Metacarpal and Phalangeal Fractures



10.1055/b-0034-97738

Metacarpal and Phalangeal Fractures

Aaron Mull & Amy M. Moore
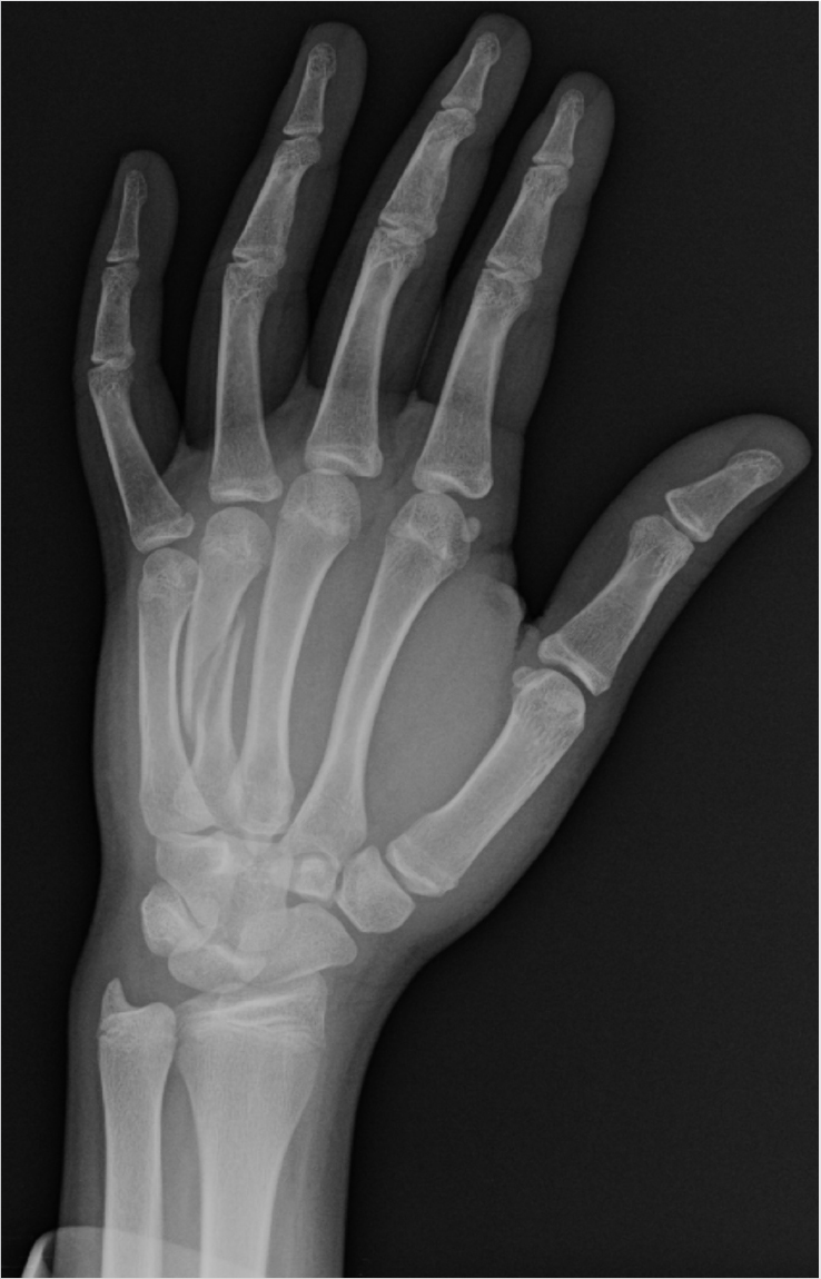
A 28-year-old left hand-dominant man presents with hand pain after striking someone with his left hand. The X-ray is shown above. On examination, overlapping of the patient′s ring and small fingers is noted while he makes a fist.


Description




  • Oblique extra-articular fracture of ring finger metacarpal shaft with angulation, rotation, and shortening,



Work-up



History




  • Mechanism of injury (e.g., sharp, blunt, avulsion).



  • Time elapsed since injury.



  • Possible contamination during injury (e.g., oral contamination, farm injury).



  • Hand dominance.



  • Occupation.



  • Smoking status.



  • Inquire about prior hand injuries or operations.



Physical examination




  • Assess for skin lacerations/injury, degree of contamination, and viability of soft tissues.



  • Examine for possibility of open fractures and joint involvement.



  • Assess for angulation and rotation of digit while the patient makes a fist (i.e., scissoring).



  • Assess for neurovascular integrity of the affected digits.

Only gold members can continue reading. Log In or Register to continue

Stay updated, free articles. Join our Telegram channel

Jun 18, 2020 | Posted by in General Surgery | Comments Off on Metacarpal and Phalangeal Fractures

Full access? Get Clinical Tree

Get Clinical Tree app for offline access