Principles of Care for Malignant Bone Tumors
Mark C. Gebhardt
Diagnosis
History
The history is the most important part of the evaluation of a bone tumor
Ask about pain: character, severity, present at rest or at night, and relieving and aggravating factors
Consider osteoid osteoma which can masquerade as a variety of symptoms but has a characteristic pain pattern present at night and relieved by nonsteroidal anti-inflammatory drugs (NSAIDs)
Langerhans cell histiocytosis (LCH) can mimic malignant tumors—ask about other symptoms like diabetes insipidus, ear infections, and skin lesions
Ask about café au lait skin macules: fibrous dysplasia, neurofibromatosis
History of trauma or fever—rule out injury or infection, myositis ossificans
Worry about “hematomas” that persist beyond 6 weeks
Worry about pain after an injury that does not improve over 6 weeks
Presence of a mass—suggests malignancy, but osteochondromas can be reported as “masses” by patients. Multiple masses can be hereditary multiple exostoses (HME)
Family history: ask about family cancer syndromes—Li-Fraumeni syndrome, Rothmund-Thomson syndrome, HME, retinoblastoma
Remember that a long history of a soft tissue mass does not mean it is benign: a mass from synovial sarcoma often be present for years prior to diagnosis
Physical Examination
The examination is standard with some additions
Palpate the mass for size, character, warmth, and tenderness
Does it move with respect to the underlying bone or is it fixed?
Soft, “doughy” are indicative of lipomas. Soft tissue sarcomas are usually firm and painful when touched. Bone sarcomas have soft tissue masses that emanate out form the bone
Check for regional lymph nodes
Look for bony deformities (and limb length discrepancy) seen in fibrous dysplasia, HME, and Ollier/Maffucci disease
Imaging
X-Ray: The Most Important Diagnostic Study for a Bone Tumor
What is the tumor doing to the bone: destructive, bone forming, mixed?
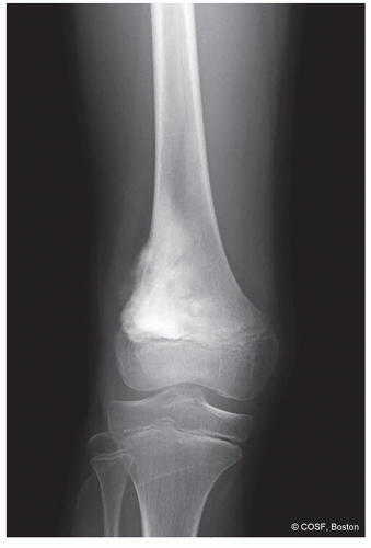
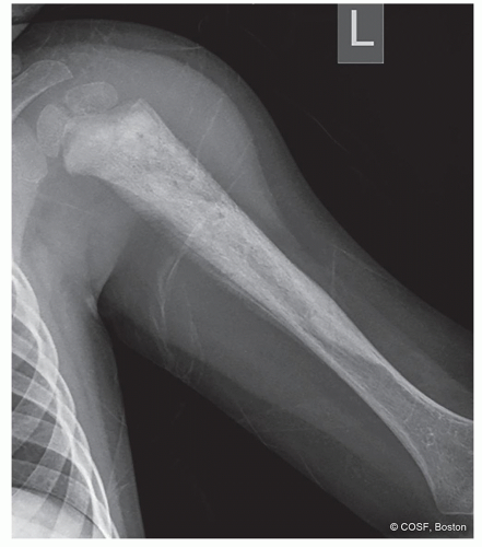
How is the bone responding to the tumor: margination, periosteal reaction? (Figures 41.1,41.2,41.3,41.4,41.5,41.6,41.7,41.8,41.9)
Where is the tumor in the bone?
Epiphysis: chondroblastoma in skeletally mature, giant cell tumor in adult (see Figures 41.2 and 41.8)
Metaphysis: Benign—nonossifying fibroma, osteochondroma, unicameral bone cyst, aneurysmal bone cyst, chondromyxoid fibroma (see Figure 41.1)
Malignant: osteosarcoma chondrosarcoma, undifferentiated pleomorphic sarcoma of bone (see Figure 41.3)
Diaphysis: Ewing sarcoma (see Figure 41.4)
Osteoid osteoma is usually cortically based in any part of the bone (see Figure 41.5); LCH can mimic almost anything
Fibrous dysplasia and Paget disease can involve the entire length of the bone (see Figure 41.6)
Are there any specific characteristics: “Ground glass” of fibrous dysplasia (see Figure 41.6), “popcorn” calcification of a cartilage tumor (see Figure 41.7), “stippled calcification” in a chondroblastoma (see Figure 41.8), ivory vertebra—lymphoma, leukemia, Paget disease, vertebra plana in LCH
Stay updated, free articles. Join our Telegram channel
Full access? Get Clinical Tree










