Abstract
Bites and stings are common and cause human disease through direct toxic effects of the venom, immune responses, and vector-borne infections. The chapter discusses the evaluation and treatment of patients presenting with bites and stings.
Keywords
arthropod, insect, arachnid, bite, sting, vector
Insects
Insect Bites and Stings (Class Insecta)
- ▪
Pruritic papules sometimes progress to vesiculobullae or persistent prurigo nodularis-like lesions
- ▪
Papular urticaria may be localized to sites of bites or generalized
- ▪
Pseudolymphomatous reactions occasionally occur
- ▪
Anaphylaxis is mainly related to hymenopterid stings
- ▪
Secondary infection is most often staphylococcal
Introduction
Insect bites and stings are prevalent throughout the world. In temperate climates they are primarily a seasonal phenomenon, although indoor infestations can persist year-round. Insects are important disease vectors worldwide, and many emerging infectious diseases are linked to arthropod vectors. Personal protection against bites plays a major role in disease prevention.
Arthropods produce a wide spectrum of clinical lesions. Bullous arthropod reactions may suggest a diagnosis of immunobullous disease, and positive direct immunofluorescence has been reported, especially in the setting of scabies infestation. Pseudolymphomatous reactions can also occur (see 33 , 121 ).
Epidemiology
While some diseases have a single arthropod vector, others have multiple vectors and/or additional means of transmission. For example, bites from ticks and handling of infected animals are the most common modes of tularemia transmission in the US, but the disease can also be acquired through bites by deerflies and other horseflies. The vector has an important influence on the patient population affected by a particular disease. For example, cat ownership is a risk factor for cat scratch disease, which is associated with Bartonella henselae transmission by fleas, while homelessness is a risk factor for trench fever, which is caused by Bartonella quintana transmission by lice; however, either organism–vector pair can cause Bartonella endocarditis and bacillary angiomatosis, explaining why these diseases affect both patient populations. Vector-borne diseases often become epidemic during war or following natural disasters, and poverty and homelessness contribute to the spread of vector-borne disease.
Pathogenesis
Insect venoms and saliva are complex. Immediate reactions are commonly related to histamine, serotonin, formic acid, or kinins. Delayed reactions are typically manifestations of the host’s immune response to proteinaceous allergens.
Roughly one-quarter of reported cases of anaphylaxis are due to stings from insects in the order Hymenoptera (meaning membranous wings), which includes bees, wasps, hornets, and ants. These insects can possess specialized stingers and produce complex venoms that contain substances such as formic acid, kinins, and proteinaceous allergens. Insect sting hypersensitivity is more common in individuals with an atopic diathesis, and patients with mastocytosis may develop more severe immediate reactions.
Clinical features
Characteristic insect bite reactions are grouped or disseminated, 2 to 8 mm, erythematous urticarial papules that are markedly pruritic and often excoriated ( Fig. 85.1 ); they typically resolve over 5–10 days. Occasionally, bite reactions present as evanescent wheals or longer-lasting “papular urticaria” that persists for weeks or even months, sometimes reactivating when new bites occur in different locations. Edematous plaques, targetoid lesions, purpuric papules, nodules, and vesiculobullous reactions can also occur ( Fig. 85.2 ; see Ch. 33 ). Chronic or resolving lesions are often hyperpigmented (see Figs 67.2B & 85.6B ), and prurigo nodularis-like lesions may develop, especially on the extremities. Secondary infection is common; although staphylococcal infections are seen most frequently, streptococcal infections also occur.


Insect bite reactions are most frequent in children 2–10 years of age and tend to involve exposed areas of the head, neck, and extremities. In addition to lesions restricted to the sites of bites, papular urticaria may develop as a generalized phenomenon following insect bites. Commonly, only one member of a family is affected, as most clinical manifestations relate to the individual’s immune response rather than the bite itself.
Exaggerated insect bite reactions (e.g. papulovesicular, nodular) can represent a manifestation of chronic lymphocytic leukemia and less often other hematologic malignancies (see Ch. 33 ). In addition, hypersensitivity to mosquito bites with bullous and necrotic skin lesions may occur in individuals (typically Asian or Hispanic children and adolescents) with chronic EBV infection and proliferation of EBV-carrying natural killer (NK) cells (see Ch. 80 ) . Screening for hematologic malignancies and latent EBV infection, including in situ hybridization to detect EBV RNA in biopsy specimens of lesional skin if positive serology, should be considered in patients with unusual arthropod bite reactions.
Bee and wasp stings typically produce immediate burning pain, which is followed by the development of local erythema and swelling that usually subsides within a few hours to days but can be more severe and persistent in sensitized individuals. Atrial arrhythmias have been reported after bee stings in the absence of anaphylaxis. Killer bee and wasp attacks may be associated with myoglobinuria or hemoglobinuria and acute tubular necrosis. Although bee stings have been utilized as an alternative therapy for inflammatory arthritis, beekeepers may develop a chronic arthropathy related to stings.
Pathology
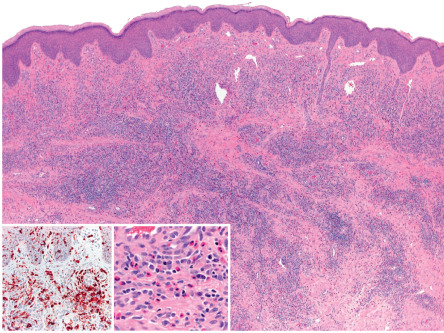
Histologic features suggestive of a bite or sting include the presence of a wedge-shaped perivascular lymphocytic infiltrate with eosinophils, endothelial prominence, and overlying spongiosis or focal epidermal necrosis. Marked spongiosis can result in blister formation, and Langerhans cell hyperplasia may be evident ( Fig. 85.3 ).

Differential diagnosis
Arthropod reactions account for many “cryptic” chronic skin eruptions. Features that should suggest an arthropod reaction include grouping of papules, patterns of eruption that correlate with exposure, and the histologic features noted above. When an arthropod reaction is suspected, a detailed history of outdoor exposures, pets, work, and hobbies may prove helpful.
Treatment
Camphor and menthol lotion and gel formulations may be useful in the control of pruritus. Topical anesthetic preparations can also be helpful, and those containing pramoxine are readily available and present a low risk of contact dermatitis. For more persistent bite reactions, topical corticosteroids are often required. In young children, mid-strength corticosteroid preparations may suffice, while in older children and adults, class 1 or 2 corticosteroids are preferable. These agents can be applied under occlusion to enhance efficacy, but for a predetermined time period to avoid potential side effects of cutaneous atrophy and striae.
When topical agents fail, intralesional corticosteroid injection (e.g. triamcinolone 5–10 mg/ml) or excision of the pruritic nodule may be necessary. Occasionally, pseudolymphomatous nodules may require higher triamcinolone concentrations (e.g. 20–40 mg/ml). Cutaneous atrophy can occur, especially if a higher concentration of corticosteroid is injected superficially. Atrophy may also be noted in a distribution corresponding to lymphatic drainage.
Prevention of bites is best accomplished through the use of protective clothing and repellents. The most commonly used repellents are listed in Table 85.1 . Factors that can influence the choice of a repellent include its efficacy, cost, convenience, odor and potential for irritation, as well as common arthropod pests in the area and the time of day, duration and environment of the exposure. DEET (N,N-diethyl-3-methylbenzamide, previously called N,N-diethyl-m-toluamide) remains the most widely used repellent for the prevention of bites from mosquitoes and most other insects. DEET can be applied to exposed skin or clothing. While mosquitoes that carry dengue virus tend to bite during the day, the anopheline mosquitoes that carry malaria tend to bite at night, and pyrethroid-impregnated mosquito netting represents an additional preventative measure. Treatment of clothing and other fabrics with permethrin can also be helpful.
| COMMONLY USED INSECT REPELLENTS | |
|---|---|
| Conventional repellents in EPA classification | |
| DEET (N,N-diethyl-3-methylbenzamide) * | Effective against a wide range of arthropods |
| Long history of use | |
| Picaridin (KBR 3023) | Good evidence for mosquitoes |
| Fewer studies support repellent effect against ticks | |
| Biopesticide repellents in EPA classification | |
| IR3535 (3-[N-butyl-N – acetyl]-aminopropionic acid, ethyl ester) | Good evidence for mosquitoes in some, but not all, studies |
| Fewer studies support repellent effect against ticks | |
| p-Menthane-3,8-diol † | Good evidence for mosquitoes |
| Fewer studies support repellent effect against ticks | |
| Botanicals (e.g. soybean oil, citronella, neem oil, fennel oil, geraniol) | Have consumer appeal as “natural” repellents |
| Best published evidence is for neem oil | |
| Lack of evidence does not necessarily equate to lack of efficacy, but available evidence to date suggests they are inferior to the synthetic repellents listed above | |
* There is a plateau of efficacy at 30% with long-acting products, and higher concentrations should generally be avoided. Because sunscreens require frequent reapplication and DEET does not, combination products with these ingredients are not recommended.
† The active ingredient of oil of lemon eucalyptus; use on children less than 3 years of age is not recommended.
The duration of efficacy of DEET depends primarily upon the dose applied. It provides less protection in women than in men, an observation that appears to be independent of serum estradiol levels. Efficacy may be reduced by the presence of skin abrasions. Rare toxic reactions include anaphylaxis and encephalopathy, and high concentrations of DEET can occasionally produce bullous eruptions.
Because of the potential for toxicity, the lowest effective DEET dose should be selected, especially in children. Many products with 10% or lower concentrations are available, although the American Academy of Pediatrics has stated that concentrations as high as 30% can be used safely in children 2 months of age or older (see Table 85.1 ). While sunscreens have been shown to enhance DEET absorption in studies using artificial membranes and animal models, this is not thought to be clinically significant with normal use.
Picaridin, IR3535, and p-menthane-3,8-diol perform reasonably well against a variety of mosquitoes and generally outperform soybean oil, citronella, neem oil, fennel oil and geraniol (see Table 85.1 ) . For protection against the common mosquitoes Aedes aegypti and Culex quinquefasciatus , IR3535 may be comparable to DEET. The Mediterranean monk’s pepper plant ( Vitex agnus-castus ) has demonstrated efficacy in repelling Ixodes ricinus and Rhipicephalus sanguineus ticks as well as some mosquitoes, biting flies, and fleas.
Because insect stings are often unexpected, individuals with known hypersensitivity to stinging insects should always have an epinephrine (adrenaline) autoinjector readily available. The EpiPen ® autoinjector contains 0.3 ml of epinephrine 1 : 1000 (for individuals weighing >66 pounds [>30 kg]), while the EpiPen ® Jr contains 0.3 ml of epinephrine 1 : 2000 (for children weighing 33–66 pounds [15–30 kg]). Patients must receive instructions regarding the use of the autoinjector, which needs to be protected from heat and light as well as inspected periodically for brown discoloration of the contents. Bee stingers should be removed as rapidly as possible.
Venom immunotherapy has been shown to improve quality of life for patients allergic to stings , reducing anxiety as well as the incidence and severity of local and systemic reactions. Desensitization protocols vary and should be discussed with an allergist. Rush (accelerated) immunotherapy can be performed for those with severe reactions, and it has a reasonable safety profile. In the setting of mastocytosis, immunotherapy may need to be continued indefinitely, frequently induces immediate hypersensitivity reactions, and is only partially effective. Omalizumab has been used in conjunction with immunotherapy for patients refractory to standard regimens, and this may help prevent immunotherapy-related anaphylaxis .
Fire Ants
- ▪
Imported fire ants are red–brown in color and 1–2 mm in length
- ▪
When their mounds are disturbed, the ants swarm and sting in great numbers
- ▪
Immediate burning pain is followed by intensely pruritic, grouped vesicles and pustules
- ▪
Fire ant allergy is an important cause of anaphylaxis in endemic areas
Introduction
The range of Solenopsis invicta , the red imported fire ant (originally from South America), has spread to encompass much of the southern and southwestern US, and its territory continues to expand. The size of fire ant mounds varies in proportion to the amount of rainfall. The mounds may be inconspicuous during periods of drought, but they can reach more than a foot (30 cm) in height after heavy rains. When the mound is disturbed, the ants swarm. Because of their small size, they are not felt until they all begin to sting simultaneously in response to a chemical signal. Fire ants are attracted to electrical boxes and therefore present a hazard to electricians. Indoor attacks by swarms of fire ants can be particularly dangerous to infants and elderly individuals with impaired mobility .
Pathogenesis
Fire ant venom is complex and acts by increasing membrane permeability and allowing release of histamine from mast cells. Allergic responses are directed at proteins within the venom. The venom is less concentrated in winter months, so winter sting reactions may be milder.
Clinical features
Fire ant stings begin as extremely painful wheals and evolve into intensely pruritic vesicles and sterile pustules ( Fig. 85.4 ). The fire ant first grasps the skin with its mandibles; it then pivots and delivers a series of stings in a circular fashion, which may produce a rosette pattern. Scattered individual lesions are also common, especially when the victim is able to remove the ants before they have a chance to sting again. Secondary staphylococcal infections sometimes occur after fire ant stings. The absence of persistent tenderness can help differentiate sterile pustular reactions from secondary infections. Life-threatening anaphylactic reactions to fire ant stings have become a significant problem in the southern US .

Treatment
Patients with a life-threatening fire ant allergy should carry an epinephrine autoinjector with them at all times. Immunotherapy improves quality of life for individuals with severe fire ant allergies, and rush immunization protocols can be successful for those at high risk of stings . Unfortunately, it is often impossible to avoid stings in endemic areas . Local reactions may be treated with potent topical or intralesional corticosteroids. A variety of methods of fire ant control are available, including bait insecticides that have a low environmental impact and are reasonably effective, as well as insecticide treatments for individual mounds.
Bedbugs
- ▪
Flattened oval body that is red–brown in color and 5–7 mm long in adults
- ▪
Segmented abdomen and vestigial wings
- ▪
Blood-sucking insects that feed at night and produce rows of pruritic, edematous papules
Introduction
In the past decade, there has been a worldwide resurgence of bedbugs, which are now frequently found in homes, hotels and dormitories . Increased international travel, expanded immigration, changes in pest control practices, and the development of insecticide resistance have likely contributed to this trend.
Bedbugs belong to the family Cimicidae (order Hemiptera) and are blood-sucking mammalian and avian ectoparasites. They have a flattened oval body, a segmented abdomen, a retroverted labium (sucking mouthpiece), a semicircular to triangular scutellum (dorsal sclerotic plate), and antennae with four segments ( Fig. 85.5 ). Cimex lectularius (the common bedbug) and C. hemipterus (found in warmer climates) affect humans most frequently; C. lectularius also parasitizes bats, chickens, and other domestic animals. C. lectularius ranges in size from 5 to 7 mm, with females slightly longer than males. C. hemipterus is roughly 25% longer than C. lectularius . Interspecies mating occurs in nature.

Bedbugs are nocturnal. They hide in mattress seams and crevices (e.g. within the bed frame and other furniture, behind baseboards, under peeling paint) during the day and feed at night, especially just before dawn. Red–brown fecal staining and nit-like ova are commonly visible in mattress seams.
Pathogenesis
Bedbug bite reactions result from an immune response to salivary proteins (e.g. nitrophorin) injected by the insect while feeding. Bedbugs digest their blood meal very slowly. The blood in the bug’s gut remains relatively unclotted and is not membrane-bound.
Clinical features
Bedbug bites typically present as pruritic, erythematous, edematous papules, sometimes with a visible central hemorrhagic punctum ( Fig. 85.6 ). As with other insect bites, the clinical appearance and duration of lesions vary depending on the individual’s degree of sensitization. Some individuals have little or no reaction to bedbug bites, and it is common for only one or a few family members (even among those sleeping in the same bed) to report lesions. Most bites occur in exposed areas. Three lesions in a row (referred to as “breakfast, lunch and dinner”; see Fig. 85.6B ) are characteristic of, but not specific to, bedbug bites. Although affected individuals classically awake with new lesions, bite reactions can take several days to appear, and the latency tends to decrease with exposure to additional bites .

To date, transmission of infectious diseases to humans by bedbugs has not been documented . Although hepatitis B virus has been detected within wild bedbugs, laboratory studies have failed to demonstrate viral multiplication or transmission to chimpanzees . However, the possibility of bedbugs serving as vectors of American trypanosomiasis has been raised, and a recent laboratory study found that Trypanosoma cruzi could be transmitted among mice by bed bugs . Bedbug dung may play a role in asthma.
Treatment
Bedbug bites can be treated as described above for other insect bites (e.g. with topical corticosteroids). Eradication of bedbugs from infested homes is difficult and usually requires the assistance of professional exterminators. Integrated pest management strategies utilizing both insecticides and non-chemical methods (e.g. heating/steaming, freezing, elimination of cracks and crevices) are most effective.
Triatomine (Reduviid) Bug
▪ Kissing bug
- ▪
Half-membranous wings (hard proximally and membranous distally) whose tips overlap
- ▪
Tan and dark “tiger stripes” on the abdomen
- ▪
Vector for American trypanosomiasis (Chagas disease)
- ▪
Bites can produce large, persistent edematous plaques
Introduction
Triatomine bugs are a type of reduviid bug that feeds on the blood of mammals and other vertebrates. Like bedbugs, they are true bugs of the order Hemiptera. Triatomine bugs are typically 1.5–3 cm in size as adults and have half-membranous wings that overlap. Characteristically, the wings fail to cover the lateral portions of their “tiger-striped” abdomen ( Fig. 85.7 ). The antennae are long, thin and composed of four segments; the position of the antennae is used to classify the bugs. The labium (sucking mouthpiece) is straight and composed of three segments. Behind the head is a triangular pronotum (first segment of the thorax) with a broad posterior base.

Triatomine bugs are vectors for American trypanosomiasis (Chagas disease; see Ch. 83 ). The bugs have a pronounced gastrocolic reflex, resulting in defecation as they eat. Infectious feces are then inoculated into the bite site or conjunctiva by scratching or rubbing.
Triatomine bugs are primarily nocturnal and live in peri-domestic sites in Central and South America and the southern US, especially cracked stone walls and piles of tiles or bricks. They commonly feed on domestic animals, and trypanosome transmission may cross over between domestic and sylvatic (wild animal) life cycles. Control of this vector has been difficult, and insecticide spraying in affected communities is often followed by reinfestation originating from nearby livestock enclosures or wild populations of triatomine bugs.
Clinical features
Triatomine bug bites are typically painless, and the first sign is delayed erythema, swelling, and pruritus at the site. Exaggerated responses in the form of large urticarial plaques or vesiculobullous lesions occasionally develop. These insects are known as “kissing bugs” because of their tendency to bite the face, especially around the lips. Unilateral eyelid and periorbital swelling 1–2 weeks after conjunctival exposure to infected triatomine feces is referred to as Romaña sign and represents a chagoma. Trypanosomes subsequently infect the autonomic nervous system, resulting in chronic complications that include cardiomegaly and megacolon (see Ch. 83 ). Triatomine bugs and cockroaches share antigens that are strongly immunogenic in atopic patients.
Blister Beetles
▪ Spanish fly
- ▪
Oblong bodies (1–2 cm long) and antennae composed of multiple short segments
- ▪
Wide variety of colors and patterns
- ▪
Contact with beetles results in vesicles and bullae due to their production of cantharidin
Introduction
Blister beetles (order Coleoptera) belong to the family Meloidae. These insects produce the blistering agent cantharidin, which serves to protect them from predators. Members of the family Oedemeridae are classified as “false” blister beetles but also produce cantharidin, whereas rove beetles of the family Staphylinidae make another vesicant, pederin (see below).
Much of what is known about blister beetles is extrapolated from studies of a few species. In Epicauta funebris , cantharidin has been identified in all ten life stages of the beetle, and it accumulates during the first five larval stages. When threatened, larvae protect themselves by exuding cantharidin in a milky oral fluid, rather than in the hemolymph that adult beetles discharge from leg joints. Adult male beetles contain up to 10% cantharidin by weight. If kept in isolation, females lose their larval reserves and must mate to preserve their stores of cantharidin. During mating, the female acquires cantharidin from her mate as a copulatory gift. She then transfers the cantharidin to her eggs, rendering them resistant to predation.
Clinical features
Contact with blister beetles typically results in the development of vesicles and bullae within 12–24 hours. Topical application of cantharidin has been used for the treatment of molluscum contagiosum and warts since the 1950s (see 79 , 81 ).
Pathology
Histologic sections of the blisters demonstrate acantholysis in suprabasal keratinocytes. Disruption of cell outlines and cellular necrosis may be noted. The profile of adhesion molecule loss in cantharidin blisters is similar to that seen in Darier disease.
Treatment
Avoidance is the best measure, but immediate washing with soap and water may be of some benefit.
Rove Beetles
▪ Nairobi fly
- ▪
Narrow bodies (0.5–1.5 cm long), a red–orange abdomen, and short forewings
- ▪
A vesiculopustular eruption can result from contact with pederin-containing beetle hemolymph
Introduction
Rove beetles belong to the Staphylinidae family. The hemolymph of some rove beetles in the Paederus genus contains the vesicant pederin, which is thought to be produced by endosymbiotic bacteria. Paederus dermatitis (dermatitis linearis) is a streaky vesiculopustular eruption that results from release of pederin when a rove beetle is crushed or injured on the skin. Outbreaks of Paederus dermatitis have been reported in warm climates worldwide, typically occurring when beetle populations increase during the rainy season. Epidemics of vesiculobullous skin lesions in military units and hospital wards with open windows have been attributed to the rove beetle’s attraction to ultraviolet light (e.g. from fluorescent bulbs).
Clinical features
Contact with pederin leads to inflamed skin with erythema and often pustules as well as vesicles, in contrast to the relatively non-inflammatory vesicles produced by cantharidin. These changes usually begin to develop 24–36 hours after exposure, and “kissing lesions” may be seen on adjacent flexural surfaces. “Nairobi eye” represents periocular dermatitis and keratoconjunctivitis caused by Paederus eximius , a rove beetle found in Northern Kenya.
Pathology
Histologic features include suprabasal acantholysis, reticular degeneration, and necrosis of the epidermis together with an inflammatory infiltrate containing neutrophils.
Treatment
Immediate washing with soap and water is recommended. Preventative measures include use of insect-proof netting at night, changing to light sources without ultraviolet emission, and removing beetles from the skin without crushing them.
Fleas
- ▪
Laterally compressed bodies and large hind legs
- ▪
The most common flea on dogs is Ctenocephalides felis , the cat flea
- ▪
Produce intensely pruritic papules, vesicles and bullae, often grouped on the lower extremities
- ▪
Serve as vectors for endemic (murine) typhus, flea-borne spotted fever, and plague
Introduction
Fleas (order Siphonaptera) are ubiquitous pests and show little host specificity. The most common flea on dogs is Ctenocephalides felis , the cat flea. Pulex irritans , the human flea ( Fig. 85.8 ), is a common dog flea in some locations. It is also found on wild animals with no human contact. Ctenocephalides fleas have two ctenidia (combs) that resemble a mane of hair (pronotal comb) and mustache (genal comb) ( Table 85.2 ).

| CHARACTERISTIC ANATOMIC FEATURES OF SEVERAL COMMON TYPES OF FLEAS | |
|---|---|
| Flea | Characteristics |
| Pulex | Round frons (forehead); single pair of hairs behind antennae |
| Xenopsylla | Round frons; several pairs of hairs behind the antennae; pleural rod (vertical thickening in mesothorax) |
| Ctenocephalides felis | Two ctenidia (combs) on the head * ; sloped frons; six hair-bearing notches on dorsal hind tibia |
| Ctenocephalides canis | Two ctenidia (combs) on the head * ; round frons; eight hair-bearing notches on dorsal hind tibia |
| Sticktight flea | Flat frons; broad lacinia (serrated piercing lance-like mouthpart) |
Clinical features
Flea bites present as intensely pruritic papulovesicles, usually located on the lower legs. Other parts of the body may also be affected, especially when an infested pet has been groomed or held. Flea allergy is common, and allergic patients tend to react to a wide range of fleas. Flea pupae can lie dormant for many months then hatch rapidly in response to vibration. Individuals who enter a vacant house can find that fleas rapidly besiege them.
Fleas serve as vectors for endemic (murine) typhus, flea-borne spotted fever, plague, and (primarily among cats) Bartonella henselae infection (see 74 , 76 ). Endemic typhus is common in southern Texas and California, where the cat flea and Xenopsylla cheopis (the oriental rat flea) are the primary vectors, respectively. The disease has also emerged with a worldwide distribution. Feeding alone can transmit endemic typhus, although fleas also defecate infectious bloody feces when feeding.
Tungiasis (caused by the jigger or sand flea, Tunga penetrans ) usually presents with papular necrotic lesions on the feet, often located adjacent to the great toenail (see Ch. 84 ). The incidence peaks during dry weather. A gravid female flea is typically found within the upper dermis of the lesions. Infestation most often occurs in beach areas and urban slums, and the flea is common on dogs, cats, and rats.
Treatment
Lufenuron, available in oral and injectable formulations, prevents fleas from reproducing and is an effective treatment for infested animals. Topical fipronil can then be used to prevent flea infestation in animals. Boric acid, growth regulators such as pyriproxyfen, and insecticides may be helpful adjunctive treatments for the infested environment. The best source of information is a knowledgeable veterinarian.
Tungiasis is usually treated surgically. A double-blinded randomized controlled trial of oral ivermectin (300 mcg/kg on two consecutive days) showed it to be ineffective in treating patients with multiple lesions.
Lepidopterism
- ▪
Caterpillar dermatitis is caused by the larval form of a butterfly or moth
- ▪
Dermatitis may also result from the hairs or scales of adult lepidopterids
- ▪
Severe systemic reactions may occur with some species
- ▪
Important cause of ophthalmia nodosa
Introduction
Lepidopterism refers to the broad spectrum of adverse reactions to caterpillars, cocoons, butterflies, and moths. Some authors use the term erucism for solely cutaneous reactions to these organisms or specifically for reactions to caterpillars . A wide variety of species has been implicated .
Pathogenesis
Much of the irritation due to contact with the hairs of lepidopterids is purely mechanical in nature. Toxin-mediated reactions may be related to histamine, kinins, plasminogen activators and other proteinaceous toxins associated with hairs (setae), spines or hemolymph. Allergy usually does not play a significant role in the reactions.
Clinical features
Cutaneous manifestations include pain, pruritus, erythema, swelling, hemorrhage ( Fig. 85.9 ), papules, and urticaria. Cutaneous reactions may be accompanied by systemic reactions, e.g. respiratory distress or a bleeding diathesis with intracranial hemorrhage ( Table 85.3 ). Contact with Australia’s white-stemmed gum moth ( Chelepteryx collesi ) produces yellow discoloration of the skin.

| CUTANEOUS AND SYSTEMIC REACTIONS ASSOCIATED WITH LEPIDOPTERISM | |||
|---|---|---|---|
| Moth/caterpillar common name | Scientific name | Locale | Clinical findings |
| Gypsy moth caterpillar | Lymantria dispar | Northeastern US | “Dermatitis” from direct contact or from hairs on clothesline-dried clothing |
| Io moth caterpillar | Automeris io | US | Immediate stinging sensation, “dermatitis” (often transient urticarial papules) |
| Saddleback caterpillar | Acharia stimulea (formerly Sibine stimulea ) | US | Immediate stinging sensation, “dermatitis” (often transient urticarial papules) |
| Buck moth caterpillar | Hemileuca maia | Eastern US | Immediate stinging sensation, “dermatitis” |
| Puss caterpillar | Lagoa crispata (also known as Megalopyge crispata ) | Oklahoma and eastern US | Immediate burning sensation, “dermatitis”; in Oklahoma, spines contain high concentrations of tannins (ingested from oak trees) |
| Southern flannel caterpillar, puss caterpillar, wooly asp | Megalopyge opercularis | Southern US, Mexico and Central America | Immediate intense radiating pain; characteristic “railroad track” pattern of hemorrhage ( Fig. 85.9 ); edema, hives and systemic symptoms may occur |
| Saturniid moth caterpillar, giant silkworm moth | Lonomia achelous, L. oblique | Latin America | Local and severe systemic reactions, in particular with a bleeding diathesis (with complications such as renal failure) |
| Processionary caterpillars: pine, Cyprus and oak (characteristically travel single-file) | Thaumetopoea pityocampa , T. wilkinsoni , T. processionea | Mediterranean region, central Europe, Britain | Urticaria (often immunologic), angioedema, anaphylaxis, conjunctivitis, respiratory distress, abdominal pain, hypertension, lytic bone lesions in the digits; airborne urticating hairs are spread by the wind |
| Pine moth caterpillar and cocoon | Dendrolimus punctatus | China, imported elsewhere | “Dermatitis”, arthritis (usually monoarticular), chondritis, ophthalmia nodosa |
| Tussock moth caterpillar | Orgyia pseudotsugata | Western US, especially Pacific Northwest | “Dermatitis”, pruritus of the skin and eyes as well as respiratory symptoms (irritant and allergic mechanisms); forestry workers |
| Yellowtail moth (adult female) | Hylesia metabus , H. alinda | Mexico and South America (including H. metabus in the Venezuelan port of Caripito) | Papular urticaria (Caripito itch); ship crew members are classically affected |
Dermatitis due to gypsy moth caterpillars may result from direct contact with the caterpillar or from hairs on clothesline-dried clothing. Erythematous urticarial papules and macular erythema with pruritus are commonly localized to the flanks, feet, inner aspects of the arms and legs, and collar region.
Ocular lesions caused by caterpillar hairs (ophthalmia nodosa) are similar to those caused by tarantula hairs. Ocular reactions to hairs include acute “toxic” conjunctivitis, chronic mechanical keratoconjunctivitis, subconjunctival granulomatous nodules, iritis, and vitreoretinal involvement. The hairs tend to migrate inward in the direction of the sharp tip.
Children who ingest caterpillars tend to develop focal or diffuse erythema and edema of the lips, tongue, and buccal mucosa. Esophageal and tracheobronchial involvement can also occur. Removal of hairs and spines may require endoscopy.
Arachnids
Tick Bites (Class Arachnida: Subclass Acarina)
- ▪
Hard ticks are important disease vectors (e.g. Lyme disease, Rocky Mountain spotted fever)
- ▪
Ornithodoros soft ticks transmit borrelial relapsing fever
- ▪
Dermacentor ticks hidden in the scalp represent an occasional cause of paralysis
- ▪
Correctly identifying the tick allows patients to be counseled appropriately
- ▪
Tick control measures are important in preventing disease
Stay updated, free articles. Join our Telegram channel
Full access? Get Clinical Tree





