Soft Tissue Tumors of Skin and Subcutis



Soft Tissue Tumors of Skin and Subcutis


Louis P. Dehner

Alejandro A. Gru

Aimee C. Smidt

Emma F. Johnson



The designation of soft tissue tumors as applied to the skin and subcutis of children and adults alike include a broad range of neoplasms and malformations that are composed of a single or multiple mesenchymal tissues. In a review of skin biopsies and excision from the institution of one of us during a 1-year period, approximately 15% of all cases were soft tissue tumors in a time interval when one-third of all lesions were melanocytic proliferations.1 The most common category of the mesenchymal lesions was vascular anomalies, both neoplastic and malformational types (see Chapter 25).

Many of the soft tissue tumors of the skin and/or subcutis are a challenge to pathologists and dermatopathologists often as a spindle cell, fibrous-appearing tumor, which is centered in the dermis or involves both the dermis and subcutis as a contiguous mass.


Peripheral Nerve Sheath and Other Neurogenic Tumors

A review of our experience with soft tissue tumors of the skin in children during a recent 2-year period revealed slightly less than 50% of lesions were vascular anomalies, but the next most common category was neurogenic tumors of various types comprising approximately 20% of cases (Table 24-1).

Peripheral nerve sheath tumors (PNSTs) are represented by a group of soft tissue tumors that are composed of one or more cell types such as Schwann cells in the case of schwannoma, perineurial cells in the perineurioma, or a mixture of neural elements including neurites, Schwann cells, and perineurial cells in the neurofibroma (NF) or hybrid PNSTs.2 Granular cell tumor (GCT) is considered a Schwannian neoplasm in almost all cases except for the congenital epulis arising from the gingival soft tissues of an infant. Other neural lesions presenting in the skin and underlying soft tissues in children include the neural lipofibromatous hamartoma (NFH), ectopic meningothelial hamartoma, and neuromas of various types that are either developmental anomalies or a disordered reactive-regenerative process.


NEUROFIBROMA

NF was the most common of the PNSTs presenting in the skin and subcutis of children and represented 75% of cases in our series (Table 24-1). Unlike most cutaneous NFs in adults that are typically sporadic and solitary, the clinical context in children is quite the contrary, with multiple tumors in superficial and deep soft tissue sites; these patients all have NF type 1 (NF1).3 In general, the cutaneous NFs in NF1 are just one feature in which café au lait spots and axillary freckles are also seen.4,5 Less frequently, NFs are seen in NF type 2 (NF2), but with many fewer lesions, and are often more subtle in their clinical presentation.6,7,8 Schwannomas arising in the skin and soft tissues are seen in the setting of NF2 or schwannomatosis.9,10 The salient features of NF1,
NF2, and schwannomatosis are summarized in Table 24-2. Virtually all of those with NF1 develop NFs, and 50% of children with NF1 have at least one, if not more, NF by the age of 10 years. In children under 10 years of age, NFs often have exclusive plexiform features.








TABLE 24-1. Mesenchymal tumor and tumor-like lesions of the dermis and subcutis















































































































































Vascular


Number


Lobular capillary hemangioma (PG)


77


Malformation


48


Infantile hemangioma


24


Others


37


Total


186 (49%)


Nerve/Nerve Sheath



Neurofibroma


61


Schwannoma


6


Ependymal rests


5


Ganglioneuroma


3


Granular cell tumor


2


Plexiform palisaded neuroma


1


Soft tissue glioma


1


Meningothelial hamartoma


1


Total


80 (21%)


Others



Dermatofibroma (cutaneous fibrous histiocytoma)


13


Sarcomaa


9


Angiofibroma


8


Plexiform fibrohistiocytic tumor


5


Dermatofibrosarcoma protuberans-giant cell fibroblastoma


2


Cellular neurothekeoma


2


Leiomyosarcoma


1


Myxoinflammatory fibroblastic sarcoma


1


Myxoma (multiple)


1


Total


42 (11%)


Fibrous/Myofibrous



Fibromatosis including desmoid tumor


13


Myofibroma


8


Infantile subcutaneous fibromatosis


6


Fibrous hamartoma of infancy


5


Nodular fasciitis


5


Digital fibroma


3


Myopericytoma


1


Total


41 (11%)


Lipomatous



Lipoma


19


Lipoblastoma


5


Myxoid liposarcoma


1


Nevus lipomatosis


1


Angiolipoma


1


Total


27 (7%)


Grand total


376


From the files of the Lauren V. Ackerman Laboratory of Surgical Pathology and Dermatopathology, Washington University Medical Center, St. Louis, MO, for the years of 2015 and 2016.


a Ewing sarcoma (3), clear cell sarcoma (1), rhabdomyosarcoma (3), histiocytic sarcoma (1), extraskeletal myxoid chondrosarcoma (1).


Abbreviation: PG, pyogenic granuloma.


From Dehner LP, Gru AA. Non-epithelial tumor and tumor-like lesions of the skin and subcutis in children. Pediatr Dev Pathol. 2018;21(2):150-207.


NF1 is caused by mutation in the NF1 gene that encodes the tumor suppressor protein neurofibromin.11 Specifically, NFs are characterized by biallelic inactivation of the NF1 gene in a subpopulation of Schwann cells within the lesion.11 NF2 is caused by a loss of function of the NF2 gene that encodes the cell membrane protein and tumor suppressor protein merlin.12 Schwannomatosis is caused by a mutation in the SMARCB1 gene.13

NFs present as protuberant to pedunculated, flesh-colored to pinkish papules or nodules (Figure 24-1). They are soft on palpation and can demonstrate the “buttonhole sign” in which the lesion can be invaginated into the subcutis with pressure and reappear after release of pressure.14

In the setting of NF1, NFs occur in young adults and continue to develop over time.4 Patients can have tens, hundreds, or even thousands of cutaneous NFs.4 Cutaneous NFs occur in 99% of patients with NF1. Two or more NFs or one plexiform NF (Figure 24-2) is included in the diagnostic criteria for NF1. Other diagnostic criteria, of which the patient needs two to confirm the diagnosis, are six café au lait spots greater than 5 mm in diameter in prepubertal children and greater than 15 mm in postpubertal children (Figure 24-3); freckling in the axillary or inguinal region; optic glioma; two or more iris hamartomas (Lisch nodules); a distinctive osseous lesion (sphenoid dysplasia or thinning of long bones); and a first-degree relative with NF1.15 Approximately onethird of NF1 patients develop plexiform NFs.11,16

Plexiform NFs are clinically distinct from cutaneous NFs as they are generally present at birth (congenital). They are associated with overlying hyperpigmentation and/or hypertrichosis and are often described as “bag of worms” on palpation.16 Lesions are diffuse and can grow into large, disfiguring masses.17









TABLE 24-2 Clinical and pathologic features of neurofibromatoses


























Neurofibromatosis Type 1


Neurofibromatosis Type 2


Schwannomatosis


Incidence, inheritance, and mutation


1:2500-3500, AD, neurofibromin 1 (17q11.2, RAS-GTPase)


1:25 000-60 000 AD (de novo mutation 50%), neurofibromin 2 (22q12.2, ERM cell membrane protein, merlin)


Incidence unknown, AD, INI1/SMARCB1 (22q11.23, chromatin remodeling protein)


Cutaneous findings


Six or more CAL before puberty, skin-folding freckles, two or more NFs, 1 plexiform NF


One or more dermal plaque-like or subcutaneous schwannomas, 10 or more and less common NF


Two or more nondermal schwannomas


Other neoplasms


Embryonal rhabdomyosarcoma, 3 y or less; optic nerve glioma, MPNST (rare before adolescence)


Bilateral VIIIn schwannomas, one or more meningiomas, ependymomas


No evidence of VIIIn schwannomas


Abbreviations: AD, autosomal dominant; CAL, café au lait; ERM, ezrin, radixin, and moesin; MPNST, malignant peripheral nerve sheath tumor; NF, neurofibroma.







FIGURE 24-1. Neurofibroma. Small pedunculated papules on the trunk.






FIGURE 24-2. Plexiform neurofibroma in a patient with neurofibromatosis type 1.

In the setting of NF2, NFs are significantly less common. NF2 is characterized by the development of acoustic nerve schwannomas, meningiomas, ependymomas, and ocular abnormalities. Studies have reported 70% of patients with NF2 have skin tumors, although only 10% have greater than 10 cutaneous lesions.8 Cutaneous tumors in NF2 are most commonly schwannomas, although NFs do occur. Schwannomatosis has significant clinical overlap with NF2.13

Pathologically, the sporadic, solitary NF is characterized by a circumscribed dermal nodule, typically measuring 1 cm or less and with a differential diagnosis that includes a dermal melanocytic nevus. A pale-staining, uniform spindle cell proliferation has an eosinophilic background, with only a hint of stromal mucin. Scattered mast cells are present
within the stroma. Nuclear pleomorphism and sclerosis are two uncommon features.18,19 It is uncommon to encounter a solitary NF in an individual less than 20 years of age.






FIGURE 24-3. Large café au lait spots in a patient with neurofibromatosis type 1.






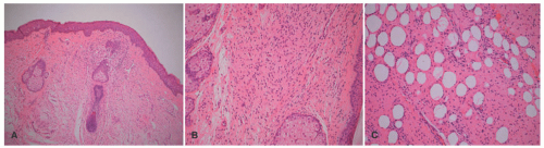
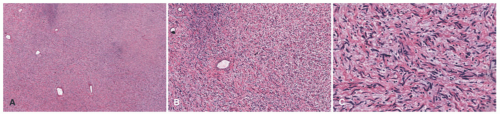
FIGURE 24-4. A-C, Neurofibroma (NF) from the chin of a 12-year-old male with NF1. A, The diffuse NF shows the growth between pilosebaceous units. B, The degree of cellularity can be quite variable from one focus of the same tumor to another. C, Extension into the subcutis demonstrates the so-called honeycomb pattern that is usually made in reference to dermatofibrosarcoma protuberans.

A contrasting histologic pattern of dermal and subcutaneous involvement is present in the NF1-associated NF where the tumor has a diffuse and/or plexiform appearance with growth through the dermis and replacement by bland spindle cells in a pale-staining eosinophilic stroma (Figure 24-4A-C). Adnexal structures in the dermis are surrounded, but not displaced, by the proliferation. The plexiform profiles may be present as one or more bundles of spindle cells within the background of diffuse NF or as separate distinct profiles in the dermis and/or subcutis (Figure 24-4A-C). Within the dermis, the short to fusiform spindle cells have elongated, bland nuclei; nuclear enlargement with hyperchromatism is uncommon in the dermalbased NFs, but may be seen in the deep soft tissue NFs in older children and young adults.20 When the subcutis is involved as it often is, the growth is usually contiguous with a dermal component and the fat is overgrown in a manner similar to dermatofibrosarcoma protuberans (DFSP) and some of the fibrous tumors of childhood (Figure 24-4A-C). The plexiform pattern of NF is characterized by multiple circumscribed bundles of pale-staining spindle cells in a myxoid background (Figure 24-5A-C). The contours of the plexiform bundles are sharply demarcated as distinct profiles in the deep dermis and subcutis. Nuclear enlargement and atypia are uncommon in the more superficial plexiform NFs but, if present, should not be viewed as indicative of sarcomatous transformation (Figures 24-5C and 24-6).






FIGURE 24-5. A-C, Neurofibroma from the scalp of an 11-year-old female with NF1. A, Plexiform profile is surrounded in part by diffuse neurofibroma. B, Serpentine architecture is displayed in these foci with a pure plexiform pattern. C, Mild degree of scattered nuclear enlargement and hyperchromatism without apparent sarcomatous overgrowth should not be a source of concern in most cases.

Other features found in NFs in the setting of NF1 include floret-type giant cells with similarities to those seen in the pleomorphic lipoma (rare in children) and giant cell fibroblastoma (GCF; typically presenting in children).21 Melanin pigmentation is yet another uncommon histologic finding.22

The differential diagnosis of NF in the skin or subcutis includes the following in the presence of the diffuse, infiltrating pattern: infantile subcutaneous fibromatosis (ISF; lipofibromatosis), fibrous hamartoma of infancy (FHI), DFSP (including the pigmented Bednar tumor), cellular neurothekeoma (CNTK), and congenital melanocytic nevus with neurotization. Various immunohistochemical approaches can be applied with a combination of smooth muscle actin (mature fibrous areas of ISF and FHI), S-100 protein (NF and neurotized nevus), and CD34 (DFSP and NF, diffuse staining and immature nodules in FHI), collagen type IV (NF), and Melan-A (neurotized nevus and melanocytes in NF).23 An additional challenge in the diagnosis
of diffuse NF is the recently reported neural ISF-like tumor because it expresses CD34 and S-100 protein and has a recurrent NTRK1 fusion.24






FIGURE 24-6. A-C, Neurofibroma, degenerative atypia. Such changes should not be viewed as an indication of malignancy.



SCHWANNOMA

Schwannoma is a purely Schwann cell neoplasm that occurs sporadically as a solitary mass in any number of anatomic sites or as multiple tumors in NF2, schwannomatosis, and Carney complex.25 A review of the files of one of us (LPD) revealed that only 10% of schwannomas presented in the first two decades of life1; a schwannoma in an individual less than 20 years old is likely to have NF2 or schwannomatosis.9,26 Cutaneous manifestations in NF2 occur less commonly in children with NF2 than with NF1.27 Cutaneous schwannomas or cortical and posterior subcapsular or capsular cataracts are more common as initial presentations in prepubertal children with NF2 in contrast to adolescents and adults whose clinical presentation is more often related to the bilateral VIII nerve schwannomas.28,29 However, congenital-infantile NF2 may present with bilateral acoustic neuromas or schwannomas with or without cutaneous schwannomas.30 It is estimated that 70% of those with NF2 develop one or more skin tumors, generally less than 10.8

Schwannoma presents as one or more (uncommon) soft to firm nodular mass(es) measuring 1 to 2 cm in the dermis or subcutis. Approximately one-third of tumors are accompanied by pain and tenderness, unlike most NFs, and there is a predilection for the extremities where the tumor can measure in excess of 5 cm.16

Pathologically, the schwannoma is a well-circumscribed, encapsulated spindle cell neoplasm to be differentiated from the myriad of other similarly appearing related and unrelated tumors (Figure 24-7). In those schwannomas whose capsule is not apparent, the cellular variant with or without mitotic activity, nuclear enlargement, and hyperchromatism or one of the several less common variants including the plexiform (Figure 24-8), myxoid-reticular (Figure 24-9), and glandular subtypes can be a histopathologic challenge.

When a schwannoma presents in a child, it is often in the setting of NF2 and may present in the subcutis and less often in the dermis alone, with the exception of the plexiform schwannoma (PS) with its predilection for the skin and underlying soft tissues.31 This tumor is seen in children and is associated with NF2 and schwannomatosis.32,33,34 PS is often cellular and displays some nuclear pleomorphism and mitotic activity (5 or less per high-power field [HPF]); these features in the context of PS are not indicative of malignancy because this tumor behaves in an entirely benign fashion (Figure 24-8). Unlike the conventional schwannoma, a capsule is not present in most PSs. The encapsulated nature of PS may be inapparent.

The small, superficial schwannoma in a young individual is often moderately cellular and is composed of uniform fusiform cells often, but not always, without Verocay bodies, hyalinized vessels, macrophages, and myxoid or Antoni type B stroma.

In addition to the cellularity of the PS, the cellular variant of schwannoma is a problematic tumor because it must be differentiated from the malignant PNST (MPNST), an extremely rare tumor in the skin or subcutis of a child even in the presence of NF1.35 Retained nuclear expression for SOX-10 and H3K27me, and diffuse expression of S-100 protein, collagen type IV, and calretinin all favor a schwannoma including the PS rather than MPNST.20,36,37,38

Melanotic schwannoma (MS) is a rare variant that typically presents in the paraspinal location, but not to the exclusion of other sites including the skin.39 An MS should strongly suggest the likelihood of Carney complex.40,41 The cause of Carney complex in most patients is a mutation in the PRKAR1A gene, a tumor suppressor gene.42,43 PRKAR1A expression is lost in 35% to 40% of sporadic and Carney complex-associated psammomatous MSs.44







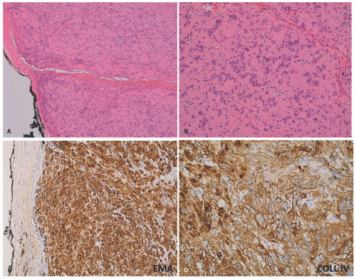
FIGURE 24-7. A-D, Schwannoma presenting on the upper eyelid of an 11-year-old male with NF2. A, The well-defined peripheral capsule is shown together with the inked margin. B, The fibrillary background is composed of cytoplasmic processes. The nuclei are arranged in small aggregates suggesting the formation of pseudorosettes. C, Unlike the neurofibroma, S100 protein is strongly and diffusely positive. D, Collagen type IV immunostain demonstrates the characteristic pattern of basement membrane positivity.






FIGURE 24-8. A-D, Plexiform schwannoma. Numerous plexiform profiles are composed of uniform spindle cells with focal Verocay body formation. Antoni A and Antoni B patterns are seen. Digital slides courtesy of Path Presenter.com.







FIGURE 24-8. (continued)

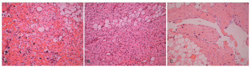
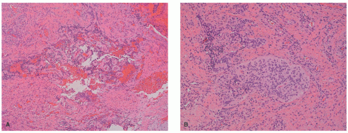
Psammomatous MSs most commonly present on the posterior spinal nerve roots, alimentary tract, bone, and rarely skin.40,45 Tumors can range between 1.4 and 7.0 cm, with an average of 3.2 cm. As lesions are most commonly deep, patients generally present with pain, muscle weakness, dysesthesias, and numbness.44 The behavior of melanotic psammomatous schwannomas is unpredictable, with metastases reported in 13% to 42% of patients (Figure 24-10).44






FIGURE 24-9. Myxoid-reticular pattern in schwannoma. Microcystic/reticular schwannoma. Views from three representative cases, highlighting the characteristically microcystic or reticular growth patterns. Obtained with permission Liegl B, Bennett MW, Fletcher CD. Microcystic/reticular schwannoma: a distinct variant with predilection for visceral locations. Am J Surg Pathol. 2008;32(7):1080-1087.

This heavily pigmented spindled to epithelioid neoplasm can have substantial nuclear atypia and may have psammomatous calcifications. In the absence of the latter findings, metastatic melanoma is an

unavoidable consideration, but in the context of a child, it is very unlikely. Schwannoma may have a predominant epithelioid cellular composition or may resemble a neuroblastoma.46,47






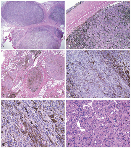
FIGURE 24-10. Psammomatous melanotic schwannoma. A, At low-power magnification, melanotic schwannoma typically grew as multinodular, generally circumscribed masses. A minority of cases showed at least partial encapsulation (B), but more often the tumors were unencapsulated and grew into surround fibroadipose tissue (C). D, At higher-power magnification, the tumors were most often composed of a fascicular proliferation of melanin-containing, moderately variable spindle cells, with an inconspicuous vasculature. E, Spindled melanotic schwannoma, showing elongated nuclei with small nucleoli. F, A minority of tumors were composed largely of epithelioid cells, resembling cutaneous melanoma. Obtained with permission Torres-Mora J, Dry S, Li X, Binder S, Amin M, Folpe AL. Malignant melanotic schwannian tumor: a clinicopathologic, immunohistochemical, and gene expression profiling study of 40 cases, with a proposal for the reclassification of “melanotic schwannoma”. Am J Surg Pathol. 2014;38(1):94-105.

Epithelioid schwannoma (Figure 24-11) presents in the skin and/or subcutis, and only a minority of cases occur in children, usually in older children and adolescents.46,48 The challenge is differentiating the ES from the menu of other epithelioid neoplasms ranging from epithelioid sarcoma (ES) to hemangioendothelioma. A single cell pattern with the features of a classic schwannoma focally in those tumors with trabecular to nodular profiles of epithelioid cells in a myxohyaline, myxoid, or dense collagenous stroma is the spectrum of microscopic features.46,48,49,50,51,52,53,54 In addition to the characteristic immunophenotype of the schwannoma, a CD34+ population of spindle cells may also be present.

Schwannomatosis is the “third” neurofibromatosis that is characterized by multiple, nonvestibular schwannomas in contrast to NF2.1 Germline mutations in either SMARCB1 or LZTR1 tumor suppressor genes are found in almost 90% of familial cases (representing 15%-25% of all cases) and in 40% of sporadic cases (representing 75%-85% of all cases). Somatic mutations in both NF2 alleles have been detected in the schwannomas.55 In the presence of a germline mutation in SMARCB1, the risk of malignant rhabdoid tumor (MRT) may also exist.56,57






FIGURE 24-11. A-C, Epithelioid schwannoma. A single cell pattern with the features of a classic schwannoma focally in those tumors with trabecular to nodular profiles of epithelioid cells in a myxohyaline, myxoid, or dense collagenous stroma is the spectrum of microscopic features present in this tumor (A-C). Digital slides courtesy of Path Presenter.com.



PERINEUROMA

Perineuroma (PN) is the third type of PNST that is composed of spindle cells with the immunophenotype of pia-arachnoidmeningeal cells with expression of vimentin and epithelial membrane antigen.58 This tumor is well circumscribed, arises in the subcutis and dermis, has an intraneural localization in some cases, and has a predilection for the extremities. PN occurs more commonly in adults, but is seen in children, usually over 10 years of age.59 Delicate fusiform cells resembling Schwann cells are arranged in fascicles and/or whorls of loosely arranged
spindle cells. A myxoid background or plexiform growth may be prominent in some cases (Figure 24-12).2 Dense sclerosis is a feature in some cases. Epithelial membrane antigen reactivity is essential because the PN may also express CD34, smooth muscle actin, and S-100 protein (less than 10%).58

Hybrid PNST is a neoplasm that has challenged the concept of the single lineage nerve sheath tumor with the combination of patterns and the overlapping immunophenotype of the three major PNSTs.60,61,62 These tumors have a preference for the subcutis and dermis of adults more commonly than older children. The PN and schwannoma hybrid is one of the more frequent combinations. Other neural tumors in the skin and superficial soft tissues include both neoplasms, reactive proliferations, and possibly a hamartoma or localized overgrowth process.







FIGURE 24-12. A-D, Perineurioma. Nodular and diffuse spindle cell tumor in the dermis that is well circumscribed on the edges (A and B). The lesion shows a storiform growth and myxoid background (C). Most of the cells show a cytoplasm with fibrillary features (D). Obtained with permission Dehner LP, Gru AA. Nonepithelial tumors and tumor-like lesions of the skin and subcutis in children. Pediatr Dev Pathol. 2018;21(2):150-207.


GRANULAR CELL TUMOR

GCT is a neoplasm with a broad distribution of primary sites, with the skin as the most common location in children where 60% of lesions are found with a predilection for the head and neck region.1 GCTs may be congenital, known by a variety of different names including congenital GCT, congenital epulis, congenital myoblastoma, or Neumann tumor.63 Their incidence is suggested to be 6 per million children per year.63 GCTs occur in adults between 20 and 60 years of age.64 Females are affected more commonly than males in both congenital and adult lesions.63,64

GCTs arise most commonly as solitary asymptomatic, pale, or yellowish smooth nodules, rarely larger than 3 cm (Figure 24-13).64,65 There is a predilection for the head and neck region. The congenital forms typically present on the gum pads.63 In adults there is a predilection for the oral cavity, especially the tongue, and, when present in the skin, the upper extremities and upper torso.64,66,67

Because of almost universal S-100 protein immunopositivity, GCT is considered a Schwann cell-derived tumor except in the case of the congenital granular cell epulis arising in the oral-maxillofacial region.68,69 Multifocal congenital GCTs and familial GCTs are other reported occurrences.70,71 Both circumscribed and infiltrating growth patterns of granular cells with abundant eosinophilic granular cytoplasm with somewhat larger eosinophilic bodies are present in the biopsy or excision. In the GCT with infiltration of
the dermis, the small groups of granular cells blend into the background of dermal collagen (Figure 24-14). The nuclei of the tumor cells are rounded to ovoid with fine to coarse chromatin, but infrequently the nuclei may appear larger and hyperchromatic with an inconspicuous nucleolus. The granules are lysosomes that account for CD68 immunopositivity, in addition to characteristic S-100 protein reactivity (Figure 24-15). The congenital granular tumor or epulis has a densely cellular appearance as it forms a nodule or mass. With the rare exception, these tumors are nonreactive for S-100 protein.






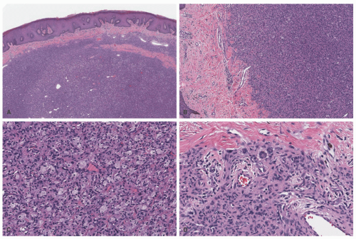
FIGURE 24-13. Granular cell tumor. Flesh-colored to slightly orange-hued soft nodule on the scalp of a young boy. Reprinted with permission from Olayiwola O, Hook K, Miller D, et al. Cutaneous granular cell tumors in children: case series and review of the literature. Pediatr Dermatol. 2017;34(4):e187-e190.






FIGURE 24-14. Granular cell tumor. Note the presence of pseudoepitheliomatous changes in the surface epidermis (A-C). Such changes can be confused with those of squamous cell carcinoma. Nested and diffuse sheets of uniform, pale rounded to ovoid to spindle shaped with abundant eosinophilic granular cytoplasm are the principal microscopic features of this tumor (D-F). Obtained with permission Dehner LP, Gru AA. Nonepithelial tumors and tumor-like lesions of the skin and subcutis in children. Pediatr Dev Pathol. 2018;21(2):150-207.








FIGURE 24-15. A-C, Granular cell tumor presenting in the skin on the shoulder of a 9-year-old female. A, The dermis at this magnification is seemingly unremarkable, which may be the initial impression in a granular cell tumor with a diffuse infiltrative pattern. B, Granular cells are infiltrating into superficial subcutaneous fat. C, S-100 protein immunostain demonstrates the striking number of granular cells in the dermis.


NERVE SHEATH MYXOMA

Nerve sheath myxoma (myxoid neurothekeoma) is a dermal and/or subcutaneous-based, circumscribed multinodular neoplasm typically presenting in the extremities or head and neck region of adolescents and young adults.72 Septated lobules of spindle cells are suspended in a myxoid matrix (Figure 24-16); the spindle cells are S-100 protein immunopositive and presumably represent Schwann cells.73,74 CD34 and epithelial membrane antigen are both nonreactive, but glial fibrillary acidic protein may be positive as in some schwannomas as well as NFs.75 There is no apparent histogenetic relationship with the CNTK.76


NEUROMA

Neuroma is a generic designation for several lesions of neoplastic, hamartomatous, and traumatic nature.

Palisaded encapsulated neuroma (PEN) is a likely neoplasm presenting in the dermis or submucosa of the oral cavity, but it occurs in other sites such as the palms and soles in children.77,78,79 Only 10% of cases occur in children. It has been suggested that a histogenetic relationship may exist between PEN and the mucocutaneous neuromas of multiple endocrine neoplasia 2B (MEN2B).80 A solitary flesh-colored papule or nodules, generally measuring less than 2 cm, is the clinical presentation. A uniform, spindle cell population arranged in fascicles is surrounded by a delicate fibrous capsule (Figure 24-17). A contiguous peripheral nerve is present in some cases. As in the case of a schwannoma, the spindle cells are diffusely positive for S-100 protein, but unlike the latter tumor, neurofilament protein and epithelial membrane antigen are positive.77,80

Mucocutaneous neuroma of MEN2B is composed of smaller and less expansile circumscribed individual bundles of Schwann cells than the PEN. When these lesions initially develop in a young child on the tongue, palate, pharynx, and lip, they may be the first manifestation of MEN2B.81,82,83 The multiple neural bundles are separated by a stromal background. The site of the neural bundles is somewhat circumscribed, but in the lip with progressive enlargement, the entire submucosa is occupied by these formations. Like the PEN and

schwannoma, the spindle cells are uniformly S-100 protein positive and a peripheral capsule, if present, is at least focally positive for epithelial membrane antigen.






FIGURE 24-16. Dermal nerve sheath myxoma (myxoid neurothekeoma). A circumscribed, but nonencapsulated lesion is composed of multiple smaller nodules with a prominent myxoid or myomatous background containing dispersed spindle cells (A-D). Obtained with permission Dehner LP, Gru AA. Nonepithelial tumors and tumor-like lesions of the skin and subcutis in children. Pediatr Dev Pathol. 2018;21(2):150-207.






FIGURE 24-17. Palisaded encapsulated neuroma. Solitary well-circumscribed nodule with a schwannian appearance is present in the dermis (A-C). Obtained with permission Dehner LP, Gru AA. Nonepithelial tumors and tumor-like lesions of the skin and subcutis in children. Pediatr Dev Pathol. 2018;21(2):150-207.






FIGURE 24-18. Traumatic neuroma. Nodule in the finger (A and B).

Traumatic neuroma occurs in the axilla of infants after neonatal brachial plexus palsy or the hand or foot in an older child after laceration of a digital nerve (Figure 24-18). A background of fibrosis (scar) contains numerous small peripheral nerve twigs in a more or less circumscribed focus. A mixture of axons, Schwann cells, and perineurial cells is the composition of the neuroma (Figure 24-19). A variation
of the traumatic neuroma occurs after ligature amputation of a rudimentary digit in polydactyly, whereas this complication is avoided with surgical excision.84,85






FIGURE 24-19. A-D, Traumatic neuroma. A background of fibrosis (scar) contains numerous small peripheral nerve twigs in a more or less circumscribed focus. A mixture of axons, Schwann cells, and perineurial cells is the composition of the neuroma. Digital slides courtesy of Path Presenter.com.







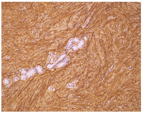
FIGURE 24-20. Neural fibrolipomatous hamartoma. Lobulated adipose tissue is evident and individual nerve bundles with perineural spindle cell proliferation composed of CD34 perineurial cells are encompassed by adipose tissue (A and B). Several contiguous nerve bundles may be surrounded by mature fat around the periphery of these nerves (C and D). Obtained with permission Dehner LP, Gru AA. Nonepithelial tumors and tumor-like lesions of the skin and subcutis in children. Pediatr Dev Pathol. 2018;21(2):150-207.


NEURAL LIPOFIBROMATOUS HAMARTOMA

NFH (neural fibrolipoma), a nonneoplastic process, is likely a localized overgrowth of collagenous and adipocytic tissues around a major peripheral nerve in the upper or lower extremity. The median nerve is preferentially involved, with the formation of a mass on the volar aspect of the hand, wrist, and forearm often with accompanying macrodactyly.86,87,88 Individual nerve bundles are infiltrated by mature adipocytes and are surrounded by dense fibrous connective tissue and embedded in a lipomatous mass. Bony overgrowth and osseous metaplasia are other findings. Somatic gain-of-function mutations in PIK3CA have been detected in the affected nerve, but not in the germline (Figure 24-20).89


NEUROGLIAL HETEROTOPIA

Neuroglial heterotopia constitutes a rare category of anomalies presenting as a mass, most commonly in children during the first decade of life. Not entirely surprising, these
masses have a predilection for the head and neck region, but not exclusively so.90 Those lesions presenting in the skin and subcutis often come to the attention of the pediatrician and dermatologist, whereas a nasal or oronasopharyngeal lesion is more likely seen by the pediatrician. All of these lesions have a common histogenesis of a presumed extracranial sequestration of neuroectodermal tissue.






FIGURE 24-21. Nasal glioma.

Nasal glioma (NG), a misnomer in terms of its “glioma” designation, is seen in 1:20 000 to 40 000 live births as an intranasal mass at or before 2 years of age (Figure 24-21).91 Unlike the encephalocele, NG lacks an intracranial component and is regarded as a so-called sequestered encephalocele. A firm mass is composed of dense fibrous stroma with embedded variably sized islands of more or less mature neuroglial tissue, which may contain an isolated neuron.






FIGURE 24-22. A, Myxopapillary ependymal rest presenting as an anal skin tag in a 2-day-old female. Note the myxohyaline vascular profiles surrounded in part by small primitive cells. A somewhat similar pseudovascular architecture is seen in the ectopic rudimentary meningocele. B, Another focus shows a circumscribed nodule of immature neuroglia.

Other sites of heterotopic neuroglia are found in and around the oral cavity, oropharynx, and various other soft tissue sites in the head and neck region. Scalp lesions are potentially problematic when there is an underlying defect through the cranium.92 An isolated nodule of neuroglial tissue with or without meningothelial elements or choroid plexus is the spectrum of microscopic findings.93,94,95,96,97,98

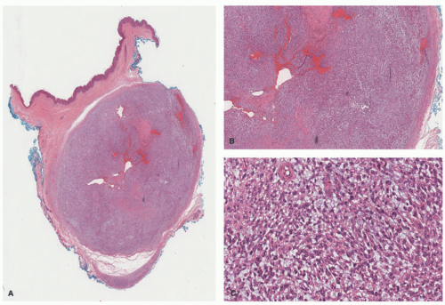
Myxopapillary ependymoma (MXPE) and rests are known to present as an extramedullary cutaneous and/or subcutaneous nodule or mass in the sacrococcygeal region of children.99,100,101 This anatomic site is the embryonic consequential location of the primitive streak so that it is not entirely surprising that heterotopic nephrogenic rests, teratoma, and other anomalies present as a mass lesion, as an anal skin tag, or as an incidental microscopic finding (Figure 24-22).102,103,104,105,106 These embryonic rests may be identified in a pilonidal sinus or skin tag.107 The focus of the MXPE usually measures 1 cm or less, is well circumscribed, and is located in the dermis or more often in the subcutis. Papillary profiles with myxohyaline stroma supporting the papillae are the microscopic findings (Figure 24-23A-C).

Rudimentary meningocele (meningothelial hamartoma) is a lesion that may present with alopecia, tufted hairs, or soft mass of the scalp (20% or more of cases) in a young child.108 Other sites include the spine and forehead. The age at clinical presentation ranges from the newborn period to later childhood.109,110,111 The dermis and/or
subcutis is the location of a circumscribed focus of collapsed, irregular spaces with an inconspicuous lining and/or a small nest(s) of compact, bland-appearing round cells, calcifications (psammomatous in some cases), and giant cells. A solid glial nodule may be present in some cases to provide a clue to neurogenic process of some kind. The giant cells and a pseudoinfiltrative pattern may suggest GCF or a vascular anomaly.112,113 The spaces are immunoreactive for vimentin and epithelial membrane antigen and nonreactive for CD31.






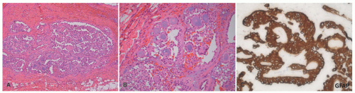
FIGURE 24-23. A-C, Myxopapillary ependymoma presenting as a “gluteal cyst” in a 5-year-old female. A, The tumor is composed of multiple circumscribed nodules of papillary profiles with central myxohyaline cores. B, The individual papillae are lined by low-grade cuboidal cells. C, Glial fibrillary acidic protein (GFAP) immunostaining shows strong diffuse positivity.



Nonneurogenic Neoplasms

Like the previously discussed PNST and other neurogenic anomalies, this generic category of nonneurogenic tumors is a generally dominated lesion with a spindle cell morphology, which almost mandates the inclusion of these various other tumors in each other’s differential diagnosis. Based upon a review of the files of one of us (LPD), a miscellaneous “other” category constituted 22% of the nonvascular mesenchymal neoplasms of which DFSP was the most common entity (Table 24-1).1 There was an almost equal number of fibrous-myofibroblastic neoplasms.


Fibrohistiocytic and CD34+ Spindle Cell Tumors


DERMATOFIBROSARCOMA PROTUBERANS AND GIANT CELL FIBROBLASTOMA

DFSP and GCF are one in the same neoplasm with the identical recurrent translocation, t(17;22)(q22;q13).114 This results in a specific cytogenetic reciprocal translocation of the collagen type-1 alpha 1 (COL1A1) gene at chromosome 17q21.3 with the second exon of the platelet-derived growth factor β (PDGFB) gene at chromosome 22q13.1, resulting in a COL1A1-PDGFB fusion gene.115,116

The exclusive GCF pattern is seen more commonly in children, but both patterns are seen in DFSPs or only the DFSP pattern in individuals less than 20 years old at diagnosis.117 Only 2% to 5% of all DFSPs present in the first two decades of life, but it is the most common primary cutaneous sarcoma in children followed by Kaposi sarcoma.118

DFSP typically presents as an asymptomatic, indurated fibrous plaque or nodule that may be asymmetric in appearance.119,120 DFSP is most commonly located on the trunk but can occur on the extremities, head and neck region, and acral sites (Figure 24-24).120 Tumor size normally ranges from 1 to 5 cm, growing slowly over years and developing superimposed multiple nodules over time.121 In the pediatric population there can be a variable morphology resembling vascular lesions, NFs, or atrophic plaques (Figure 24-25).119 Children less than 5 years old are more likely to have a tumor with a predominant GCF or mixed pattern of GCF and DFSP.

Several challenges are offered in the pathologic diagnosis of DFSP in that this neoplasm is uncommon in children so that the diagnosis of DFSP may not arise initially and because the histopathologic pattern may suggest a fibrous, myxoid, neurogenic, or fibromyxoid neoplasm because all of these various patterns are encountered in a DFSP.
One of the consistent histologic features if the biopsy includes the subcutis is the near total replacement of the dermis and infiltration of the subcutaneous fat (Figure 24-26). The latter finding is not specific to DFSP because it is also present in diffuse NF and some of the fibrous tumors in an infant or young child. The classic pattern of DFSP consists of uniform, compactly arranged, spindle cells in fascicles and/or storiform profile, which replace the dermis and extend in a confluent fashion into the subcutis (Figure 24-27A-C). Fusiform cells have uniform nuclei with minimal pleomorphism and sparing mitotic activity. In addition to this basic pattern, myxoid and/or collagen-rich foci may be seen as adjoining foci with the classic pattern or as the exclusive pattern in some cases. The presence of scattered multinucleated giant cells in clefted or pseudovascular spaces in a spindle cell background or loose fibrous stroma are the features of GCF (Figure 24-28A-C). The GCF pattern can be localized in a DFSP with classic or fibrous features, may represent the exclusive pattern, or is present as the initial histologic feature in a tumor that recurs with classic, myxoid, or fibrous features.113 Pigmentation of tumor cells is uncommonly present in DFSP in the so-called Bednar tumor. Immunohistochemistry is a useful adjunct to the diagnosis of DFSP as long as it is understood that other dermal and subcutaneous spindle cell tumors are CD34+.122 Typically, CD34 staining is uniformly and diffusely positive (Figures 24-29 and 24-30), but other markers have been reported to facilitate the diagnosis including CD99, D2-40, and apolipoprotein
D.121,123,124,125,126 Fluorescent in situ hybridization (FISH) is the most specific and sensitive method for the diagnosis.115






FIGURE 24-24. Dermatofibrosarcoma protuberans. Erythematous nodule on the trunk.






FIGURE 24-25. Dermatofibrosarcoma protuberans. Tumor on the flank.






FIGURE 24-26. A-C, Dermatofibrosarcoma protuberans. Fibrohistiocytic proliferation with near total replacement of the dermis and infiltration of the subcutaneous fat (A). Uniform, compactly arranged, spindle cells in fascicles and/or storiform profiles that replace the dermis and extend in a confluent fashion into the subcutis (B and C). Digital slides courtesy of Path Presenter.com.

CD34 positivity does not distinguish DFSP from some of the other CD34+ spindle cell neoplasms; a similar pattern is present in the diffuse NFs in NF1, FHI, lipofibromatosis, and fibroblastic connective tissue nevus.

The prognosis of DFSP is essentially the same in children as in adults, with local recurrence as the principal unfavorable outcome.127 Fibrosarcomatous (FS) or pleomorphic sarcomatous progression is seen in approximately 10% to 15% of cases and is seen in children but less often.128,129 The overall favorable prognosis of DFSP is unfavorably altered by the presence of FS.110 FS transformation is associated with higher grade cytology, numerous mitoses, necrosis, and particularly loss of CD34 staining. Cases of DFSP have been shown to occur more frequently in association with individuals diagnosed with adenosine deaminase-deficient severe combined immune deficiency. Such cases appear to be more frequently multifocal.130








FIGURE 24-27. A-D, Dermatofibrosarcoma protuberans on the trunk of a 4-year-old male. A, Infiltration of tumor into the subcutis shows the overgrowth pattern. B, Another focus of this tumor shows a similar overgrown pattern, but note its more fibrous, hypocellular appearance. C, This focus shows scattered, enlarged tumor cells. D, The so-called honeycomb pattern of tumor growth is present in this focus.






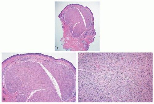
FIGURE 24-28. A-C, Giant cell fibroblastoma (GCF) presenting in the breast of a 7-year-old female. A, Numerous multinucleated giant cells with pericellular clear space are accompanied by a neoplastic fibrous stroma. B, Another area in the same neoplasm shows a diffuse fibrous pattern of this tumor. Most GCFs arise in a similar fibrous pattern. C, This GCF from the trunk of a 4-year-old male shows the exaggerated pseudoangiectoid pattern.







FIGURE 24-29. Dermatofibrosarcoma protuberans on the trunk of a 4-year-old male. Diffuse immunostaining for CD34 is characteristic of this neoplasm.






FIGURE 24-30. Dermatofibrosarcoma protuberans (DFSP) variants. The atrophic form of DFSP is particularly common in children and shows a very deceptive cytologic appearance (A and B). Diffuse CD34 staining (C) can be a clue to such diagnosis. The so-called medallion dermal dendrocyte hamartoma has identical histologic findings but lacks the PDGFB rearrangement seen in more than 90% of cases of DFSP. Pigmented DFSP (Bednar tumor) has the presence of deeply pigmented melanocytic cells admixed with the classic tumor cells of DFSP (D-F). Obtained with permission Dehner LP, Gru AA. Nonepithelial tumors and tumor-like lesions of the skin and subcutis in children. Pediatr Dev Pathol. 2018;21(2):150-207.


DERMATOFIBROMA AND FIBROUS HISTIOCYTOMAS

Dermatofibroma (DF) or fibrous histiocytoma of skin is one of the most common dermal-based mesenchymal tumors and is seen predominantly in adults between 20 and 40 years of age, with a predilection for the lower extremity (60%-70% of cases); it may present on any body surface and is infrequent in the head and neck region.131,132 The origin of DF is unknown. There is debate if DFs represent a reactive or neoplastic process. Studies demonstrating clonal chromosomal abnormalities support the neoplastic nature of DFs.133 Recently, recurrent gene fusion involving protein kinase C have been identified in a subset of fibrous histiocytomas.134

Among our cases of DF in children and adolescents between 5 and 19 years old at diagnosis, the trunk and lower extremities were the sites of presentation in over 60% of cases (Table 24-3). The mean and median age in our series (LPD)
was 13 years. Approximately 2% to 5% of DFs are diagnosed in the first two decades of life. A well-circumscribed, symmetric, round to ovoid, firm dermal nodule measures 2 cm or less in most cases.135 On occasion, the nodule may be accompanied by tenderness or pain.136 The overlying skin is often reddish-brown, shiny or scaly or darkly pigmented on the basis of so-called inductive changes in the epidermis.137,138 A central dimple on lateral compression, the “button hole sign,” is present in many cases. Multiple lesions are found in a small minority of cases where it was seen in 2% of children in our own series. Multiple DFs may present as congenital lesions, as eruptive nodules, or in children with trisomy 21.139,140








TABLE 24-3 Anatomic sites of dermatofibroma in 115 patients less than 20 years old































Site


Number (%)


Trunk (back and abdomen)


38 (32)


Lower extremity


37 (31)


Shoulder


20 (17)


Upper extremity


13 (11)


Head and neck


8 (7)


Breast


2 (2)


Total


118 (˜100)a


From the files of Lauren V. Ackerman Laboratory of Surgical Pathology, St. Louis Children’s Hospital, Washington University Medical Center, St. Louis, MO, 1998 to 2018; 62 females:53 males with mean and median ages: 13 years.


a Three patients had a second dermatofibroma.


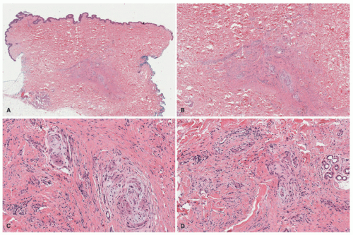
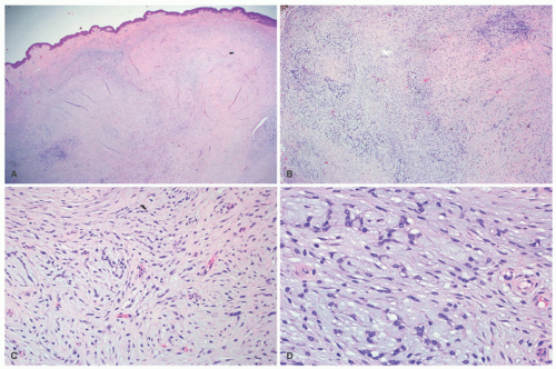
The histopathologic features of DF are relatively uniform in the majority of cases as a dermal-based spindle cell proliferation positioned in the mid-dermis, situated beneath the flattened epidermis or pushing into the underlying subcutis with absent or minimal infiltration into the subcutis, unlike the DFSP (Figure 24-31A-C). The lateral dermal borders typically demonstrate the spindle cells extending into the collagen with so-called collagen trapping. Within the body of the lesion, the spindle cells are arranged in short storiform or fascicular profiles. Some nuclear pleomorphism may be present together with scattered mitotic figures. Lymphocytes and even eosinophils may be identified in the background. Variant patterns include those with blood-filled nonvascular spaces (aneurysmal DF), numerous macrophages with hemosiderin-laden cytoplasm, and xanthomatized macrophages. Touton giant cells in the latter setting presents the microscopic dilemma and distinction (if there is one) from the xanthogranuloma (Figure 24-32). More than one histologic pattern is present in a minority of DFs.141






FIGURE 24-31. A-C, Dermatofibroma presenting on the breast of a 17-year-old female. A, The spindle cell tumor is centered in the dermis as a circumscribed nodule. Mild acanthosis noted in the overlying epidermis. B, This focus shows the uniform spindle cells arranged in a storiform profile. C, The periphery demonstrates the insinuation of spindle cells into adjacent dermis with collagen trapping. Note the limited extension.

Cellular variant of DF (cellular benign fibrous histiocytoma) is recognized by its relatively monotonous spindle cell composition and its fascicular architecture. These tumors are more mitotically active than the common DF, and focal necrosis may be present.142 Extension into subcutis is a frequent finding and infrequently like the common DF may be centered in the subcutis.

It is unnecessary in most DFs to apply immunohistochemistry, but like the DFSP, these tumors are CD34+; the CD34 staining is usually localized to the periphery unlike the diffuse staining in DFSP (Figure 24-33). Unlike the DFSP, DF and its variants are diffusely reactive for CD163 in addition to factor XIIIa (Figure 24-33).143 Cellular DF or cellular benign fibrous histiocytoma may be diffusely positive for CD34 in some cases, but desmin reactivity is present in the latter tumor in contrast to DFSP.144

The atypical variants of DF encompass a heterogeneous group of lesions that are characterized by a large size (>2 cm), more infiltrative borders, extension into the adipose tissue, frequent (>5 per 10 HPFs) or atypical mitoses, and extensive areas of necrosis.145 Nonetheless, most of the lesions are characterized by areas of conventional DF. Within this group, the rate of local recurrence is higher (˜15%) and on rare occasions metastases can be present. Horenstein et al also introduced the concept of “indeterminate fibrohistiocytic lesions” to highlight a group of neoplasms with a small size (<2.0 cm), low mitotic index (<4/10 HPF), a keloidal collagen pattern, a slight degree of pleomorphism, but honeycomb and deep infiltration into the adipose tissue. These lesions were partially immunoreactive for factor XIIIa and CD34.145,146 This tumor type is seen in children.147







FIGURE 24-32. A-D, Dermatofibroma versus juvenile xanthogranuloma. Fibrohistiocytic lesion with epidermal induction changes (A). Collagen trapping at the periphery is seen (B). Xanthomatized cells (C) and Touton-type giant cells (D) are seen. Digital slides courtesy of Path Presenter.com.






FIGURE 24-33. A and B, Dermatofibroma presenting on the back of a 10-year-old male. A, CD34 immunostaining demonstrates peripheral pattern of positivity, whereas only small blood vessels are highlighted in the body of the tumor. B, Factor XIIIa is diffusely positive within the tumor.


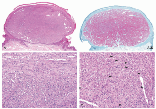
Epithelioid histiocytoma (EH, epithelioid fibrous histiocytoma) and reticulohistiocytoma are similar cutaneous neoplasms that may or may not be synonymous entities whose relationship to DF is in question because of the ALK rearrangement and expression, which distinguishes this tumor from DF and its variants.148 This tumor presenting as a raised cutaneous nodule generally measures 2 cm or less.149,150,151 Though mainly occurring in young to middle age adults, individual cases as young as 2 years old at presentation have been documented.150 The predilection for the trunk and lower extremity is similar to the more common DF. A dense population of polygonal epithelioid cells with abundant pale to intensely eosinophilic cytoplasm form a nodule (Figure 24-34). Multinucleated cells vary from case to case as well as lymphocytes and plasma cells. The presence of emperipolesis and plasma cells is a feature in common with Rosai-Dorfman disease.152 A spindle cell pattern may be seen in some cases. The differential diagnosis includes perivascular epithelioid cell tumor and BAP1-deficient epithelioid melanocytic nevus. In addition to ALK cytoplasmic positivity, EH is immunoreactive for CD163, TFE3, CD31, epithelial membrane antigen, and factor XIIIa.149,150,153






FIGURE 24-34. Epithelioid fibrous histiocytoma. Typical polypoid architecture (A) and composed of densely packed pale to clear spindle cells arranged in fascicles (B). Numerous mucinous cells are seen (C), arrow heads indicate the presence of mucinous cells. ALK is diffusely positive in the lesional cells. Adapted and obtained with permission from Kazakov DV, Kyrpychova L, Martinek P, et al. ALK Gene Fusions in Epithelioid Fibrous Histiocytoma: A Study of 14 Cases, With New Histopathological Findings. Am J Dermatopathol. 2018 Jan 11.




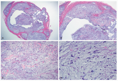
PLEXIFORM FIBROHISTIOCYTIC TUMOR

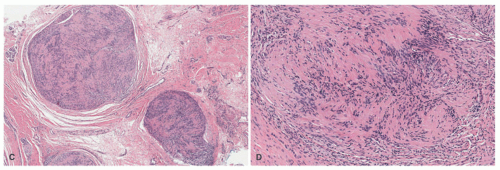
Plexiform fibrohistiocytic tumor (PFHT) is an uncommon neoplasm of the dermis and subcutis when compared to DF in individuals 20 years old or less at diagnosis. It represents a soft tissue tumor of intermediate malignancy.154 Its etiology is unknown, but onset following local trauma has been reported.155 Over 50% of cases present before 20 years of age with the rare congenital or early infancy occurrence, but the mean and median ages range from 14 to 20 years, respectively.155,156,157 A slow-growing mass in the dermis-subcutis of the upper extremity (65%-70% of cases) or lower extremity (˜15%-25%) measuring 1 to 3 cm is the clinical presentation.155,158 The local recurrence rate is as high as 40% and metastasis to regional lymph nodes and/or lungs in 5% or less of cases, usually after one or more local recurrences.157 Wide local resection with tumor-free margins is generally acknowledged as the management of choice.






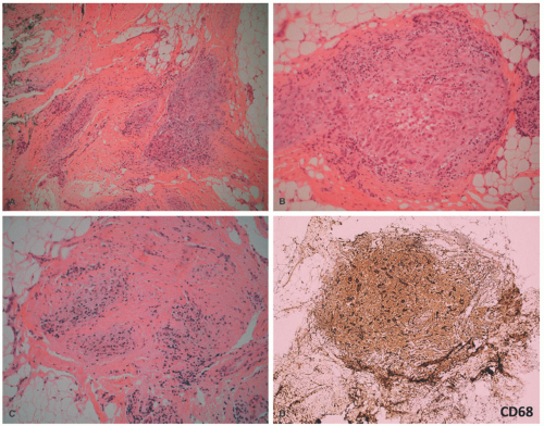
FIGURE 24-35. A-D, Plexiform fibrohistiocytic tumor presenting on the cheek of an 8-year-old male. A, Multiple nodules are present in a fibrous stromal background. B, The more cellular nodule has a granuloma-like appearance with a mixture of mononuclear and multinucleated cells. C, Here the nodules have a more fibrous appearance and may represent involution. D, CD68 immunostain shows intense positivity in the multinucleated cells.

Because PFHT may present as a dermal-based spindle cell and/or fibrous proliferation (25%-30% of cases), as a deep dermal-subcutaneous lesion, or as a purely subcutaneous mass with a spindle cell-nodular pattern, the differential diagnosis in some cases may be a broad one.159,160 Without the nodules of histiocytic mononuclear cells and multinucleated osteoclast-like giant cells, the lesion is another spindle cell tumor with a fibroblastic appearance (Figure 24-35A-D). It is the presence of the nodular formations with or without giant cells that is the critical clue to the diagnosis of PFHT rather than a fibrous tumor. The spindle cells are immunoreactive for smooth muscle actin, but the nodules are positive for CD68 and CD163 in PFHT (Figure 24-35D).
The radiating pattern of spindle cells in the subcutis has a resemblance to FHI, lipofibromatosis, and diffuse NF. The immature mesenchymal nodules of FHI and the spindle cells of lipofibromatosis and NF are CD34+ in contrast to the spindle cells of PFHT.22,23

A problematic differential diagnosis is PFHT versus CNTK because of their overlapping histologic features and immunophenotype. These tumors are positive for CD68, NK1C3, CD 10, and PAX2.161 It has been suggested that MiTF, nonreactive in PFHT and reactive in CNTK, may be helpful in the separation of the lesions.161 PGP9.5 is reportedly a more reliable marker of CNTK.162 Possibly all this effort may support the hypothesis that PFHT and CNTK are related, if not the same entity.158

Only gold members can continue reading. Log In or Register to continue

Stay updated, free articles. Join our Telegram channel

May 8, 2019 | Posted by in Dermatology | Comments Off on Soft Tissue Tumors of Skin and Subcutis

Full access? Get Clinical Tree

Get Clinical Tree app for offline access