37 Metacarpals (Pinning)
Abstract
Pins, or Kirschner wires, are a versatile tool for fixation of metacarpal fractures. Closed approaches allowed by pinning can offer not only greater ease and lower morbidity than open approaches, but also achieve more reliable fixation in certain fracture patterns. Pinning options for common fracture patterns are reviewed, together with indications for pinning versus alternate approaches. Useful techniques for reduction and pinning are detailed and illustrated.
37.1 Overview
Metacarpal fractures represent one-fifth of all upper extremity fractures (264,000 every year) presenting to emergency departments in the United States. 1 Most can be treated nonoperatively. For most operative metacarpal fractures, percutaneous pinning after closed or open reduction is a powerful and versatile technique that can be applied in a myriad of combinations to address individual fracture patterns.
37.2 Indications
37.2.1 For Operative Fixation
Indications for closed reduction and pinning include instability of reduction, involvement of > 25% of the articular surface, > 1 mm of articular step-off, or rotation. Digit malposition should be determined clinically by comparing to the other hand, looking for “scissoring” of fingers, and observing the flexion cascade (all should converge toward the scaphoid tubercle). Fractures that are more proximal may translate to increased tip rotation versus more distal metacarpal injuries.
37.2.2 For Pinning over Internal Fixation
Closed reduction and pinning has specific advantages over open approaches. It may decrease postoperative swelling and stiffness that follows open reduction. In many scenarios, plate and screw fixation may require extensive dissection and disruption of soft tissue attachments, even after difficult reduction requiring open treatment. In these cases, it is usually preferable to employ wire fixation. A comminuted intra-articular fracture may be managed with a closed pinning approach to take advantage of ligamentotaxis. Similarly, extra-articular commin-uted fractures may reduce easier when the soft tissue envelope is preserved. Kirschner wires (K-wires) may also be preferable in comminuted fractures, given the potential lower risk of fragment devitalization due to periosteal stripping.
37.2.3 Contraindications (Indications for Plating)
K-wires may delay joint mobilization as they often require splinting for multiple weeks. Given this, they may be less desirable in those patients at risk for arthrosis presenting with simple fractures. True transverse fractures of the metacarpal shaft may be better stabilized using internal fixation.
37.3 Preparation
37.3.1 Diagnostic Studies
Posterior-anterior, lateral, and oblique plain film radiographs should be obtained. Advanced imaging techniques are rarely employed for isolated metacarpal fractures
37.3.2 Equipment and Hardware
0.045-inch K-wires are generally adequate for metacarpal fractures in adults. In larger patients 0.062-inch wires may be preferred; in children, 0.035 inch may be adequate.
A tourniquet is not overtly useful in closed reduction, but should be placed preoperatively, in case conversion to an open approach is needed. A mini C-arm is preferable over a full size C-arm fluoroscope to decrease radiation exposure.
37.3.3 Anesthesia
Sedation with a local or brachial plexus block is generally adequate for hand fracture pinning. In pediatric patients or other healthy but uncooperative patients, general anesthetic may provide greater ease of reduction and fixation.
37.3.4 Assistants
Because counter-traction may be necessary to obtain and hold reduction while positioning the C-arm or exchanging instruments for fixation, the surgeon should have a dedicated assistant who can focus on positioning, in addition to a scrub tech or nurse.
37.4 Approach to Specific Fracture Patterns
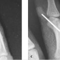
37.4.1 Bennett Fracture Dislocation
Bennet fractures are intra-articular fractures of the first metacarpal head. The abductor pollicis longus exerts a strong pull on the distal fracture fragment, subluxing the first metacarpal proximally and radially.
Indications for Operation
Bennet fractures are considered inherently unstable. Stable internal fixation is encouraged.
Stay updated, free articles. Join our Telegram channel
Full access? Get Clinical Tree





