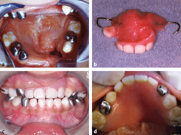
CHAPTER Patients born with cleft lip and/or palate require the care of several specialists and a number of surgical procedures and other interventions, from infancy to adulthood, to achieve total habilitation and have the opportunity to live normal and productive lives. The goals for habilitation include normalization of facial appearance and functions including improvements in soft tissues as well as skeletal, dental, and occlusal relations. Speech, hearing, and psychosocial issues are also addressed and managed. The need for multidisciplinary management using comprehensive protocols designed to address each patient’s multiple and complex needs has been well recognized, and the role of the team approach has become the gold standard of cleft care. Members are responsible for the longitudinal evaluation and coordinated care and provide for regular interactive encounters between all necessary professionals representing a variety of disciplines. They meet to communicate, collaborate, and consolidate knowledge. Extensive initial evaluation plans are made for immediate and future care based on each patient’s individual needs and the team’s treatment protocols. A prime responsibility of each team also includes careful record keeping. Collected data are studied and analyzed periodically to fully appreciate the outcome of protocols and surgical procedures, identify possible drawbacks, and modify or improve them as needed.1 Evaluation of results after cleft lip and palate repair is not easy, and several flaws are recognized in the reported outcomes of retrospective or prospective studies. Nearly 2 decades from infancy to adulthood are necessary for the completion of care and subsequent evaluation of functional and aesthetic results. Thus the final evaluation of outcomes can be problematic for several primary reasons: • Turnover of team members • Change of protocols • Introduction of new surgical procedures • Patients’ relocation • Incomplete records for services provided outside the institutions • Changes in insurance coverage • Denial of insurance coverage for some necessary services and refusal of patients to undergo final aesthetic or reconstructive procedures Many studies include a small number of patients with multifaceted problems related to the deformity, as well as significant variations in treatment protocols, timing for each procedure, surgical technique(s), and experience and skills of the individual surgeon, and many have an incomplete follow-up period.2 Furthermore, the vast majority of current studies rely primarily on subjective, not objective, evaluation. For example, evaluation of facial features using only photographs provides information about facial symmetry, but this may not be the most appropriate way to judge a surgical outcome given that only static results are displayed and asymmetries or irregularities during animation could have been missed. The need for well-planned, well-designed, ethical, multicenter, prospective long-term studies has been well recognized. Such studies could provide quantifiable, nonbiased data and assist in improving patient care by addressing remaining controversial issues, such as appropriate timing for specific surgical procedures as well as selection of the best possible surgical technique(s). Until such studies are available surgeons must rely on data from existing studies and honest evaluation and analysis of their own results to provide the best possible care for their patients. With improved knowledge and collective experience, extensive long-term follow-up studies, appropriate coordinated care, cooperation among specialists, close monitoring, and analysis of short- and long-term results, as well as adequate funding to cover all necessary services, management of patients with facial clefts could further improve so consistently superior results can be achieved. Residual deformities have several primary causes: • Failure to recognize and treat the full spectrum of problems associated with facial clefting • Tissue deficiencies inherent to the cleft • Inappropriate timing • Poorly designed and performed procedures • Complications of the initial surgery Additional operations and revisions are required to correct deformities that were not addressed during the primary procedure, inherent tissue deficiencies, maxillofacial changes, and/or scar contractures. Additional procedures might also necessary to address otologic, dental, and speech problems and to improve persisting residual functional and aesthetic deformities. These procedures have been described at length in many textbooks and scientific articles. The average number of procedures necessary to achieve the best possible functional and aesthetic habilitation has not been clearly defined, and it is difficult to accurately estimate from existing data. In some studies secondary procedures, such as alveolar bone grafts and orthognathic surgery, are barely mentioned or included, and most studies do not include dental or otologic procedures in the average total numbers. Thus the total number of procedures or interventions is definitely underreported.3 Few surgeons have reported on the actual average number of procedures required to achieve the best possible long-term results.4–7 More recently David and others8–10 presented a series of papers entitled “From Birth to Maturity: A Group of Patients Who Have Completed Their Protocol Management” that included evaluation of patients with unilateral cleft lip and palate, isolated cleft palate, and bilateral cleft lip and palate. These unique studies are based on the experience of one surgeon and a center with a relatively stable patient population. Despite the lack of detailed longitudinal data, however, there is general agreement that regardless of protocol of care, subsequent procedures will be necessary from infancy to adulthood to achieve the best possible functional and aesthetic results and complete habilitation. The objectives of primary cleft lip repair are to establish anatomy and symmetry of the upper lip and nostrils and improve form and function. Criteria for satisfactory cleft lip repair, regardless of surgical technique, are summarized in Box 40.1. The value of preoperative orthopedics and lip taping in the final outcome is still debated. Repositioning of the maxillary alveolar segments in an anatomically correct position could facilitate a tension-free closure and allow for a simultaneous periosteoplasty in selected cases. Such an approach might result in a better appearance of the lip, alveolus, and nose and potentially reduce the total number of secondary procedures. At my center we use a modified nasoalveolar molding device to improve the position of the maxillary segments and facilitate nasal repair.11 Intermediate results appear promising, but definitive final long-term results of such interventions and potential adverse effects on maxillofacial growth are only partially available.12–14 Disadvantages of this protocol include the additional expenses and the need for multiple visits for adjustment, but these could be offset by the reduction of subsequent surgical procedures. Summary Box Common Complications Related to Cleft Lip and Palate Repair Cleft Lip Cleft Palate • Dehiscence • Bleeding • Infection • Unfavorable scarring • Discrepancies of the upper lip • Intraoral (mucosal) scar contracture • Orbicularis oris deformities • Mucocutaneous deformities • Vermilion deformities • Sulcus obliteration • Combinations • Dehiscence • Palatal failures/fistulas • Scar contracture • Velopharyngeal deficiencies • Skeletal deformities • Combinations Preoperative orthopedics for bilateral clefts with repositioning of the prominent premaxilla is more widely accepted. Several techniques have been described to achieve premaxilla repositioning. We use a noninvasive appliance, fabricated by our prosthodontist, which is helpful in optimizing the position of the premaxilla and, if needed, combined with nasoalveolar molding extensions. Negative effects on facial growth and development have not been observed. Several weeks are necessary to achieve a favorable repositioning of the premaxilla and improve alignment with the maxillary segments.15 In extreme cases, and when conservative management is unsuccessful, premaxillary setback can also be used to bring the premaxilla within the occlusal plane and facilitate a tension-free lip and palate repair.16 Immediate surgical complications after cleft lip repair are extremely rare but include bleeding, infection, and dehiscence. Early wound dehiscence is rare and primarily is a result of technical errors or closure under tension or occurs after accidental trauma. In such cases, immediate management with minimal débridement, additional undermining as needed, and layered closure without undue tension is recommended (Fig. 40.1). • Detailed markings of all landmarks, taking into consideration the anatomy of the upper lip, alveolus, and nostrils • Accurate measurements and markings of all proposed incisions • Gentle tissue handling • Development of flaps on either side of the cleft with adequate tissue mobilization • Release of superficial and deep fibers of the orbicularis oris from their abnormal attachments • Dissection and reposition of the cleft-side lower alar cartilage in a more symmetrical three-dimensional position • Reconstruction of the nasal floor • Accurate skin, muscle, and mucous membrane union • Closure under minimal or no tension to achieve the optimal scar • Symmetrical vermilion border with alignment of the vermilion (dry lip) and the mucosa (moist lip) • Slight eversion of the lip, accurate reconstruction of the Cupid’s bow and the tubercle, and correct alignment of the white roll • Symmetrical nostril floors and elongation of the columella, as needed Fig. 40.1 (a) A 7-month-old patient 7 days after bilateral cleft lip repair with complete dehiscence on the left side after a fall at home. (b) After cleansing and minimal débridement. (c) The lip was repaired again in layers. (d) Two months later the lip has healed well. Residual lip deformities might vary from minor ones corrected with minimal interventions, to major asymmetries and deformities that may even require complete revision of the lip repair. It is beyond the scope of this chapter to describe all residual deformities and present all reported techniques and modifications. The most common deformities are presented with the recommended treatment and with reliable techniques based on my experience and time-honored procedures. A revision lip surgery should only be chosen after extensive consultation with the family and the child and with a clear understanding of the expectations. Objectives of the procedures, the surgical plan, and possible outcomes should be outlined and false expectations dispelled. Timing can affect the outcome and should be taken into consideration, but decisions should be individualized and not made in a rigid and dogmatic fashion. Procedures should be postponed if an adolescent is not willing to have surgery, even when parents desire and request it. Conversely, some procedures might be scheduled earlier than initially planned if there is evidence of a negative psychologic effect on the child. If possible, several procedures should be bundled to reduce time away from school or work, additional psychological trauma from multiple interventions, and cost. Before planning a revision, the entire lip, including the oral mucosa; sulcus; alveolus; and nostrils should be examined at rest and during animation. The deformity should be analyzed and all contributing factors taken into consideration. All necessary soft tissue landmarks should be appropriately marked and measured. All contributing elements to the deformity should be corrected in one setting whenever possible (Fig. 40.2). Careful planning, appropriate timing, and detailed execution are extremely important, because failure of the revision procedure to correct the deformity may result in additional scarring and tissue loss that could further reduce the chances for adequate habilitation.3,17 Wide, poorly healed persistent scars of the upper lip with unsightly stitch marks are encountered less commonly. They result from closure under tension and the use of tight sutures left in place for too long. Such problems can be avoided in most cases by using fine techniques with meticulous tissue handling and a tension-free closure, fine sutures, or even tissue adhesives. Other aggravating factors include postoperative bleeding, infection around the suture line, and dehiscence. The surgeon should be able to differentiate these unsightly scars from the hypertrophic scars that form without apparent cause and usually fade away slowly without need for additional surgical intervention. Timing for scar revision is important to the final outcome. Waiting several months before a revision to allow the scar to mature is recommended. After careful evaluation, the appropriate surgical procedure should be planned. Elliptical excision of the scar, with precise approximation and closure after limited undermining, is the simplest solution. This technique, however, can only be applied for relatively narrow scars. Excision of wider scars might result in defects that, if directly repaired, might cause distortion of the lip in the vertical or horizontal axis and/or narrowing of the nostril sill. To prevent these problems, the excision should be planed accordingly, preferably with a wavy style of excision, undermining on either side of the defect and performing tissue rearrangement as needed. Geometric tissue rearrangement with z-plasties and other techniques should be avoided, because the subsequent scar will permanently carry the marks of such designs. Dermabrasion is helpful in some cases and is primarily recommended for improvement of residual surface irregularities. Finally, single hair micrografts have been recommended for male patients to further camouflage the lip scar and allow for a moustache.18 An excessively long lip on the cleft side is truly technique related. It has been encountered with LeMesurier and the initial Tennison repairs but can result with other techniques as well. Correction is difficult, because in most instances all lip layers are involved. If the discrepancy is minor, it can be corrected with appropriate excision just below the nostril sill. If a significant discrepancy is present, however, the lip should be completely divided after appropriate markings are made and carefully repaired in layers. Fig. 40.2 The entire lip, including the oral mucosa; sulcus; alveolus; and nostrils should be evaluated and all necessary soft tissue landmarks marked and measured. A short lip results primarily from straight-line closures, inadequate rotation, and advancement techniques and scar contractures. Small discrepancies can be corrected with elliptical, diamond-shaped, or wavy excisions of the entire scar and closure after adequate undermining. If needed, a z-plasty can be designed and incorporated with the revision, preferably below the nostril sill. The drawback to such approaches is the small gain achieved and the addition of a Z-shaped scar on the lip. If a significant discrepancy exists, the only solution is to redo the lip repair, extending the rotation advancement design to increase lip height (Figs. 40.3 and 40.4). Fig. 40.3 (a,b) This 5-year-old had a significant residual deformity of the lip and nose including a short lip, dehisced orbicularis oris, and lateral flaring of the cleft-side nostril. Excess skin of approximately 1-cm width in the horizontal axis was identified during markings. (c) Excess skin with corresponding vermilion was excised, the orbicularis oris was approximated after undermining, and the nostril floor was repositioned after reduction of the skin of the sill. (d) Immediate postoperative result. Fig. 40.4 (a–c) This patient had a significant residual deformity after bilateral cleft lip repair. He had a short lip, no orbicularis contact in the midline, exposed moist mucosa in the vermilion, and bilateral scar contractures in the oral mucosa. (d) Appropriate tailoring of the philtrum, approximation of orbicularis oris muscle fibers in the midline, excision of redundant vermilion, release of intraoral scars, and coverage of the mucosal defect with sliding flaps. (e) Final result 4 months after revision with improved symmetry and balance. The tight upper lip deformity primarily occurs in patients with bilateral clefts. Local tissue rearrangement and even revision of the repair is not beneficial in most cases because of the limited tissue availability and scarring. Because of the paucity of tissue, a flap from the lower lip, an Abbé flap, should be added after all scarred tissue is removed.19 This procedure is not recommended for young children because of the temporary junction of the lips. To achieve a superior functional and aesthetic result and a balanced profile, accurate design of the dimensions of the flap to match the created defect, placement of the flap in the center of the lip to simulate the philtrum, and placement of the final scars to simulate the philtrum columns are necessary. The width of the flap should be adequately planned and narrower from the normal philtrum to encounter for subsequent widening from natural tension. The layers of the flap should be sutured carefully to the corresponding layers of the lateral lip segments and the upper buccal sulcus20 (Fig. 40.5). Fig. 40.5 (a) This woman had a very short and tight upper lip after bilateral cleft lip repair and a subsequent revision. The upper sulcus was completely obliterated. (b) Design of the Abbé flap. (c) Design of the flap and proposed areas of inset on the upper lip. (d) At 3 weeks postoperatively, before division and inset of the flap. (e,f) Final result 15 years after division and inset of the flap demonstrating improved symmetry and balance of the upper lip. (b Reproduced from Bentz ML, Bauer BS, Zuker RM. Principles and Practice of Pediatric Plastic Surgery. 2nd ed. New York: Thieme Publishing; 2016.) Reconstruction of the orbicularis oris muscle is incorporated during lip repairs. Failure to release and fully reconstruct the muscular sling or partial or complete dehiscence of the muscle repair will result in unsightly bulging of the muscle on either side of the lip scar or depressions and asymmetries that are further accentuated during anima tion, giving the lip an unnatural look. For small deformities, the lip scar can be excised and the muscle fibers identified and freed from their abnormal attachments and sutured together. When a significant deformity or dehiscence exists, a total lip repair should be planned with all anatomic elements of the lip dissected and repaired correctly (Figs. 40.6 and 40.7). Fig. 40.6 (a,b) Complete dehiscence of orbicularis oris excess skin, including partially obliterated upper buccal sulcus and excess tissue in the horizontal axis. (c) Excision of excess scar, excess skin, and vermilion according to markings. (d) Layered closure. Fig. 40.7 (a) Residual lip and nose deformity after unilateral cleft lip repair. The patient had a short lip, dehiscence of the lower third of the orbicularis oris repair, lateral fullness of the vermilion depression, scarring of the nostril sill, and lateral deflection of the lower alar cartilage with nostril asymmetry. (b) The orbicularis oris fibers were identified after undermining and reapproximated. (c) The nasal deformity was simultaneously corrected through an open rhinoplasty approach. Mucocutaneous deformities result from poor alignment of the white roll during the initial lip repair. Accurate placement of the skin suture on the white roll assists in preventing this problem. This deformity is primarily corrected with an elliptical or rhomboid excision of the scar and accurate reapproximation of the mucocutaneous junction. Only a few millimeters in vertical height can be gained with this technique. As an alternative, a small z-plasty can be used to allow for interposition of the vermilion and a skin flap and ultimately results in realignment of the mucocutaneous line. Lack of bulk or poor alignment of the vermilion can cause several deformities. Lack of bulk is primarily a result of inherent tissue deficiency, dehiscence, or failure to approximate the lower portion of the orbicularis oris muscle during the initial lip repair. To correct such deformities, the scar at the vermilion border should be excised; the fibers of the orbicularis are identified after limited undermining and approximated carefully with eversion of the margins. In the past, small local filler grafts or autologous fascial grafts were recommended. Currently, autologous fat grafting is considered to be the procedure of choice and has been added to my armamentarium.21 Minimal whistling deformities of the lip resulting primarily from scar contractures in the area of the vermilion and the mucosa of the lip can be corrected with z-plasties by placing the central limb on the existing scar. A central whistling deformity with good height of the lip occurs primarily after repair of bilateral clefts of the lip. For this residual deformity, lipofilling is also considered as long as an adequate sulcus is present and there is no mucosal contracture. Vermilion fullness on the cleft side of the lip can also be encountered. As long as the rest of the lip is not involved, this deformity can be corrected with a horizontal elliptical excision. The surgeon should be very careful to avoid overresection or mismatch between the dry and moist portions of the lip. Fig. 40.8 (a,b) After two revisions, this patient had residual deficiency of the vermilion border and bulge of the orbicularis oris muscle lateral to the lip scar. (c) Intraoral scarring and contracture accentuating the deformity. (d) Preoperative marking on the skin and vermilion. (e) Release of the intraoral scar with direct approximation of the mucosal flaps (arrows) after undermining. (f,g) Final result 2 years after reconstruction; the upper lip is well healed and soft. The upper lip might also appear short because of mucosal scar contracture or even obliteration of the sulcus (Fig. 40.8). This contracture should be released independently or managed along with other deformities of the lip. In most cases of unilateral cleft lip, release can be achieved with excision of the scar, and reconstruction of the mucosal defect and mucosal rearrangement can achieve full coverage; raw surfaces will result in further scarring, contracture, and deformity. Despite advanced techniques for bilateral cases, some patients still present with partial or complete obliteration of the upper labial sulcus.22 In such cases, the lip will appear short and retracted, with incisor and even gingival show. Complete release of the soft tissues from the premaxilla and coverage of the subsequent defect are necessary. Skin or mucosal grafts were used in the past to resurface the sulcus and complete the vestibuloplasty. The surgeon should avoid denuding the premaxilla from its periosteum, completely release the lip, suture the graft in place with absorbable sutures, and stabilize it with a small stent. I currently almost exclusively use mucosal flaps advanced from the lateral lip segments with superior results and reserve the use of grafts only for the rare occasion that the defect cannot be covered with flaps because of significant preexisting scarring of the labial mucosa (Fig. 40.9). The primary objective of cleft palate repair is to establish the anatomy of the hard and soft palate as close to normal as possible, provide an adequate mechanism for velopharyngeal function and speech, and improve middle ear function. Regardless of surgical technique, the final goal should be a palate of adequate length, with reconstruction of the muscular velopharyngeal sling, and approximation without tension. Timing for cleft palate repair has been controversial because of the potential negative effects on facial growth. Since the landmark publication by Dorf and Curtin,23 most surgeons agree that early palatoplasty, before the child’s first birthday, has beneficial effects on speech without detrimental effects on facial growth. We follow this protocol with the understanding that timing of palatal repair should not be determined by age only but should be individualized, taking into consideration anatomic findings and the patient’s health. With careful palatal dissection, complete muscle dissection and approximation, flap approximation without tension, and avoidance of large residual lateral raw areas, speech results have been superior and skeletal deformities reduced. Further longitudinal studies are necessary to fully clarify conflicting issues, but based on the existing information, it seems reasonable to recommend early palate repair for most patients to improve speech outcome. The potential negative effect on maxillofacial growth should not be overlooked; it must be taken into consideration and closely monitored.24,25 Fig. 40.9 (a) Near-total obliteration of the upper buccal sulcus in a patient after bilateral cleft lip repair. (b) After excision of the scar and exposure of the maxilla a significant mucosal defect remained. (c) Immediate postoperative result after coverage of the defect with sliding mucosal flaps. (d) Final result several months after the reconstruction; the patient has a well-maintained upper sulcus. Despite advances in techniques and better understanding of their effects on speech and facial growth, several complications or failures requiring additional surgery are still encountered. The most significant ones include the following: • Palatal repair failures and fistulas • Velopharyngeal deficiencies • Skeletal deformities (see Chapter 43) There is a wide range of reported incidence of palatal fistulas after palatoplasty, and various classifications are used. For the purposes of this discussion only fistulas presenting in areas of previous palatal repair are included. Incidence seems to be independent of the surgical technique but is significantly higher in bilateral cases. Palatal fistulas represent failures of the surgical technique and might be due to several factors from poor designs to technical errors. Such errors might include incomplete dissection or mobilization of the flaps, failure to completely detach the muscles of the soft palate from their abnormal attachment to the hard palate, incomplete approximation and suturing of all soft tissue layers, closure under undue tension, postoperative bleeding between the oral and nasal layers, or infections. Anterior fistulas just behind the premaxilla may occur in patients with wide bilateral clefts in whom, because of a paucity of soft tissues in the area, complete closure was not possible or closure under tension resulted in dehiscence.10 Fistulas may become evident immediately after the palatoplasty or may develop several years later during orthodontic treatment and transpalatal expansion. Early dehiscence, particularly in the posterior third of the soft palate, is caused primarily by errors in technique or accidental trauma. If dehiscence is identified early, it should be repaired immediately to allow for early habilitation, prevention of contracture, and subsequent shortening of the soft palate. Larger fistulas may become symptomatic, resulting in nasal regurgitation of saliva, fluids, and food particles and affecting speech, causing hypernasality and articulation disturbances. Some surgeons propose conservative management for asymp tomatic fistulas, whereas others recommend closure of even small fistulas given that regurgitation of food and liquids into the nasal cavity might result in constant irritation of the nasal mucosa. This may cause swelling, occasional bleeding, and have potential effects on breathing, speech, or oronasal hygiene. I recommend waiting for several months after the palatoplasty before closing a palatal fistula, because in the early postoperative period the tissues around the fistula are inflamed, edematous, and friable. Thus attempts for repair are more likely to fail. Reported success rates vary widely.26 Better understanding of the timing and mechanics of fistula repair increases the rate of success and significantly reduces the possibility of recurrence. Large fistulas should be closed as soon as possible, but the temporary option of an obturator should also be kept in mind (Fig. 40.10). Premaxillary setback can be used when the premaxilla cannot be retropositioned to the occlusal plane (Video 40.1). This should be done after appropriate palatal expansion and even combined with anterior fistula closure and alveolar bone grafts (Fig. 40.11). Fig. 40.10 (a) This 5-year-old had a large anterior palatal fistula with food and air escape to the nasal cavity after palatoplasty and three failed revisions. (b) An obturator was fabricated by a prosthodontist to provide temporary functional and aesthetic resolution of the problem and immediate improvement in speech. (c,d) The obturator in place. Before planning a fistula repair, the surgeon must fully appreciate the anatomy: the length of the palate, size and location of the defect, and tissue availability. The surgeon should also evaluate the movement of the soft palate and the possible inadequate dissection and release of the muscles of the soft palate during the initial surgery.3 Complete speech evaluation and even endoscopy might be necessary to obtain all preoperative information and plan management accordingly. Each area of the palate has different requirements with respect to fistula closure. The surgeon should first decide whether the surrounding tissues are adequate for the closure or whether additional tissues, brought primarily from other areas of the oral cavity, will be necessary. For small dehiscences or fistulas in the area of the uvula or soft palate with adequate palatal length and movement and with no evidence of velopharyngeal deficiency, the dehiscence or fistula should be repaired with a relatively straightforward procedure without extensive dissection. The margins of the dehiscence or fistula should be excised and the palatal scar extended anteriorly and posteriorly of the fistula, as needed, to allow for better visualization and mobilization of the nasal lining and muscles and a tension-free, layered closure (Fig. 40.12). Fig. 40.11 (a–c) This 8-year-old had significant protrusion of the premaxilla, collapse of the lateral maxillary segments, and a bilateral oronasal and anterior palatal fistula after bilateral cleft lip and palate repair. (d) Near completion of palatal expansion. (e) After completion of orthodontic expansion setback of the premaxilla allowed for simultaneous closure of palatal and oronasal fistulas and bone grafting of the maxilla. (f) Final appearance with improved facial symmetry and harmony. Fig. 40.12 (a) Dehisced uvula and posterior third of the soft palate with a dehisced muscular sling. (b) Extension of the incision to the hard palate with undermining over and under the muscles and release of the muscles from their abnormal attachment. (c) Final result after layered closure. For larger fistulas extending to the junction between the hard and soft palate, attempting to directly repair the fistula might result in undue tension with subsequent failure. Lateral relaxing incisions with undermining and mobilization of the mucoperiosteum of the hard palate will facilitate a tension-free layered closure in most cases. The muscles of the soft palate should be released from their abnormal attachment on the posterior wall of the hard palate. Failure to do so will prevent adequate muscle approximation and provide no improvement of the palate movement during speech (Fig. 40.13). A critical issue with repair of such fistulas is the adequacy of nasal lining, because failure to repair the nasal surface of the palate might predispose to contracture or recurrence. For relatively small defects a z-plasty of nasal lining flaps is adequate, whereas for larger defects the introduction of fresh tissue, such as buccal flaps, might be necessary.3 A superiorly based pharyngeal flap can be used when the palate is relatively short and velopharyngeal insufficiency (VPI) is also present. The surgeon should first consider redoing the palatal repair and retropositioning the palate at the time of fistula repair or using a pharyngeal flap to provide additional support, in conjunction with correction of the VPI (Fig. 40.14). Fistulas of the hard palate represent a different challenge. Some surgeons have suggested the use of local turnover flaps from the periphery of the fistula for nasal lining closure and the use of local rotation or transposition flaps of palatal mucoperiosteum for oral coverage. These flaps occasionally can be successful. For larger defects, I prefer to redo the palatoplasty with complete mobilization of bilateral palatal flaps; repair of the nasal lining directly or with vomer flaps, if needed; and reapproximation of the palatal flaps without tension (Fig. 40.15). When vomer flaps are not available, a patch of acellular dermal matrix can be used to completely repair the nasal defect before suturing the palatal flaps.27 I place a couple of through-and-through sutures from the palatal flaps to the acellular dermal matrix to obliterate the dead space between the two layers and provide direct contact of the matrix with the well-vascularized palatal flaps. For large palatal defects resulting from multiple interventions and failures, the options for successful reconstruction are virtually absent. In such cases, paucity of local tissues can be addressed with the addition of tissue recruited from the oral region in the form of pedicle flaps. Free vascularized flaps have also been suggested to manage extremely large defects. The surgeon should be careful when dealing with such complex conditions, individualizing the plan and designing each reconstructive procedure with extreme care, because additional failure could result in further tissue loss and magnify the defect. The surgeon must also know when to stop and remember that some patients could be better served with an obturator, which of course is not the first choice for management of fistulas but is a viable option when managing multiple failures. Fig. 40.13 (a) Residual palatal fistula in the junction between the soft and hard palate many years after palatoplasty. (b,c) Margins of the fistula were stripped from the mucosa; all layers of the soft palate including oral mucosa, muscles, and nasal lining were identified; palatal flaps were mobilized after extensive undermining to achieve a tension-free closure; and the defect was repaired in layers. (d) Final result 14 months after repair. Fig. 40.14 (a,b) Small palatal fistula with complete dehiscence of the palatal muscles and uvula and significant hypernasality. (c,d) The margins of the fistula were excised, the scar of soft palate was incised to the junction with the hard palate, palatal muscles were detached from their abnormal attachment in the hard palate, and a superiorly based pharyngeal flap was raised (arrow) and sutured to the palate. (e) The palate was then closed in layers. Fig. 40.15 (a) A large anterior palatal fistula in an 8-year-old after cleft lip and palate repair. (b,c) The margins of the fistula were incised and flaps were turned over to achieve complete closure of the nasal lining. Bilateral flaps were elevated and approximated without tension. (d) Palatal flaps were elevated to fully visualize and delineate the nasal margins of the fistula before repair. (e) Final result several months after the reconstruction, demonstrating an intact palate without fistula recurrence. Large anterior palatal fistulas not treated previously and those caused by failures of previous attempts and presenting with stiffness or lack of elasticity of the palatal tissues might require additional well-vascularized tissue for a successful closure. Tongue flaps can be very helpful in the management of such difficult cases (Fig. 40.16). Two stages are required with this technique. Eating or speaking is not restricted during the interim period. Planning and attention to all technical details are important. The extent of the fistula should be delineated completely. Turnover flaps from the margins of the fistula should be used, if feasible, to achieve full closure of the floor of the nose. The palatal tissues around the fistula should be undermined circumferentially for a few millimeters to allow for adequate insetting and suturing of the tongue flap around the defect. I prefer anteriorly based flaps designed a little wider than the size of the defect and 5 to 6 cm long to prevent tethering of the tongue during speech or eating. The flap should be about 0.5 cm thick and consist of mucosa and muscle fibers. The donor site is closed primarily, almost to the base of the flap. The flap is then inset around the margins of the fistula using absorbable mattress sutures. After 2 to 3 weeks, the pedicle is divided and inset in the posterior area of the fistula after freshening of the palatal margins. The remaining pedicle is discarded, and additional sutures are placed to completely repair the tongue defect. There have been no problems with tongue mobility or swallowing after this procedure, although there are isolated reports of negative effects on speech and articulation.28 They occur with bulky flaps, which interfere with the position of the tongue during speech and could have been prevented with careful planning, designing, and insetting of the flap. Fig. 40.16 (a) A large anterior palatal fistula after multiple interventions in an 8-year-old. (b,c) Turnover flaps from the margins of the fistula were first used to completely repair the nasal lining. (d,e) An anteriorly based tongue flap measuring 5 by 2 cm was used. (f) Tongue flap inset around the margins of the fistula. (g,h) Final result with complete healing of the fistula and excellent tongue movement. Fig. 40.17 (a) Oronasal and large anterior palatal fistulas simultaneously covered with a large labial mucosa flap at the time of bone grafting of the residual alveolar cleft. (b,c) The bone graft and palatal fistula were simultaneously covered with the labial flap. The donor site was closed primarily. Another popular technique is the use of bucket-handle flaps from the upper labial sulcus to manage large anterior defects. These flaps are random but dependable. Attention to the design and technical details is again very important. Preexisting scars from the lip repair should be taken into consideration; obliteration of the buccal sulcus should be avoided (Fig. 40.17). A paucity of tissue in the area of the junction between the hard and soft palate, in both the oral and nasal surfaces, can be managed with buccal mucosa flaps. These flaps are designed on the buccal mucosa, approximately 2 cm wide and of appropriate length to reach the defect. The base of the flap should be placed anterior to the maxillary crest and tunneled under the palatal tissues, turned so the mucosa faces the nasal cavity and sutured to the defect of the nasal lining. Alternatively, the flap can be used to replace missing oral tissue. In such cases, the palatal tissue must be incised to allow for inset of the flap.29 The buccinator and facial artery myomucosal flaps could be viable alternatives for larger defects.30,31 These flaps are dependable and have a long pedicle based on the facial and buccinator pedicles but are bulkier and sometimes difficult to deliver to palatal defects. Despite better understanding of the physiology of speech, the effects of early palate repair on speech outcome, and the improvement of surgical techniques, an average of 20% of patients will have residual velopharyngeal disturbances after cleft palate repair. This rate does not seem to be influenced significantly by the surgical technique used for the palatoplasty.32–34 Close cooperation between the surgeon and the speech pathologist is necessary to obtain appropriate data, fully appreciate the condition, and prescribe the most appropriate individualized plan. Accurate diagnosis is cardinal for a successful outcome. Before testing, a detailed history should be obtained to gain information on previous orofacial and nasal procedures, feeding or swallowing problems, nasal regurgitation, speech problems, and frequent ear infections. When surgical management of the velopharyngeal valve is anticipated, we include questions to determine whether nasal airway obstruction exists. These responses, and the results of other diagnostic tests, determine whether the nasal airway needs to be managed to increase patency before an additional resistive load, such as a pharyngeal flap, is introduced into the airway.35 Techniques and measurements used to assess velopharyngeal function generally can be classified into three categories and are summarized in Table 40.1. If after completion of a course of speech therapy and extensive evaluation a determination of a need for additional treatment is made, the following options can be considered: • Revision palatoplasty • Furlow double Z-opposing plasty • Superiorly based pharyngeal flap • Sphincter pharyngoplasty • Retropharyngeal implants or fat grafting • Prosthetic management (for nonsurgical candidates) Revision palatoplasty is recommended when the muscles of the soft palate were not properly released and the muscular sling was not properly constructed during the initial procedure.36 A double Z-opposing plasty can also be used and can provide superior speech results, because of the palatal lengthening.37,38 For relatively small gaps, fat injections in the posterior aspect of the soft palate and the pharyngeal wall are gaining some popularity.39 For most other cases, a superiorly based pharyngeal flap or a pharyngoplasty are considered to be procedures of choice.40–42 Some surgeons still recommend augmentation of the posterior pharyngeal wall with various autogenous or alloplastic materials; prosthetic rehabilitation is reserved for surgical failures or for patients with significant medical problems who are not considered good candidates for a surgical procedure.43,44 Table 40.1 Techniques and measurements of velopharyngeal function
40
Cleft Lip and Cleft Palate
Residual Deformities
Avoiding Unfavorable Results and Complications of Cleft Lip and Palate Repair
Cleft Lip
Vertical axis, long lip
Horizontal axis, short lip
Tight upper lip
Whistling deformity
Combinations
Lip Revision
Lip Deformities
Scars
Long Lip
Short Lip
Tight Upper Lip
Orbicularis Oris Deformities
Mucocutaneous Deformities
Vermilion and Free Border Deformities
Labial Mucosal Contracture
Cleft Palate
Palatoplasty Failures
Palatal Fistulas
Velopharyngeal Disturbances
Managing Unfavorable Results and Complications
Procedures to Correct Velopharyngeal Insufficiency
Perceptual | Anatomic | Physiological |
Speech evaluation by a speech and language pathologist Standardized speech sound (articulation) testing Assessment of oronasal resonance balance to include judgments regarding the presence of consistent or inconsistent mild, moderate, or severe hypernasality or hyponasality | Intraoral examination Presence, location, and size of palatal fistulas (if any); size of tonsils; status of dentition/occlusion Length, movement, and symmetry of velum Direction, degree, and symmetry of visualized pharyngeal wall movement If pharyngeal flap/pharyngoplasty are present, evaluation of width and position of the base of the flap, size of ports, and degree of visualized flap motion Rhinoscopic evaluation to determine septal deviations, inferior turbinate hypertrophy, airway congestion, and other pathology Radiologic evaluation and nasal endoscopy Acoustic rhinomanometry | Aerodynamic assessment/pressure flow technique Determination of velopharyngeal opening during speech production—possible partial or complete obstruction Airway patency and resistance during respiration |
Pharyngeal Flap
The superiorly based pharyngeal flap is a widely accepted procedure for management of VPI. This flap is favored because its design allows for more natural movement of the soft palate toward the tubercle of the axis. Unfortunately, there is no standardized procedure, and several technical variations that could affect the final outcome are included under this term. Some surgeons prefer division of the soft palate to insert the flap, whereas others favor the sandwich technique with an incision in the posterior free palatal border, undermining of the palatal layers, and introduction of the flap through this opening. Lining of the raw undersurface of the flap with posteriorly based mucosal flaps from the nasal surface of the palate is recommended to prevent contracture and narrowing or “tubing” of the flap with subsequent increase in port size. Other surgeons do not believe in the importance of lining and demonstrate successful results without lining of the raw surface. The size of the ports is another area of controversy. Some recommend the lateral port control technique using appropriately sized catheters to precisely tailor the size of the ports, whereas others do not support this technique. Finally, several surgeons recommend the immediate approximation of the donor site defect of the posterior pharyngeal wall, claiming that such practice reduces the danger of postoperative bleeding and speeds up the healing period. Others recommend leaving the donor site open, allowing it to heal in a secondary intention for fear of interference with the anatomy of the pharynx that could accentuate potential episodes of airway obstruction in the immediate postoperative period.
With advances in pediatric anesthesia, better understanding of the anatomy, improvement of techniques, and, above all, increased awareness of the potential serious problems associated with pharyngeal flap procedures, the intraoperative complications have decreased significantly, but some complications are still encountered. Death resulting from obstruction is extremely rare, but occasional intraoperative and postoperative bleeding and acute airway obstruction can be anticipated. The prime source of bleeding has been the donor site in the posterior pharyngeal wall. Infiltration with vasoconstrictive agents facilitates dissection and reduces bleeding during surgery, but the surgeon should be very careful of mucosal and muscular bleeders that retract away from the wound margins. Meticulous hemostasis before insetting of the flap is extremely important.
According to several series, the incidence of acute airway obstruction caused by bleeding, tissue swelling, or inappropriate position of the flap has decreased significantly. It is currently recognized that, in the vast majority of patients, some degree of transient obstruction will be present immediately after surgery. Such obstruction can be identified clinically and with polysomnographic sleep studies and monitoring of the arterial saturation. Most of the obstructive signs and symptoms resolve a few days or months after surgery.45,46 However, because transient obstruction has been well documented, it is extremely important to carefully monitor patients in the immediate postoperative period. Despite changes in the health care system to a reduction of postoperative hospitalization days, all patients undergoing pharyngeal flap operations should be admitted and monitored closely for early signs of obstruction. Nasopharyngeal airway tubes are used, if necessary, to improve breathing; in extreme cases, reintubation may be necessary to control the airway.
Results after Pharyngeal Flap Surgery
Several long-term studies evaluating the long-term effects of pharyngeal flap surgery on breathing and speech have been reported. The reported success rates range from 40 to 90%. This vast discrepancy in outcome can be explained in several ways. Different groups of patients with various forms of clefts, or even patients without clefts, are lumped together in some studies. Age at the time of procedure varies from very young to adulthood; yet it is well understood that speech outcome after a pharyngeal flap performed later in life is significantly inferior to the outcomes achieved in children. Finally, most studies are retrospective, missing important data from the preoperative or postoperative evaluation.47,48
The modalities used to evaluate postoperative improvement in speech vary as well. Some studies rely on a perceptual (subjective) judgment of speech. Others include direct evaluation of the modified anatomy of the nasopharynx during speech with nasopharyngoscopy, video fluoroscopy, and/or objective assessment of velopharyngeal function using aerodynamic or acoustic assessments. Interpretation of the findings of these tests is also controversial. Some authors consider the elimination of hypernasality as the sole criterion for success and do not consider hyponasality as a failure.49 Thus the reported percentages for success of this procedure are affected greatly by the methodology of evaluation and interpretation of findings. We use both speech and breathing outcomes to judge the success of pharyngeal flap surgery.
Despite its drawbacks, pharyngeal flap surgery remains an important procedure for the management of patients with VPI, as long as the indications for the procedure are well understood and the patients have undergone extensive preoperative evaluation. Attention should be given to all surgical details and postoperative follow-up.
Pharyngeal Flap Failures
Persistent Hypernasality
Persistent hypernasality is primarily caused by partial or complete detachment of the flap, contracture, and narrowing of the flap with residual widening of the ports or poor design and inappropriate, low placement of the flap. Each of these conditions can result in deficient ports on one or both sides of the flap (Fig. 40.18). Established hypernasality requires extensive evaluation before treatment. Once the cause of hypernasality is determined, revision of the size of the ports is recommended. Several procedures have been recommended for correction of residual hypernasality, including the following:























