Elevated/Pink-Clear/Multicolored
Step 1: Is the lesion flat or raised? Elevated
Step 2: What color is the lesion on clinical assessment? Pink-Clear
Step 3: What is the dermoscopic color? Multicolored—can include brown, yellow, or blue-gray, but not white
Step 4: Is further elucidation needed to decide whether to biopsy or not? Yes Is this a malignant or benign pattern?
Take a look at the color wheel in Figure 7.1.
Our differential is still very similar to the Flat/Pink-Clear/Multicolored ones, but, with a few differences in patterns you may see additionally, amelanotic melanoma is off our differential—you can breathe a sigh of relief! However, our malignant possibilities still include squamous cell carcinoma (SCC) and basal cell carcinoma (BCC).
Our benign lesions include dermatofibroma, seborrheic keratosis/lichen planus-like keratosis, intradermal nevi, and seborrheic hyperplasia.
Benign Lesions
Nonpigmented (Pink) Seborrheic Keratoses
Pearls
Elevated/Pink-Clear/Multicolored.
We saw these in our Flat/Pink-Clear/Multicolored differential, but they can also be elevated.
These can be difficult to differentiate from SCC, but look for pattern clues to help you!
Step 4 Patterns: Moth-eaten or sharp borders, fingerprint patterns, ridges, comedo-like openings, and milia-like cysts.
Bottom line: Benign, biopsy not necessary.
Examples
Figure 7.2 shows a clinically slightly elevated, pink or skin-colored lesion with a multicolored (brown + pink + yellow) dermoscopic pattern (Figure 7.3). This presentation can be difficult to differentiate from a SCC. Pay close attention to the patterns. You can appreciate the diffuse yellow pigmentation, ridges, and moth-eaten and sharp border. These clues will lead you to consider a nonpigmented SK, rather than an SCC. Diagnosis: Nonpigmented (pink) seborrheic keratoses.
Bottom line: Benign, biopsy unnecessary.
Figure 7.4 shows a clinically elevated, pink/skin-colored lesion (A, B) with a multicolored (brown + yellow) dermoscopic pattern (C). We see very clear demarcated, sharp borders, with a diffuse yellow pigmentation, as opposed to a focal yellow spot. Additionally, this is a great example of the clear ridges and fissure, which is a classic presentation for seborrheic keratosis. Diagnosis: Nonpigmented (pink) seborrheic keratoses.
Bottom line: Benign, biopsy unnecessary.
Figure 7.5 shows a clinically slightly elevated, pink or skin-colored lesion (Figure 7.5A, B) with a multicolored (brown + pink + yellow) dermoscopic pattern (Figure 7.5C). The inflammation of this lesion makes it an “ugly” lesion, and you may be tempted to think of malignancy at first glance, but pay close attention to the patterns. You will see diffuse yellow pigmentation, ridges, and a sharp border. Diagnosis: Nonpigmented (pink) seborrheic keratoses.
Bottom line: Benign, biopsy unnecessary.
![]() FIGURE 7.2 Clinically elevated lesions that are pink or skin-colored, with a multicolored (brown + other = gray, pink, and/or yellow) dermoscopic pattern. |
![]() FIGURE 7.3 Clinically elevated lesions that are pink or skin-colored, with a multicolored (brown + other = gray, pink and/or yellow) dermoscopic pattern. Here, you can see the dermoscopic pattern of Figure 7.2 with motheaten borders and ridges and a diffuse (rather than the localized) yellow pattern seen in malignancies such as SCC and BCC. Diagnosis is a nonpigmented seborrheic keratosis. |
Figure 7.6 shows a clinically elevated, pink/skin-colored lesion (Figure 7.6A, B) with a multicolored (brown + yellow) dermoscopic pattern (Figure 7.6C). This lesion could easily be mistaken for an SCC. However, we can see very clear demarcated, sharp borders, clear ridges and fissures, as well as milia-like cysts and comedo-like openings. Diagnosis: Nonpigmented (pink) seborrheic keratoses.
Bottom line: Benign, biopsy unnecessary.
Dermatofibroma
Pearls
Elevated/Pink-Clear/Multicolored
These raised, palpable nodules often dimple clinically.
Characteristically smooth and well circumscribed.
These scar-like reactions are often seen in older patient populations. You may see a scar-like pattern on dermoscopy.
Step 4 Patterns: See Figure 7.7. Remember your patterns from Chapter 1: faint pseudonet-work-like periphery, pigmented network, central white patch, central vessels and erythema, globule-like/ring-like globules, and crystalline structures.
Also, remember that they can sometimes appear as diffuse dots and resemble a superficial SCC on dermoscopy, but DFs are firmly palpable and raised and therefore cannot be a superficial SCC.
Bottom line: Benign, biopsy not necessary.
Figure 7.8 shows a clinically elevated, palpable, pink lesion (Figure 7.8A, B) with a multicolored (brown + pink) dermoscopic pattern (Figure 7.8C). There is a clear central crystalline scar-like pattern with a faint symmetric pseudonetwork pattern at the periphery. Diagnosis: Dermatofibroma.
Bottom line: Benign, biopsy unnecessary.
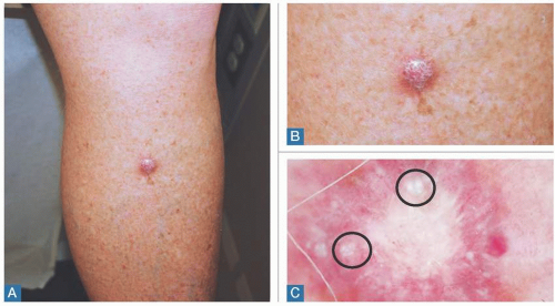
Figure 7.9 shows a clinically elevated, palpable, pink/skin-colored lesion (Figure 7.9A, B) with a multicolored (brown + pink) dermoscopic pattern (Figure 7.9C). You can see the central crystalline scar-like pattern with a faint pseudonetwork pattern at the periphery. Additionally, there are little rosettes circled in black that can often be seen in more elevated or thicker lesions. Diagnosis: Dermatofibroma.
Bottom line: benign, biopsy unnecessary.
Figure 7.10 shows a clinically elevated, palpable, pink/skin-colored lesion (Figure 7.10A, B) with a multicolored (brown + pink + red) dermoscopic pattern (Figure 7.10C). On dermoscopy, you can see a smaller central crystalline scar-like pattern and a more prominent symmetric pseudonetwork-like pattern at the periphery. Additionally, you can see some erythema. Diagnosis: Dermatofibroma.
Bottom line: Benign, biopsy unnecessary.
Figure 7.11 shows a clinically elevated, palpable, pink/skin-colored lesion (Figure 7.11A, B) with a multicolored (brown + pink + yellow) dermoscopic pattern (Figure 7.11C). On dermoscopy, you can see a large central crystalline scar-like pattern with a faint pseudonetwork-like pattern at the periphery. Additionally, we see globule-like structures circled in black. Diagnosis: Dermatofibroma.
Bottom line: Benign, biopsy unnecessary.
Sebaceous Hyperplasia
Pearls
Elevated/Pink-Clear/Multicolored
These pink or skin-colored papules often have a central dell or depression.
They often have a yellow color on dermoscopy that can sometimes be appreciated clinically; we will revisit SHs in Chapter 16.
Irritated sebaceous hyperplasia can clinically look like BCCs and will be important to distinguish with patterns.
Step 4 Patterns: Sebaceous hyperplasia characteristically has yellow-white lobular structures resembling popcorn that appear with serpentine radial vessels resembling a crown. These radial vessels typically do not cross the midline.
Bottom line: Benign, biopsy not necessary.
Figure 7.12 shows a clinically elevated, pink/skin-colored lesion with an appreciable depression in the center clinically. Figure 7.13 shows the multicolored (brown + pink + yellow) dermoscopic pattern. We see the yellow lobular, popcorn-like structures with serpentine, crowning vessels not crossing the midline. Diagnosis: Sebaceous hyperplasia.
Bottom line: Benign, biopsy unnecessary.
![]() FIGURE 7.12 Clinically elevated lesions that are pink or skin-colored, with a multicolored (brown + other = gray, pink, and/or yellow) dermoscopic pattern. |
![]() FIGURE 7.13 Sebaceous hyperplasia. Clinically elevated lesions that are pink or skin-colored, with a multicolored (brown + other = gray, pink, and/or yellow) dermoscopic pattern. Here, you can see the dermoscopic pattern of Figure 7.11, with yellow-white lobular structures that resemble popcorn and serpentine radial vessels that resemble a crown; they usually do not cross the midline. |
Figure 7.14 shows a clinically elevated, pink/skin-colored lesion with a clinically appreciable central depression (Figure 7.14A, B) with a multicolored (brown + pink) dermoscopic pattern (Figure 7.14C). Again, you see the yellow-white lobular, popcorn-like structures with serpentine, crowning vessels. The vessels are not crossing the midline. Diagnosis: Sebaceous hyperplasia.
Bottom line: Benign, biopsy unnecessary.
Figure 7.15 shows a clinically elevated, pink/skin-colored lesion (Figure 7.15A, B) with a multicolored (brown + pink) dermoscopic pattern (Figure 7.15C). Here, you see the entire
lesion is a yellow-white lobular, popcorn-like structure with just a couple of serpentine, crowning vessels. The vessels are not crossing the midline. Diagnosis: Sebaceous hyperplasia.
lesion is a yellow-white lobular, popcorn-like structure with just a couple of serpentine, crowning vessels. The vessels are not crossing the midline. Diagnosis: Sebaceous hyperplasia.
![]() FIGURE 7.15 Clinically elevated lesions that are pink or skin-colored, with a multicolored (brown + other = gray, pink, and/or yellow) dermoscopic pattern. Review these clinical and dermoscopic examples of a sebaceous hyperplasia. A,B: Clinical example. C: The dermoscopic example shows yellow-white lobular structures that resemble popcorn and serpentine radial vessels that resemble a crown; they usually do not cross the midline. Note the central dell visible in this lesion.
Stay updated, free articles. Join our Telegram channel
Full access? Get Clinical Tree
Get Clinical Tree app for offline access
|




















