Actinic granuloma and annular elastolytic giant cell granuloma are different terms used to define skin lesions characterized by elastolysis, elastophagocytosis, and multinucleated giant cell infiltrate. The clinical appearance varies from papules to annular plaques. Although elastolytic actinic giant cell granuloma shares some clinical features with granuloma annulare, they can be differentiated by histopathologic findings. The disease is initiated by an immune response triggered by different factors that alter the elastic tissue. The course tends to be chronic, with variable response to treatments, although spontaneous remission may occur. Diabetes mellitus is the systemic disease most frequently associated with this condition.
Key points
- •
Elastolytic actinic giant cell granuloma is a distinct condition characterized by annular lesions with erythematous borders and central clearance.
- •
Actinic damage is recognized as the main triggering factor, although the pathogenesis of cases in sun-covered areas remains unclear.
- •
A radial ellipse biopsy taken across the ring is recommended for diagnosis. Histologic features are the presence of an inflammatory infiltrate with nonpalisading granulomas and multinucleated giant cells limited to superficial dermis, as well as the absence of mucin and necrobiosis.
- •
Diabetes mellitus is the most frequently associated systemic disease.
Introduction
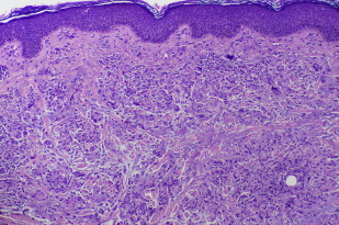
Annular elastolytic giant cell granuloma, also termed actinic granuloma (AG), when it affects sun-exposed skin, is an uncommon granulomatous skin disease. It is characterized clinically by annular plaques with raised erythematous borders that grow centrifugally and leave an atrophic center ( Fig. 1 ). On histopathology the lesions show elastophagocytosis by multinucleated giant cells and marked loss of elastic tissue ( Fig. 2 ). Elastophagocytosis is the phagocytosis of elastic fibers that can be seen microscopically in the cytoplasm of multinucleated giant cells and histiocytes ( Fig. 3 ). This phenomenon is not exclusive to granulomatous disorders; it has been also described in cutaneous malignancies and infections, and can also be drug induced. Although the pathogenesis of elastolytic actinic giant cell granuloma (EAGCG) remains unclear, it is thought that ultraviolet radiation, heat, and other unknown factors might change the antigenicity of elastic fibers.



Introduction
Annular elastolytic giant cell granuloma, also termed actinic granuloma (AG), when it affects sun-exposed skin, is an uncommon granulomatous skin disease. It is characterized clinically by annular plaques with raised erythematous borders that grow centrifugally and leave an atrophic center ( Fig. 1 ). On histopathology the lesions show elastophagocytosis by multinucleated giant cells and marked loss of elastic tissue ( Fig. 2 ). Elastophagocytosis is the phagocytosis of elastic fibers that can be seen microscopically in the cytoplasm of multinucleated giant cells and histiocytes ( Fig. 3 ). This phenomenon is not exclusive to granulomatous disorders; it has been also described in cutaneous malignancies and infections, and can also be drug induced. Although the pathogenesis of elastolytic actinic giant cell granuloma (EAGCG) remains unclear, it is thought that ultraviolet radiation, heat, and other unknown factors might change the antigenicity of elastic fibers.
Etiopathogenesis
AG was first described by O’Brien in 1975. He postulated that actinically degenerated elastotic tissue was the antigenic basis of this condition, suggesting that elastotic fibers could be the direct stimulus for the development of granulomas and considering it as a phenomenon of repair of the damaged connective tissue. O’Brien considered actinic injury as the primary event, supported by the observation that most of the lesions appear in sun-exposed areas of skin, with a characteristic solar elastosis that manifests as basophilic in sensitive hematoxylin-eosin stains ( Fig. 4 ).
Whether it should be considered a specific entity or a subtype of granuloma annulare (GA) is a topic of discussion. The original concept was disputed by Ragaz and Ackerman, who thought that the lesions described by O’Brien were variants of GA in sun-damaged skin. Al-Hoqail and colleagues compared the histologic features of AG and GA located both in sun-exposed and nonexposed areas, concluding that AG was an independent condition that must be differentiated from GA, even in those located in sun-exposed sites. Other investigators supported O’Brien’s concept of AG as a distinct entity. Cases showing characteristics of both GA and EAGCG have been also reported.
The descriptive term annular elastolytic giant cell granuloma was proposed by Hanke and colleagues for lesions identical to AG but located not only in sun-exposed skin. Under this term he grouped other similar conditions, like Miescher granuloma of the face or atypical necrobiosis lipoidica of the scalp and the face. According to this investigator, the association of solar elastosis and granulomatous inflammation does not imply a cause-effect relationship. They prefer a term that is based on the main histologic features. There have been other descriptions that agree with this concept.
O’Brien and Regan refused this term and preferred the original term of AG because “it conceals the intrinsic and true nature of the lesion, that is, it represents an inflammatory reaction in response to actinically degenerated tissue.”
The pathogenesis of EAGCG remains unclear. McGrae suggested an immune response mediated by cells to degenerated elastic tissue, with a predominance of helper T cells in the lymphocytic infiltrate. He also observed differences between the enzymes of the histiocytes of AG and those of GA, supporting that these are different conditions. Elastin peptides are responsible for inducing factor XIIIa(+) cells and macrophages to form granulomas and multinucleated giant cells. Matrix metalloproteinase (MMP)-12, produced by macrophages, is expressed in the infiltrates of EAGCG, explaining the degradation of elastic fibers and inducing the formation of multinucleated giant cells.
Ultraviolet (UV) radiation, especially UVA, because of its longer wavelength, and heat are recognized as causal factors, by changing the antigenicity of elastic fibers and producing an immune response. However, collagen is not affected by actinic radiation. Development of EAGCG has also been reported after prolonged UVA sun-bed exposure and prolonged doxycycline phototoxicity, highlighting the importance of actinic radiation in the cause of this condition. Heat-damaged skin or repeated skin burns can also favor the development of EAGCG.
A case of widespread EAGCG that spared the area of a burn scar with absent elastic tissue supports the theory that the immune response is directed against elastic fibers. A recent case describing a case of EAGCG sparing the striae distensae, where elastic fibers are also absent, underlines the importance of elastic tissue in the pathogenesis of EAGCG.
Clinical presentations
The morphology of AG was initially described as a smooth, elevated, nonscaly, erythematous papule that centrifugally extends to form an annular plaque up to several centimeters in diameter with central clearing, and sometimes atrophy or hypopigmentation. Hair and other skin appendages are preserved. The lesions are usually distributed on sun-exposed areas like the dorsum of the hands, forearms, neck, face, V of neck, and upper back ( Figs. 5–7 ). However, other locations, like the legs, especially in women, are common. People with skin phototype I or II seem to be more affected than people with darker phototypes.
These lesions are usually asymptomatic, although some patients complain of mild pruritus or burning sensation. It can last for months or years until spontaneous remission occurs. Although some lesions resolve, new ones may appear, prolonging the condition.
There are also reports of cases of AG-like lesions in sun-protected areas. O’Brien interpreted these variants as generalized and exaggerated reactions to a minor degree of actinic elastosis.
This condition may present with a single or few lesions or in a generalized fashion.
Papular ( Fig. 8 ) and reticular variants of EAGCG have been described, and can be observed together in the same patient. An exanthematous form of elastolytic granuloma, presenting as an erythematous macular rash, has also been reported. EAGCG can also present as nonscarring alopecia.
Apart from the skin, the conjunctiva can also be affected by this condition, which differentiates it from GA.
Kurose and colleagues reported a case of systemic elastolytic granulomatosis with widespread lesions on the skin and multisystemic involvement with elastolytic granulomas in the uvea lymph nodes, ileum, mesentery, and peritoneum.
The age of presentation generally ranges between 40 and 70 years, although cases in pediatric and young populations have also been documented. This condition affects both sexes equally, although a preponderance of female patients has been also reported in other series.
Besides the clinical variants than have been reported, O’Brien also described 4 pathologic variants of AG. These patterns are only descriptive and may present alone, together, or sequentially.
The giant cell variant is the best known and the most frequent variant of the 4 patterns recognized, accounting for more than 50% of the cases. It is characterized by an interstitial infiltrate that is mainly constituted by foreign body giant cells surrounded by diffuse actinic elastosis ( Fig. 9 ). These giant cells may be found to be digesting some elastic fibers ( Figs. 10 and 11 ). Histiocytes and other inflammatory cells can also be found. In preparations with orcein stain, an absence or scant number of elastic fibers in the residual zone can easily be observed in all the variants ( Fig. 12 ).
The necrobiotic variant, also known as the vascular variant, is the second most frequent pattern. It shows an interstitial infiltrate similar to the giant cell variant ( Fig. 13 ) but, in addition, with foci of necrobiosis ( Figs. 14 and 15 ). It usually has a palisade constituted mainly by giant cells rather than histiocytes. Actinic damage of surrounding vessels in these cases is noticeable.
The third pattern described by O’Brien is the histiocytic variant. In this subtype, histiocytes are the dominant cells in the infiltrate ( Fig. 16 ). These cells also produce elastolysis by releasing elastases. O’Brien postulated that many AGs could begin showing this pattern and then evolve to other histologic variants.


