Figure 11.1
Ill defined, grouped, erythematous vesicles, some with erosions topped with crust on the right side of the face
On examination, he had grouped, red erythematous vesicles, some with erosions topped with crust on the right side of the face (Fig. 11.1). Further examination showed well-defined, red erythematous patches and plaques with erosions on the posterior thighs; these lesions were noted few weeks before the onset of the painful left thigh (Fig. 11.2).


Figure 11.2
PV flare-up 7 weeks prior to the current admission (left)
There was no fever, vomiting, headache, anorexia, weakness, cough or joint pain. No abnormality was detected on blood tests and X-ray of the left femur. Based on the case description and photograph, what are your diagnoses?
1.
PV (flare-up) and cellulitis
2.
Herpes Zoster and abscess
3.
Impetigo and cellulitis
4.
Herpes simplex virus (HSV) infection and abscess
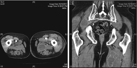
Core temperature was measured to detect constitutional signs for systemic infection despite the absence of fever, chills and sweats on patient history. Skin swab of the erosions on the face was sent for viral PCR testing, Gram stain and bacterial culture. Samples of the thigh swelling were taken for bacterial culture using ultrasound-guided percutaneous aspiration, but the residual amount of pus was significant, with reoccurrence of abscess. Follow-up CT scans showed loculated abscesses within the left adductor muscles (Fig. 11.3).


Figure 11.3
CT scan with contrast of the thighs showing bilateral collections within the adductor muscles; transverse section (left), coronal view (right)
The largest collection was located in the left adductor magnus, measuring 3 × 3 × 7 cm in antero-posterior, transverse and craniocaudal diameter. The small collection lied superiorly in the adductor brevis muscle, measuring 2.5 cm. There were poorly circumscribed, low-density changes in the right adductor brevis muscles, measuring 1.8 cm in the axial plane. This suggested the formation of an early collection at an adjacent site.
Empirical treatment of valaciclovir 500 mg bd for herpes was initiated. Bacterial culture revealed growth of Methicillin-Resistant Staphylococcus aureus (MRSA) from the thigh abscess, while the lesions on the face revealed presence of HSV. He was admitted to the hospital for further incision and drainage of the left thigh abscess in the operating theatre. He was given intravenous vancomycin therapy for 2 weeks. Upon completion of vancomycin, he was discharged with oral rifampicin 300 mg bd and fusidic acid 500 mg bd for 1 month to treat the MRSA infection. The valaciclovir was continued for the treatment of HSV infection. Methotrexate was discontinued, while prednisone was tapered to 40 mg/day from the week of admission until discharge. After the antibiotics regime, he was started on mycophenolate mofetil as adjuvant treatment for his PV.
Diagnosis
Herpes simplex virus (HSV) infection and abscess
Discussion
PV is an autoimmune intraepithelial blistering disease affecting mucosal and/or cutaneous tissues due to IgG antibodies attacking desmosomes leading to loss of cell-cell adhesion of keratinocytes, resulting in acantholysis [2]. Patients with autoimmune blistering conditions are susceptible to systemic infection due to long term use of immunosuppressive medications, which are the mainstay of treatment. The patients are also predisposed to developing secondary skin infections due to epidermal damage when vesicles rupture and release exudates that nurture pathogen colonisation. In addition, patients with autoimmune disease have deregulated innate immunity [14]. Higher infection risk is associated with multiple hospital admissions, increased disease severity and presence of diabetes mellitus. Staphylococcal aureus and Escherichia coli are common infective agents and 9.68–17 % of PV patients may suffer from localised herpes virus infection [8].
There have been multiple reports on the association of HSV infection and PV, especially in cases of relapse of PV or in patients who are unresponsive to immunosuppressive therapy [4, 5, 6]. HSV is transmitted through direct contact of infectious secretion with the mucous membrane or damaged skin. It may be latent in the ganglia, or reactivate as the virus travels through peripheral sensory nerves to the skin [3].
Stay updated, free articles. Join our Telegram channel
Full access? Get Clinical Tree




