Abstract
Cutaneous metastases are uncommon and in general are associated with a poor prognosis; rarely, they may be the presenting sign of an internal malignancy. Epidemiologic statistics are helpful in predicting the type of metastasis that may be encountered. In women, breast carcinoma and melanoma are the malignancies that most often metastasize to the skin. In men, melanoma and carcinomas of the head and neck (squamous cell), lung, and colon are the most frequent sources of metastases to the skin. Among the common malignancies, breast carcinoma is the most likely and prostate carcinoma is the least likely to metastasize to the skin. Some of the less common carcinomas (e.g. renal cell) have a predilection for developing skin metastases.
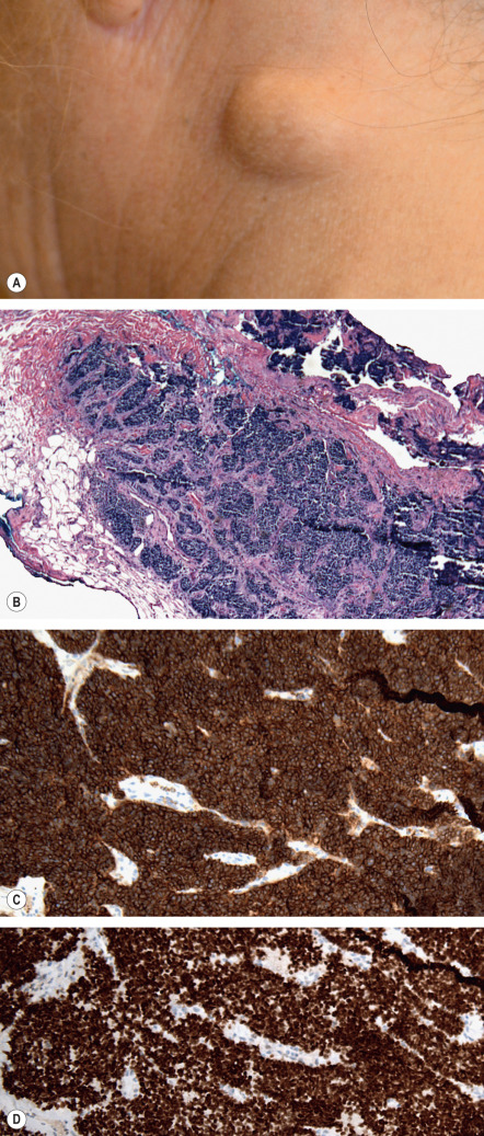
Although the classic clinical presentation for a cutaneous metastasis is a firm, painless, erythematous nodule, the hue can vary from skin-colored to blue–black. Typically the nodules are firmer than epidermoid cysts or lipomas. Additional presentations include erythematous patches that resemble erysipelas or dermatitis and indurated plaques. Cutaneous metastases can arise from hematogenous or lymphatic spread as well as direct extension. In the case of the latter two scenarios, proximity of the metastasis to the primary malignancy serves as a diagnostic clue. An example of lymphatic spread is in-transit metastases of melanoma while direct extension is most commonly observed with breast carcinoma and squamous cell carcinoma of the head and neck.
A biopsy is important for both confirming the diagnosis of cutaneous metastasis as well as in trying to determine the primary malignancy. Histopathologic findings are generally similar to, but not necessarily identical to, those of the primary malignancy. Immunohistochemical stains can assist in identifying the cellular lineage of metastases and in the case of an unknown primary, focus further evaluation. Treatments include excision, chemotherapy, immunotherapy and radiotherapy; the latter is often administered for palliation.
Keywords
cutaneous metastasis, cutaneous metastases, skin metastasis, skin metastases, inflammatory breast carcinoma, carcinoma en cuirasse , Sister Mary Joseph nodule, p40, p63, CK5/6, CK7, CK20
- ▪
Cutaneous metastases are uncommon and rarely may be the presenting sign of an internal malignancy
- ▪
In general, cutaneous metastases are associated with a poor prognosis
- ▪
In women, breast carcinoma and melanoma are the malignancies that most frequently metastasize to the skin
- ▪
In men, melanoma and carcinomas of the head and neck, lung, and colon are the malignancies that most frequently metastasize to the skin
- ▪
Among common malignancies, breast carcinoma is the most likely and prostate carcinoma is the least likely to metastasize to the skin
- ▪
The most common clinical presentation for a cutaneous metastasis is a firm, painless, erythematous nodule
- ▪
Cutaneous metastases may arise in the anatomic vicinity of the primary cancer
- ▪
Cutaneous metastases typically have histologic features similar to, but not necessarily identical to, those of the primary malignancy
- ▪
Treatments include excision, chemotherapy, immunotherapy and radiotherapy; the latter is often administered for palliation
Introduction
Given their prognostic implications, cutaneous metastases represent an important dermatologic entity. The skin is not a particularly common site for metastatic spread, and because the clinical appearance of cutaneous metastases can mimic more common disorders, e.g. epidermoid cysts (inflamed and non-inflamed; Fig. 122.1 ), lipomas, cellulitis, there may be a delay in diagnosis. This is especially true when the primary malignancy is occult. An understanding of the clinical spectrum as well as advances in histological assessment of skin metastases is vital to establishing the correct diagnosis.

Epidemiology
Depending upon the series, cutaneous metastases occur in 1% to 10% of patients with metastatic disease (to any organ) . Although uncommon, their recognition is important because they can be the first sign of extranodal metastatic disease and, as a result, have profound prognostic implications. The proportion of patients with metastatic disease who have cutaneous metastases depends upon the particular malignancy, e.g. the highest incidence is in individuals with metastatic melanoma, where up to 45% of patients can develop skin metastases ( Table 122.1 ) . Gender-specific cancer rates also influence the frequency of the various types of cutaneous metastases. In women, skin metastases are most often due to breast carcinoma (70%) and melanoma (12%), followed by carcinomas originating from the ovary, head and neck, and lung . In men with skin metastases, the most common underlying malignancies are melanoma (32%), followed by carcinomas of the head and neck (16%), lung (12%), and colon (11%).
| CUTANEOUS METASTASES IN PATIENTS WITH METASTATIC CANCER | ||
|---|---|---|
| Primary malignancy | Percentage of all patients with cutaneous metastases * | Percentage of all patients with metastatic disease who developed cutaneous metastases * |
| Breast | 50 | 30 |
| Melanoma | 18 | 45 |
| SCC (head and neck) † | 7 | 13 |
| Lung | 5 | 2.5 |
| Unknown | 4.5 | 7.5 |
| Colon/rectum | 4 | 4.5 |
| Ovary | 2.5 | 4 |
| Urinary bladder | 1.5 | 8 |
| Endocrine glands | 1 | 12.5 |
| Esophagus | 1 | 8.5 |
| Gallbladder/bile ducts | <1 | 5.5 |
| Liver | <1 | 5 |
| Kidney | <1 | 4.5 |
| Stomach | <1 | 2 |
| Pancreas | <1 | 2 |
| Uterine cervix | <1 | 1 |
| Prostate | <1 | <1 |
| Testes | <1 | <1 |
* The percentages are for men and women combined.
The overall prevalence of a cancer is also an important determinant. For instance, although skin metastases develop in only 2.5% of patients with metastatic lung cancer, they account for 12% of all cutaneous metastases in men due to the high prevalence of lung cancer . Similarly, the age of the patient plays a role, with rhabdomyosarcoma, leukemia and neuroblastoma responsible for the majority of cutaneous metastases seen in children .
Cutaneous metastases develop an average of 36 months (range, 1 to 177 months) after the initial diagnosis of the primary malignancy . Unfortunately, the vast majority (~95%) of patients with cutaneous metastases have advanced, stage III or IV disease. Rarely, cutaneous metastases can be the presenting sign of an internal malignancy (<1% of all new cancer diagnoses).
Pathogenesis
In 1889, Dr Stephen Paget espoused the “seed and soil” hypothesis as the paradigm of metastatic disease – a malignancy must develop the capability to dissociate from its native environment, survive during transit, and then propagate in a new milieu. This process includes detachment, intravasation, circulation, stasis, extravasation, and finally proliferation . It is estimated that ≤0.01% of tumor cells shed into the vasculature form metastatic foci at distant sites .
The ability of a malignancy to acquire metastatic potential is thought to occur via one of two mechanisms . In the clonal expansion or linear progression model, selective growth advantages are acquired during the course of tumor development. Over time, subpopulations of cells acquire genetic characteristics that enable them to dissociate and then propagate in distant tissues. In this model, metastatic foci have similar phenotypes and genotypes to the original tumor. Alternatively, in the rare variant or parallel progression model, rare, highly aggressive stem cell-like clones with high metastatic potential exist within the tumor and can cause dissemination at any point during tumorigenesis.
It is generally accepted that certain cancers tend to metastasize to distinct tissues. The mechanism by which they choose their final destination is related to hemostatic forces and surface protein expression patterns. When tumor emboli lodge in the first vascular bed they encounter, adhesion molecule interactions (e.g. integrins) facilitate extravasation and account for the commonly noted involvement of regional nodal basins. Yet, certain cancers have an affinity for specific tissues that are not anatomically convenient, such as prostate cancer spreading to bone and ocular melanoma metastasizing to the liver . Adhesion molecule expression seems likely to influence this tissue-specific homing of metastases. However, these mechanisms may be attenuated in highly aggressive, undifferentiated tumors that display a more random distribution of metastases.
Clinical Features
The clinical characteristics of cutaneous metastasis can provide important clues. When a patient with a known history of cancer presents with an extremely firm and rapidly growing erythematous nodule or an eruption of multiple skin nodules in close proximity to the primary tumor ( Table 122.2 ), the diagnosis of cutaneous metastasis is relatively straightforward. However, the skin lesions may grow more slowly, and while metastases typically appear within several years of the diagnosis of the primary malignancy, they can present decades later.
| ANATOMIC LOCATIONS OF CUTANEOUS METASTASES | |||
|---|---|---|---|
| Anatomic site | Primary malignancy (men) | Primary malignancy (women) | Comments |
| Scalp | Lung, renal | Breast | Can lead to alopecia (“alopecia neoplastica”; Fig. 122.2A ) |
| Head & neck | SCC of the head & neck * , lung | Breast | Eyelid metastases from breast carcinoma have been reported; breast & lung metastases can lead to a “clown nose” |
| Upper extremities | Lung, renal, colon | Breast | Uncommon site in men and usually occurs late during disease |
| Back | Lung | Breast | 20% of BSA, but site of 8% of metastases |
| Chest | Lung | Breast | |
| Abdomen | Colon, lung, stomach | Colon, ovary, breast | Sister Mary Joseph nodule: most commonly gastric, colon, ovarian or pancreatic cancers |
| Pelvis | Colon | Colon, ovary | Site of 8% of cutaneous metastases |
| Lower extremities | Melanoma > lung, renal | Melanoma > lung, renal | Uncommon site: 36% of BSA but site of only 4% of metastases |
Stay updated, free articles. Join our Telegram channel
Full access? Get Clinical Tree





