Abstract
In addition to contact and atopic dermatitis, there exists a heterogeneous group of inflammatory skin diseases that obviously share the hallmarks of eczema, but also display characteristic additional features. Their pathogenesis is generally less well understood than that of contact or atopic dermatitis, but most exhibit distinctive etiologic features. There is some overlap within the entire group.
The common disorders seborrheic dermatitis, asteatotic eczema and stasis dermatitis are discussed along with autosensitization (id reaction), nummular dermatitis, and dyshidrotic eczema. Two disorders which favor the pediatric age group, juvenile plantar dermatosis and diaper dermatitis, are also reviewed.
Keywords
seborrheic dermatitis, asteatotic eczema, stasis dermatitis, disseminated eczema, autosensitization, id reaction, nummular dermatitis, HTLV-associated infective dermatitis, dyshidrotic eczema, infectious eczematous dermatitis, juvenile plantar dermatosis, diaper dermatitis
In addition to contact and atopic dermatitis, there exists a heterogeneous group of inflammatory skin diseases that obviously share the hallmarks of eczema, but display characteristic additional features. Their pathogenesis is generally less well understood, but most exhibit distinctive etiologic features.
Seborrheic Dermatitis
- ▪
Infantile and adult forms
- ▪
Lesions favor the scalp, ears, face, central chest, and intertriginous areas
- ▪
Etiologic links with active sebaceous glands, abnormal sebum composition, and Malassezia ( Pityrosporum ) spp.
- ▪
Can be a cutaneous sign of HIV infection
Introduction
Seborrheic dermatitis is a common mild chronic eczema typically confined to skin regions with high sebum production and the large body folds. Although its pathogenesis is not fully elucidated, there is a link to sebum overproduction (seborrhea) and the commensal yeast Malassezia .
History
Seborrheic dermatitis was first described by Unna , who also suspected Malassezia furfur ( Pityrosporum ovale ) as a causative factor. The nosologic position of seborrheic dermatitis was widely discussed for decades, the focus resting on dysfunction of the sebaceous glands and the high amounts of M. furfur present in scales of seborrheic dermatitis. In 1984 it was shown that seborrheic dermatitis could be suppressed by systemic ketoconazole . This finding was corroborated by later studies , and it became clear that seborrheic dermatitis was strongly linked to Pityrosporum yeasts. Today, it is accepted that several species of Malassezia , including M. furfur , play a direct role in seborrheic dermatitis (see Table 77.3 ) .
Epidemiology
There are infantile and adult forms, with the former being self-limited and confined to the first 3 months of life, while the latter is chronic with a peak in the fourth to sixth decades. The prevalence of seborrheic dermatitis is estimated to be 5%, but its lifetime incidence is likely much higher. Men are afflicted more often than women. There is neither a genetic predisposition nor horizontal transmission. Extensive and therapy-resistant seborrheic dermatitis is an important cutaneous sign of HIV infection. It is also more commonly observed in patients with Parkinson disease, cerebrovascular accidents, and mood disorders .
Pathogenesis
Malassezia
The genus Malassezia consists of lipophilic yeasts that are part of the normal resident skin flora . Studies on the predominance of certain Malassezia spp. have revealed conflicting results . M. furfur may behave as an opportunistic pathogen (e.g. fungemia in neonates receiving intravenous lipid emulsions) or cause or aggravate a spectrum of skin diseases: pityriasis versicolor, Malassezia (Pityrosporum) folliculitis, seborrheic dermatitis, and possibly atopic dermatitis.
Malassezia and seborrheic dermatitis
M. furfur and related species can be regularly isolated from lesions of seborrheic dermatitis, including infantile seborrheic dermatitis (whereas healthy prepubertal children are not colonized to a significant degree). This coincides with the presence of enlarged sebaceous glands during the neonatal period. There is no simple quantitative relationship between yeast number and severity of seborrheic dermatitis, and unaffected skin may carry a load of organisms similar to seborrheic dermatitis lesions. Even in the scalp where M. furfur predominates amongst the resident flora, only twice as many yeasts may be recovered from areas of seborrheic dermatitis as from normal controls . Similarly, severely immunodeficient HIV-infected patients with seborrheic dermatitis do not harbor more organisms than HIV-infected patients without seborrheic dermatitis . Nonetheless, the number of yeasts drops in parallel with the therapeutic benefit of antimycotic agents and rises again when seborrheic dermatitis relapses.
Active sebaceous glands and seborrheic dermatitis
Seborrheic dermatitis occurs predominantly in areas of the skin with active sebaceous glands and is often associated with sebum overproduction, which in turn can facilitate the growth of Malassezia . In infants, sebum is produced for a few weeks after birth, and the adult form of seborrheic dermatitis does not develop before puberty. This argues for a role for sebaceous gland activation by androgens. However, patients with seborrheic dermatitis may have normal sebum production and those with excessive sebum production are often free of seborrheic dermatitis. Thus, the amount of sebum produced alone does not appear to be the decisive risk factor.
It has been proposed that the composition of the skin surface lipids is the relevant factor . In patients with seborrheic dermatitis, triglycerides and cholesterol are elevated but squalene and free fatty acids are significantly decreased. Free fatty acids (which have a known antimicrobial effect) are formed from triglycerides by bacterial lipases, produced by the lipolytic Propionibacterium ( Corynebacterium ) acnes . A major constituent of the resident microbial skin flora, P. acnes has been found to be greatly reduced in seborrheic dermatitis . Seborrheic dermatitis may thus be linked to an imbalance of the microbial flora.
Immune responses to Malassezia in seborrheic dermatitis
An etiologic role for immune mechanisms against Malassezia – particularly in view of the prominence of seborrheic dermatitis in HIV-infected individuals – has been suspected but never convincingly proven . In addition, studies on cellular immunity have yielded contradictory results . The inflammation seen in seborrheic dermatitis may be irritant, caused by toxic metabolites, lipase, and reactive oxygen species .
Clinical Features
Seborrheic dermatitis is defined by clinical parameters, including:
- •
sharply demarcated patches or thin plaques that vary from pink–yellow to dull red to red–brown with bran-like to flaky “greasy” scales; vesiculation and crusting may occur but are rare and mostly due to irritation
- •
a predilection for areas rich in sebaceous glands – scalp, face, ears, presternal region – and, less often, the intertriginous areas
- •
a mild course with little or moderate discomfort.
Infantile seborrheic dermatitis
This form usually begins about one week after birth and may persist for several months. Initially, mild greasy scales adherent to the vertex and anterior fontanelle regions arise which may later extend over the entire scalp. Inflammation and oozing may finally result in a coherent scaly and crusty mass covering most of the scalp (“cradle cap”; Fig. 13.1A ). Lesions of the axillae, inguinal creases, neck, and retroauricular folds are often acutely inflamed, oozing, sharply demarcated, and surrounded by satellite lesions ( Fig. 13.1B ). Superinfection with Candida spp. or occasionally bacteria (e.g. group A Streptococcus ) can occur. A disseminated eruption of scaly papules with a psoriasiform appearance (“psoriasiform id reaction”) may develop on the trunk, proximal extremities, and face in association with exuberant or superinfected seborrheic dermatitis, especially of the diaper area.

Adult seborrheic dermatitis
In adults, seborrheic dermatitis is generally found on the scalp and, usually of milder intensity, on the face; less often, lesions occur on the central upper chest and the intertriginous areas. Erythrodermic seborrheic dermatitis has been described as a rarity.
Pityriasis simplex capillitii (dandruff) is defined as a diffuse, slight to moderate, fine white or greasy scaling of the scalp and terminal hair-bearing areas of the face (beard area), but without significant erythema or irritation. Scales accumulate visibly on dark clothing. This common condition may be considered the mildest form of seborrheic dermatitis of the scalp.
In seborrheic dermatitis of the scalp, there is inflammation and pruritus in addition to dandruff. The vertex and parietal regions are predominantly affected, but in a more diffuse pattern than the discrete plaques of psoriasis. Towards the forehead, the erythema and scaling are usually sharply demarcated from uninvolved skin, with the border either at the hairline or slightly transgressing beyond it. Pruritus is usually moderate but may be intense, particularly in patients with male pattern alopecia; folliculitis, furuncles, and meibomitis are not uncommon complications, elicited by scratching and rubbing.
Seborrheic dermatitis of the facial skin is often strikingly symmetric, affecting the forehead, medial portions of the eyebrows, upper eyelids, nasolabial folds and lateral aspects of the nose, retroauricular areas, and occasionally the occiput and neck ( Fig. 13.2 ). Lesions are yellowish-red, with a typical bran-like scale. Non-purulent otitis externa is often observed. If present, lesions of the trunk are preferentially found in the presternal and intertriginous areas; those on the central chest can have a petaloid appearance. Seborrheic dermatitis, like inverse psoriasis, is a cause of intertrigo.

In patients with seborrheic dermatitis, the skin is sensitive to irritation, and exposure to sun or heat, febrile illnesses, and overly aggressive topical therapy may precipitate flares and dissemination. Irritated seborrheic dermatitis lesions can become bright red and erosive. Malassezia (Pityrosporum) folliculitis is another complication characterized by pruritic erythematous follicular papules, sometimes pustules, typically in sites rich in sebaceous glands.
Adult seborrheic dermatitis has a chronic relapsing course. Patients feel well and systemic signs are absent. Extensive and severe seborrheic dermatitis, however, should raise the suspicion of underlying HIV infection. Among patients with seborrheic dermatitis tested for HIV infection, 2% were found to be positive, frequently in a late stage of their disease . In patients with Parkinson disease, seborrheic dermatitis is a common finding, along with seborrhea. Its severity, however, is not correlated with that of the Parkinson disease . The facial immobility of patients with Parkinson disease might result in a greater accumulation of sebum on the skin, resulting in a permissive effect on the growth of Malassezia . Seborrheic dermatitis may be more common in patients with other causes of immobility such as cerebrovascular accidents. Rebound flares of seborrheic dermatitis can follow tapers of systemic corticosteroids.
Pathology
Acute seborrheic dermatitis displays spongiosis with a superficial perivascular and perifollicular lymphocytic infiltrate composed mainly of lymphocytes. Older lesions show irregular acanthosis and focal parakeratosis. The latter may appear similar to psoriasis, but exocytosis of neutrophils, Munro microabscesses, and confluent parakeratotic horny layers are absent.
Differential Diagnosis
Infantile seborrheic dermatitis is distinguished from atopic dermatitis by its earlier onset, different distribution pattern, and, most importantly, by the absence of pruritus, irritability and sleeplessness. In contrast to atopic dermatitis, infants with seborrheic dermatitis generally feed well and are content. Irritant diaper dermatitis is confined to the diaper area and tends to spare the skin folds (see below). Candidiasis of the diaper area can result from colonization with fecal yeast and some infants have seborrheic dermatitis with a superimposed candidal infection. The differential diagnosis also includes streptococcal intertrigo (see Fig. 13.11 ). Infantile psoriasis may be difficult to distinguish from psoriasiform seborrheic dermatitis. Although psoriasiform diaper dermatitis can represent the initial manifestation of psoriasis, many affected infants do not subsequently develop psoriasis elsewhere.
Rare conditions to be considered are Langerhans cell histiocytosis, “nutritional dermatitis” (e.g. acrodermatitis enteropathica; see Fig. 51.13 ), and Leiner disease. The last-mentioned is a questionable entity, once thought to be the maximal variant of infantile seborrheic dermatitis, but nowadays viewed as erythroderma in the setting of underlying immunosuppression (see Chs 10 & 60).
When scalp scaling is present in prepubertal, especially black, children, the possibility of tinea capitis due to Trichophyton tonsurans should be considered. In pityriasis amiantacea , thick asbestos-like scales adhere to tufts of scalp hairs; up to a third of the affected children and adolescents eventually develop psoriasis.
A number of entities are included in the differential diagnosis of adult seborrheic dermatitis. Distinction of seborrheic dermatitis of the scalp from psoriasis can be difficult, and there may be an overlap in some patients (“sebopsoriasis”). However, the plaques of psoriasis tend to be thicker, with silvery white scale, more discrete, less pruritic, and unassociated with seborrhea. In addition, features of psoriasis may be found elsewhere. Dry scaling of the scalp, along with dry brittle hair (as opposed to greasy hair), is a symptom of xerotic skin (e.g. in atopic dermatitis), frequently mistaken for (and mistreated as) seborrheic dermatitis. Mild erythema and scale of the posterior scalp, often with demonstrable hair loss, can be seen in dermatomyositis .
Seborrheic dermatitis of the face may closely resemble both early rosacea and the butterfly lesions of systemic lupus erythematosus. Lupus erythematosus rarely affects the nasolabial folds and often has a clearly demonstrable photodistribution. Notably, seborrheic dermatitis and rosacea frequently coexist. The differential diagnosis of seborrheic dermatitis of the trunk includes pityriasis rosea (but in this latter entity the lesions are ellipsoid in shape, have collarette-like scaling, and there is no predilection for the central chest) as well as superficial eruptive psoriasis and subacute cutaneous lupus erythematosus.
Seborrheic dermatitis of the intertriginous areas must be distinguished from inverse psoriasis, erythrasma, intertriginous dermatitis, candidiasis, and, rarely, Langerhans cell histiocytosis ( Fig. 13.3 ).

Treatment
Infantile seborrheic dermatitis
Infantile seborrheic dermatitis usually responds satisfactorily to bathing and application of emollients. Ketoconazole cream (2%) is indicated in more extensive or persistent cases . Short courses of low-potency topical corticosteroids may be used initially to suppress inflammation. Mild shampoos are recommended for the removal of scalp scales and crusts. Avoidance of irritation (e.g. the use of strong keratolytic shampoos or mechanical measures to remove the scales from the scalp) is important.
Adult seborrheic dermatitis
The mainstay of therapy is the use of topical azoles (e.g. ketoconazole), either as shampoos (scalp) or as creams (body). The high response rate (75–90%) of this treatment has been documented in double-blind trials . Ciclopirox olamine has antifungal and anti-inflammatory activities and has also been shown to be effective as a shampoo or cream in double-blind, randomized trials. Seborrheic dermatitis tends to relapse if a maintenance regimen is not instituted. As M. furfur has a slow proliferation rate, an interval of two to several weeks will pass until relapses appear. The intervals of topical therapy should follow this rhythm.
Additional measures, particularly in the initial stages of treatment, include emollients and low-potency topical corticosteroids; the latter were found to be equally efficacious as topical azoles in a recent Cochrane analysis . Second-line treatment options include zinc pyrithione, selenium sulfide, and tar shampoos as well as topical calcineurin inhibitors.
Asteatotic Eczema
▪ Eczema craquelé ▪ Winter eczema ▪ Winter itch ▪ Desiccation dermatitis
- ▪
Dry, rough, scaly and inflamed skin with superficial cracking that resembles a “dried riverbed”
- ▪
Sites of predilection are the shins, lower flanks, and posterior axillary line
- ▪
Associated with aging, xerosis, low relative humidity, and frequent bathing
Introduction
Dry skin (xerosis, exsiccosis, asteatosis) may result from both exogenous and endogenous causes: a dry climate or low indoor humidity; excessive exposure to water, soaps and surfactants; marasmus and malnutrition; renal insufficiency and hemodialysis; and heritable conditions such as ichthyosis vulgaris and atopic dermatitis. The most common cause of xerosis is aging. Rarely, but especially when widespread and refractory to therapy, asteatotic eczema may be related to an underlying systemic lymphoma .
History and Epidemiology
Asteatosis as the cause of “nummular eczema” was first mentioned by Gross in the late 1940s. Dry skin probably occurs in everyone over the age of 60 years, but its severity is strongly linked to the exogenous factors mentioned above.
Pathogenesis
Xerosis of aging skin is not caused by deficient sebum production, but by a complex dysfunction of the stratum corneum (see Ch. 124 ) . There is a decrease of intercellular lipids with a deficiency of all key stratum corneum lipids and an altered ratio of fatty acids esterified to ceramide 1 ; this, plus a persistence of corneodesmosomes and premature expression of involucrin and formation of the cornified envelope , results in corneocyte retention and marked impairment of barrier recovery . The water-binding capacity of the stratum corneum layer is reduced owing to decreased synthesis of “natural moisturizing factor” (NMF), which contains urea and degradation products of filaggrin . Consequently, the stratum corneum desiccates, loses its pliability and forms small cracks, which render the skin surface dull, rough and scaly.
Mild xerosis is asymptomatic, but if more pronounced, the skin conveys unpleasant sensations such as itching and stinging. Inflammation is enhanced by the release of proinflammatory cytokines secondary to barrier perturbation, mechanical factors (scratching, rubbing), and the application of irritating or sensitizing substances in topical preparations and skin care products.
Occasionally, eczema craquelé can appear in the setting of acute edema , e.g. from congestive heart failure or the re-feeding of patients with anorexia nervosa. One theory is that this is related to the rate of distention of the skin.
Clinical Features
Xerosis first arises on the shins. Later it may spread to the thighs, proximal extremities and trunk, but spares the face and neck as well as the palms and soles. It develops insidiously over many years, whereas asteatotic eczema often has a more subacute to acute onset.
Xerotic skin is dry and dull, with fine bran-like scales that may be released as powdery clouds when patients take off their stockings. If more advanced, the skin exhibits a criss-cross pattern of superficial cracks and fissures of the horny layer (“crazy-paving”, eczema craquelé, “dried riverbed”) and appears pink to light red in color ( Fig. 13.4 ). The skin becomes rough, and it may develop an appearance similar to ichthyosis vulgaris (“pseudo-ichthyosis”). In more advanced stages of asteatotic eczema, there is a dull erythema as well as oozing, crusting, and abundant excoriations; disseminated nummular lesions are frequently seen. Vesiculation and lichenification are not regular features except when irritant or allergic contact dermatitis is superimposed. Hemorrhage into the fissures is occasionally observed.

Pathology
Histologically, xerotic skin appears rather normal except for a compact and slightly irregular stratum corneum. Asteatotic eczema in addition exhibits mild focal spongiosis, parakeratosis, and a sparse inflammatory infiltrate in the superficial dermis.
Differential Diagnosis
Conditions that need to be distinguished from asteatotic eczema include stasis dermatitis, adult atopic dermatitis (which may overlap with asteatotic eczema), allergic contact dermatitis, nummular dermatitis, and scabies.
Treatment
Asteatotic eczema usually clears within a few days of the application of topical corticosteroid ointment. Proper attention must be given to the care of xerosis in order to avoid relapses: regular use of emollients, including petrolatum-, urea-, ceramide- or lactic acid-containing preparations, use of bath oils, and the elimination of factors that aggravate dry skin (see above). Topical calcineurin inhibitors have also been used. Coexisting stasis dermatitis should be treated as well (see below).
Disseminated Eczema (Autosensitization)
▪ Autosensitization dermatitis ▪ Autoeczematization ▪ Generalized eczema ▪ Id reaction
- ▪
Secondary lesions of eczema distant from the primary site of exposure or involvement
- ▪
Symmetric distribution pattern
- ▪
Most often associated with allergic contact dermatitis and stasis dermatitis
Introduction
Dermatitis caused by exogenous agents initially arises at the site of contact. Not infrequently, additional patches of eczema develop at distant sites. This phenomenon, termed secondary dissemination, has puzzled dermatologists for decades. It is most often observed in allergic contact dermatitis, particularly if associated with stasis dermatitis (see Fig. 13.7 ), but may occur with uncomplicated stasis dermatitis, other forms of eczema, and, occasionally, severe tinea pedis.
Disseminated eczema appears later than the primary lesions by a few days to weeks, tends to follow a strikingly symmetric distribution pattern, and shows a predilection for analogous body sites (e.g. extensor aspects of the lower and upper extremities, palms and soles). It may even arise in the absence of and without a preceding “primary” eczema, e.g. in nummular dermatitis (see below). Disseminated eczema must be distinguished from atopic dermatitis, which arises a priori in a disseminated fashion.
History and Pathogenesis
The phenomenon of secondary dissemination of eczemas was first described by Whitfield , but its pathogenesis is still not fully elucidated. The orderly and symmetric distribution pattern may reflect systemic (hematogenous) dissemination and argues against simple spread of contact irritants or allergens on the body surface. It is unclear, however, as to exactly what is disseminated via the bloodstream. It could be allergens; for example, the ingestion of allergens such as nickel has been shown to elicit disseminated eczema in sensitized individuals .
Hematogenous dissemination of microbial products leading to a variety of (non-infectious) manifestations distant from the site of infection, such as “tuberculids” and “bacterids”, was an accepted pathogenic model in the first half of the twentieth century and was extrapolated to the phenomenon of disseminated eczema. Dyshidrotic eczema of the soles, for example, was interpreted as an “id” reaction associated with tinea pedis, and nummular eczema as an “id” reaction caused by “focal” infections of the tonsils. Because disseminated eczema could hardly be attributed solely to infections, attention shifted to an “autosensitization” to epidermal antigens mediated by cytotoxic autoantibodies. This hypothesis, however, has never been verified.
Instead, it became clear both from animal experiments and from routine patch testing (“excited skin syndrome”, “angry back”) that inflammatory processes of the skin, both allergic and irritant or caused by infections, lower the irritancy threshold of distant skin and thus facilitate the development of an eczematous reaction. Obviously, circulating activated memory T cells may play an additional role in disseminated eczema associated with allergic contact dermatitis, including that seen with poison ivy dermatitis following a short, rapid taper of systemic corticosteroids. It remains to be determined which factors regulate the symmetric distribution of disseminated eczema.
Epidemiology
An estimated two-thirds or more of patients with contact dermatitis associated with stasis dermatitis develop episodes of disseminated eczema. The incidence is much lower in the other types of eczema or tinea pedis.
Clinical Features
Disseminated eczema associated with allergic contact dermatitis is characterized by moderately to poorly demarcated patches of eczema, most often on the extremities ( Fig. 13.5A ). Lesions are also found on the face, and less so on the trunk ( Fig. 13.5B ). The areas of involvement vary greatly in size and number and may consist of discrete papules which are often excoriated. Disseminated eczema in patients with seborrheic and asteatotic eczema differs slightly in predilection sites and morphology (see above).

Pathology
In biopsy specimens of disseminated eczema, the histologic findings are those of an acute or subacute dermatitis (see section “ Stasis dermatitis ”).
Differential Diagnosis
Conditions to be distinguished are those eczemas that can arise in a widespread or disseminated fashion: atopic dermatitis, airborne contact dermatitis, contact dermatitis caused by constituents of textiles, photoallergic dermatitis, and eczematous drug eruptions (e.g. calcium channel blockers). Other conditions to be considered are mycosis fungoides and Sézary syndrome.
Treatment
Topical corticosteroids and systemic antihistamines are the mainstay of therapy. Short courses of systemic corticosteroids may be required, but identification and aggressive topical treatment of the inciting dermatosis is necessary to help prevent recurrences or a rebound flare.
Nummular Dermatitis
▪ Nummular eczema ▪ Discoid eczema ▪ Microbial eczema
- ▪
Coin-shaped, disseminated, eczematous lesions
- ▪
Usually very pruritic
- ▪
Chronic course
Introduction
Nummular dermatitis is an uncommon disseminated eczema characterized by its coin-shaped lesions. Because such lesions can occur as a feature of atopic dermatitis, asteatotic eczema and stasis dermatitis, the nosologic position of nummular dermatitis as an independent clinical entity has been questioned.
Epidemiology
Nummular lesions of eczema are not uncommon. However, in the literature there are widely discrepant data on the prevalence of nummular dermatitis, ranging from 0.1% to 9.1% . Some of this variability may reflect the degree to which a distinction is made between nummular dermatitis and coin-shaped lesions observed in patients with other forms of eczema. Men are affected slightly more often and at a later age than women (>50 vs <30 years, respectively).
Pathogenesis
Nummular lesions of dermatitis are not infrequently associated with contact sensitization as well as with xerosis and venous hypertension. In a study of ~30 000 consecutive patients with different types of eczema who underwent patch testing, 3.5% were diagnosed as having nummular dermatitis; 32.5% of these individuals had at least one positive patch test reaction, most often to nickel sulfate, potassium dichromate, and cobalt chloride . Clinical and laboratory signs of atopy are absent in “true” nummular dermatitis.
Clinical Features
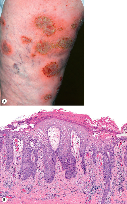
Nummular dermatitis is defined as an eruption of round (discoid) eczematous patches almost exclusively of the extremities, often the lower legs in men and the forearms and dorsal aspects of the hands in women ( Fig. 13.6A ) . The lesions are well demarcated and measure 1–3 cm, only occasionally being larger. They may be acutely inflamed with vesicles and weeping, but are often lichenified and hyperkeratotic. Pruritus may be intense and excoriations are often prominent. Nummular dermatitis usually takes a very chronic course. A particularly therapy-resistant variety has been termed “oid-oid” disease, also referred to as exudative discoid and lichenoid chronic dermatitis or Sulzberger–Garbe syndrome .

Pathology
Histologically, the changes of subacute to chronic dermatitis are seen ( Fig. 13.6B ; see section “ Stasis dermatitis ”).
Differential Diagnosis
Nummular dermatitis must be distinguished from nummular lesions of atopic dermatitis and dissemination secondary to contact dermatitis or stasis dermatitis. Other conditions to be considered are psoriasis, Bowen disease, mycosis fungoides, and tinea corporis.
Treatment
Options include medium- to high-potency topical corticosteroid ointments, topical tacrolimus or pimecrolimus, and emollients. Tar preparations have also been used successfully. However, a number of patients will require phototherapy to clear the lesions.
Stay updated, free articles. Join our Telegram channel
Full access? Get Clinical Tree





