Melanocytic-Nevocellular Lesions



Melanocytic-Nevocellular Lesions


Louis P. Dehner

Esteban Fernandez Faith



Melanocytic neoplasms of one type or another are common in the pediatric population presenting as a birthmark or as a later acquired lesion(s). One-third or more of skin biopsies or excisions seen in dermatopathology laboratories from children are melanocytic lesions. Many of these lesions follow a stable course, whereas others are more dynamic in behavior with growth, changes in the clinical appearance, and, in some cases, spontaneous regression, on the basis of a suspected immunologic reaction.

As some measure of the frequency of cutaneous melanocytic lesions in children, we reviewed our experience over a recent 2-year period and found that one-third of all skin biopsies and excisions obtained during the first two decades of life were melanocytic proliferations.1 Verruca vulgaris and squamous-lined cysts together comprised almost 20% of cases in the same age group and time period so that pediatric and dermatopathologists alike are more than familiar with these lesions in their practice.

Melanocytic nevus is a generic designation for a broad category of lesions that can be characterized clinically and pathologically into a number of subtypes in both children and adults, and several of these are seen predominantly in children and adolescents and are clustered in children 10 years old or less.

It is accepted today, though not consistently in the past, that the melanocyte is one of many derivatives of the neural crest (NC).2 Progenitor melanocytes are one of the few NC-derived cells that arise from the four major axial designated sites: cranial, vagal, truncal, and lumbosacral; NC cells behave in many respects like stem cells. As NC cells initiate the process of migration, they undergo an epithelial to mesenchymal transition with the development of various differentiated tissue types.3 Through a study of human embryos, Holbrook and associates determined that proto-melanocytes begin their migration to the epidermis at estimated gestational age of 40 to 50 days.4 Melanocytes are also present in the mucosal basal layer in sites from the oral cavity, nasal mucosa, and genitourinary tract. It is thought that some melanoblasts fail to arrive at their epithelial destination as a defect in migration to explain some of the uncommon and unusual sites for melanocytic nevi and melanomas.

Given the commonality of the melanocytic nevus, there remain many unanswered questions despite the rather thorough evaluation of these lesions from the molecular genetic perspective.5 Three competing hypotheses on the histogenesis of melanocytic or nevocellular nevus have been proposed over the last 100 years and still maintain an element of currency in the literature.6 The oldest of these is the so-called “trickling down” hypothesis of Unna, which postulated that nevi arise from melanocytes in the dermoepidermal junction from a junctional nevus that migrates vertically into the dermis as the intermediate compound nevus and finally as a dermal nevus (DN) with the arrest of junctional proliferation, but Unna thought that the melanocyte arose in the epidermis.6 It was well into the mid-twentieth century that the origin of the melanocyte remained a puzzle as articulated by Masson7: “Whatever their origin, schwannian or melanoblasts, all nevus cells share the properties, which are seen only as characteristics of the schwannian syncytium.” It is as though Masson was anticipating the histogenetic relationship of these two cell types as derivatives of the
NC. Later Cramer,8 acknowledging the NC origin of the melanocyte, also invoked peripheral nerve elements, especially the perineurial cell in an analogous fashion to Masson’s hypothesis, in reference to the histogenesis of the congenital melanocytic nevus (CMN). The plasticity of melanocytes and Schwann cells has been discussed by others.9 Migration of melanocytes arrested in the dermis explains the family of blue nevi (BN) and dermal melanocytosis (DM). Possibly the pure dermal melanoma is another clinical expression of arrested migration of progenitor preneoplastic cells.10


ACQUIRED MELANOCYTIC NEVUS


Epidemiology and Etiology

The several determinants in the development of acquired melanocytic nevus (AMN) are lifelong factors that include hereditary, skin type, and sun exposure in the form of ultraviolet light radiation (UVR). The latter is clearly the main environmental factor in the pathogenesis of most AMNs and melanomas. The interplay among these several factors in the development of AMNs is appreciated in the geographic and ethnic variation of these lesions.11,12,13 The initial appearance of AMNs occurs in early childhood and then increases in number into the third decade of life. Among fair-skinned children, the mean nevus count is 15 to 30, whereas in children with skin of color, the total count is often less than 15. It is during the first decade of life when the greatest accumulation of AMNs is seen and the need for UVR prevention is maximum.14,15,16,17,18 Yet another variable in UVR exposure is related to the latitude at which a sunburn occurs at seaside or an on-land site.19 The numerical density of AMNs is greatest on the trunk compared to other body sites.20 Those individuals with Fitzpatrick skin type 2 and dark hair have the highest nevus count, except in those with the “red hair phenotype” who appear to have a lower density of nevi. The greater the number of AMNs in childhood and a positive family history for cutaneous melanoma maximize the risk for the melanoma.21






FIGURE 22-1. Various patterns of acquired melanocytic nevi. A, Eclipse nevus with central light tan color with brown rim. B, Cockade or target nevus with central brown papule followed by light tan area and outermost brown rim.

Specific genetic mutations have been associated with the development of AMNs.22 BRAF and much less frequently NRAS mutations are detected in these lesions; BRAF mutations are present in 60% to 90% of AMNs.23,24 The same mutations are found in melanomas to serve as a pathogenetic linkage with AMNs.


Clinical and Pathologic Features

The designation of AMN includes the common melanocytic nevus whose three clinicopathologic types are the junctional, compound, and DN, but within this simplified scheme, there are a number of subtypes based upon clinical and morphologic features such as the so-called halo nevus with its intense lymphocytic infiltration; Spitz nevus (SN) with its spindle, epithelioid, and atypical features; spindle cell nevus of Reed; and deep penetrating nevus (DPN). Each of these latter entities is discussed subsequently, but the point is that there is a broad and overlapping clinicopathologic spectrum of AMNs. This is also appreciated in the different dermoscopic patterns including reticular, globular, and homogeneous patterns in children; the globular pattern is the most commonly detected one in childhood.25

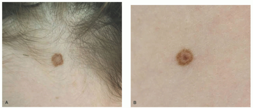
Those with a higher density of nevi often develop them with a similar clinical pattern, which is referred to as a “signature nevus.”26 The patterns include solid pink, solid brown, “fried egg,” “eclipse,” pink eclipse, cockade (target) nevus, nevus with perifollicular hypopigmentation, multiple halo nevi, and lentiginous nevus (Figure 22-1A-C).







FIGURE 22-1. (continued) C, Perifollicular hypopigmentation in this nevus.






FIGURE 22-2. Junctional nevus presenting as an oval macule with homogeneous dark brown pigmentation.


Junctional Nevus

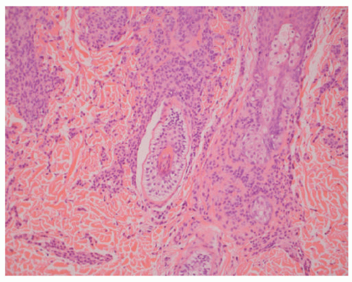
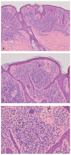
Junctional nevus initially appears as a hyperpigmented macule with rounded to oval contours; the coloration ranges from pink to brown to black (Figure 22-2). Microscopically, the nests of nevus cells are located along the dermoepidermal junctions with a more or less regular pattern of periodicity and usually a rather abrupt transition to uninvolved skin with sharply demarcated lateral borders without a trailing edge or border (Figure 22-3). The latter features differentiate the common junctional nevus from the architecturally disorder or dysplastic nevus.


Compound Nevus

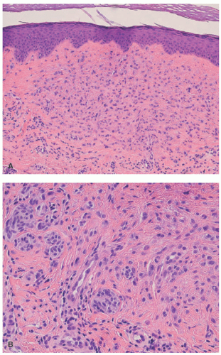
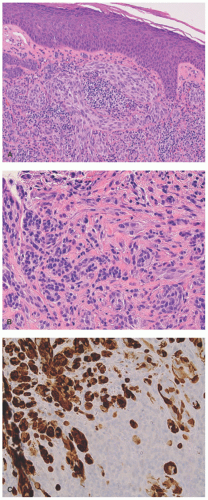
Compound nevus has a papulonodular appearance and may be flesh colored or pigmented depending in part upon the degree of pigmentation of the junctional component and/or pigmentary incontinence (Figure 22-4). A dense lymphocytic infiltrate may obscure the nevus cells throughout and may be accompanied by a clinical halo (Figure 22-5). Multiple halo nevi can be seen in association
with Turner syndrome. The number of junctional nests can be quite variable from case to case but seem to diminish with the age of the child at the time of biopsy/excision (Figure 22-6A & B). The dermal component may retain its nested pattern or acquires a more diffuse pattern as individual nevus cells, which trickle through the dermis and convey the impression that the cells are smaller with depth in the dermis compared to those nevus cells at or beneath the dermoepidermal junction; this phenomenon is referred to correctly or incorrectly as so-called maturation or senescence with depth (Figure 22-7). Among the junctional and superficial DN cells, the nuclei are larger with an open chromatin pattern and a micronucleolus and with depth into the dermis, the nevus cells are smaller including the nucleus with its more dense chromatin. Those nevi whose nuclei do not undergo this transition and whose nucleoli persist within the depths should be evaluated carefully and if need be shared with colleagues.






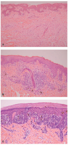
FIGURE 22-3. Junctional melanocytic nevus. A, A lesion from the back of a 7-year-old male with small, regularly distributed junctional nests. Note the diffuse neurofibroma in the dermis. B, Junctional nests with an irregular pattern and an accompanying lymphocytic reaction from the scalp of a 5-year-old female. This lesion may have some special site features. C, Nests of spindle cells at the junction from the dorsal hand of a 1-year-old female. This lesion was not appreciably pigmented, but the question is a junctional Spitz versus Reed nevus.






FIGURE 22-4. Compound melanocytic nevus as a light brown fleshy papule.






FIGURE 22-5. Compound melanocytic nevus from the posterior shoulder of a 14-year-old male showing a dense lymphocytic infiltrate obscuring in part the junctional and dermal nevus cells. This “halo” phenomenon is not always accompanied by a clinical halo.






FIGURE 22-6. Compound melanocytic nevus. A, Compactly arranged nevus cells at the junction and in the dermis maintain a nested pattern. Note that the nevus cells are rounded and angulated with some spitzoid features. B, This lesion from the brow of a 9-year-old female shows small junctional nests and variably sized dermal nests with a plexiform-like pattern and scattered pigmented cells. The abundant eosinophilic background suggested neurotization or a combined nevus.

Any mitotic activity in a compound nevus should be noted with the acknowledgment that 1 to 2 mitotic figures are found in a range of otherwise benign melanocytic lesions. Mitotic figures, when present, are generally confined to the nevus cells at the junction and/or papillary dermis.27 Deep mitotic figures should be viewed with greater concern than the more superficial ones except if those mitotic figures are atypical. It appears that mitotic figures are found more commonly in those nevi from children and from special anatomic sites.28,29 Of course, other features are incorporated into any pathologic assessment of an atypical melanocytic lesion.

Scattered enlarged individual nevus cells with densely aggregated nuclei in a background of multinucleated nevus cell can convey concern, but in most cases represent so-called senescent changes; multinucleated nevus cells are more commonly seen in benign lesions and can serve to ameliorate concern about the particular lesion (Figure 22-6B).







FIGURE 22-7. Compound melanocytic nevus. This lesion from the postauricular region of a 9-year-old female shows the small individual nevus cells compared to the larger more superficial nevus cells. Also note the loss of the nesting pattern around the hair follicle with congenital-like features.


Dermal Nevus

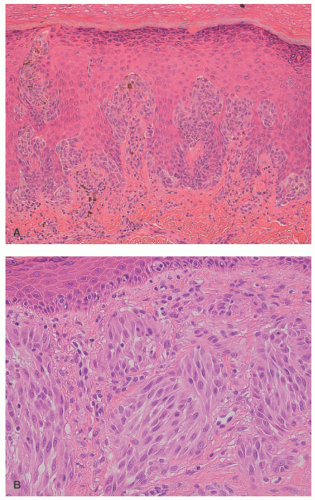
DN is defined as a melanocytic lesion without a junctional component. It is often characterized as a soft dome-shaped lesion whose differential diagnosis may include neurofibroma. Both the compound nevus and DN may be associated with alterations in the overlying epidermis including marked acanthosis or seborrheic keratosis-like architecture. With the loss of the junctional component, DN often appears lighter in color. Although we generally do not divide DN into the so-called Unna and Miescher patterns, the former is recognized by a widened papillary dermis, whereas the latter has a more diffuse infiltrative growth into the reticular dermis (Figure 22-8A-C).30 Those DNs with the diffuse pattern can have a prominent fibrillary matrix or stroma and tactile body-like formations that have been referred to as neurotization with a resemblance to a neurofibroma. Adipose tissue and heterotopic bone (osteonevus of nanta) are other less common findings whose presence reflects the range of mesenchymal differentiation in NC-derived proliferations. Though uncommon in DNs from children, so-called ancient changes can be mistaken for melanoma.31 Exclusively dermal-based melanocytic nevi are seen in several other specific contexts including the SN, DPN, BN, and CMN.

Most AMNs are straightforward lesions in terms of the histologic features, which generally do not require any special or specific qualifications in the pathologic diagnosis whether in a child or adult. In the practice of one of us (LPD), 90% of AMNs were in descending order of frequency: compound (62%), dermal (20%), and junctional nevi (4%) (Table 22-1). The remaining nevocellular lesions (14%) represented specific pathologic types such as the SN. Most compound nevus and DN were seen in biopsies or excisions from children 8 years of age or older.








TABLE 22-1. Types of melanocytic lesions in the first two decades of life (2012-2016)























































Type


Number


%


Compound nevus


719


62


Dermal nevus


229


20


Spitz nevus


103


9


Junctional nevus


47


4


Blue nevus


22


2


Spindle cell nevus of Reed


15


1


Halo nevus


12


1


Atypical spitzoid tumor


7


1


Deep penetrating nevus


5


<1


Malignant melanoma


5


<1


Total


1164


˜100


Compiled from the files of the Lauren V. Ackerman Laboratory of Surgical Pathology, Washington University Medical Center, St. Louis, Missouri.


From Yang C, Gru A, Dehner LP. Common and not so common melanocytic lesions in children and adolescents. Pediatr Dev Pathol. 2018;21(2):252-270.




ATYPICAL MELANOCYTIC NEVUS

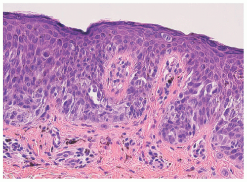
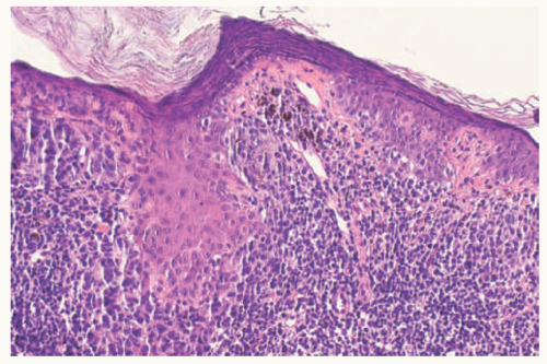
Atypical melanocytic nevus is a generic category based in part upon the clinical appearance and the pathologic features of the nevocellular proliferation. An irregular distribution of junctional nests, lentiginous (single-cell) junctional pattern, and nuclear alterations such as enlargement, density and coarseness of the chromatin, prominence of the nucleoli and mitotic figures, and their location are some of the qualifying histologic features of an “atypical nevus.” In a sense, it does not imply a specific subtype of nevus because these findings occur across the broad spectrum of lesions. Less than 10% of atypical nevi are diagnosed in the first two decades of life in one epidemiologic study.32 The most common context of an atypical melanocytic nevus in our experience is the so-called dysplastic or architecturally disordered nevus whose basic morphologic features include the following: (1) architecture with bridging of rete ridges; (2) nested nevus cells at the tips of the rete and single or lentiginous cells along the rete ridges; (3) continuous lamellar pattern of fibroplasia outlining the superficial papillary dermis; and (4) a shoulder of junctional nevus cells without an underlying
dermal component (Figure 22-9).33 The preference of one of us (LPD) is “melanocytic nevus with architectural disorder,” rather than dysplastic or Clark’s nevus. Despite the efforts of several convened consensus conferences, there is still a lack of consensus on many aspects of these lesions including the grading of atypia, its significance, and management.34,35,36,37,38 Socalled dysplastic features are not confined to the common AMN, but are seen in other nevocellular lesions such as the SN and combined nevus.39,40,41






FIGURE 22-8. A, Dermal melanocytic nevus from the trunk of a 17-year-old female. Note the alterations of the overlying epidermis and the expansion of the papillary dermis. B, The nevus cells even in this obviously benign lesion show variations of cell size and scattered dense nuclei that may represent pyknosis rather than atypia. C, Nuclear pseudoinclusions and multinucleated nevus cells are present in this field.






FIGURE 22-9. Compound melanocytic nevus with architectural disorder (dysplastic nevus) in a 14-year-old male. Note the irregular junctional nests and bridging of rete ridges focally. Nuclear atypia is evident in the junctional melanocytes, with maturation in the dermal nests with smaller nevus cells.

Another category of AMNs with atypical features includes those from the so-called anatomic special sites such as the scalp, genital area, hand/foot, flexural sites, ear, breast, and lower extremity.42,43,44 There is overlap in the histopathologic features of the special site AMN and the architecturally disordered or dysplastic nevus. AMNs can also be seen in association with pregnancy which particularly have a higher number of mitotic figures and in association with lichen sclerosus.


Scalp Nevus

Scalp nevus presenting in children and adolescents may herald the development of additional AMNs on the vertex and parietal scalp and elsewhere.45,46,47 It has been noted that scalp nevi in children are accompanied by an increased number of nevi elsewhere than in children without scalp lesions.48 The scalp nevus is often elliptical, is variably pigmented, and may have irregular borders. The presence of large, atypical nevus cells, dusty cytoplasmic melanin, and large, irregular nests, and lentiginous proliferation along and between rete ridges are some of the atypical features.49 Pagetoid spread of nevus cells and dyscohesion of individual nevus cells within the nests are additional features.50


Genital AMN

Genital AMNs were detected in 35% of children in the experience of one pediatric dermatology practice.51 These lesions are generally recognized at or before 5 years of age and even at or shortly after birth. A medium to dark brown symmetrical nevus(s) on the labia majora and minora or penile shaft or scrotum is the clinical appearance. Like the scalp
nevus, the genital nevus has a compound pattern with architecturally disordered or dysplastic features.52,53


Acral Nevocellular Lesions

Acral nevocellular lesions include the acral nevus of acquired or congenital types and longitudinal melanonychia. One cohort study of individuals 18 years of age and older noted acral pigmentary lesions in 30% of cases.54 Skin-of-color individuals are more likely to have acral melanocytic lesions, but when seen in non-Hispanic fair-skinned children, there is also an increased overall count of melanocytic nevi. A study of school-aged children in Colombia revealed 42% had at least one acral melanocytic lesion.55 Kim et al56 reported that the most common site of an acral lesion in children was the forefoot of the sole followed by the volar toe, together accounting for almost 85% of cases, whereas approximately 15% of pigmented lesions were found on the volar palm and finger.

Histopathologically, virtually all cutaneous acral lesions have architecturally disordered features and 60% to 65% are junctional proliferations and 25% to 30% are compound nevi with mixed lentiginous and nested patterns (Figure 22-10).57 Cytologic atypia is generally mild in most cases. Pagetoid spread through the epidermis and transepidermal elimination of nevus nests are other findings. SN and BN are also present in acral sites.58 Eruptive nevi are reported on the sole and/or palm in children after chemotherapy, but their histopathologic features are not unique from other acral nevi in children. In some cases, the pagetoid spreading can be very prominent, particularly in young patients. The term MANIAC nevus (melanocytic acral nevus with intraepidermal ascent of cells) has been used to described such findings.


Longitudinal Melanonychia (Melanonychia Striata)

Longitudinal melanonychia, like the cutaneous acral nevus, occurs more commonly in skin-of-color than fair-skinned children. The finger(s), especially the thumb, is the most common site of the longitudinal pigmented band in children and rarely in neonates.59,60 Melanocytic activation with increased pigmentation in the basal-parabasal layer without an increased number of melanocytes, melanocytic hyperplasia with an increase in the number of melanocytes, and a disordered junctional melanocytic nevus are the range of histologic findings.59,61 Subungual melanoma is rarely reported in children, but apparent progression of longitudinal melanonychia discovered in childhood to a melanoma in adults has been reported.62,63



OTHER AMN

Several of the other AMNs are accompanied by a variety of eponyms, which is not altogether surprising because clinical dermatology is replete with these.64 For those interested in the topic of melanocytic nevus-associated eponyms, the latter is an informative resource.


Meyerson Nevus (Phenomenon)

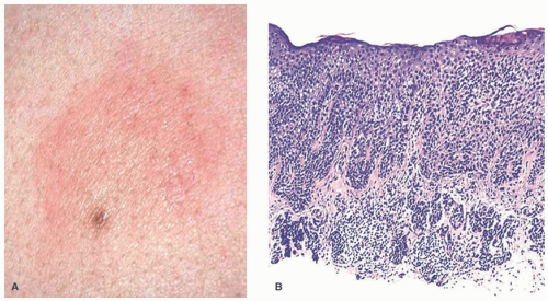
Meyerson nevus is an AMN that is accompanied by a spongiotic dermatitis, which is rich in CD4+ T-lymphocytes and histiocytes with accompanying clinical erythema and a centrally positioned nevus of either the congenital or acquired type in a child65 (Figure 22-11A & B). The trunk or proximal extremities is the favored site.


Nevus Spilus (Speckled Lentiginous Nevus)

Speckled lentiginous nevus (SLN) is a clinical designation for a brownish macule or patch that is studded with hyperpigmented speckles66 (Figure 22-12). A similar lesion with a papular appearance may present in association with the epidermal nevus or nevus sebaceous syndromes (phacomatosis pigmentokeratotica).67 The syndromic SLN is a manifestation of HRAS mosaicism and is considered one of RASopathies.68,69 The brownish macule is composed of an increased number of pigmented melanocytes with the so-called lentigo simplex pattern or with various nevocellular patterns in hyperpigmented foci whose histologic features are those of a disordered (dysplastic) junctional, compound nevus or SN.


Spitz Nevus Spectrum

SN spectrum represents a category of nevocellular proliferations that share similar clinicopathologic features. The characteristic presentation of a SN is solitary, often amelanotic, flesh-colored or erythematous, smooth dome-shaped papule measuring less than 10 mm in diameter in most cases; the head and neck region and lower extremities are the sites of predilection (Table 22-2; Figure 22-13).70 The paradox of the “melanoma of childhood” as Spitz referred to the lesion known today as the SN was apparent to her in the initial study of 13 children with lesions in which she observed that “malignant melanoma … in children has clinical behavior rarely … that of a malignant tumor.”71 One of the original 13 cases in a 12-year-old behaved as a malignancy with metastases and death. Other than the presence of multinucleated nevus cells according to Spitz, the “histologic appearance (9 of 13 cases) … in most respects was indistinguishable from adult type of malignant melanomas.”71 It is now 70 years later, and we are arguably little better in some respects than over three generations ago in the reliable

separation of one worrisome Spitz lesion from another.72,73,74 Despite the seemingly endless discussions and controversies that are recounted in some of the latter cited references, we are still challenged by some but certainly not all SNs.






FIGURE 22-10. Compound melanocytic nevus, acral type. A, This clinical illustration shows some irregularity at the periphery. B, An alternating junctional lentiginous and nested melanocytic proliferation. C, This focus demonstrates the acrolentiginous pattern. D, This focus shows the atypical junctional nests composed of nevus cells with prominent nucleoli.






FIGURE 22-11. Meyerson (spongiotic) melanocytic nevus. A, A zone of erythema accompanies these lesions. B, This compound melanocytic nevus has a spongiotic and acanthotic epidermis.








TABLE 22-2. Anatomic distribution of Spitz, atypical spitzoid tumor, and spitzoid melanoma















































Type


Spitz Nevus Number (%)


Atypical Spitzoid Tumor Number (%)


Spitzoid Melanoma Number (%)


Head and neck


264 (35)


13 (35)


12 (48)


Upper extremity


193 (26)


11 (30)


8 (32)


Lower extremity


186 (25)


9 (24)


5 (20)


Trunk


102 (13)


4 (11)



Perineum (penis 2, scrotum 1, vulva 1)


5 (<1)




Not stated


6 (<1)




Total


756 (˜100)


37 (100)


25 (100)


Compiled from the files of the Lauren V. Ackerman Laboratory of Surgical Pathology, Washington University Medical Center, St. Louis, Missouri, 1990 to 2017.


From Yang C, Gru A, Dehner LP. Common and not so common melanocytic lesions in children and adolescents. Pediatr Dev Pathol. 2018;21(2):252-270.







FIGURE 22-12. Nevus spilus with tan-brown background speckled with dark brown macules.


Spitz Nevus

SN in most cases and with experience can be recognized and diagnosed histopathologically as a benign lesion. Among cutaneous nevocellular lesions in individuals 20 years of age or less, SN represented almost 10% of nevocellular lesions in our experience (Table 22-1). Slightly over 80% of cases were examples of the compound SN (Table 22-2). Over 65% of SN are diagnosed in children 10 years old or less, with a near equal number of males and females. The head and neck and upper extremities were the sites of predilection, followed by the trunk (Table 22-2). With the infrequent exception, virtually all SNs were solitary lesions, with the exception of one case of agminated SN in our review. Multifocal lesions are variably known as grouped (agminated) and eruptive disseminated SN whose estimated frequency is 0.3% of all SN.75 Clustered or agminated SN are seen on the face, back, and extremities.76 Eruptive disseminated SN have occurred in association with nevus spilus or as nodules in a large CMN.77,78,79 Multiple epithelioid SN are the hallmark of the BAP1 syndrome with loss of germline BAP1.80

Pathologically, the SN is most often a nonpigmented nodule measuring 1 cm or less. The surface is smooth, but in some cases has a more irregular, verrucous appearance. An erythematous nodule may convey the clinical appearance of a pyogenic granuloma. There are several basic histologic features that characterize the SN, but these are not necessarily coincident in any one case. Most lesions are compound nevi with a junctional and dermal component in addition to the less common junctional and dermal SN (Figure 22-14A & B; Table 22-3). One series of SN, including both children and adults, reported the following distribution of lesions: compound 46%, junctional 33%, and dermal 21%.81

The histopathologic features of the SN include the following: (1) spindle and/or epithelioid melanocytes with prominent nucleoli more commonly seen in cells with an epithelioid morphology; (2) symmetric growth; (3) epidermal hyperplasia with verruciform features in some cases; (4) vascular ectasias prominent in the suprapapillary dermis to account for the clinical resemblance to a pyogenic granuloma; (5) junctional proliferation of epithelioid and/or spindle nevus cells with intercellular clefting and vertically oriented nests; (6) Kamino bodies (Periodic acid-Schiff-positive diastase-resistant eosinophilic globules above the tips of the papillae); (7) nested and/or confluent patterns in dermis with reduction of cell size including nuclei and nucleoli with dermal depth; (8) enlarged nuclei without appreciable pleomorphism; (9) mitotic figures, if present, mainly confined to the junctional and superficial dermal population, but exceptions exist of the isolated deep dermal mitosis (not to exceed 1 mitosis); and (10) multinucleated nevus cells usually with epithelioid features. Any atypical mitotic
figures should be viewed with caution about a potentially aggressive lesion. Among these various microscopic features, the only uniform finding is the presence of spindle/epithelioid morphology, with the spindled nevus cell as the predominant feature in almost 50% of cases.81






FIGURE 22-13. Spitz nevus presenting as a dome-shaped pink papule on the cheek of this child.








TABLE 22-3. Spitz, spitzoid, and other spindle cell melanocytic lesions in first two decades





































Type


Number (%)


Typical Spitz nevus (compound)


620 (82)


Atypical Spitz nevus tumor


37 (5)


Combined nevus with Spitz features


35 (5)


Spitzoid melanoma


25 (3)


Dermal Spitz nevus


14 (2)


Pigmented spindle cell nevus (Reed)


12 (2)


Junctional Spitz nevus


7 (<1)


Cellular blue nevus


6 (<1)


Total


756 (100)


Compiled from the files of the Lauren V. Ackerman Laboratory of Surgical Pathology, Washington University Medical Center, St. Louis, Missouri, 1990 to 2017.


From Yang C, Gru A, Dehner LP. Common and not so common melanocytic lesions in children and adolescents. Pediatr Dev Pathol. 2018;21(2):252-270.


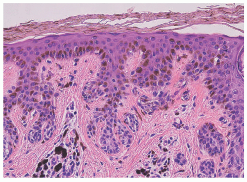
In addition to the basic microscopic findings, a mucinous or myxoid stroma is presented as an uncommon feature, as well as a desmoplastic stroma, lymphocytic reaction as in a halo nevus, or a polypoid growth rather than a dome-shaped nodule.82 A pagetoid pattern of individual nevus cells is uncommon in our experience, but is well-documented in SN and is seen more often in the junctional SN in our experience (Figure 22-15).83,84 Rosettelike profiles and an intense inflammatory response with granulomatous-like features are other infrequent findings.85,86 An angiomatoid variant of SN has also been described.87 Just as the recurrent common melanocytic nevus may present with melanoma-like features with an altered pattern of junctional proliferation and an asymmetrical dermal pattern due in part to the scar, similar findings may be seen in the recurrent or persistent SN.88 Combined nevus often includes SN and another nevocellular pattern, usually a common compound nevus with or without architecture disorder (Figure 22-16A-C).40,89 Other combinations of SN in children include those accompanied by a hemangioma, leiomyoma, and epidermal nevus syndrome.90,91,92






FIGURE 22-14. A, Spitz nevus from the finger of an 8-year-old female shows the mixture of spindle and epithelioid nevus cells. Note the mitotic figure that can be seen in the junctional and papillary dermal nevus cells. B, This field from a Spitz nevus of the cheek in a 5-year-old male shows the spindle and epithelioid nevus cells, intercellular clefts, and vertically oriented nests. The presence of a fascicular growth and spindle cell morphology should raise the possibility of an ALK translocation.







FIGURE 22-15. Spitz nevus presenting on the arm of a 1-year-old male. The epithelioid nevus cells are largely confined to the epidermis as junctional nests and as individual cells with a pagetoid pattern.


Intradermal SN

Intradermal SN is less common than the compound pattern SN, accounting for 15% to 20% of cases in our experience (Table 22-3).81 The histologic pattern is that of individual spindled and/or epithelioid nevus cells in a hyalinized or sclerotic stroma or a stroma with a cellular, scar-like appearance with its designation of desmoplastic SN (Figure 22-17A and B).93,94,95 Those lesions with a desmoplastic stroma may be mistaken for a dermatofibroma or desmoplastic melanoma; the latter is virtually unknown in children. Some are of the opinion that the desmoplastic nevus is a distinct lesion from both the SN and the BN.96



Atypical SN (Tumor)

Atypical Spitz nevus (tumor) (ASNT) in its simplest terms is a nevocellular lesion with the basic histopathologic features
of a SN, but with sufficient histopathologic variance to cause concern about the possibility of a melanoma with spitzoid features.97 It should be recalled that Spitz regarded all the lesions in her series as atypical to the degree that she considered them all “melanomas of childhood.”71 Another expression of the challenge of the SN is the reference to them as the “everlasting diagnostic challenge.”98 Mones and Ackerman99 considered ASNT as nothing more than an evasion from a straightforward diagnosis.






FIGURE 22-16. Combined melanocytic nevus from the shoulder of a 4-year-old male. A, This focus shows the spindle and epithelioid nevus cells. B, An adjacent field is composed of distinct dermal nests of nevus cell (common dermal nevus) with the intermixture of the larger epithelioid nevus cells. C, p16 immunostain shows strong nuclear reactivity of the epithelioid nevus cells, whereas the smaller nevus cells are nonreactive in the background.






FIGURE 22-17. Spitz nevus of the dermis presented as a firm nodule on the arm of a 4-year-old female. A, Individual epithelioid nevus cells are embedded in a fibrous stroma. B, Elsewhere in the same lesion, distinct nests of a common nevus are present. The differential diagnosis is a desmoplastic or combined nevus.

Approximately 5% of all Spitz lesions in children that were basically defined by the presence of spindle and/or epithelioid nevus cells were examples of so-called ASNTs in our series (Table 22-3). The age at diagnosis and the male-to-female ratio were the same as the typical SN. Others have reported a male predilection in the case of ASNTs, fewer ASNTs presenting in the head and neck compared to the typical SN, and more frequent on the extremities.100

Pathologic criteria for the diagnosis of an ASNT have been proposed, but their application remains problematic in terms of reproducibility even for the “experts,” which is not all that surprising in the case of any borderline melanocytic lesions regardless of type.73,101 Even the appropriate nomenclature for these spitzoid lesions has not been standardized.99,102

The following are some of the applied morphologic features of a ASNT: (1) lesions greater than 1 cm; (2) solid rather than nested growth pattern extending to the deep reticular dermis and into the subcutis with exceptions; (3) asymmetrical growth into dermis; and (4) cytologic atypia in the form of enlarged nuclei with pleomorphism and dense irregular chromatin.72,100 Nuclear atypia and its degree are subjective from one observer to another to account in part for the inter- and intraobserver variability. We have found it helpful to review the last “typical” SN and compare it to the current case where there is concern about an ASNT. Marked atypia is usually present throughout all levels of an ASNT, and mitotic figures, if present, should be counted with a threshold of greater or less than 6 mitoses per mm (Figure 22-18A and B).2 The emphasis on mitotic figures in the evaluation of any melanocytic lesion is usually focused upon those mitoses in the mid-to-deep reticular dermis. However, numerous mitotic figures wherever they are identified should be integrated into the overall assessment with the other histopathologic findings, which is the case in any nevocellular proliferation.

Only gold members can continue reading. Log In or Register to continue

Stay updated, free articles. Join our Telegram channel

May 8, 2019 | Posted by in Dermatology | Comments Off on Melanocytic-Nevocellular Lesions

Full access? Get Clinical Tree

Get Clinical Tree app for offline access