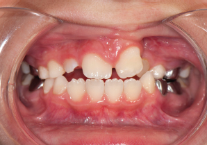
61 ○ Individuals with unilateral cleft lip and palate start out with relatively straight profiles in early childhood and experience progressively worsening midface retrognathism with age. ○ Individuals with bilateral cleft lip and palate initially have significantly convex profiles because of the relative protrusion of the premaxilla. This convexity gradually turns into a concavity of varying degree with age. ○ Individuals with isolated cleft palate generally have bimaxillary retrognathism. ○ Interventions such as treatment with a Latham appliance, primary bone grafting, and possibly gingivoperiosteoplasty may be associated with more severe maxillary hypoplasia. ○ Surgical technique, timing, and staging of palatoplasty are important variables that may influence maxillofacial growth. Surgical skill and experience are associated variables that are difficult to distinguish from the former, contributing to the overall effect. ○ No catch-up mandibular growth is expected after the age of 5 years in patients with Pierre Robin sequence. The growth of a typical patient with a repaired orofacial cleft is remarkably different from that of individuals without clefts. Children with cleft lip and palate (CLP) generally tend to be shorter, and their skeletal and dental maturation is delayed.1–4 With respect to craniofacial growth, the most striking differences are observed predominantly in the region of the maxilla, which may demonstrate varying degrees of underdevelopment (Fig. 61-1). Fig. 61-1 Changes in maxillary prominence (angle SNA) from 5 to 18 years of age for a pooled male and female sample of 257 patients with complete unilateral cleft lip and palate (UCLP) and 90 patients with complete bilateral cleft lip and palate (BCLP), compared with a pooled Bolton sample (noncleft controls). Early studies identified a progressive midface hypoplasia in patients with clefts and attributed this to the inhibitory effect of surgical interventions used to repair the initial cleft deformities, more specifically to the restraining effect of the scar tissue formed as a result of surgery.1,5–7 Scientific thinking was originally influenced by the observation that older adolescents or adults with unrepaired clefts generally present with favorable facial profile and dental arch relationships. Growth in patients with unrepaired clefts is not completely normal, but it is certainly closer to normal than growth observed after surgical repair. Which specific intervention interferes most with subsequent growth (whether it is the lip or the palate repair or some other intervention) remains a major topic of debate.1,7–10 Some of the variables that have been implicated in modulating the iatrogenic growth disturbance of patients with repaired clefts include surgical skill, type of procedure (surgical technique), and timing of surgery. Another explanation for the altered craniofacial growth seen in patients with CLP may lie within the cleft anomaly itself. That is, the occurrence of the cleft may indicate or result from an intrinsic congenital abnormality, perhaps a generalized or localized deficiency of tissue associated with the cleft that may affect the growth of the facial skeleton.11,12 Several investigations have provided evidence in this regard.13–20 Functional disturbances as a result of the presence of the cleft make up the third general category of variables theorized to have a growth-modifying effect in patients with CLP. The common associated nasal abnormalities, such as deviated septum, hypertrophic nasal mucosa, and constriction of the alae, as well as the interventions designed to address velopharyngeal insufficiency (such as pharyngeal flaps and sphincter pharyngoplasty), are known to increase airway resistance, potentially predisposing the affected individuals to chronic mouth breathing.21–24 The common presence of patent oronasal fistulas and maxillary constriction may add yet another dimension to the disturbance of natural breathing mechanics, potentially exacerbating inferior tongue position and clockwise mandibular rotation, amplifying the growth consequences.1,25 For ease of reference, this chapter separates the discussion of growth considerations by the type of cleft and by the type of intervention. The chapter also reviews craniofacial growth in patients with Pierre Robin sequence (PRS). Other more severe cleft-related conditions, such as Tessier-type clefts or amniotic-bandingrelated anomalies are not discussed because of their relatively low prevalence, their phenotypic variability, and the paucity of long-term data for patients with such conditions. In most developed societies, most, if not all, children born with a cleft of the lip or palate undergo some form of surgical intervention to correct their cleft deformity. Nevertheless, numerous studies evaluating isolated populations with unrepaired clefts have been published. Such studies have elucidated the effects of surgical intervention on subsequent maxillofacial growth. Any growth deficiencies seen in individuals with unrepaired clefts may be attributed to intrinsic growth characteristics or to functional distortions, but they are not a consequence of surgical intervention. Atherton26 studied the skulls of 15 subjects with unilateral cleft lip and palate (UCLP) of unknown origin ranging in age from newborn to adult. He observed that the general growth of the maxilla was good and that the deviations of the nasal and vomerine bones that were marked at birth became less extensive with age. Ortiz-Monasterio and colleagues27–29 used cephalometric analysis to assess Mexican individuals with a variety of unrepaired cleft phenotypes and found an increased SNA angle with a protrusive maxilla that was, however, of normal size. Individuals with unrepaired cleft palate (CP) from Puerto Rico were found to have normal maxillary size and position.30–32 Capelozza et al13 and da Silva Filho and colleagues33,34 found that the maxilla in untreated individuals with UCLP from Brazil was smaller and more protruded, whereas individuals with bilateral cleft lip and palate (BCLP) had a prominent premaxilla and an anteriorly worsening maxillary transverse constriction. Other authors have also found a protruded maxilla in Brazilian patients with unrepaired clefts.35 Bishara and colleagues36–38 examined untreated individuals with clefts from two different populations originating in India and Mexico, ranging from 7 to 50 years of age. They concluded that the intermaxillary relation and size on the whole was not significantly different from unaffected individuals and that there was a great similarity in dentofacial relationships among populations. Some differences were identified among different cleft types. Individuals with unilateral cleft lip and alveolus (UCLA) showed a tendency for maxillary protrusion, whereas those with UCLP showed a tendency toward maxillary retrusion. Individuals with unrepaired BCLP exhibited a reduction in intercanine width. Other studies reported that the maxillae of untreated Indian patients with complete clefts are normal in size and somewhat prognathic. In addition, arch length and intercanine distance were found to be essentially normal, but the intermolar distance was increased.39,40 Mars and colleagues8,41–43 evaluated untreated individuals with UCLP from Sri Lanka and reported normal anteroposterior maxillary growth but also progressive anterior arch constriction and an increased overjet. Adult patients had a reduced posterior and anterior height of the basal maxilla. A study on individuals with unoperated UCLP from Burma found that maxillary intercanine width was narrower than that of unaffected controls.44 Studies on Chinese patients with CP have yielded somewhat conflicting results. Some conclude that patients have maxillary retrusion that becomes increasingly prominent with age and a shorter maxillary arch length, with dental arches that are wider posteriorly than control subjects.45,46 Others find normal maxillary growth despite a reduced anteroposterior maxillary length and maxillary retrusion.47 Iwasaki et al48 found a shorter and more retrusive maxilla in unoperated Japanese children with submucous CP. A series of publications from a group of Dutch and Indonesian investigators reported that adults from Indonesia with unrepaired unilateral and bilateral clefts had maxillary arches that were consistently constricted anteriorly.49–53 Few studies exist on patients of African origin with unrepaired clefts. Isiekwe and Sowemimo54 studied Nigerian individuals with UCLP and found that they had decreased SNA and ANB angles with a retrusive maxilla. In contrast, patients with unoperated UCLA had normal maxillary growth. Finnish children with unoperated submucous CP were found to have similar arch dimensions to noncleft children, with the exception of a smaller maxillary arch length, but their maxillae were shorter and more retrusive.55–57 Hermann and colleagues58–60 reported that at 2 months old, Danish infants with isolated CP presented with a short maxilla, reduced posterior maxillary height, and increased posterior maxillary width. At the same age, infants with UCLP showed relative protrusion of the premaxilla, deviated to the noncleft side, decreased length of the basal maxilla, reduced posterior maxillary height, and increased posterior maxillary width. Infants with BCLP showed protrusion of the premaxilla, decreased length of the basal maxilla, reduced posterior maxillary height, and increased posterior maxillary width. When the infants with CP were followed to 22 months, the average craniofacial growth pattern was similar to that of the unaffected control infants, although their maxillae remained shorter and more retrognathic. This review is by no means an exhaustive list of all of the data to date exploring facial growth in patients with unrepaired clefts. In summary, the unoperated cleft maxilla seems to grow reasonably well in the sagittal and vertical planes, although it has been reported by some to be shorter in length. In individuals with complete clefts, there seems to be a transverse deficiency anteriorly, resulting in a reduced intercanine width, with a mild increase in posterior width (without orthodontic intervention). A smaller mandible with a steeper mandibular plane is often seen. Differences among studies can be attributed to the ethnic origin and genetics of the populations studied, inclusion of various cleft subtypes in some samples examined, environmental influences, methods used to evaluate the individuals, inclusion of subjects with partially repaired clefts, wide age ranges, and relatively small sample sizes. Infants with UCLP experience a progressive narrowing of their maxillary arch form anteriorly, which seems to be accelerated by lip and palate repair.61–64 This narrowing typically results in a crossbite at the canines on the cleft side by the time of early mixed dentition1 (Fig. 61-2). Fig. 61-2 Typical intraoral appearance of a patient with unilateral cleft lip and palate in the early mixed dentition demonstrating some degree of arch collapse around the cleft area, with the canine in crossbite. Fig. 61-3 Maxillary retrognathism in a patient with unilateral cleft lip and palate exhibits increasing severity with age. A, At 10 years of age; B, 16 years; and C, 21 years. From the profile standpoint, deficient midfacial growth is an unquestionable finding in repaired UCLP. This involves maxillary retrusion at the anterior nasal spine and cephalometric A point, a shorter and more posteriorly positioned maxilla, and a larger intermaxillary discrepancy65 (Fig. 61-3). Although significant variation has been reported, the maxilla typically has a reduced vertical height. Intercenter collaborative efforts, including the Eurocleft and Americleft studies, have provided valuable data relating to patients with repaired complete UCLP. Significant differences in maxillary prominence were identified among the participating centers in both studies, and these generally corresponded to the differences in soft tissue morphology.66,67 As with every intercenter study, the high number of variables involved precludes direct conclusions regarding the effects of specific procedures or interventions. Perhaps the only exception, common to both studies, was the unequivocal finding that protocols that used infant bone grafting were associated with less favorable maxillary growth. The alleged relationship between UCLP severity and altered dentofacial morphology remains unresolved, although several studies have provided evidence to support this assertion. It has been hypothesized that the larger the cleft, the more severe the tissue deficiency that it represents. This implies that patients with more severe cleft defects may have less favorable long-term maxillary growth potential and poorer dental arch relationships.14,16–19,68–70 Similarly, a more deficient cleft lateral lip height or tissue volume has been shown to be associated with poorer maxillary growth and dental arch relationship.15,20 This hypothesis is not supported by studies that report no association between cleft severity and dental arch relationships or maxillary growth.71–73 One investigation has suggested that larger clefts at birth are in fact associated with fewer subsequent anterior and posterior crossbites, thus supporting the notion that maxillary development is primarily dependent on epigenetic factors (such as the type of treatment performed) rather than on genetics (represented by initial cleft severity).74,75 Using the alveolar cleft width as an indicator of the severity of the original tissue deficiency may be a common methodologic shortcoming of many studies that contributes to the conflicting findings, particularly if one considers that increased cleft width may be a consequence of (or aggravated by) epigenetic factors, such as aberrant tongue placement in the cleft. Despite this, a recent systematic review supported the general perception that cleft severity is negatively correlated with later maxillary growth.76 Table 61-1 Studies on Orthognathic Surgery Rates in Patients With Unilateral Cleft Lip and Palate The percentage of patients with UCLP requiring orthognathic surgery has been used traditionally as an unofficial measure of a success or failure of a particular institution’s protocol. Daskalogiannakis and Mehta77 provided arguments against this practice, as recommendations for orthognathic surgery can be influenced by genetic factors (population bias), by factors such as insurance coverage of such costly surgical procedures, or even by social trends. Ross65 estimated that orthognathic surgery would be necessary in approximately 25% of a sample of males with UCLP to permit adequate functional jaw relations, harmonious facial aesthetics, or both. When considering only investigations that used homogeneous UCLP samples, the reported rates of orthognathic surgery range from 12% to 49%.78,79 Table 61-1 provides a summary of the characteristics of these studies. Significant variation in the percentage of patients with complete UCLP that were determined to require a maxillary osteotomy by individual centers was also reported in the Eurocleft study. These rates were 4%, 7%, 17%, 45%, and 50% in the five European centers involved.80 Protrusion of the premaxilla is known to give infants and toddlers with repaired BCLP an increased profile convexity relative to their peers without clefts.81 From the time of lip repair, anterior projection of the premaxilla is gradually reduced, and the upper incisors exhibit progressive lingual inclination.1,84 A mixed longitudinal study of 90 cases of complete BCLP from Oslo, Norway, showed the SNA angle to decrease gradually until it reached the value of subjects without clefts by age 7 years. However, by age 18 years, the SNA angle of the BCLP sample was 6 degrees less than that of the controls85 (Fig. 61-4). This gradual reduction in facial convexity through relative premaxillary retrusion throughout growth is corroborated by several other studies with smaller samples, although some authors have found it to result in less midfacial retrusion86–90 (Fig. 61-5). The mandible in patients with BCLP seems to be somewhat less prominent on average than that of individuals without clefts at all ages and into adulthood.85,91 Fig. 61-4 Changes with age in angle ANB (degrees) in a sample of patients with bilateral cleft lip and palate (N = 29). A, Individual curves from age 5 to 18 years. B, The distribution of individual values (degrees) at ages 5, 10, 15, and 18 years. C, The distribution of individual change (degrees) from age 5 to 10 years and from age 10 to 15 years. Fig. 61-5 Early profile convexity caused by protrusion of the premaxilla in a patient with bilateral cleft lip and palate gradually turns into a progressively worsening concave profile with age. A, At 5 years of age; B, 11 years; and C, 18 years. Table 61-2 Studies on Orthognathic Surgery Rates in Patients With Bilateral Cleft Lip and Palate Given the previously mentioned growth trends, a relatively high proportion of patients with BCLP have been reported to require orthognathic surgery for their final habilitation. This proportion ranges from 24% to 76%.79,81 Studies reporting orthognathic surgery rates for patients with BCLP are summarized in Table 61-2. Individuals with isolated CP have been shown to have both a reduced anteroposterior maxillary length and maxillary retrognathism.45,47,93–98 Facial balance is generally acceptable, however, because of a degree of coexisting mandibular hypoplasia, resulting in more harmonious maxillomandibular relationships.93,95,96 Other observations include a larger clockwise rotation of the palatal plane and a shorter maxillary arch length.46 When comparing patients with repaired and unrepaired CP, no significant differences have been reported, perhaps supporting the hypothesis that any growth differences are related to intrinsic growth potential as opposed to surgical intervention.47,95,96 Palatoplasty in patients with CP does not seem to have an effect on the anteroposterior position of the maxilla, despite leading to a shorter posterior maxillary height and a more pronounced clockwise rotation of the palatal plane99 (Fig. 61-6). In support of the theory of intrinsic tissue deficiency, some authors have noted the size of the original palatal cleft defect to be related to the severity of future maxillary growth deficiency that will develop. A shorter maxillary length and more retrusive maxilla have been found in patients with wider clefts and in those with more extensive palatal cleft defects in the anteroposterior dimension.100–102 These differences, however, are not confirmed by all studies.70,103 A recent CT-based study suggests a possible correlation between vomer development and sagittal maxillary growth in patients with unoperated submucous CP.104 Patients with maxillary retrognathism were reported to have a poorer attachment of the vomerine bone to the palatal plate than those with normal maxillary growth, implying that the vomer might play an important role in midfacial growth in anterior and posterior directions. In consideration of the transverse dimension, reports are also contradictory. Some studies have shown that the transverse dentofacial morphology and growth of children with repaired CP does not differ from that of unaffected children.105 Patients with isolated CP are reported to have narrower dental arches compared with controls without clefts, but also compared with patients with submucous CP.55,57,106,107 Conversely, patients with unrepaired CP are believed to have dental arches that are wider posteriorly than those of controls without clefts.49 Fig. 61-6 Growth trends at various facial landmarks in a population of patients with repaired isolated cleft palate (stippled; n = 30) compared with controls without clefts (no fill; n = 30) from the Burlington Growth Study. The size of the arrows represents the respective growth increments between ages 6 and 15 years in the two groups. With regard to techniques of palatoplasty, investigators have compared the Warder-Kilner and von Langenbeck repairs and have found no significant differences with respect to their effect on future growth.25,94 Timing of surgical repair also seems to have little influence on the maxillary growth of patients with isolated CP.108 The proportion of patients with CP who require orthognathic surgery at skeletal maturity is comparatively small, implying a relatively low rate of patients developing severe skeletal dysplasia with growth. This may also be related to the fact that the intermaxillary relationship in patients with CP is usually reasonably good, even though a bimaxillary retrognathism is common. Posnick and Taylor,109 using data provided by Ross,65 extrapolated that approximately 20% of patients with repaired CP would go on to develop maxillary hypoplasia not treatable by orthodontics alone. Actual reported rates of orthognathic surgery in patients with CP from different institutions vary from 0% to 40%,79,83 as illustrated in Table 61-3. Interestingly, these include surgery for both skeletal class III as well as class II malocclusions. Individuals with isolated cleft lip are reported to have a near-normal craniofacial morphology from infancy to adulthood.112,113 Most available data come from early studies, confirming that the craniofacial morphology of individuals with cleft lip is similar to that of subjects without clefts.7,114–116 Friede et al117 compared children with isolated cleft lip without cleft alveolus and those with cleft alveolus and found differences in the position of the anterior nasal spine. However, these differences were not quantified. Children with bilateral clefts of the primary palate (clefts of the lip and alveolar process) exhibit an increased maxillary length and more protrusive maxilla than children with complete BCLP.118 A more recent study suggests that children with unilateral or bilateral complete clefts of the primary palate have normal midfacial growth compared with age-matched controls without clefts.119 This subgroup of patients has received little attention in the literature. All available evidence indicates that individuals with repaired isolated cleft lip with or without clefts of the alveolar process present with normal or near-normal midfacial growth. Restoration of acceptable form and function in a patient with CLP involves the multidisciplinary management of deformities involving the upper lip, nasal tissues, alveolar process, palate, and developing dentition. Various techniques have been employed to help align both the osseous and soft-tissue structures of the segments of the cleft before surgical repair. These techniques comprise simple or more complex passive or active acrylic appliances aimed at repositioning the alveolar segments and reducing the width and severity of the cleft, collectively known as presurgical infant orthopedic (PSIO) treatment.120,121 This type of treatment is generally combined with some type of lip taping across the cleft to mobilize the lateral lip elements and approximate them to facilitate lip repair. The dentomaxillary advancement (DMA) appliance, developed by Latham,122 is an active, pin-retained device that forces the maxillary alveolar segments toward each other in a predetermined manner by activating a screw. The appliance advances and expands the lesser segment of the unilateral cleft, while the greater segment is retracted posteromedially. The bilateral version of the same pin-retained appliance uses screw activation to retract the premaxilla while expanding the mesial aspects of the posterior alveolar segments. This type of appliance has arguably generated the most criticism regarding its potential long-term inhibitory effect on maxillary growth, perhaps because of the forceful nature of cleft segment approximation. Berkowitz123 reported that children with BCLP who underwent Latham appliance treatment and Millard lip repair presented with midface retrusion by the age of 9 years, requiring the use of maxillary protraction. Henkel and Gundlach124 documented that a group of 55 patients with UCLP and BCLP treated with the Latham appliance and gingivoperiosteoplasty (GPP) at 5 months of age according to the Millard protocol had decreased maxillary length and an increased frequency of posterior crossbites compared with 86 control children treated by the same surgeon with a conservative protocol. They also theorized that the higher frequency of anterior open bites seen in the Latham and GPP group was a consequence of vertical alveolar growth disturbance caused by the GPP and recommended that the Latham and GPP treatment be abandoned. On the other hand, investigators at Boston Children’s Hospital compared the dental models of 19 patients with complete UCLP treated with a Latham appliance and GPP with those of 21 patients with complete UCLP treated by the same surgeon using an earlier protocol with a lip adhesion at 1.5 months of age and no Latham appliance or GPP.125 The mean age at the time of assessment was roughly 7.25 years for both groups. No significant difference was found between the mean GOSLON scores of the two groups, which at 3.30 and 3.21 were quite high relative to the published Eurocleft and Americleft means (the lower the GOSLON score, the more favorable the dental arch relationship). Few studies in the literature evaluate the effects of the Latham appliance on subsequent dentofacial growth. An added complication stems from the fact that the Latham appliance was originally meant to enable approximation of the cleft segments to a degree that enables a GPP, so most reported samples of patients who have been treated with this protocol have had both procedures. As a result, when interpreting the results of studies evaluating subsequent growth, deciphering the contribution of the Latham appliance itself versus that of the GPP to the ultimate degree of growth inhibition. In the early 1990s, Grayson et al126 introduced a type of PSIO procedure combining an orthodontic intraoral device with a nasal stent. They termed the procedure nasoalveolar molding (NAM). This technique, discussed elsewhere in this text, has enjoyed increasing popularity over the last two decades, mainly because of its claimed advantage over more traditional methods of PSIO in exploiting the malleability of immature nasal cartilage, perhaps enabling a more anatomically appropriate and aesthetic repair of the alveolar process, lip, and nose.126 Whether PSIO therapy has merit for the treatment of patients with CLP is a matter of long-standing controversy. Advocates claim that its use significantly enhances the ability of the interdisciplinary team to achieve superior nasolabial aesthetics by improving nasal symmetry while facilitating the surgery itself.127–129 Skeptics have commented on the potential inhibition of future maxillary growth and on the added expense and burden for little or no added benefit, because lip repair itself may have the same effect in reducing the width of the alveolar cleft.64,65,130–138 Unfortunately, little high-quality evidence on PSIO exists to date in the literature, with the exception of a large-scale prospective clinical trial conducted in the Netherlands, Dutchcleft.64,139 This study found that PSIO did not prevent collapse of the alveolar arches, nor did it improve the maxillary arch dimensions of children with complete UCLP by the age of 6 years compared with no PSIO treatment. As a result of this study, PSIO was abolished from the treatment protocols of all Dutch cleft centers. The PSIO in this study was continued to the time of palate repair (approximate age of 12 months), which is much longer than the typical PSIO application in most centers (where it is terminated at lip repair). The Dutchcleft study did not evaluate NAM, because this procedure was not employed in the Netherlands. Thus the Dutchcleft study has demonstrated beyond reasonable doubt that alveolar molding offers no long-term advantages. The remaining question is whether the immediate benefits of nasal molding offered by NAM are maintained in the long term. In addition, in the absence of a well-controlled prospective randomized trial, separating the long-term effects of NAM on nasolabial aesthetics from those of the surgical repair technique itself is difficult. Which primary surgical procedure is more responsible for subsequent maxillary growth inhibition is yet another issue of considerable debate. In 1960, based on an observation of 233 UCLP cases, lip repair was first implicated as an equally serious cause of midface growth disturbance as palate repair.140 Up to that point, palate repair was considered to be the primary culprit. The mechanism through which this growth disturbance is believed to occur is the application of pressure on the developing maxilla from the tension produced by the repaired lip and the presence of scar tissue. Capelozza Filho et al10 studied 93 patients with repaired UCLP and found maxillary retrusion in those who had only lip repair. The results in patients who had both lip and palate repair did not differ significantly from those that underwent lip repair alone. They concluded that deficient maxillary growth is mainly a consequence of lip repair, rather than of palatoplasty. Several other clinical investigations comparing patients with UCLP after lip repair alone with others after lip and palate repair, or after no repair at all, also support the notion that lip repair is primarily responsible for the midfacial growth deficiency.8,43,141,142 The variation in the timing of cleft lip repair among centers is certainly lower than that seen with cleft palate repair. The reasons for this are likely related to aesthetic concerns and social pressures rather than to solid scientific evidence. In any case, the timing and technique of lip repair seem to have little effect on the ensuing midfacial growth deficiency.65 However, lip repair may have a more significant growth effect when performed early (at age 2 months or earlier) than when performed at 3 months or later.65 Other authors also have suggested possible differences in maxillary growth attributable to the timing of lip repair.43 Suggested explanations include the possibility of greater harmful effects to growth if surgery is performed during a period of particularly rapid growth or that surgery in smaller individuals perhaps leads to greater tissue trauma and more extensive scar tissue formation. Unfortunately such studies are limited by their inability to control for the considerable variability present within the samples examined, making drawing any definitive conclusions impossible. Analysis of growth of individuals with different cleft phenotypes indicates that primary lip repair seems to have a milder growth restraining effect in patients with isolated clefts of the primary palate compared with those with UCLP.9,143 Once again, this points to the possibility that surgical repair of the lip is probably not the primary cause of the growth deficiency, but when combined with an inherent growth deficit (that is perhaps proportional to the severity of the cleft), it further exacerbates the deficiency. The possible effect of lip adhesion on maxillary growth has received relatively little attention. Some studies find that lip adhesion may ultimately result in a reduction of maxillary length, whereas others suggest only a temporary interference with growth that becomes negligible after palatoplasty.144,145 The deleterious effect of palate repair on maxillary growth is well recognized. Palatal surgery has often been held accountable for the maxillary growth deficiencies seen in individuals with repaired clefts. Elevation of mucoperiosteal flaps and secondary intention healing of denuded areas of bone lead to formation of fibrous scar tissue that is largely considered responsible for the disturbance of ensuing growth. The handling of the soft tissues and mucoperiosteum, as opposed to damage to the underlying bone, is believed to have the greatest growth-restraining effect. Interestingly, comparisons of individuals with UCLP who had primary lip repair alone with those who had both primary lip and palate repair found no differences in facial growth between the two.8,10 This may indicate that what is more important is the surgical procedure that is performed first, regardless of whether it is the lip or the palate repair, and that any secondary surgical procedure minimally compounds the growth disturbance in comparison. However, because no study has been performed wherein individuals have had only palate but not lip surgery, the data are incomplete. In his classic group of studies comparing large cohorts of male patients with UCLP from different centers, Ross65 found no interference with maxillary position resulting from soft-palate repair. Conversely, hard-palate repair was judged to decrease maxillary vertical height, restrict maxillary forward positioning, and even mildly affect maxillary basal bone length. After scrutinizing his findings, Ross65 speculated that it did not matter whether the hard and soft palate was repaired in one or two stages. The technique of palate repair also seemed to have a relatively minor growth-modifying effect. Conversely, the surgeon performing the procedure, rather than the specific technique used, was strongly suggested to have the greatest effect on future facial growth. Given the highly variable number of techniques and protocols used for soft- and hard-palate repair, dissociating the surgical technique from any of the other elements of the patient management protocol (such as the technique and timing of lip repair, presurgical infant orthopedics, surgeon skill and experience, and alveolar bone grafting procedure and timing) is often difficult. All palatoplasty techniques can lead to unfavorable growth outcomes. In an evaluation of Scandinavian centers, the pushback closure method produced the least favorable results.146 Other studies have shown that the von Langenbeck method allows for more favorable growth than the Veau method; no differences between the von Langenbeck versus the Wardill techniques; or more favorable growth with the Furlow palatoplasty technique than the Veau-Wardill-Kilner pushback.147–151 As mentioned previously, although several published studies compare different palate repair techniques in different populations, no reliable overall conclusion can be drawn as to which technique affords the most favorable maxillary growth. The primary drawback of published studies is the limited sample sizes studied relative to the vast variation in cleft management protocols. The effect of using vomer flaps during palate repair is an issue of contention. In the 1970s, poor midfacial growth after palatal repair in which vomer flaps were used led to a drastic decline in the performance of this procedure.152 In the Eurocleft study, however, the centers using a vomer flap ranked quite favorably with respect to maxillary growth.66,153 A recent systematic review comparing maxillary growth after the use of vomer flaps with that after the use of palate flaps for hard-palate repair concluded that, because of the contradictory results and weak evidence, no recommendation can be made.154 More recently, Liao et al155 suggested that in individuals with UCLP, the vomer flap has less significant adverse effects on maxillary growth than the two-flap technique for palate repair, possibly because of reduced scarring in growth-sensitive areas of the palate. The fact that no general agreement has been reached on the optimal timing and staging of palate repair is not surprising. In theory, delayed repair of the palate would be better for maxillofacial growth. This is based on the assumption that the maxilla can be allowed to grow naturally without the influence of the surgical procedure or the resulting scar tissue for a longer period of time, and thus by the time the palate is repaired less growth remains to be affected. When a one-stage palate repair is performed, later repairs have been found to favor a longer and more protrusive maxilla.156 On the other hand, delaying the repair of the palate may be detrimental for speech development. For this reason, most protocols worldwide do not delay the repair of the palate. The concept of a two-stage palatoplasty with delayed hard-palate closure is meant to address this issue by combining a lower risk of maxillary growth disturbance with earlier speech development. The scientific evidence for the benefits of two-stage repair, however, remains unconvincing. Milder maxillary growth restriction has been found in patients with UCLP treated using a staged approach, with the hard palate repaired at 8 years, or after the pubertal growth spurt.157,158 In general, however, postponing hard-palate repair until the age of 8 to 10 years is not believed to offer a significant advantage with regard to maxillary growth.65,159–161 Two recent systematic reviews concluded that the evidence on the effect of one-stage versus two-stage palate repair with delayed hard-palate closure on facial growth is weak and inconclusive.162,163 Individual studies published after these systematic reviews show a tendency toward a more favorable length and protrusion of the maxilla in two-stage palatoplasty approaches.16,164 In addition, two-stage palate repairs have been reported to lead to poorer speech and to yield higher fistula rates than single-stage repairs.16,165,166 In summary, the technique, timing, and staging of palate repair are all important variables that may influence maxillofacial growth. Specific recommendations cannot be made at this point based on the available evidence. Surgical skill and experience are associated variables that are difficult to distinguish from the former, contributing to the overall effect. Primary alveolar bone grafting (ABG) refers to bone grafting performed at the time of primary lip repair. The term is sometimes also used to denote any bone grafting done during the first two years of life or before the eruption of the primary canines. Primary ABG was popular in the 1950s and 1960s, but it has largely been abandoned because of concerns about affecting later maxillary growth.167 An early randomized prospective clinical trial demonstrated the possibility of significant growth disturbances after primary ABG.168–170 Other early studies also had similar findings.171,172 In his classic study evaluating male subjects with UCLP from several international centers, Ross65 reported maxillary growth attenuation in the anteroposterior (maxillary length and protrusion) and vertical (anterior maxillary height) dimensions after primary ABG. The “boneless primary bone graft” (GPP) was introduced by Skoog173 as a way to achieve osseous continuity across the alveolar cleft without a separate bone grafting procedure. Early reports of the use of GPP in patients with UCLP found no transverse maxillary growth impairment by the age of 5 to 8 years.174,175 The same group, however, later published a report stating that delayed periosteoplasty was a superior method, permitting growth of the facial skeleton similar to that in individuals without any ABG procedures.176,177 Skoog’s original technique has since been refined, and the concept has been repopularized primarily by the proponents of nasoalveolar molding.178 Published results from the center that introduced nasoalveolar molding on relatively small samples of patients with UCLP showed no difference in sagittal or vertical maxillary growth between patients who had GPP and those who did not.178,179 In a more recent study, patients with BCLP who underwent both a GPP and secondary ABG were compared with another cohort who only had secondary ABG and no GPP. No difference was found between the two groups in terms of maxillary protrusion or length. However, more crossbites and more severe malocclusions were reported in the GPP group.180 Most studies from the last two decades have demonstrated greater growth disturbance in the anteroposterior and vertical dimensions of the maxilla after primary ABG or GPP procedures in patients with UCLP or BCLP.124,181–192 Patients who underwent GPP also have been shown to have poorer occlusal relationships than those who did not using the GOSLON yardstick.193,194 When they evaluated a large sample of patients with UCLP, Hsieh et al18 found GPP to be one of the predictors for poor maxillary growth. Nevertheless, GPP seems to have a milder effect on vertical maxillary development than does primary ABG.195,196 In conclusion, primary ABG has a detrimental effect on ensuing craniofacial growth and development. The only center performing primary ABG among those that participated in the Eurocleft study was shown to have obtained less favorable results.66 Similarly, in the Americleft study, the only center that performed primary ABG displayed the least favorable maxillary prominence and maxillomandibular relationships.67 The respective centers have since eliminated primary ABG from their protocols. Although less clear, the GPP procedure seems to have a similar growth-inhibitory effect, perhaps to a lesser degree. Secondary ABG was introduced by Boyne and Sands197 and is currently considered the standard for reconstruction of the osseous ridge in patients with alveolar clefts worldwide. Relatively few reports are available on the effects of secondary ABG on maxillary growth. Ross65 analyzed cases from three different centers who performed secondary ABG and cautioned that if performed after age 9 years, ABG does not seem to cause anteroposterior growth disturbances but may adversely affect the vertical dimension of the anterior maxilla. Enemark et al198 reported that secondary ABG, whether performed before or after the eruption of the permanent canine, resulted in no significant differences in sagittal maxillary growth in patients with UCLP or BCLP. However, patients who underwent secondary ABG showed reduced vertical maxillary growth compared with nongrafted individuals with the same original cleft defects. Subsequent studies by Semb199 and Daskalogiannakis and Ross200 found no evidence of anteroposterior or vertical growth disturbances in patients with UCLP who had undergone secondary ABG between the ages of 8 and 12 years. Similar findings were later reported by other authors.201,202 Therefore secondary ABG does not seem to adversely affect maxillary growth, at least not in a consistently evident manner. Occasionally, the premaxilla in a patient with BCLP presents with extreme protrusion or with gross vertical overdevelopment or underdevelopment. Surgical repositioning of the premaxilla, requiring vomerine osteotomy, may be indicated in some such cases. In general, surgical repositioning of the premaxilla may be performed at one of three main time points: (1) primary (in conjunction with or to facilitate lip or nose repair), (2) at the time of secondary alveolar bone grafting, or (3) at the time of orthognathic surgery. Primary surgical repositioning of the premaxilla may be proposed for patients who have not received the benefits of PSIO. This practice has largely been discarded, however, because of early evidence of severe disturbance of subsequent maxillary development.90,203,204 The published literature on secondary repositioning of the premaxilla comes mainly from the Netherlands. Heidbüchel et al88 reported that a sample from Nijmegen who underwent secondary premaxillary osteotomy had more convex profiles by age 17 years than a sample of patients with BCLP from Oslo, Norway, who did not undergo premaxilla repositioning. Samples from the same two centers were also compared by Geraedts et al,205 who found similar profile convexity in the two groups. However, maxillary measurements such as SNA and S-N-ANS angles by age 17 years were more favorable in the group that did not undergo repositioning of the premaxilla. The discrepancy may be explainable by the more significant mandibular retrognathism that has been reported in the general Dutch population.206 Padwa et al207 found no significant difference in the facial growth of patients with BCLP who underwent premaxillary osteotomy before age 8 years compared with those who had the procedure after age 8 years and those who had no premaxillary osteotomy at all. Long and McNamara208 observed that patients who underwent pharyngeal flap surgery demonstrated a decrease in facial axis angle and increases in Frankfort-mandibular plane angle and lower anterior facial height. On the other hand, studies by Semb and Shaw209 and Ren et al210 found no demonstrable interference with long-term facial growth in patients with clefts after pharyngeal flap surgery. Pierre Robin sequence (PRS) was originally described as the coexistence of glossoptosis, mandibular micrognathia, and airway obstruction. Patients with PRS may also have cleft palate.211 In clinical reality, PRS is a diagnostic label usually assigned to neonates with varying degrees of feeding or respiratory distress. The term sequence reflects the hypothesis that the mandibular micrognathia is the primary feature that leads to the other two conditions.212,213 PRS may be an isolated entity or may present as part of one of several syndromes (such as Stickler syndrome or velocardiofacial [22q11 deletion] syndrome). The cause of the micrognathia of the mandible is uncertain and may vary. One popular theory suggests that mandibular growth is restricted mechanically because of compression against the sternum as a result of increased intrauterine pressure.214–216 If this theory is correct, some degree of compensatory (“catchup”) mandibular growth could reasonably be expected to occur after birth to restore the “intended age-appropriate mandibular size.” This concept has been widely argued in the literature, and PRS is considered by some to be one of the conditions that improve with age. Figueroa et al217 reported evidence of “partial catch-up mandibular growth” in 17 infants with PRS followed between ages 3 months and 2 years. However, several later studies have challenged this concept, reporting no evidence of catch-up mandibular growth to the late teens218–223 (Fig. 61-7).
Facial Growth and Development in Individuals With Clefts
John Daskalogiannakis, Gregory S. Antonarakis
KEY POINTS

GROWTH IN PATIENTS WITH UNREPAIRED CLEFT LIP AND PALATE
GROWTH IN PATIENTS WITH REPAIRED CLEFTS
Unilateral Cleft Lip and Palate


Daskalogiannakis and Mehta77
Oberoi et al78
Good et al79
Cohen et al81
Schnitt et al82
DeLuke et al83
TOTAL
Bilateral Cleft Lip and Palate


Daskalogiannakis and Mehta77
Good et al79
Cohen et al81
Heliövaara et al91
Xu et al92
TOTAL
Cleft Palate

Isolated Cleft Lip With or Without Cleft Alveolar Process
EFFECT OF SPECIFIC INTERVENTIONS
Presurgical Infant Orthopedic Treatment
Lip Repair
Palate Repair
Primary Alveolar Bone Grafting and Gingivoperiosteoplasty
Secondary Alveolar Bone Grafting
Surgical Repositioning of the Premaxilla
Surgery for Velopharyngeal Dysfunction
GROWTH IN PATIENTS WITH PIERRE ROBIN SEQUENCE
Facial Growth and Development in Individuals With Clefts
Number of Patients Who Required Surgery
Sample (N)
Percentage
102
211
48
35
286
12
16
33
49
10
38
26
7
22
32
5
15
33
175
605
29
Number of Patients Who Required Surgery
Sample (N)
Percentage
84
129
65
13
17
76
7
29
24
25
38
66
40
99
40
169
312
54






