5 Diverse Skin Type Considerations and Applications for Nonsurgical Combinations Summary Diverse skin types have qualities with implications on noninvasive cosmetic procedures. Considerations when treating skin of color include skin type, ethnic background, the indication for the procedure, and realistic treatment goals. Nonsurgical combination therapies can be safely and effectively used for rejuvenation of the facial skin of patients with skin of color. Keywords: skin of color, ethnic skin, acne scarring, hirsutism, melasma, chemical peels, neuromodulators, fillers, post-inflammatory hyperpigmentation, keloids Key Points • Currently, the United States population is approximately 300 million and those with darker skin represent 30% of the population, many of whom desire noninvasive cosmetic procedures. • The most conclusive data regarding the differences in the structure, function, and biology of skin of color included a greater number of stratum corneum layers with possible increased resistance to irritants, increased size and density of melanosomes, and a more compact dermis. These differences have implications related to noninvasive cosmetic procedures performed in this population. • Factors to consider when selecting an aesthetic procedure in the patient with skin of color include the patient’s skin type, his or her ethnic background, the indication for the procedure, and realistic treatment goals. • The most common cosmetic concern of the patient with skin of color is dyschromia including melasma, postinflammatory hyperpigmentation (PIH), and UV-induced hyperpigmentation. Additionally, age-associated solar lentigines is concerning in Asians, and dermatosis papulosa nigra (DPN) is concerning in those of African descent. • Additional cosmetic concerns for the population of patients with skin of color include acne-induced scarring, facial hair growth, keloidal scarring, and loss of volume of the midface with sagging and facial frown lines. • Combination therapies used to address dyschromias include topical skin lightening agents combined with microdermabrasion, chemical peels, microneedling, or laser therapy. • Nonsurgical combination therapies, neuromodulators, and fillers, as well as skin-tightening technology, are safely and effectively used for rejuvenation of the facial skin of patients with skin of color. • Patients with darker skin types have an increased risk of developing adverse events to topical antiaging medications and common aesthetic procedures such as postinflammatory hyperpigmentation and hypopigmentation as well as hypertrophic and keloidal scarring. The concept of beauty is global, and people with ethnic skin comprise a large portion of the world’s population. Individuals from all racial and ethnic groups are interested in aesthetic procedures to address their cosmetic concerns as well as the unique aspects of their aging skin. In fact, the American Society of Aesthetic Plastic Surgery’s (ASAPS) 2015 statistics on cosmetic surgery reported that there were approximately 12.8 million surgical and nonsurgical cosmetic procedures performed in the United States, and the number of cosmetic procedures over the 5 years beginning in 2011 increased by 39%, with a 44% increase in nonsurgical procedures compared to an increase of 17% in surgical procedures.1 This striking difference is a direct result of the preference for nonsurgical procedures that are presumed safer, are less invasive, have a speedier recovery, and are more financially affordable. Women reportedly had 11.5 million (90.5%) cosmetic procedures performed in contrast to the 1.2 million (9.5%) that occurred in men. Among all cosmetic procedures, 25% were performed on those classified as racial or ethnic minorities, up 3% from last year1 (see Text Box below). 2015 American Society for Aesthetic Plastic Surgery (ASAPS) Cosmetic Demographics: Percentage of Racial and Ethnic Minorities • Hispanics: 9.7% • African Americans: 7.7% • Asians: 6.2% • Other non-whites: 1.3% Reproduced with permission from ASAPS. www.surgery.org. Accessed 4/30/2016 The most common nonsurgical procedures include botulinum toxin type A injections, soft tissue filler injections (primarily hyaluronic acid), laser hair removal, facial chemical peels, and microdermabrasion. These procedures are frequently combined to provide the optimum results for each patient. Although each of these procedures is routinely performed in individuals of all races and ethnicities, special consideration and application techniques must be recognized and implemented in patients with darker skin types. Additionally, an understanding of the structure and function of ethnic skin is important, especially when considering combining these procedures in patients with darker skin tones. Adverse events may be unique in patients with darker skin tones. For example, dyschromia as a result of disruption of the epidermal barrier or stimulation of melanocytes, is a known adverse event that can occur postprocedurally in patients with skin of color. Additionally, the incidence of keloids and hypertrophic scarring in patients with skin of color ranges from 4.5% to 16% compared to less than 1% in Caucasians2; therefore, special attention must be given to this potential complication. This chapter will focus on the aesthetic patient with skin of color and include common cosmetic concerns, nonsurgical aesthetic procedures (particularly those that are utilized in combination to treat those concerns), and the management of potential complications that may occur in this group of patients. Data in the medical literature regarding racial and ethnic differences in the structure and function of skin are sparse and often inconclusive. Each of the studies that have been performed include only a small number of subjects, the methodology varies from study to study, and the results are often contradictory. A close review of the literature reveals differences in stratum corneum structure, lipid content, and melanin production and dispersion. Dermal differences have likewise been demonstrated and include variations in fibroblasts, collagen, elastin, and mast cells. These identified differences in skin structure and function are likely responsible for the increased occurrence of the adverse events seen as a result of cosmetic procedures, keloidal scars, and dyschromias in patients with skin of color. The stratum corneum is the outermost layer of the skin and is responsible for acting as a skin barrier and providing resistance to the outside environment. Its unique composition of corneocytes, lipids, and proteins permit water to be retained within the skin and prevents the loss of water across the epidermis, called transepidermal water loss (TEWL). Regarding the stratum corneum structure, although the thickness of the stratum corneum has been determined to be similar between white and black skin, there is a greater number of cell layers in black skin compared with white skin.3,4,5,6,7,8 Hence, the stratum corneum in black skin is believed to be more cohesive, more compact, and has better epidermal barrier function than white skin. The superiority of the barrier was demonstrated in subjects with darker skin phototypes V and VI, regardless of race, who were demonstrated to have more compact cell layers as compared to those with lighter skin phototypes II and III.6 These findings would suggest less susceptibility to irritants that may be found in antiaging products as well as ingredients in chemical peeling agents. However, studies evaluating if darker skin is more or less susceptible to irritants have been found to be contradictory. A study in black, white, and Asian subjects by Kompaore et al9 showed an increase in baseline TEWL in Asian and black patients, indicating that they have a more compromised barrier function and an increased susceptibility to irritants. A more recent study by Hicks et al10 evaluating irritant contact dermatitis using confocal histopathology in vivo demonstrated more severe irritant reactions in white skin. In addition, when comparing reactions to sodium lauryl sulfate, white skin reacted more than black skin. These results suggest that black skin is more resistant to irritants and has a more intact and stronger stratum corneum. Based on this study, black skin should be able to tolerate stronger peeling agents. However, stratum corneum barrier function is only one factor in the complex structure and function of the skin. Differences in melanocyte synthetic activity and melanosomes among individuals with skin of color likely accounts for a lower tolerability to procedures and to the frequently occurring adverse event of dyschromias produced by chemical peel and laser procedures. Although the number of melanocytes is constant among races, the activity of the melanocytes varies among the races.11,12,13 Pigmentation of the skin is directly related to the type of melanosomes produced and the melanin content of the melanosome.14,15,16 Differences in melanosome size, density, and aggregation correlate with skin color, with immature, small, stage I or II melanosomes aggregated in groups being seen in white skin. In contrast, large individually dispersed, nonaggregated stage IV melanosomes are seen in darker people of African descent. A study confirmed that more melanosomes were transferred into basal keratinocytes in the skin of subjects of African descent, with fewer transferred in Caucasian skin.17 Likewise, the enzyme tyrosinase is more active in darker skin and with higher total melanin content as determined through melanocyte cultures.15 There are likely differences at the cellular level between the dermis of black and white individuals. Our primary focus is on the dermal fibroblast cells that produce collagen, the building block for keloidal scars. When the fibroblasts in blacks and whites were compared, it was determined that the fibroblasts in blacks were larger, contained either two or more nuclei and were of greater quantity than those fibroblasts isolated from white female facial skin.18 Furthermore, the size, array, and orientation of collagen fiber bundles differed in black skin, where they were smaller, packed together very closely, and arranged in a parallel array. Between the collagen bundles, there were more collagen fibrils as well as glycoprotein fragments in black skin as compared to white skin. The reactivity of the fibroblast cell is the result of a poorly understood interaction between mast cells, cytokines, and fibroblasts. Although the number and size of mast cells, which play a role in fibroblast hyperactivity, was the same between whites and blacks, there has been demonstrated decreased collagenase in black skin.18 The propensity for less breakdown of collagen in black skin may partially explain the increased risk for keloid formation in black patients and those patients with darker skin tones. Hence, patients with skin of color undergoing procedures must be evaluated for the potential of keloidal scar formation. Additionally, the arrangement of collagen bundles could have implications for procedures that involve injections. Finally, there are functional and biological differences in the skin of individuals with skin of color. The increased amount and dense concentration of melanin in darker skin, along with melanin’s distribution throughout the epidermis, provide the benefit of photoprotection, resulting in less pronounced photoaging and fewer skin cancers. Although the melanin content in patients with skin of color provides protection from UV radiation, pigmented skin is not immune from damage. A study from Thailand, among other studies, demonstrated that darker-skinned individuals had the ability to experience significant photodamage, including atypia, atrophy, collagen and elastin damage, and hyperpigmentation.19,20 Improvement in the hyperpigmentation associated with photodamage and aging is indeed a primary concern that drives individuals of color to seek cosmetic treatments. Table 5.1 Skin Type Classifications
5.1 Introduction
5.2 Structure and Function
Skin Type Classifications | Objective Measurement and Utilization in Practice |
Fitzpatrick skin types22 | Phototype (FST), the ability to burn or tan, skin color, phototherapy, skin cancer risk |
Kawada skin types23 | Phototype in Japanese individuals (JST) |
Glogau Scale24 | Photoaging in Caucasians |
Lancer Ethnicity Scale25 | Ancestry and FST, laser surgery, chemical peels |
Goldman World Classification of Skin Types26 | Skin color, response to burning or tanning, PIH |
Fanous Classification27 | Race and genetics, laser resurfacing, chemical peels, dermabrasion |
Willis & Earles Scale28 | People of African descent, skin color, UV light reaction, pigmentary disorders |
Taylor Hyperpigmentation Scale29 | Skin color, dyschromias |
Roberts Skin Type Classification System30 | Phototypes, pigmentation, photoaging, scarring |
FST = Fitzpatrick skin type; JST = Japanese skin type; PIH = postinflammatory hyperpigmentation; UV= ultraviolet.
In summary, the most conclusive data regarding the differences in the structure, function, and biology of skin of color included a greater number of stratum corneum layers, with possible improved resistant to irritants, increased size and density of melanosomes, and a more compact dermis with closely stacked collagen bundles and prominent and numerous fiber fragments. These differences have implications related to noninvasive cosmetic procedures performed in this population.
5.3 Skin Type Classifications
Currently, the United States population is approximately 300 million, and those with darker skin (non-white) represent 30% of the population. The U.S. Census Bureau predicts that the population of people with skin of color will represent > 50% of the U.S. population by 2060.21 This increase in diversity will bring more diversity to our practices; therefore, understanding the individual skin type of a patient becomes clinically relevant.
One classification of skin type presents a myriad of challenges, and several systems have been developed. The original classification of skin types was based on the skin’s ability to either tan or burn when exposed to ultraviolet light. Other systems were based on genetic factors, the reaction of the skin to sun exposure, and the hallmarks of aging. With time, these skin classification systems evolved to include other important factors such as the skin’s response to procedures.
Table 5.1 lists several of the current skin type classifications commonly used in clinical research, published literature, and clinical practice.22,23,24,25,26,27,28,29,30 However, the skin type classification system used most often today is the Fitzpatrick Skin Type (FST), which remains the gold standard.22 The FST classification was developed in 1975 by Thomas B. Fitzpatrick,22 a Harvard dermatologist, to document the response of different skin types to UV radiation, and was mainly used to guide dosing levels for phototherapy and the potential risk of skin cancer (see Fitzpatrick Skin Types Text Box). It has been adapted as a proxy for skin color and by extension to describe a range of racial and ethnic skin types. Because this skin type system is widely known and has been used across all medical and surgical specialties, this chapter will focus on the safety and efficacy of various procedures in patients with FST IV-VI.
Fitzpatrick Skin Types
• Skin Type I – Always burns, never tans (pale white skin)
• Skin Type II – Burns easily, tans minimally (white skin)
• Skin Type III – Burns moderately, tans uniformly (light brown skin)
• Skin Type IV – Burns minimally, always tans (moderate brown skin)
• Skin Type V – Rarely burns, tans profusely (dark brown skin)
• Skin Type VI – Never burns (deeply pigmented dark brown to black skin)
5.3.1 Aesthetic Consultation
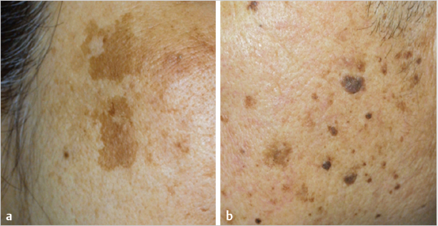
In the author’s experience and the findings of a variety of practice surveys, the most common cosmetic concern of the patient with skin of color is dyschromia31,32,33,34,35 (
Fig. 5.1). The dyschromias include melasma, postinflammatory hyperpigmentation (PIH), and UV-induced hyperpigmentation. These disorders impact negatively on the quality of life of patients with skin of color. In addition, age-associated solar lentigines frequently develop in Asians36 (
Fig. 5.2), and dermatosis papulosa nigra (DPN) develop in patients of African descent (
Fig. 5.3). The protective effects of melanin in patients with darker skin delays the onset of facial rhytids to a later age. Hence, the aging face in the patient with skin of color has a different appearance as compared to those with lighter skin (
Fig. 5.4).
Furthermore, patients with darker skin types have an increased risk of developing adverse events to topical antiaging medications as well as aesthetic procedures. These adverse events include post-inflammatory hyper- and hypopigmentation, as well as hypertrophic and keloidal scarring. These may occur after common procedures including chemical peels, microdermabrasion, laser surgery, electrodessication, and cryotherapy (
Fig. 5.5).
Obtaining a detailed patient history, performing a thorough physical examination, performing on test areas, and proceeding cautiously prior to initiating the full procedure will all minimize potential complications in patients with skin of color. Clinicians should not only document the patient’s skin type (FST I-VI) but also perform an extended history including the patient’s ethnic origin, relevant cultural concerns, alternative products used, and history of skin reactions or allergies. Clinicians should also perform a complete skin examination looking for PIH as well as atrophic, hypertrophic, or keloidal scarring, followed by obtaining clinical photography.
5.4 Nonsurgical Procedures
5.4.1 Melasma
Melasma is a very common disorder of hyperpigmentation that predominantly affects individuals with darkly pigmented skin (
Fig. 5.6). Although extensive research regarding treatments for melasma exists, treatments are not optimal because of the relapsing nature of the disease and the increased risk of PIH associated with treatment options. Given these frustrations for both the physician and patients with skin of color, special care must be taken when creating a treatment plan. Treatment options include photoprotection, topical skin lightening agents, cosmeceuticals, chemical peels, nonablative laser therapy, or a combination of these modalities37,38,39,40,41,42,43,44,45,46 (
Table 5.2).
Protection from ultraviolet and visible light is the foundation for all treatment regimens for melasma.47 Education on the importance of the application of daily broad-spectrum sunscreen is essential in the patient with skin of color who may not use sunscreenonaregularbasis.40,41,42,43,44,45,46,47,48,49 Beyond sun protection, there are numerous topical skin-lightening agents that are considered first-line treatment for melasma.
Topical skin-lightening agents include hydroquinone (HQ), tretinoin, azelaic acid, mequinol, kojic acid, corticosteroids, and an array of cosmeceuticals such as Vitamin C, and are used as monotherapy or in combination to treat melasma. Of these available treatment options, HQ remains the gold standard of therapy and it is usually included in the initial therapy of melasma in patients with skin of color.47 Although effective in epidermal melasma, especially when used long term and in combination with additional topical agents, HQ has the potential to produce exogenous ochronosis (
Fig. 5.7). Exogenous ochronosis, which is also associated with high concentrations of HQ, occurs as a result of homogentisic acid accumulation in the dermis, and presents with facial hyperpigmentation in the affected area.50
The most common topical regimen for melasma is a combination of HQ 4%, tretinoin (0.05% to 0.1%), and a corticosteroid.40 A modification of this triple combination with lower concentrations of the individual components may be beneficial in patients with skin of color due to a lower irritation profile and the reduced risk for PIH.
Chemical peels are considered resurfacing procedures that produce a controlled injury to the skin, which results in exfoliation. The treatment of melasma with chemical peels is a standard treatment, although adverse events, particularly PIH, may occur. Patients with FST IV-VI typically undergo superficial to medium-depth chemical peels after a test area is performed (
Table 5.3). Deep chemical peels, such as the Baker phenol peel and higher concentrations of TCA, can result in PIH, scarring, and permanent hypopigmentation in patients with skin of color and should be avoided (
Fig. 5.8).
Several studies have shown that priming with a topical skin-lightening agent weeks before a chemical peel procedure may be useful in preventing PIH.37,47,51 In addition, post-peel complications may be decreased by starting at lower concentrations of the peeling agent and titrating upward with each additional chemical peel, extending the intervals between chemical peeling by 2 to 4 weeks, and discontinuing topical retinoid therapy 5 to 7 days before the chemical peel procedure.51,52
Recently, microneedling has been reported as a therapy for melasma to provide a means of transdermal drug delivery. Microneedling is a minimally invasive nonablative procedure that uses fine needles to cause controlled injury to the skin by forming microchannels. The injury causes the body to produce new collagen and elastin within the wounds, in addition to neovascularization. Overall, the outcome is skin rejuvenation and scar reduction. Microneedling can be very effective in treating melasma when followed by the application of depigmenting agents such as tranexamic acid or serum containing rucinol and sophora-alpha.41,42 In addition, as opposed to laser therapy, the risk of hyperpigmentation and scarring in darker skin types is reduced.
Lasers have also been used to treat melasma successfully in patients with skin of color who have lighter skin (FST III-V). However, caution should be used when considering laser surgery in patients with darker skin (FST V-VI), mainly due to the risk of PIH.
5.4.2 Acne Scarring
Acne is one of the most common dermatologic conditions in the United States for which patients, including those with skin of color, seek dermatologic care. The pathogenesis of acne in white patients and patients with skin of color is believed to be the same. However, there are clinical differences of acne and its sequelae in these populations. For example, a common location for acne in African American women is the anterior hairline, primarily due to the use of hair care products used to smooth and moisturize the hair. These products are comedogenic and can result in a condition called pomade acne.53 Postacne sequelae also differ between patients with lighter and darker skin tones. Inflammatory as well as comedonal lesions frequently lead to PIH in darker-skinned individuals (
Fig. 5.7), compared with postinflammatory erythema (PIE), which is a common sequela in lighter-skinned individuals. A study by Halder et al54 demonstrated that in African American skin, papules as well as comedonal lesions histologically displayed inflammatory infiltrates despite appearing noninflammatory clinically. Hence, visible and significant PIH may be present in individuals with darker skin tone who have only mild to moderate acne. Furthermore, inflammatory infiltrates responsible for PIH may activate matrix metalloproteinases that lead to atrophic and ice-pick scarring.55
In the acne of the patient with skin of color, treatment may be threefold and include topical, oral, or procedural therapy for acne lesions; topical or procedural therapy for PIH; and procedural therapy for atrophic, rolling or ice-pick scarring.56,57,58,59,60,61,62
Table 5.4 lists published data on procedural therapies for acne scarring (
Fig. 5.8) in patients with higher FST skin types. When developing a treatment plan for scarring associated with acne in a patient of color, it is important to obtain a history of hypertrophic or keloidal scarring, current topical retinoid therapy, and prior use of isotretinoin.56,57,58,59,60,61,62 Additionally, these patients are particularly prone to PIH, and it is important to understand that, for some patients, the PIH can be more troubling than the acne itself.54 Therefore, the propensity to cause PIH should be considered when choosing an appropriate procedural therapy for acnescarring.













