Pemphigus foliaceus
QUESTION 12
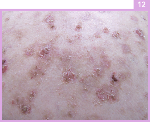
A 71-year-old woman presents to a dermatology clinic with a scaly, crusted rash on the chest and back. She states that they began to develop as blisters initially, but would burst within a day and leave behind a scaly rash that is mildly painful and pruritic. She denies any recent illness or changes to her personal care products. On examination, there are scattered erythematous and hyperpigmented macules and papules with overlying scale and secondary excoriations on the upper chest and back (12). There is no involvement of the oral or genital mucosa.

Stay updated, free articles. Join our Telegram channel
Full access? Get Clinical Tree





