- •
Cellulite is an architectural condition of human adipose tissue
- •
Cellulite is characterized by a padded and nodular appearance of the skin in cellulite-prone areas, such as posterolateral thighs and buttocks in post-pubertal females
- •
Fundamental knowledge regarding its pathophysiology is lacking, which makes understanding and treating this condition a challenge
Introduction
Cellulite is thought of as a localized metabolic phenomenon that evokes an alteration in the female body silhouette. It presents a modification of skin topography evident by skin dimpling and nodularity that occurs mainly in women on the pelvic region, lower limbs, and abdomen. The change in skin topography is caused by herniation of subcutaneous fat within fibrous connective tissue leading to a padded or orange peel-like appearance ( Fig. 12.1 ). Given the fact that the occurrence of cellulite is nearly universal in post-pubertal females, it can be thought of as a female secondary sex characteristic.

Cellulite is different from obesity and can be seen in women in all ranges of body mass index (BMI). Obesity is characterized by hypertrophy and hyperplasia of the adipose tissue that is not necessarily limited to the pelvis, thighs or abdominal areas. In contrast, cellulite is most commonly found in the, but not limited to, buttocks, thighs, and abdominal areas. It is a result of several ultrastructural, inflammatory, histochemical, morphologic and biochemical changes that produce the padded and orange-peel appearance of the skin. Although there is no morbidity or mortality associated with cellulite, it remains a common cause of embarrassment to even the most physically fit women.
Multifactorial etiologies of cellulite
Genetic predisposition plays a major role in the development of cellulite. The following factors are also important:
- 1.
Gender differences – cellulite in its classic patterns affects women exclusively
- 2.
Ethnicity – white women are more prone to cellulite than Asian women
- 3.
Lifestyle – a diet excessively high in carbohydrates provokes hyperinsulinemia and promotes lipogenesis, leading to an increase in total body fat content, thereby enhancing cellulite
- 4.
Sedentary lifestyle – prolonged periods of sitting or standing may impede normal blood flow, leading to more stasis and causing alterations in the microcirculation of cellulite prone areas
- 5.
Pregnancy, as it is associated with an increase in certain hormones, such as prolactin, estrogen, progesterone and insulin and increased overall fluid volume – all of these factors promote cellulite lipogenesis and fluid retention.
Anatomy and etiology of cellulite
Connective tissue alterations in cellulite anatomy
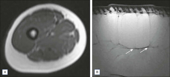
Cellulite is characterized by the presence of fatty protrusions through the dermohypodermal junction. A study by Rosenbaum et al. reported similar findings using ultrasonography and full thickness wedge biopsy of the thighs under local anesthesia. Gross ex vivo and in vivo examination of the thighs showed a diffuse pattern of extrusion of underlying adipose tissue into the reticular dermis in affected (but not unaffected) individuals, directly correlating with clinical findings, such as dimpling and orange peel texture of thigh skin.
However, Pierard et al. found no correlation in their study between the extent of these protrusions and clinical evidence of cellulite. In a study using autopsy specimens of 24 previously healthy women between 28 and 39 years of age with cellulite and 11 men and four women without cellulite, the authors revealed important distinguishing characteristics within the microarchitecture of subcutaneous connective tissue below the dermal–subcutaneous interface. They showed the presence of papillae adiposae rising into the ‘pits and dells’ on the undersurface of the dermis with sweat glands encased within. They found no correlation between the extent of this finding and the clinical type and severity of cellulite in women. In addition, the most distinguishing feature between cellulite-prone skin and unaffected skin was found to be uneven thickness of connective tissue septa, showing a few α-actin positive myofibroblasts in thicker strands. This finding correlated with the mattress phenomenon as seen on pinching of the skin corresponding with the areas where the septa are thicker and contain myofibroblasts. At the site of the skin dimpling at rest, the authors reported ‘lumpy and loose’ swellings interposed between thinner portions of the septa. Collagen fibers formed a delicate meshwork that was reminiscent of striae distensea. Acid proteoglycans and α 2 -macroglobulin were abundant at these sites.
Skin dimpling in cellulite and dermal stretch marks or so-called ‘striae’ may be similar conditions, with forces of distension acting in a perpendicular versus parallel fashion.
The study concluded that skin dimpling in cellulite and dermal stretch marks are similar conditions with forces of distension acting perpendicular versus parallel, respectively. Hence, each can coexist in the same individual as is also commonly noted. They also found numerous blood vessels with an equal number of lymphatics (control vs affected) in the cellulite affected areas which is contrary to a popular belief that somehow cellulite prone areas have fewer lymphatics.
Women with cellulite have a higher percentage of thinner, perpendicularly oriented hypodermal septa than unaffected women and men ( Fig. 12.2 ).

Sexual dimorphism in cellulite skin architecture
The anatomic hypothesis of cellulite is based on gender-related differences in the structural characteristics of dermal and hypodermal architecture originally detailed by Nurnberger and Muller. They described herniation of fat into the dermis, which is characteristic of female anatomy and which was later confirmed by ultrasound imaging as being low-density regions among denser dermal tissue. Their study revealed that gender related differences are diffuse and not localized to the affected areas. They reported that dermal septa of the affected females are much thinner and more radially oriented than unaffected males, therefore facilitating the extrusion of adipose tissue into reticular dermis. In their study, cellulite-affected and unaffected female subjects both showed an irregular and discontinuous dermal–subcutaneous interface that was characterized by fat protrusion into dermis. The dermoadipose and connective tissue interface was smooth and continuous in male subjects.
Querleux et al. revealed three principal orientations of the septa: perpendicular, parallel, and angulated at about 45° ( Figs 12.3 and 12.4 ). Women with cellulite had a higher percentage of perpendicular septa than unaffected women (p < 0.001) or men (p < 0.01). For the other two directions, according to presence of cellulite, women with cellulite had a smaller percentage of septa parallel to the skin (p < 0.001) and a higher percentage at 45° (p < 0.001).


Cellulite grading based on clinical severity
Cellulite can be divided into three main grades based on the clinical severity. Grade I is characterized by smooth skin without any dimpling upon standing and lying down, but the skin adopts a mattress-like configuration upon pinching, which forces fat into the reticular and papillary dermis. In grade II cellulite, a mattress-like appearance of cellulite is present upon standing but disappears with the patient in the supine position. Grade III cellulite can be seen in individuals who exhibit skin dimpling upon standing and can be exacerbated with pinching when they are in the supine position. Although this classification has been used to identify various severity grades of cellulite, it does not take into account factors such as baseline skin laxity. Skin laxity may play a major role in the severity of cellulite despite clinically significant fat herniation. It is essential for the clinician to recognize all aspects of cellulite severity before considering a suitable treatment option.
Treatment of cellulite
A thorough medical history and a detailed physical examination are important parts of the treatment of cellulite. A history of bleeding disorders, vascular or lymphatic insufficiency, prior treatments for cellulite reduction including but not limited to skin tightening technologies, and surgeries, such as liposuction and body lifting procedures, must be taken into account. The medication history of prescription as well as over-the-counter drugs must be noted in the patient’s records.
Physical examination is best performed with the patient standing upright wearing comfortable clothing. Any preexisting surgical scars, stretch marks and any obvious asymmetries should be noted and discussed with the patient at length. Tangential lighting may be used to determine the textural differences in various areas of cellulite-prone skin. Cellulite photography can be quite challenging. The color, angle, intensity and type of lighting may markedly affect the patient photographs in any given patient. It is therefore very important that baseline and follow-up photography is performed under standardized conditions of lighting, patient posture, baseline muscle tone (tightly flexed vs relaxed muscles), and underwear garments.
Pharmacological treatments
Catecholamines





