Fig. 39.1
A left lower penetrating chest wound: the high likelihood of diaphragm penetration requires further investigation

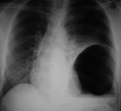
Fig. 39.2
Air-filled stomach incarcerated in the chest

Fig. 39.3
The left diaphragm wound was further opened to allow the reduction of intrathoracic content

Fig. 39.4
A stomach with a gangrenous area due to strangulation
Important Points
Penetrating diaphragmatic injuries are diagnostically challenging and need to be actively sought and excluded.
Invasive diagnostic procedures such as laparoscopy or thoracoscopy are the most sensitive modalities to definitively exclude small penetrating injuries.
Multislice CT scanning, FAST, and DPL may contribute to identifying high-risk cases.
Early diagnosis and surgical repair of all left-sided diaphragmatic hernias are essential to reduce the morbidity and mortality of late complications.
Recommended Reading
1.
2.
3.
Freeman RK, Al-Dossari G, Hutcheson KA, Huber L, Jessen ME, Meyer DM, Wait MA, DiMaio M (2001) Indications for using video-assisted thoracoscopic surgery to diagnose diaphragmatic injuries after penetrating chest trauma. Ann Thorac Surg 72:342–347CrossRefPubMed
Stay updated, free articles. Join our Telegram channel
Full access? Get Clinical Tree



