Core and lower extremity injuries in baseball are often overlooked and represent one-third of all injuries with hamstring strains being the most common injury in all of professional baseball. Significant time lost from play may result from these injuries. Thus, it is important to assess patient-specific risk factors for injury and implement standardized return to play rehabilitation protocols in order to prevent reinjury and additional missed time.
Key points
- •
The number of injuries in baseball remains high despite significant improvements in strength and conditioning protocols, diagnostic tools, and surgical techniques.
- •
Core and lower extremity injuries currently represent one-third of all baseball injuries.
- •
Hamstring strains are the most common injury in all of baseball, have a high recurrence rate, and result in a significant time missed from play.
- •
Although platelet-rich plasma and corticosteroid injections are potential treatment adjuncts for muscle strains, the mainstay of management remains conservative treatment with physical therapy and rehabilitation.
Introduction
Although baseball is a relatively safe sport, the number of injuries has steadily increased over the past few decades despite significant improvements in strength and conditioning protocols, diagnostic tools, and surgical techniques. From 2005 to 2008, there was a 37% increase in injuries among Major League Baseball (MLB) players. Additionally, from 1998 to 2015, the number of placements on the injured list significantly increased from a low of 387 in 1998 to a high of 536 in 2015. As a result, the cost of designating patients to the injured list was an average of $423 million, with a high of $694 million in 2015.
While much emphasis in baseball is placed on injuries to the shoulder and elbow, lower extremities injuries are also common. Overall, approximately one-third of baseball injuries affect the core or lower extremity as high-energy activities, such as sprinting and diving, contribute to an elevated incidence of muscle strains. , , This review article highlights and discusses the epidemiology, clinical presentation, and rehabilitation of core and lower extremity soft tissue injuries in baseball players.
Core muscle strains
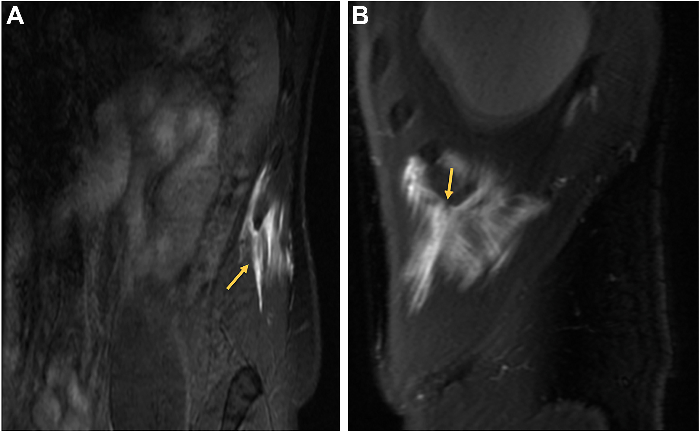
The abdominal core muscles, including the rectus abdominis, internal and external obliques, and intercostals, play an important role in pitching and hitting as proper abdominal muscle activation is crucial for generating optimal ball velocity and bat speed. Oblique muscle strains are currently the fifth most common injury in professional baseball resulting in an average of 21.4 days missed per injury ( Fig. 1 , Tables 1 and 2 ). Most are acute noncontact injuries resulting from throwing or batting with pitchers being the most affected. Most abdominal muscle injuries in pitchers are contralateral to their dominant throwing arm, while in position players, the injury is more likely to occur contralateral to their dominant batting side. A recent study found that pitchers missed 5 more days per oblique muscle injury in comparison to position players ( P <.001). Similarly, a separate study found that pitchers with abdominal muscle strains averaged 35.4 days on the injured list in comparison to 26.7 days for position players ( P <.01).

| Muscle Strain | Percentage of All Baseball-related Injuries | Rank |
|---|---|---|
| Hamstring | 6.7% | #1 |
| Obliques | 2.5% | #5 |
| Hip Adductor | 2.3% | #7 |
| Quadriceps | 1.8% | #11 |
| Iliopsoas | 1.0% | #17 |
| Gastrocnemius | 0.8% | #19 |
| Intercostals | 0.8% | #21 |
| Muscle Strain | Mean Number of Days Missed | Median Number of Days Missed | Range of Number of Days Missed |
|---|---|---|---|
| Obliques | 21.4 | 18.0 | 1–160 |
| Intercostals | 16.9 | 10.0 | 1–183 |
| Quadriceps | 14.9 | 8.0 | 1–146 |
| Hamstring | 14.5 | 9.0 | 1–220 |
| Hip Adductor | 12.5 | 7.0 | 1–150 |
| Iliopsoas | 12.0 | 6.0 | 1–193 |
| Gastrocnemius | 11.6 | 4.0 | 1–147 |
Intercostal muscle strains are the twenty-first most common injury in professional baseball players resulting in a mean of 16.9 days missed per injury (see Tables 1 and 2 ). Over 80% of these strains are caused by acute noncontact injury mechanisms with a similar rate of injury being seen in both pitchers and position players.
Conte and colleagues studied the overall incidence of abdominal muscle (internal and external oblique and rectus and transversus abdominis) strains in the MLB and found that 92% percent of these injuries were strains of the internal and external oblique or intercostal muscles. Additionally, there has been an upward trend of oblique muscle injuries from 1991 to 2010, as the overall injury rate was 22% higher in the 2000s than in the 1990s. Notably, these injuries tend to occur with higher incidence in the early part of the season as the first month contributed to over 25% of the total abdominal muscle strains for the season. The elevated incidence of these strains in the beginning part of the season suggests that relative deconditioning in the off-season combined with a rapid increase in activity intensity at the start of the season may be a contributing factor. ,
On presentation, a player with an abdominal, oblique, or intercostal muscle strain may have pain on deep inspiration, coughing, or sneezing. Advanced imaging such as ultrasound or MRI may be used in the acute setting to assess the level of injury. Early rehabilitation begins with restoring the function of the local core musculature through activities such as breathing and basic movement patterns. , Also, it is important to attend to any notable decrease in hip or thorax range of motion as those with a hip internal rotation of 5 o are at a significantly increased risk of abdominal muscle injury in both pitchers and position players. Upon resolution of pain with normal daily activities, progressive strengthening can occur integrating more global musculature. This typically begins with isometric contractions and eventually eccentric and dynamic rotational activities prior to returning to hitting and throwing. , It is also important to consider the repetitive nature of pitching and hitting during the rehabilitation process so that the large volumes of strengthening exercises are performed to cope with the high demands of the sport. Additionally, the player should have full asymptomatic lateral flexion range of motion before returning to sport as recurrence rates are up to 12%. , After rehabilitation, the player may need to return to a lower level of play prior to returning to the same level of competition.
While abdominal injuries are typically treated with physical therapy and rehabilitation, corticosteroid and platelet-rich plasma (PRP) injections are another potential treatment option. A case report of 3 professional baseball pitchers with acute tears of the internal oblique muscle underwent an ultrasound-guided injection with corticosteroid and local anesthetic. All 3 players were able to pitch at full speed at an average of 21 days and were able to return to play at an average of 31 days. Additionally, these players have continued to pitch in the MLB without sustaining reinjury. Interestingly, a separate study found that players who received either a corticosteroid or PRP injection had a mean recovery time 11 days longer compared to those who did not receive an injection ( P <.001). Thus, while nonoperative treatment with physical therapy has shown satisfactory return to play results, it is currently unclear whether corticosteroids or PRP enhance healing and return to play time.
Hip and groin strains
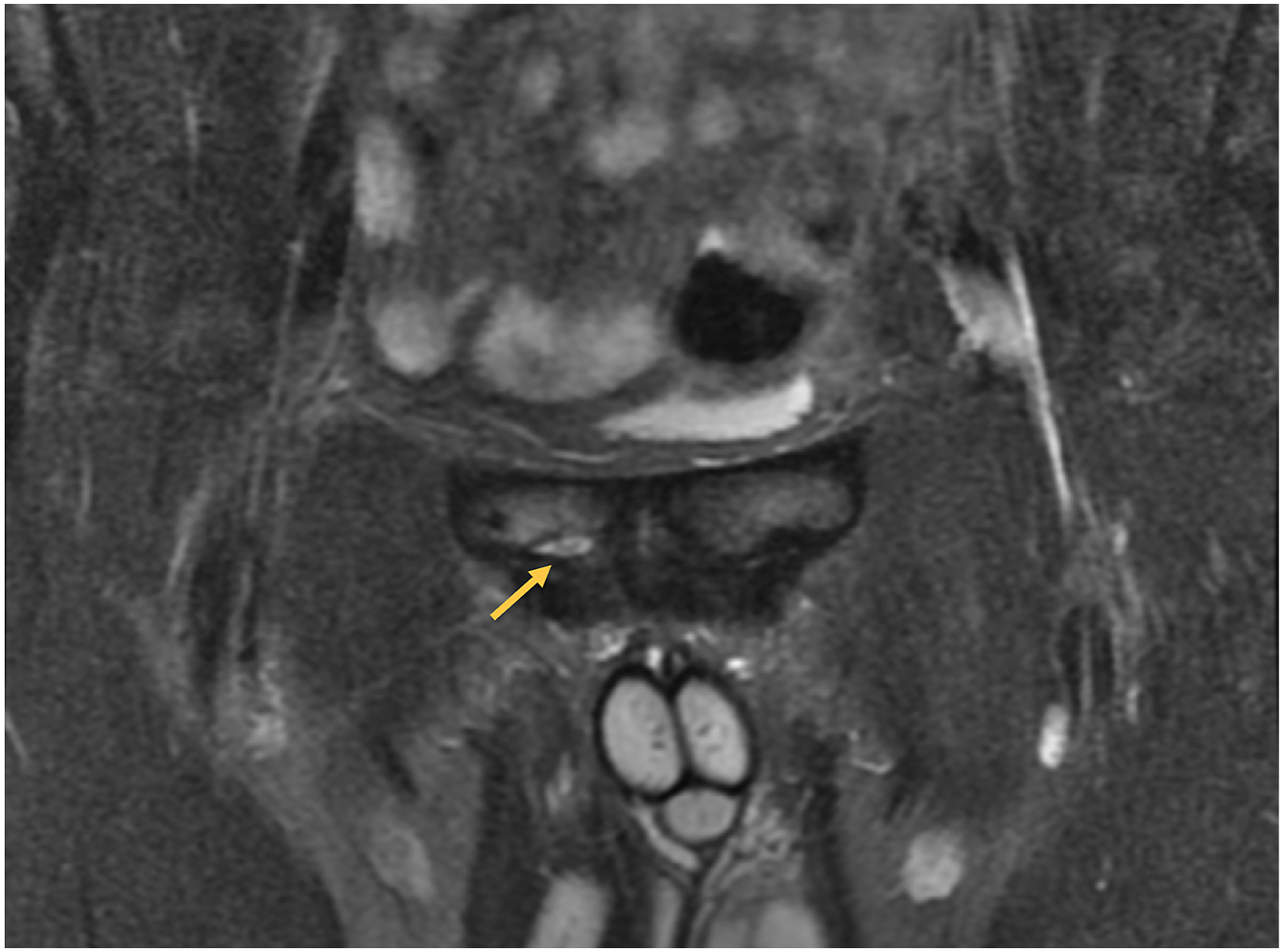
Hip adductor muscle strains are frequently susceptible to injuries from large mechanical loads placed on the small tendon of the adductor longus during muscle contraction. These strains are the most common extra-articular groin injury and are the seventh most common injury in professional baseball with 1156 injuries occurring from 2011 to 2016 resulting in an average of 12.5 days missed per injury ( Fig. 2 ; see Tables 1 and 2 ). Most are acute noncontact injuries resulting from pitching, fielding, or base running with 53.4% occurring in position players. Similarly, Li and colleagues found groin strains to be more common in position players rather than pitchers or catchers. Less than 4% of these injuries were season-ending and only 3% required surgery.







