35 Bony Mallet Fixation
Abstract
Extensor tendon injuries at the level of the distal interphalangeal joint can lead to substantial deformity and functional disability, and are comprised of a spectrum of injuries. Extensor tendon disruptions that involve an avulsion fracture at the site of tendon attachment into the distal phalanx are termed bony mallet injuries. The treatment of these injuries remains controversial, and is in part dictated by the amount of articular surface involvement and articular stability. An overview of surgical indications and treatment challenges is provided in this chapter.
35.1 Description
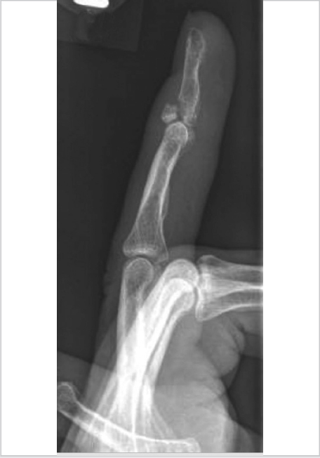
A variety of fixation options exist for bony mallet fractures involving the distal phalanx (► Fig. 35.1), including percutaneous fixation and internal fixation.
35.2 Key Principles
Multiple fixation strategies are possible for nondisplaced and displaced bony mallet fractures of the distal phalanx, which depend upon the amount of displacement, articular involvement, and presence of volar subluxation.
35.3 Expectations
The goals of operative stabilization of bony mallet fractures would include improved mobility, better articular congruity, and decrease in the risk of future arthritis.
35.4 Indications
Displaced avulsion fractures of the distal phalanx with articular involvement of greater than 30 to 50% of the articular surface or fractures with volar subluxation of the distal phalanx in relation to the middle phalanx.
35.5 Contraindications
Congruous distal phalanx with middle phalanx condyles
No volar subluxation present
Articular involvement of less than 30 to 50%
35.6 Special Considerations
An exact true lateral image of the distal interphalangeal (DIP) joint is required to determine whether or not operative intervention is necessary. The middle phalanx condyles should be superimposed upon one another for this radiograph to be exact. Although computed tomography (CT) can be performed, it is typically not necessary to determine volar subluxation or degree of articular involvement. In addition, stress radiographs with the distal phalanx in line with the middle phalanx may alter the amount of volar subluxation present, such as radiographs obtained while in a splint.
Stay updated, free articles. Join our Telegram channel
Full access? Get Clinical Tree





