Key points
- •
Patients are seeking minimally invasive body contouring devices.
- •
New devices exist for non-facial non-invasive skin tightening.
- •
Cellulite is treated with multi-modality therapy.
- •
Non-invasive fat removal may be accomplished with varied devices.
- •
Non-invasive body contouring is a significant future technology.
Patient selection
Non-invasive body contouring is a broad descriptive term that encompasses non-surgical fat removal, cellulite therapy and skin tightening. A broad scope of devices are used including lasers, ultrasound devices, radiofrequency, intense pulsed light, electrical energy, cold therapy, massage devices and combination devices. It is often very difficult for physicians to make appropriate purchase decisions because of manufacturer hype and lack of scientific studies. According to statistics from the American Society for Aesthetic Plastic Surgery, non-invasive tightening is the 11th most commonly performed procedure with more than 258 000 procedures performed in the United States in 2007. Projections from Medical Insight suggest that almost 10 million non-invasive body contouring procedures will be performed worldwide in 2008 with projections for growth of 21.6% over the next 4 years. Other market projections all suggest that the United States, with high obesity rates, will be a huge market for additional technology such as non-invasive fat removal when finally approved by the FDA.
Non-invasive fat removal
According to statistics from the American Society for Aesthetic Plastic Surgery, liposuction remains the most common invasive surgical procedure performed in the United States in 2007 with more than 450 000 procedures performed. It remains the mainstay of fat removal techniques due to efficacy, consistency and low complication rates. Newer minimally invasive techniques such as laser liposuction have created increased interest from patients and physicians. Market research suggests that an even larger cohort of people would be interested in fat removal but are scared of surgery or any type of invasive technique. Non-surgical methods used to remove fat include injection lipolysis and focused ultrasound. Injection lipolysis is an offshoot of mesotherapy. The most common formulas are those that include deoxycholate and phosphytidylcholine in varying concentrations. Some of these formulas have been banned in other countries. Injection lipolysis is being studied intensively in the United States at this time. No needle mesotherapy is being marketed by one company and will be discussed under the cellulite portion of this chapter.
Worldwide there are currently two devices being marketed exclusively for non-invasive fat removal (NIFM). One device is the UltraShape® Contour 1 from Tel Aviv, Israel. This device utilizes focused ultrasound energy to disrupt adipose cell membranes via a non-thermal cavitation approach. The UltraShape Contour 1 uses a patented ultrasonic technology to deliver focused ultrasound energy to the subcutaneous fat layer at a precise depth. The pulsed acoustic waves target a confined focal volume causing a selective mechanical destruction of fat cells, leaving surrounding structures such as skin, blood vessels, nerves and connective tissue intact. Mechanical, not thermal, effects are produced due to the precise acoustic parameters and pulsed energy delivery.
An integrated acoustic contact sensor within the transducer provides real-time feedback, thus ensuring proper transducer-to-skin contact and efficient energy delivery to the treatment area, enhancing precision and safety of the device. Safety and efficacy of the UltraShape® treatment has been well documented in published clinical trials and clinical studies, together with experience over the past 3 years and over 65 000 treatments worldwide. This device is not currently FDA approved. LipoSonix®, Palo Alto, CA, is currently undergoing trials of a focused ultrasound device for NIFM. This device differs from the UltraShape® device in that the focused ultrasound energy is more thermal in nature. This causes a more thermally mediated adipose cell disruption than the mechanical cavitation effect seen with the UltraShape® device. Only continued evaluation will prove whether the increased thermal component will be more efficacious or lead to increased complications.
Many other companies are researching devices for non-invasive fat removal. Technology researched or proposed includes ultrasound devices, lasers, radiofrequency and cold technology. Lasers for fat removal are being actively studied at this time. Early research has shown that adipose cells have specific wavelength absorption peaks. Lasers at wavelengths at these peaks theoretically could be used for laser-mediated NIFM. Competing chromophores including melanin and water need to be considered as well as depth of penetration of the light energy. At this time these devices were not yet in FDA trials. Radiofrequency devices are currently being marketed for cellulite therapy and non-surgical skin tightening. These devices are either single entity or combination units. In the United States, none of these devices have FDA approval for NIFM. However, some devices are marketed outside of the USA for this indication. These devices will be discussed in the section on cellulite.
Cold therapy has been proposed as an alternative treatment for NIFM. Zeltique has presented animal data on a new device for NIFM. This device is currently in clinical trials. It utilizes a cold adhesive plate that is placed on the skin for a few hours. This creates a specific freezing zone in the fat. This zone is then subjected to the body’s natural inflammatory response and the frozen adipose cells are removed.
Technical considerations
The principle of action of the UltraShape® Contour 1 device is mechanical adipose cell disruption by focused ultrasound. There is a base unit, transducer handpiece and computer tracking system. The pulsed ultrasound wave is generated and focused 1.5 cm below the skin surface. The wave is 200 ± 30 kHz and acoustic output is 17.5 W/cm 2 . A computer tracking system ensures complete and uniform treatment. A series of three treatments 2–4 weeks apart is recommended although each treatment will provide results. Some practitioners recommend combination therapy with other devices such as radiofrequency and/or massage devices.
A large multicenter clinical trial evaluated the efficacy and safety of single treatment use of the UltraShape® Contour 1. In 137 subjects, they showed a 2 cm reduction in area circumference and 2.9 mm in skin fat thickness. There was no change in blood or urine chemistries or in liver ultrasound. Another study showed efficacy of triple treatment performed at 1 month intervals. In this study of 30 patients the mean reduction in fat thickness was 2.28 cm and circumference was reduced by 3.95 cm.
Non-invasive focused ultrasound: LipoSonix ® system
A promising new device, LipoSonix® (LipoSonix, Inc., Bothell, WA, USA) has been developed to non-invasively disrupt and reduce unwanted adipose tissue for the purposes of aesthetic body contouring. The LipoSonix® device uses high frequency (2 MHz) and high energy (1950–2775 W/cm 2 ) focused ultrasound to produce a thermo-mechanical effect within the subcutaneous fat to reduce the unwanted tissue. A specially designed transducer delivers the focused ultrasound energy to precise, user adjustable depths within the target tissues ( Figure 12.1 ). The transducer is constructed to safely deliver low energy density on the skin and high, therapeutic energy density at the focal point. This allows the physician to safely treat the targeted subcutaneous fat without injury to skin or underlying fascia.

The user adjustable depth control allows the physician to deliver the energy precisely 1.1–1.8 cm deep into the tissue. The zone of thermal damage created is approximately 1 cm and is centered on the selected focal depth. Figure 12.2 demonstrates the precise control of the LipoSonix® focused ultrasound whereby tissues above and below the treatment zone are clearly unharmed. The system uses a computerized pattern generator to rapidly scan the transducer over the treatment site. This efficiently creates a homogeneous treatment zone to avoid undulation or pitting to the area. The treatment of an average abdominal area is typically completed in 30–45 minutes. The mechanism of action is both thermal and thermo-mechanical. At 2 MHz, ultrasound is highly absorbed by subcutaneous tissue compared to lower ultrasound frequencies. When absorbed at the focal point, cells experience a rapid rise in cell temperature resulting in thermocoagulation and cell disruption. The thermo-mechanical process is caused by the rapid rarefaction and compression from ultrasound waves. These powerful oscillations result in substantial shear forces which can disrupt the adipocyte cell membranes and cause subsequent collapse.

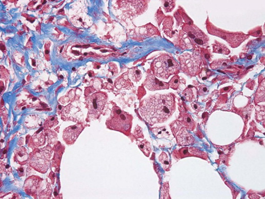
The disruption of adipocyte cells send chemotactic signals that activate the body’s inflammatory mechanisms, attracting macrophage cells to the area to engulf the lipids and cell debris. Histology taken 1 month post-procedure confirms the process of adipocyte clearance ( Figure 12.3 ). The macrophages migrate to the lymphatic system and on to the liver where the lipids are processed through normal biochemical pathways. This results in a reduction in adipose tissue volume in the treated area.

Patient selection and indications
In order to achieve the optimum results with either device, careful patient selection remains the most important factor. Management of the patient expectations will result in high patient satisfaction. The ideal candidate to undergo non-invasive body contouring (NIBC) treatment is a motivated patient who is not significantly overweight (BMI < 30) and who maintains a healthy diet and exercise regime. They should express the desire to reduce localized fat deposits and body circumference, and avoid surgery or downtime. The localized fat deposits must measure at least 1.5 cm of fat thickness and there should be no significant skin laxity or cellulite. Patients with greater BMI, overall diffuse fat distribution or very large adipose deposits are not regarded as good candidates. Indicated treatment areas include the abdomen, flanks and outer thigh/hip regions. As with any body contouring procedure, the commitment to a healthy diet and exercise regimen will optimize the results. NIBC treatment is not a treatment for weight reduction, obesity, skin laxity, cellulite treatment or patients with unrealistic expectations. Patients with active infections, pacemakers, abdominal wall hernias, coagulation disorders or on anticoagulant therapy are excluded from treatment. Obesity (BMI > 30) is a relative contraindication as is the presence of liver or renal disease.
Pre-operative preparation
NIBC procedures are performed in an office-based environment; it requires no topical anaesthesia or sedation, and few patients report any pain or discomfort. There is no bruising, swelling or downtime following the treatment and patients may continue their daily routines. Maintenance treatments are not required but additional treatments may be indicated for improved contouring.
As with all cosmetic treatments and procedures, careful pre- and post-treatment documentation is essential to record the outcomes of these interventions. Consistent photographs should be obtained and standardized circumference measurements made at each follow-up visit, together with a recording of patients’ weight. These recordings provide a reference for the patient and treating physician to confirm the effectiveness of the treatment.
Stay updated, free articles. Join our Telegram channel
Full access? Get Clinical Tree





