clothing such as athletic supporters, jockey shorts, wet bathing suits, and panty hose may contribute to this condition as well. The three most common dermatophytes to result in tinea cruris are E. floccosum , T. rubrum , and T. mentagrophytes . Tinea pedis is a common coexisting condition, possibly related to autoinoculation of the dermatophyte with clothing that comes into contact with the feet.
Tinea cruris presents as sharply marginated, erythematous plaques with an elevated border of scaling, pustules, or vesicles. It is usually but not always bilaterally symmetric and involves the intertriginous folds near the scrotum, the upper inner thighs ( Fig. 17-23 ), and occasionally the perianal regions, buttocks, and abdomen. The scrotum and labia majora are usually spared, and if they are involved or satellite papulopustules are present, the diagnosis of candidiasis ( Fig. 17-24 ) should be considered. The lesions of tinea cruris may vary in color from red to brown, and central clearing may be present. In chronic infection the redness and scaling may be slight, the active margin may be subtle or ill-defined, and lichenification may be present.


Tinea cruris must be differentiated from intertrigo, seborrheic dermatitis, psoriasis, irritant contact dermatitis, allergic contact dermatitis (generally resulting from therapy), or erythrasma (a superficial dermatosis caused by the diphtheroid Corynebacterium minutissimum ). A characteristic coral-red fluorescence under Wood light examination is helpful in distinguishing erythrasma (see Chapter 14 ). The diagnosis of tinea cruris can be confirmed by a KOH wet-mount microscopic examination of cutaneous scrapings or by fungal culture.
Topical therapy (as discussed for tinea corporis) usually suffices for tinea cruris and is applied for 3 to 4 weeks. Other useful measures include reducing excessive chafing and irritation by the use of loose-fitting cotton underclothing, drying thoroughly after bathing or perspiration, and weight loss. The use of an absorbent antifungal powder (i.e., Micatin, Tinactin, or Zeasorb-AF) is sometimes helpful, and oral antifungal therapy is occasionally indicated for severe or recalcitrant disease. Tinea pedis, if present, should also be adequately treated as a preventative measure.
Tinea Pedis
Tinea pedis, or “athlete’s foot,” is relatively uncommon in young children but quite common in adolescents and adults, in whom it represents the most prevalent type of ringworm infection. Although children are not completely immune, most instances of athlete’s foot in prepubertal individuals actually represent misdiagnosed cases of foot dermatitis, dyshidrotic eczema, contact dermatitis, or other dermatoses. The differential diagnosis of tinea pedis also includes psoriasis, juvenile plantar dermatosis, erythrasma, and secondary syphilis. Associated conditions or complications include onychomycosis (see Tinea Unguium [Onychomycosis] ), secondary bacterial superinfection, id reaction, and cellulitis.
The etiologic agents most often responsible for tinea pedis are T. rubrum and T. mentagrophytes and less often E. floccosum or (especially in children) T. tonsurans . The disorder may present clinically in a variety of different ways. The interdigital type, which is the most common presentation, reveals inflammation, scaling, and maceration in the toe-web spaces ( Figs. 17-25 and 17-26 ), especially the lateral ones. The inflammatory or vesicular type shows inflammation with vesicles ( Fig. 17-27 ) or larger bullae and usually results from T. mentagrophytes infection. This type occurs most often in summer, and an immune response to fungal elements may be reflected by a vesicular id eruption on the hands, extremities, and trunk. Moccasin-type tinea pedis presents with erythema, scaling, fissuring, and hyperkeratosis on the plantar surfaces ( Fig. 17-28 ), often extending to the lateral foot margins. Contrary to the eruption seen in foot eczema, the dorsal aspects of the toes and feet are usually spared, although they may occasionally be involved ( Fig. 17-29 ). This form may be resistant to topical therapy, thus requiring an oral antifungal medication.






The diagnosis of tinea pedis is based upon the clinical picture, with confirmation by KOH examination and fungal culture. Treatment may be challenging, and efforts to protect the feet from commonplace sites of exposure to the organisms (i.e., public showers, gyms, locker rooms, pool decking) and to keep the feet dry are both important. Such efforts might include thorough drying of the feet after bathing, avoidance of occlusive footwear or nonbreathable socks, and the use of sandals or other footwear in high-risk areas. Absorbent antifungal powders or sprays may be used once or twice daily in individuals prone to these infections, especially after physical exertion and bathing. Those prone to hyperhidrosis can use 6.25% to 20% aluminum chloride (i.e., Certain Dri, Drysol, or Xerac AC) in an effort to decrease recurrent infection.
The usual treatment of choice for tinea pedis is a topical antifungal preparation applied twice daily. Acute vesicular lesions are best treated with wet compresses applied for 10 to 15 minutes two to four times daily in addition to the antifungal therapy. In patients with severely inflammatory disease or those with underlying chronic medical conditions such as diabetes or immunosuppression, oral antifungal therapy should be considered. The choices for oral therapy are similar to those discussed for tinea capitis, and a review of the literature reveals that terbinafine may be one of the more effective agents for this indication.
In instances in which the diagnosis is indeterminate, a topical antifungal agent and a corticosteroid formulation may both be used for a short period (2 to 4 weeks), at which time a fungal culture performed at the initiation of therapy can generally confirm or refute the diagnosis of tinea. If the diagnosis of tinea pedis is confirmed, the topical corticosteroid can be discontinued. Moccasin-type tinea pedis may require the addition of a keratolytic agent (i.e., lactic acid or urea) in addition to the antifungal in order to treat the hyperkeratosis and accentuate penetration of the antimicrobial. Id reactions, when present, are best treated with topical corticosteroids and oral antihistamines (if needed) and generally improve with eradication of the primary infection.
Tinea Manuum
Ringworm infection of the palmar hand (tinea manuum) is uncommon in childhood and when present is generally seen in postpubertal individuals. When ringworm occurs on the dorsum of the hand, it is referred to as tinea corporis rather than tinea manuum. Tinea manuum is usually unilateral and is caused by the same fungi responsible for tinea pedis: T. rubrum , T. mentagrophytes , and E. floccosum . It may be seen in association with tinea pedis, and when occurring on only one hand, presents in a fashion that has been termed two-foot, one-hand syndrome.
Clinical manifestations include a diffuse hyperkeratosis of the fingers and palm and a less common patchy inflammatory or vesicular reaction. Involvement of the fingernails (onychomycosis, see below) commonly occurs and may be a clue to the diagnosis. When onychomycosis is present, it usually involves some but not all of the nails on the affected hand. Total nail involvement, if present, should suggest the possible diagnoses of psoriasis or lichen planus. The differential diagnosis of tinea manuum includes psoriasis, allergic or irritant contact dermatitis, dyshidrosis, and an id reaction. Unilateral involvement may be another clue to the diagnosis, which can be confirmed by KOH microscopic examination or fungal culture.
The management of tinea manuum is essentially the same as that recommended for tinea pedis, and when the latter infection is simultaneously present, it should be appropriately treated as well.
Tinea Unguium (Onychomycosis)
Onychomycosis is a general term that refers to a fungal infection of the fingernails or toenails. Tinea unguium is a term that specifically implies dermatophyte infection of the nails. However, the two terminologies are often used interchangeably in clinical practice, and for the purposes of the discussion, onychomycosis will refer to dermatophyte nail infections caused usually by T. rubrum , T. mentagrophytes , T. tonsurans, and E. floccosum . Periungual infection caused by Candida albicans is discussed in the section on candidiasis. Onychomycosis is more common in adults, although it does occur in children, often in association with tinea pedis or tinea manuum but also as a primary infection. The overall prevalence of onychomycosis in children has been estimated to be between 0 and 2.6%. The lower incidence in children has been attributed to faster nail growth, smaller surface area for invasion, less nail trauma, lower incidence of tinea pedis, and less time spent in environments prone to infected fomites such as locker rooms. The majority of prepubertal children with onychomycosis have a first-degree relative with onychomycosis and/or tinea pedis. Pediatric onychomycosis affects the toenails in two-thirds of patients and the fingernails in one-third.
Onychomycosis is classified into several different patterns, including distal subungual, proximal subungual, and white superficial. The distal subungual type is the most common and is characterized by invasion of the underlying nailbed and inferior portion of the nail plate, which leads to onycholysis (detachment of the nail plate from the nailbed) and thickening of the subungual region, which takes on a discolored yellow-brown appearance ( Figs. 17-30 and 17-31 ). Proximal subungual onychomycosis is relatively uncommon and occurs when the invasion of the nail unit starts at the proximal nailfold (the area near the cuticle). Clinically, destruction of the proximal nail plate is seen along with similar changes to the distal subungual type ( Fig. 17-32 ). This form of onychomycosis is most common in individuals infected with human immunodeficiency virus (HIV), and it is considered by some to be an early marker for this infection. White superficial onychomycosis occurs with superficial infection of the nail plate and presents as well-delineated white plaques on the dorsal nail plate.




The diagnosis of onychomycosis is confirmed by direct microscopy of KOH wet-mount preparations and fungal culture. Material for examination should be taken from the subungual debris, underside of the nail plate, nail clippings, or nailbed when necessary. Confirmation of the diagnosis is important, because many cases of nail dystrophy are not fungal in origin and are instead the result of another diagnosis such as psoriasis, postdermatitis onychodystrophy, chronic paronychia, trauma, drug-induced onycholysis, pachyonychia congenita, lichen planus, or a variety of other conditions (see Chapter 7 ). It must be remembered that onychomycosis is seldom symmetrical and that it is common to find involvement of only one, two, or three nails of only one hand or foot. In patients who have involvement of all nails, an alternative diagnosis should be highly suspected. In children diagnosed with onychomycosis, a search for other concomitant mycoses (especially tinea pedis and tinea capitis) should be completed. Importantly, other close contacts with onychomycosis or tinea pedis should also be treated in an effort to end the cycle of transmission.
In general, topical agents tend to be relatively ineffective for the treatment of onychomycosis, in large part because of poor penetration through the nail plate. Topical antifungal therapy, however, is an important consideration as adjunctive therapy when tinea pedis is concomitantly present, in which case it may lower the relapse rate for onychomycosis. In addition, ciclopirox 8% nail lacquer solution has shown promise as an effective topical agent for onychomycosis, occasionally as monotherapy or more commonly, as an adjunctive treatment. In a randomized prospective study of 40 children with onychomycosis treated with ciclopirox lacquer monotherapy over 32 weeks, mycologic cure was achieved in 77%. Definitive therapy for onychomycosis in many patients, however, is best achieved with the use of oral antifungal agents. When considering therapy for this condition in children, many factors need to be incorporated into the equation, including the results of diagnostic studies, severity of the infection, age of the patient, and the risk-to-benefit ratios of the treatments being considered. Parents of younger children should be given the appropriate information regarding therapy and be allowed to make an informed decision. In many instances a trial of topical therapy with further consideration of systemic therapy if needed down the road may be a desirable option for parents. A systematic review of published studies on systemic therapy for pediatric onychomycosis revealed cure rates of 70% to 80%, similar to that seen in adults, and very good safety profiles.
Griseofulvin has traditionally been the treatment of choice for systemic therapy of onychomycosis. However, this agent requires long-term administration and is associated with low cure rates and high relapse rates. Newer antifungal agents including fluconazole, itraconazole, and terbinafine appear promising as therapies for this condition, and the latter two medications are FDA-approved for this indication in adults. All of these agents have high affinity for keratin, another advantage over griseofulvin, and all remain concentrated in the nails for months after discontinuation of therapy. In addition, they seem to result in much lower relapse rates.
The newer antifungal agents have been dosed in a variety of fashions in studies of onychomycosis. Fluconazole has usually been given as a weekly dose but may require 12 to 26 weeks of treatment. Itraconazole and terbinafine appear to be effective with a more convenient dosing regimen. Itraconazole pulse therapy (given daily for 1 week/month for 3 to 4 months) is a preferred strategy in adults with onychomycosis. This approach has been studied in pediatric patients and appears to be effective and relatively safe, although adequately randomized trials are lacking. Terbinafine has demonstrated significant effectiveness in the treatment of onychomycosis. This agent is usually given as a daily dose for 3 to 4 months, and several studies have suggested superior efficacy and cost effectiveness over the other antifungal drugs.
Tinea Versicolor
Tinea versicolor (pityriasis versicolor) is an extremely common superficial fungal disorder of the skin characterized by multiple scaling, oval macules, patches, and thin plaques distributed over the upper portions of the trunk, proximal arms, and occasionally the neck or face. It is caused by the yeast forms of the dimorphic fungus Malassezia furfur , which are referred to as Pityrosporum orbiculare and Pityrosporum ovale . This organism is part of the normal cutaneous flora. The disorder occurs worldwide, and the majority of cases present in adolescents, possibly in relation to the lipophilic nature of the organism and the sebum-rich environment of the affected regions. Tinea versicolor only occasionally occurs in prepubertal children. Although Malassezia is part of the normal flora, in immunocompromised hosts this yeast may be associated with opportunistic infections, including catheter-related fungemia, peritonitis, septic arthritis, pulmonary infection, and sinusitis.
The diagnosis is usually made clinically based on the characteristic presentation. Lesions may be most appreciated during summer months when sun exposure leads to increasing discrepancies in skin pigmentation between affected and unaffected areas. Examination reveals thin, scaly papules and plaques distributed on the chest, back ( Fig. 17-33 ), and less commonly on the face and neck ( Fig. 17-34 ). They may be hypopigmented or hyperpigmented ( Fig. 17-35 ) depending on the patient’s complexion and history of sun exposure, and sometimes mild erythema is present. Scalloping of the borders is common, and lesions may be so numerous that they coalesce into larger patches. Lower extremities and genitals are rare sites of involvement. Interestingly, azelaic acid is a dicarboxylic acid produced by M. furfur that inhibits the dopa–tyrosinase reaction, which may result in the hypopigmentation seen in this disorder. This acid is marketed as an acne therapy product for acne-induced hyperpigmentation (see Chapter 8 ).



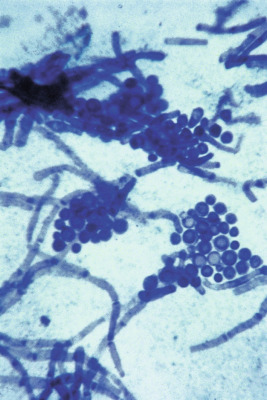
The differential diagnosis of tinea versicolor includes vitiligo, pityriasis alba, postinflammatory hypopigmentation or hyperpigmentation, pityriasis rosea, tinea, psoriasis, and confluent and reticulate papillomatosis of Gougerot and Carteaud (see Chapter 23 ). Distinguishing clinical features are usually sufficient to differentiate these various conditions. Vitiligo presents with depigmentation rather than hypopigmentation, with well-demarcated patches most often localized around orifices and bony prominences. Pityriasis alba presents with hypopigmented patches, but these lesions are usually limited to the face, occur in atopic individuals, and are only rarely as extensive as one would expect for tinea versicolor. The diagnosis can be confirmed by a KOH wet-mount of cutaneous scrapings, which reveals the highly characteristic short fungal hyphae and spores in grape-like clusters (the “spaghetti-and-meatballs” pattern) ( Fig. 17-36 ) on microscopic examination. Fungal culture is generally not useful, because the organism is difficult to grow on culture media and M. furfur is part of the normal skin flora.







