Key Points
- ▪
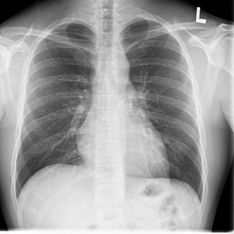
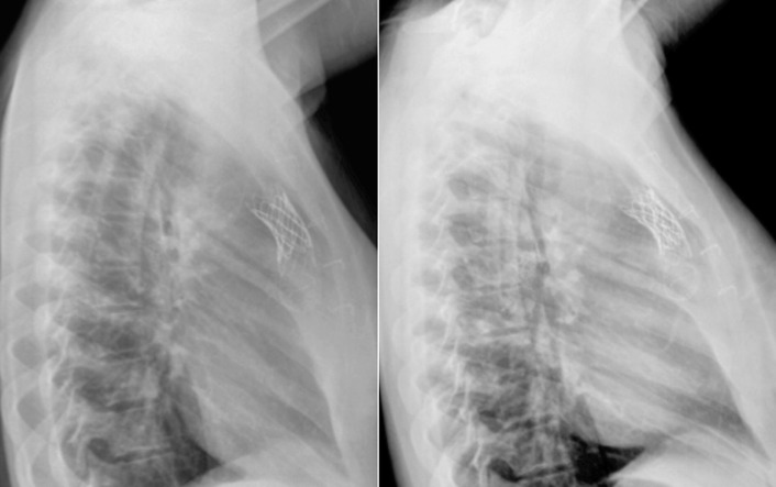
Percutaneously inserted heart valves are evident on chest radiography.
- ▪
The position of percutaneous heart valves can be visualized by chest radiography, as can some complications and dysfunction.
- ▪
(Thoracic) aortic stenting can be visualized by chest radiography, as can stenting of a wide range of other vessels and structures.
- ▪
A wide range of other percutaneously delivered devices and material can also be visualized on chest radiography.
Percutaneous Heart Valves
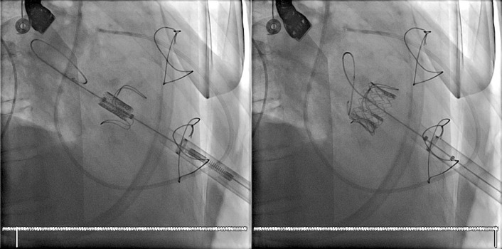
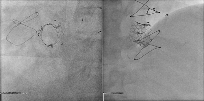
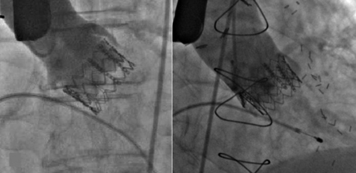
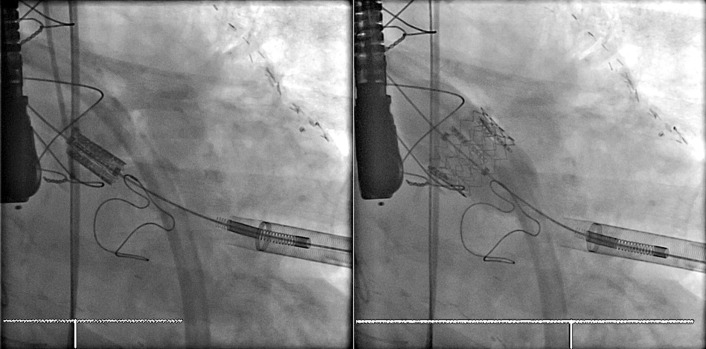
Transcatheter/percutaneously inserted heart valves are increasingly implanted. Most commonly, they are inserted into the pulmonic position or right heart conduits in the previously repaired congenital heart disease population ( Figs. 13-1 and 13-2 ) and into the aortic position ( Table 13-1 ; Graphics 13-1 and 13-2 ; Figs. 13-3 to 13-10 ), but they can also be placed into atrioventricular valve positions and into bioprostheses or conduits in any position.


| VALVES | COMPOSITION | RADIOPACITY | METHOD OF INSERTION |
|---|---|---|---|
| Aortic Valves | |||
| Edwards Lifesciences | Equine pericardial tissue | Radiopaque stainless steel stents (shorter) | NA |
| CoreValve | Bovine pericardial tissue | Radiopaque nitinol stent (longer) | NA |
| ENABLE Aortic Prosthesis, Model 6000 | Equine pericardial tissue | Radiopaque nitinol stents, radiopaque posts | Via femoral artery retrograde approach |
| ENTRATA Aortic Prosthesis, Model 7000 | Equine pericardial tissue | Radiopaque stainless steel frame | Via transapical anterograde approach |
| Edwards Ascendra | Equine pericardial tissue | Radiopaque stainless steel stents (shorter) | Via transapical anterograde approach |
| Pulmonic Valves | |||
| Medtronic Melody transcatheter | Equine pericardial tissue | Radiopaque platinum stents (shorter) | Via femoral venous insertion |
| Medtronic Melody transcatheter right-sided valve conduit | Equine pericardial tissue | Radiopaque stainless steel stents (shorter) | Via femoral venous insertion |
| CoreValve | Bovine pericardial tissue | Radiopaque nitinol stent (longer) | NA |










Percutaneous valves are generally supported by radiographically obvious stents, the design of which allows for initial contraction of the prosthesis onto a catheter and release/self-expansion from the catheter.
Percutaneous/transcatheter heart valves are constructed of either bovine jugular venous valves that are suspended on wire mesh cages (Bonhoeffer design/Melody Transcatheter Pulmonary Valve–TPV, Medtronic), or consist of a valve created from bovine pericardial tissue that is suspended on wire mesh cages (Edwards Sapien and Medtronic CoreValve). Percutaneous aortic valve implantation is currently one of the most rapidly proliferating percutaneous interventions in the world ( Figs. 13-11 to 13-13 ).



Aortic and Other Stents
Aortic Stenting ( Figs. 13-14 to 13-23 )
Thoracic aortic stenting/endografting is increasingly performed as treatment of coarctation of the aorta, aneurysm of the thoracic aorta, false aneurysm of the thoracic aorta, penetrating ulcers, and dissections ( Table 13-2 ). Thoracic aortic stenting may employ either uncovered or (ePTFE)-covered stents, depending on the nature of the lesion and the desired intervention. The supportive wire network of aortic stents is readily visible on chest radiography. FLOAT NOT FOUND FLOAT NOT FOUND FLOAT NOT FOUND FLOAT NOT FOUND FLOAT NOT FOUND FLOAT NOT FOUND FLOAT NOT FOUND FLOAT NOT FOUND FLOAT NOT FOUND FLOAT NOT FOUND
| Medtronic | |
| Valiant | Thoracic |
| Talent | Abdominal |
| Endurant | Abdominal |
| Gore | |
| Excluder | Abdominal |
| TAG | Thoracic |
Stay updated, free articles. Join our Telegram channel
Full access? Get Clinical Tree





