Grade
Description
I
Hematoma of one portion or partial thickness laceration
II
Hematoma of more than one portion or laceration <50 % of circumference
III
Laceration 50–75 % of circumference
IV
Laceration >75 % of circumference or involving ampulla
V
Massive destruction of pancreatoduodenal complex
46.1 General Rules of Operative Strategy
You should always use a midline laparotomy to approach duodenal injuries. Other incisions usually compromise the ability to explore the rest of the abdominal cavity adequately and are more time-consuming to open and close. There are two extremely important issues to which you should pay attention at the beginning of the operation:
- (a)
Mobilize the duodenum fully by a Kocher maneuver (Fig. 46.1). The duodenum must be brought at the surface of the abdominal wound. Avoid working in the depths of the abdominal cavity. For non-trauma operations, the Kocher maneuver is typically limited to the C-loop of the duodenum. I strongly discourage this. Because it is rare that only the duodenum is injured and because adjacent structures are involved and need exploration, you should mobilize the right colon and the duodenum widely toward the midline. Incise the peritoneum at the ileocecal junction and carry the incision with scissors lateral to the cecum and descending colon along the white line of Toldt. Use your fingers to create tissue planes as you incise the soft tissues layer by layer and gently retract the colon medially. Stay away from the mesocolic vessels to avoid inadvertent bleeding and interruption of blood supply to the colon. Navigate laterally around the hepatic flexure and mobilize it similarly toward the midline. At this point you have the entire colon elevated from the duodenum, which is lying attached to the retroperitoneal space. Incise the peritoneum around the lateral surface of the duodenal C-loop and gently mobilize the duodenum (with the attached pancreatic head) toward the midline too. Your Kocher maneuver should be wide and include the entire duodenum from its first to its fourth portion. The duodenum and pancreatic head should be easily inspected anteriorly (Fig. 46.2a) and posteriorly (Fig. 46.2b). The inferior vena cava lying posteriorly and slightly laterally to the second portion of the duodenum should also be inspected for hematomas. There is no need to skeletonize it, if no hematoma exists. Similarly, the portal triad can be inspected for hematomas – although again not necessarily requiring full dissection in the absence of suspicion for injury. Only if the duodenum is mobilized in this extensive fashion, you will be sure to never miss an injury and have the ability to fix it comfortably if one is present.

Fig. 46.1
(a) Extended Kocher maneuver. Note that the peritoneal incision starts at the distal ileum, and the entire right colon is reflected medially. (b) The duodenum is fully mobilized, making it possible to inspect the pancreas, Inferior vena cava IVC, and retroperitoneal space

Fig. 46.2
(a) Full mobilization of the duodenum revealing the anterior surface of the head of the pancreas. Note the clamp that closes the laceration temporarily to control contamination. (b) The posterior surface of the duodenum and head of the pancreas are also easily inspected after the Kocher mobilization
- (b)
Control temporarily the Duodenal Injury (DI) but explore the entire abdominal cavity before performing a permanent repair. Although an atraumatic clamp or quick suture can be temporarily placed to control contamination from the duodenal perforation, the definitive operation should not be planned before the abdomen is fully explored. It is in this way that the decision is made to proceed to a long operation versus abbreviating the procedure along damage control principles. The extent of the duodenal injuries, the presence and severity of other injuries, and the physiologic condition of the patient will dictate the ultimate intraoperative plan.
46.2 Grade-Specific Operative Management
46.2.1 Grade I
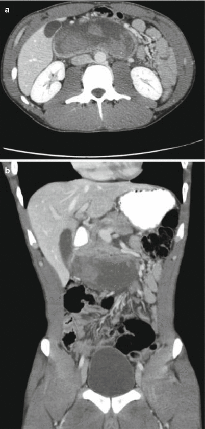
The majority of these injuries are managed nonoperatively with success. Duodenal hematomas have been reported with a higher frequency among pediatric than adult patients. They are usually discovered on CT scan and on occasions are totally obstructing the lumen. The majority of them are absorbed with time and the lumen reopens. Two issues need to be clarified when a grade I injury is detected: (a) Is it indeed only a hematoma or is the hematoma covering a full-thickness laceration? A careful inspection of the CT scan for extraluminal air or oral contrast resolves the dilemma in most patients evaluated by new-generation scanners (16- or 64- slice). If not, a formal contrast swallow will show whether the contrast remains within the duodenal contour or leaks extraluminally. (b) How long should one wait before decompressing a totally occluding hematoma? There is no clear answer to this question. Most hematomas will be absorbed – at least partially – within 7–10 days and the patency of the bowel lumen will be restored. I certainly consider it acceptable to wait up to 15 days with a nasogastric tube in place before surgical decompression is considered and have personally waited for 23 days before a massive hematoma was reabsorbed and the lumen became patent again (Fig. 46.3).


Fig. 46.3
(a, b) Axial and coronal cut of a massive duodenal hematoma. Despite its size the patient had no complaints except mild epigastric pain and gastric outlet obstruction. He was managed nonoperatively with nasogastric tube drainage and the obstruction eventually resolved on post-trauma day 23
46.2.2 Grade II
Such injuries are produced either by very large hematomas or – more frequently – by simple lacerations of the duodenum that occupy less than 50 % of the circumference. The management of hematomas is not different than what was described previously. Duodenal lacerations are sutured primarily. Debridement of the rugged edges is important to make sure that well-vascularized tissue is present. Then, close the perforation in one layer with interrupted invaginating Gambee stitches (Fig. 46.4) using a 3-0 non-absorbable or slowly absorbable suture. A two-layer closure – typically with a running absorbable suture and a second layer of interrupted non-absorbable sutures – is also acceptable, although I typically use only one layer in repairing any part of the intestine. It is important that the line of closure is perpendicular to the axis of the lumen in order to avoid stenosis. Drain the area per routine. No other procedures are necessary.




