58 Proximal Row Carpectomy
Abstract
Proximal row carpectomy (PRC) is one of several surgical options for patients with advanced wrist arthritis. It is a reliable, motion-preserving procedure. The surgical technique and technical pearls are outlined here. PRC is not recommended for patients with midcarpal arthritis, specifically involving the capitate, or degenerative changes within the lunate fossa.
58.1 Description
A number of surgical options exist for the treatment of endstage/advanced wrist arthritis, including wrist denervation, proximal row carpectomy, scaphoid excision and four-corner fusion, total wrist arthroplasty, and wrist arthrodesis.
58.2 Key Principles
Treatment choice is based on patient age, functional demands, pattern/location of arthritis, and expected durability. Proximal row carpectomy has been shown to be a reliable, motion-preserving procedure, and is therefore often recommended in younger patients (minimum, 35–40 years old). 1 , 2 , 3
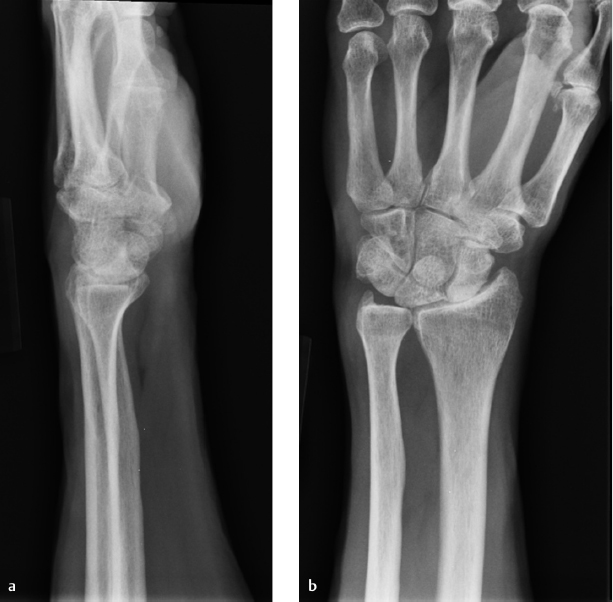
58.3 Indications
Advanced scapholunate advanced collapse (SLAC) (stage II) (► Fig. 58.1) or scaphoid nonunion advanced collapse (SNAC) (stage II or stage III if lunate and capitate preserved).
Kienbock’s disease (stages III and IV).
Rheumatoid arthritis.
58.4 Contraindications
Proximal row carpectomy (PRC) is not recommended for patients with midcarpal arthritis, specifically involving the capitate, or for those with degenerative changes within the lunate fossa. Patients with an incompetent radioscaphocapitate ligament are also not candidates for this procedure.
58.5 Special Considerations
Preoperative radiographs of the wrist (posteroanterior, lateral, and oblique views) are necessary to assess the location and severity of arthritic changes. Computed tomography may be used for further evaluation and can be particularly helpful for visualizing the midcarpal joint. These findings are correlated with the patient’s history and physical examination findings.
58.6 Special Instructions, Positioning, Anesthesia
Patients are positioned supine, with the operative extremity on a hand table. General anesthesia or intravenous sedation is required. Regional anesthesia is used as an adjunct at some institutions.
Stay updated, free articles. Join our Telegram channel
Full access? Get Clinical Tree





