Bullous Lesions on a Chronic Cutaneous Plaque



Figure 8.1 
Multiple erosions and loose blisters on the base of the red brown indurated plaque with raised sharp borders and atrophic center on right upper chest with extension to the arm



A322475_1_En_8_Fig2_HTML.jpg


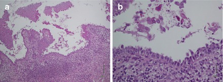
Figure 8.2 
(a) Suprabasilar acantholysis within the epidermis. Dense granulomatous aggregations in the dermis. (b) row of tombstones appearance of the basal cells


Based on the case description and photograph, what is your diagnosis?

1.

Pemphigus vulgaris developed on cutaneous tuberculosis

 

2.

Transient acantholytic dermatosis

 

3.

bullous sarcoidosis

 

4.

bullous lupus erythematosus

 


Diagnosis


Pemphigus vulgaris on a background of cutaneous tuberculosis (Lupus Vulgaris)

PCR evaluation for Mycobacterium tuberculosis (TB) DNA within the tissue was positive. Direct Immuno Fluorescence (DIF) examination revealed the intercellular IgG and C3 deposition.

The patient was treated with Isoniazid (300 mg/day), Pyrazinamide (1,750 mg/day), Ethambutol (1 g/day) mg/day and Prednisolone 100 mg/day. The lesions were significantly improved in 2 months (Fig. 8.1b). The anti-TB regimen was completed for 6 months and the steroid was tapered (Fig. 8.3). He was on complete remission on therapy in the 1 year follow up.

A322475_1_En_8_Fig3_HTML.gif


Figure 8.3
Improvement of lesions in 6 moth follow up shows the post inflammatory hyperpigmentation and central scar


Discussion


Our patient presented for the first time in the literature the PV induced on the site of cutaneous tuberculosis. The diagnoses were confirmed through histopathology, PCR and DIF evaluations and the lesions responded to the treatment of oral corticosteroid for PV and three-drug regimen for Lupus Vulgaris.

There are avfaew cases demonstrating the initial localization of pemphigus on the site of pre-existing dermatosese [1] and cutaneous injuries such as surgery [2], radiation [3, 4], cosmetic procedure [5] and burns [6]. Meanwhile, more than a chance finding, these would be potential interests for further research on the pathogenesis. It is also unusual for lupus vulgaris to only present on the chest without facial involvement and without a vaccination.

Only gold members can continue reading. Log In or Register to continue

Stay updated, free articles. Join our Telegram channel

Jul 8, 2017 | Posted by in Dermatology | Comments Off on Bullous Lesions on a Chronic Cutaneous Plaque

Full access? Get Clinical Tree

Get Clinical Tree app for offline access