Fig. 15.1
Image of a left flail chest (red ellipse) with associated subcutaneous emphysema (red arrow)
Soft tissue emphysema is another common abnormality that is often identified on radiographic imaging (Figs. 15.1 and 15.2). The presence of soft tissue gas should alert you to look for additional intrathoracic pathology. The most common scenario is subcutaneous air with ipsilateral rib fractures. This constellation of findings should be presumed to signify a pneumothorax, even if not readily identifiable on the radiograph.


Fig. 15.2
Subcutaneous emphysema (red arrows) in a patient with no other radiographic findings
15.4.2 Pleura and Lung Parenchyma
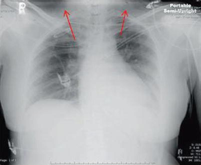
Pneumothoraces are common complications after penetrating thoracic injury and occur secondary to disruption of the alveoli and lung parenchyma leading to leakage of gas into the interstitial space. The most frequent radiographic finding is the “visceral-pleural line” (Fig. 15.3) in the apical-lateral lung field representing separation of the normally apposed visceral and parietal pleura. Pneumomediastinum is also frequently encountered and is most commonly due to pulmonary-alveolar rupture. These radiographic signs can vary from subtle findings to gross abnormalities. Trauma patients are often in the supine or semirecumbent position when the portable chest x-ray is acquired. In these positions, it has been reported that up to 30 % of pneumothoraces are not visualized. Patient positioning can be changed to increase radiographic sensitivity but is often not feasible in the trauma setting. Instead you should be aware of other places that the pneumothorax may be visualized, namely, the anteromedial and subpulmonic recesses (Fig. 15.4). Other less common imaging findings present with a pneumothorax include a hyperlucent upper abdomen, sharply demarcated diaphragm, demarcation of the inferior surface of the lung, and the “deep sulcus sign” (Fig. 15.3).



Fig. 15.3
Image of a large left pneumothorax after line placement. Visceral-pleural line clearly seen (white arrows), with a hyperlucent upper abdomen (red asterisk) and deep sulcus sign (red arrow)

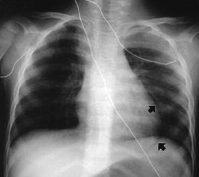
Fig. 15.4
Subtle anterior pneumothorax in anteromedial (superior black arrowhead) and subpulmonic (inferior black arrowhead) recesses
Hemothorax is another common pleural abnormality after penetrating trauma. The source of bleeding may be from the chest wall, intercostal arteries, internal mammary arteries, lung parenchyma, heart, or mediastinal vessels. Typically, a volume of 200–300 mL is necessary to be picked up on conventional chest x-ray. These radiographic findings are due to radiodense blood collecting in the pleural space. Presentation may vary from an opacified hemothorax (Fig. 15.5) to a subtle blunting of the involved costophrenic recess. Because blood serves as an excellent culture medium for bacteria, drainage is important for significant collections. Often after tube thoracostomy, “follow-up” chest x-rays are obtained daily to judge adequacy of drainage. We caution against this practice as they are often misleading in determining the amount of residual blood in the thoracic cavity. Computerized tomography is much more accurate in evaluating which patients will require further evacuation and has been proven in a prospective trial.


Fig. 15.5
Large right hemothorax (red asterisk) after penetrating trauma (red arrow)
Parenchymal injuries to the lung itself are also regular findings on chest radiography after penetrating injury. Pulmonary contusions occur after disruption of the alveolar capillaries and interstitial blood vessels along the tract of injury. This leads to hemorrhage into the surrounding lung tissue and edema. Contusions appear as “ground-glass” peripheral air-space opacities, which may not be apparent on the initial radiograph. These infiltrates typically develop within 6 h of injury and begin to resolve over the next several days. Contusions may take up to 2 weeks to completely clear from the patient’s chest x-ray. Pulmonary lacerations often may have the same radiographic appearance as contusions. However, blood may fill a laceration cavity incompletely, resulting in a clot with a small air crescent known as the “air-meniscus” sign. Pulmonary lacerations also resolve over a longer period of time (generally 3–5 weeks), which allows them to be distinguished from contusions radiographically.
15.4.3 Mediastinum
Cardiac injuries are difficult to diagnose on plain films but can be associated with subtle imaging findings. Irregular convexities of the heart border or marked shift of the cardiac silhouette can signify underlying heart injury or cardiac herniation. A globally enlarged heart (“water-bottle” sign) can signify a pericardial effusion in rare cases.
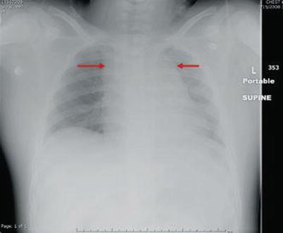
Great vessel injury is predominantly secondary to penetrating injury and often presents as a widened mediastinum (>8 cm) on chest x-ray (Fig. 15.6). Rather than pulling out a measuring tape, a quick method that we find useful is to hold a pager longitudinally across the mediastinum to see if its diameter is greater than that of the pager. The differential diagnosis for a widened mediastinum should also include sternal fracture, thoracic vertebral fracture, or ligamentous injury. Other abnormalities that may be encountered with great vessel injury include the apical cap, loss of aortic contour, tracheal/esophageal deviation to the right, depression of the left main stem bronchus, or a left pleural effusion. The accuracy of chest x-ray for screening for aortic/great vessel injury has been called into question since the advent of multi-slice computed tomography (CT). At our own institution, we found that liberal use of chest CT did not disclose an increased incidence of aortic injury in the blunt setting, but in those with high Injury Severity Score (ISS) (>27) and other significant other injuries (i.e., pelvic fracture), chest x-ray was inadequate in 13.9 %. It is difficult to extrapolate this data to those with penetrating injury. A single center experience with penetrating trauma to upper thorax was able to retrospectively validate the use of clinical exam and chest radiography in accurately excluding great vessel injury in those with negative clinical and radiologic exams. However, if you are suspicious of a major vascular injury based upon trajectory (i.e., transmediastinal) or physical examination, then there is no question that additional imaging is necessary in the hemodynamically stable patient.


Fig. 15.6
Widened mediastinum (red arrows) after penetrating injury to thorax
Tracheobronchial injuries occur almost twice as commonly in the blunt setting compared to penetrating trauma. Early radiographic findings may include subcutaneous emphysema, pneumothorax, or pneumomediastinum. Classic radiographic signs (albeit rare) associated with tracheobronchial injury include the “double wall” sign that occurs secondary to intramural gas in the proximal-transected airway and the “fallen lung” sign associated with inferior lung collapse. More commonly, encountered findings clinically are increasing soft tissue emphysema and persisting/enlarging pneumothorax despite adequate tube thoracostomy drainage (often with a large continuous air leak). Occasionally, frank herniation of the endotracheal tube through the tracheal defect may occur.
Esophageal injuries secondary to trauma account for 10–20 % of all injuries. An injury tract traversing the mediastinum should make one suspicious for aerodigestive injury. The most common findings on plain films include cervical emphysema, pneumomediastinum, and a left pleural effusion. Contrast esophagography under conventional fluoroscopy is the confirmatory test of choice.
15.4.4 The Asymptomatic Patient
We have presented multiple injury scenarios in the preceding paragraphs, but what about the asymptomatic patient who has just sustained a penetrating injury to the thorax? Up to 60 % of civilian penetrating thoracic injuries are asymptomatic and have normal chest x-rays upon presentation. Delayed complications after penetrating chest x-ray such as hemo-/pneumothorax are well known and occur in 8–12 % of patients. There is a general agreement that these asymptomatic patients typically only require observation with repeat chest radiography. Most centers will repeat imaging at a 3 h interval. However, a recent prospective trial found that there was no increased incidence of delayed injury when shortening the period of observation and repeat chest x-ray from 3 to 1 h. We agree with and strongly recommend this shortened observation period in the asymptomatic patient. This change in management has the potential to reduce crowding in the emergency room, decrease patient radiation exposure, and improve patient compliance.
Stay updated, free articles. Join our Telegram channel
Full access? Get Clinical Tree



