- •
There is a high patient demand for safe and effective ways to decrease redundant or lax skin and smooth irregular body contours
- •
Patients tend to prefer noninvasive skin-tightening procedures with less risk, no scarring and reduced recovery time despite a decrease in effectiveness when compared with traditional skin excision techniques such as abdominoplasty or brachioplasty
- •
Treatment protocols with reduced energy settings are standard of care, increasing the safety profile and decreasing discomfort for the patient
- •
All radiofrequency skin-tightening devices work by a similar mechanism of action, which includes delivering heat in the form of energy to the skin or underlying structures and creating mechanical and biochemical effects that lead to both immediate collagen contraction and delayed remodeling and neocollagenesis due to the subsequent wound healing response
- •
Adjunctive treatment strategies can be used to increase patient satisfaction. Skin-tightening procedures on the body can be performed along with liposuction or other laser or light-based devices to address multiple issues and achieve improved overall results
Introduction
Skin laxity may result from chronological aging, photoaging, and changes in body dimensions during pregnancy or weight loss. Over the past decade, there has been increasing demand for safe and effective ways to decrease redundant or lax skin and smooth irregular body contours. Patients desire procedures with reduced recovery time, reduced risk and adequate clinical improvement. This has led to exponential growth in noninvasive body contouring and minimally invasive, nonablative tissue-tightening techniques, including laser, radiofrequency and ultrasound-based devices. The goal of this chapter is to review the use of radiofrequency devices in skin tightening specifically on the body.
Proposed mechanism(s) of action
Radiofrequency energy was the first modality specifically marketed for noninvasive skin tightening. Radiofrequency devices work by producing an alternating current that creates an electric field throughout the skin. The electric field shifts polarity millions of times per second, causing a change in the orientation of charged particles within the electric field. Heat is generated via tissue resistance to the movement of oscillating electrons within the radiofrequency field as governed by Ohm’s law:
Energy(joules)=I2×Z×twhereI=current(amps),Z=impedance(ohms)andt=time(seconds)
The process does not follow the principles of selective photothermolysis as heat is generated by the skin’s resistance to the flow of current within an electric field, rather than chromophore-based photon absorption as with a laser. This makes radiofrequency technologies well suited for deep dermal heating as opposed to light-based technologies which have a suboptimal depth potential due to energy being scattered or absorbed in the upper layers of the skin. The depth of energy delivered by a radiofrequency device depends on several factors, including the arrangement of radiofrequency electrodes (monopolar or bipolar), the type of tissue serving as the conduction medium (fat, skin), temperature, and the frequency of the electrical current applied.
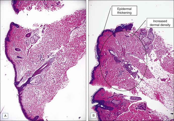
Radiofrequency energy is thought to induce skin tightening of the body by several mechanisms. The first is the immediate contraction of collagen fibers and fibrous septa in the subcutaneous fat due to direct thermal heating. Studies on samples of human abdominal skin have shown that when collagen fibers are heated to specific temperatures with radiofrequency energy, they contract due to breakage of intramolecular hydrogen bonds linking protein chains in the triple helix structure (denaturation). Contraction causes the helix to fold, leading to shorter, thicker, more ‘compact’ collagen fibers. Secondary wound healing also plays a role in tissue tightening with delayed remodeling and neocollagenesis over time ( Fig. 3.1 ). It has been postulated that thermal heating by radiofrequency energy results in a microinflammatory stimulation of fibroblasts which induces new collagen and elastin as well as encouraging collagen reorganization into parallel arrays of compact fibrils. Thus, radiofrequency effects are based on mild heating of the collagen and elastin fibers which can lead to collagen shrinkage and dermal thickening with a resulting improvement in firmness and elasticity of the skin. The degree of tissue tightening is dependent upon several factors, including the maximum temperature reached, the heat exposure time, tissue hydration, and tissue age.

Patient selection
Radiofrequency energy differs from laser energy in that it does not depend on the principles of selective photothermolysis; therefore, radiofrequency procedures are appropriate for all skin types regardless of color. The exception is with combination devices that also have an optical component absorbed by pigment such as intense pulsed light. Such devices should be used with caution in patients with skin types IV–VI, over darkly pigmented lesions or areas of dense pigment irregularity, or in lighter skin patients with a tan. Areas commonly treated with radiofrequency include the thighs, upper arms, abdomen, buttocks, and chest.
Appropriate selection of patients and managing realistic expectations are key to ensuring patient satisfaction.
As with any other aesthetic procedure, appropriate selection of patients and managing realistic expectations are key to ensuring patient satisfaction. Patients must be advised that it takes time to see maximal improvement and that final results occur over a period of 3–6 months. The most appropriate candidates are those who are younger with mild or mild to moderate skin laxity.
The most appropriate candidates for radiofrequency skin tightening of the body are those who have mild or mild to moderate skin laxity without underlying structural ptosis.
Younger patients are thought to respond better than older patients because heat-labile collagen bonds are progressively replaced by irreducible multivalent cross-links as tissue ages, such that the skin of older individuals is more resistant to heat-induced tissue tightening. Skin quality, however, is more important than the absolute age of the patient. Older patients with good skin quality can generally be expected to have a promising response to therapy. Individuals with severe skin laxity will achieve a more dramatic outcome with a surgical skin excision, such as an abdominoplasty or brachioplasty, if they are willing to accept the risks, recovery time, and resulting scars associated with traditional surgical approaches. The benefits, risks, and limitations of the various types of radiofrequency devices should be discussed with the patient in detail, including a mention of alternative therapies so that the patient can make an informed decision.
Younger patients may respond better than older patients; however, older patients with good overall skin quality may respond just as well as their younger counterparts.
The ideal patient should also have primarily skin laxity without underlying structural ptosis or other contributing issues. This is of particular importance with skin-tightening procedures on the abdomen where muscular problems, such as diastasis recti post-pregnancy, can contribute to a lax appearance and will not be addressed through radiofrequency skin tightening. Patients should also understand that radiofrequency alone is not effective for the superficial textural and pigmentary aspects of photoaging such as wrinkles, lentigines, and telangiectases.
Contraindications to the use of radiofrequency procedures include pregnancy, active collagen vascular disorders, any implanted electrical device such as pacemakers or internal defibrillators, and the presence of any metallic device (i.e. hip replacement, hip or femur surgery).
Typical treatment course
Radiofrequency skin-tightening treatments are performed in the office on an outpatient basis. Individual patient pain feedback should be used as a basis for energy selection in a given treatment area. Anesthesia is usually not required with current treatment protocols, although topical anesthetic may be used if warranted. Some authors have suggested topical anesthetics are not helpful in alleviating deep dermal heat sensations and may actually exacerbate discomfort by selectively numbing the epidermis so that the patient does not feel the cooling relief of technologies that use cryogen spray cooling when the tip is in contact with the skin. The use of oral analgesics, nerve blocks, or intravenous sedation should not be used because pain feedback from the patient is necessary to limit side effects and enhance patient safety. Local infiltration anesthesia is also not recommended as the fluid may alter the tissue conductivity and increase the risk of adverse events.
It is essential to take standardized pre-procedure photographs before each treatment. The photographer should be careful to use identical positioning and lighting conditions in each session, as subtle differences may distort patient perceptions. Pre-treatment photographs may need to be compared with post-treatment photographs as changes with radiofrequency procedures may be mild, evolve over 3 to 6 months, and may go unnoticed by the patient.
Patient pain feedback should be used as the basis for choosing particular energies in a given treatment area for each individual. This will help to limit side effects, enhance patient safety, and maximize results.
Patients should be asked throughout the treatment about their level of pain on a scale of 1 to 10. The goal is to calibrate temperature settings to keep the pain level below a 5 or 6. High pain levels mean the temperature is too great and should be turned down to reduce the risk of adverse events. Persistent erythema, localized swelling or hives are all indicators that the tissue has not had sufficient time to cool before additional passes may be considered. The number of treatments varies depending on the device, treatment parameters, area of the body, degree of skin laxity, and individual patient response.
A considerable array of radiofrequency devices is available for clinical use ( Table 3.1 ). They may be broadly categorized by the arrangement of electrodes as either monopolar, bipolar, or unipolar. The various systems create different electromagnetic fields. However, the interaction of the energy with the target tissue is similar ( Fig. 3.2 ). In a monopolar system, the skin tightening effect is based on the principle of uniform volumetric heating. Electrical current is delivered via a single electrode in the handpiece in contact with the skin, exiting to a grounding pad. Without appropriate surface cooling, there may be a high density of power close to the electrode’s surface which may lead to safety concerns such as burns or overheating. In a bipolar system, the electrical current passes between two electrodes within the handpiece at a fixed distance over the skin. The advantage of bipolar systems is a more controlled current distribution. The disadvantage is that the penetration depth of energy into tissue is limited to roughly half the distance between the electrodes ( Fig. 3.3 ). With a unipolar radiofrequency system there is one electrode, no grounding pad, and a large radiofrequency field emitted in an omnidirectional field around the electrode, similar to that of a radio antenna.





