Tiny, rough, red, or tan spiny follicular papules distributed in a grid-like pattern on the deltoid areas (Fig. 13-1)
“Goose flesh,” “sandpaper-like” texture when palpated
Characterized by the appearance of small, rough, erythematous papules in a grid-like pattern, often with crusting and marked pruritus
Clinical
Potent or superpotent topical steroids are often necessary for these follicular lesions
Asymptomatic
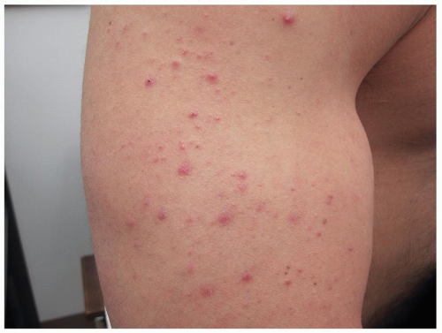
Lesions most often appear on the lateral upper arms (Fig. 13-3) as well as the cheeks (see Fig. 7-6)
Present as one or more round, oval, or irregular whitish patches or thin plaques, with or without fine surface scale
Often appears following sun exposure because tanning of surrounding skin unmasks affected areas
Resolves spontaneously
Moisturization
Lowest potency topical steroids (class 5 to 7)
Nonsteroidal anti-inflammatory treatments such as tacrolimus 0.03% or 1% ointment (Protopic), pimecrolimus 1% cream (Elidel) or crisaborole 2% ointment (Eucrisa)
Generally, no treatment is necessary
![]() Figure 13-3 Pityriasis alba. These whitish round patches most often appear on the cheeks (Fig. 7-6) and lateral upper arms in those with atopic dermatitis. |
Lesions may vary from well-demarcated, whitish or silvery erythematous plaques on the elbows (Figs. 13-5 and 13-6) and knees
Plaques can be very thick and hyperkeratotic
Usually not pruritic
Generally symmetric in distribution
![]() Figure 13-5 Localized plaque psoriasis. Note the well-circumscribed erythematous plaques surmounted by a fine scale. |
Clinical
The use of a potent (class 1) topical steroid for a limited period, followed by a less-potent topical steroid for maintenance
Occlusion of topical steroids of a medium- or high-potency agent is applied and then covered with polyethylene wrap (e.g., Saran Wrap) for several hours or overnight. Alternatively, the application of Cordran Tape, an occlusive tape that is impregnated with the steroid flurandrenolide may be used. This is helpful for occlusive therapy when relatively small areas are treated
Intralesional steroids (2.5 to 5 mg/mL) can be helpful for thicker plaques
See Tables 13.1 and 13.2 for information on topical steroids and agents used to treat psoriasis
Less-potent topical steroids can be used for maintenance (e.g., triamcinolone 0.1% ointment) daily
Topical calcitriol ointment (Vectical)
Topical calcipotriene vitamin D3 cream (Dovonex)
Topical vitamin D3-potent steroid combination ointment (Taclonex)
If tolerated, natural sun exposure should be encouraged when available
Phototherapy
Rotational therapy: This strategy decreases cumulative side effects and drug tolerance (tachyphylaxis), and often allows for lower dosages and shorter durations of therapy for each agent. For example, the use of a superpotent (class 1) topical steroid, such as clobetasol, may be applied for 2 weeks, discontinued for 1 or 2 weeks, and then restarted. Alternatively, clobetasol may be used on weekends only and Vectical ointment can be used during the week
Table 13-1 Topical Steroids Used to Treat Psoriasis | |||||||||||||||||||||||||||||||||||||||||||||
|---|---|---|---|---|---|---|---|---|---|---|---|---|---|---|---|---|---|---|---|---|---|---|---|---|---|---|---|---|---|---|---|---|---|---|---|---|---|---|---|---|---|---|---|---|---|
| |||||||||||||||||||||||||||||||||||||||||||||
Table 13.2 Other Topical Agents Used to Treat Psoriasis | |||||||||||||||||||||||||||||||||||||||
|---|---|---|---|---|---|---|---|---|---|---|---|---|---|---|---|---|---|---|---|---|---|---|---|---|---|---|---|---|---|---|---|---|---|---|---|---|---|---|---|
| |||||||||||||||||||||||||||||||||||||||
Stay updated, free articles. Join our Telegram channel
Full access? Get Clinical Tree











