3 Nasal Septum and Nasal Wall Vascularization
Summary
The nasal septum and nasal wall are supplied by branches of both the external and internal carotid systems. The external carotid artery participates with the maxillary and the facial artery, whereas the internal carotid artery supplies the nasal cavity through the ethmoidal arteries originating from the ophthalmic artery.
The main branches of the maxillary artery are the sphenopalatine artery, the posterior superior alveolar artery, the infraorbital artery (IOA), the descending palatine, and the greater palatine arteries, as well as the arteries of the foramen rotundum, pterygoid canal, and pharyngeal branch (PB).
The superior labial artery (SLA) and the lateral nasal artery (LNA) arise from the facial artery and send branches to the vestibule, nasal septum, and head of the inferior turbinate.
3.1 Introduction
The nasal cavity has a rich vascular network. Arteries that supply the nasal septum and the lateral nasal wall include vessels originating from the external carotid artery (maxillary and facial artery) and from the internal carotid artery (ophthalmic artery).
3.2 Branches of Maxillary Artery (Arteria Maxillaris)
The maxillary artery (MA) is one of the two main end arteries from of the external carotid artery. It is located behind the neck of the mandible and passes lateral or medial to the lateral pterygoid muscle to reach the pterygopalatine fossa (PF) through the pterygopalatine fissure (pterygopalatine segment) (Fig. 3‑1). In the PF, the MA and its branches are located anteriorly to the neural elements. Through the PF different branches supply the orbit, the nasal cavity, the nasopharynx, the cavernous sinus, and the carotid canal. In some cases branches of the first segment of the MA (mandibular segment) can supply the nasopharynx through their extracranial branches (the middle meningeal artery and accessory meningeal artery).
3.2.1 Sphenopalatine Artery (Arteria Sphenopalatina)
It is the terminal branch of the MA that emerges from the superomedial part of the PF and enters the nasal cavity through the sphenopalatine foramen. This foramen is usually located in the superior meatus, although it may also be found in the middle meatus or at the transition of both meatuses, according to its location above or below the ethmoidal crest. This anatomic landmark is an optimal bone reference to localize the sphenopalatine artery because it is just posterior to this crest (Fig. 3‑2).
It gives off two main branches, the posterior lateral nasal artery (PLNA) and the posterior septal artery (PSA), 1 , 2 which can be divided into one or two trunks medial to the ethmoidal crest, before or after crossing the sphenopalatine foramen. It is rarely possible to identify more than two trunks. 1 , 3 The PLNA supplies the region of the lateral nasal wall giving off branches to the inferior turbinate (inferior turbinate artery), middle turbinate (middle turbinate artery), mucosa of the fontanelle, and to the mucosa of the maxillary sinus 4 (Fig. 3‑3, Fig. 3‑4). In approximately 20% of cases this artery supplies the superior turbinate. 5 The inferior turbinate artery enters a bony canal and runs anteriorly along the turbinate. It usually gives off two terminal branches, within or adjacent to the bone, supplying the mucosa of the turbinate (Fig. 3‑5). The artery gives off several small vessels to the maxillary sinus and to the ethmoidal complex. The middle turbinate artery gives off several branches, some of which run along the medial surface of the turbinate whereas the other branches supply the lateral turbinate surface and anterior ethmoidal complex (see Fig. 3‑3).
The PSA crosses the anterior wall of the sphenoid sinus in a subperiosteal plane, between the choana and sphenoidal ostium. In most cases the artery bifurcates into the superior and inferior branches (Fig. 3‑6). In this area it supplies the superior turbinate (superior turbinate artery), sphenoid sinus, and posterior ethmoid complex. The superior turbinate artery can arise from the superior division of the PSA or directly from the trunk of the PSA. 6 The PSA branches on the nasal septum irrigating the inferior two-thirds. The distal extreme of the inferior branch of the PSA, the nasopalatine artery, vascularizes the inferior septal area and ends in the incisive canal where it anastomoses with the greater palatine artery (GPA). 1 , 2 Furthermore, the PSA presents anastomosis in the septal area with the ethmoidal arteries and with branches from the SLA (Fig. 3‑7).
3.2.2 Posterior Superior Alveolar Artery (Arteria Alveolaris Superior Posterior)
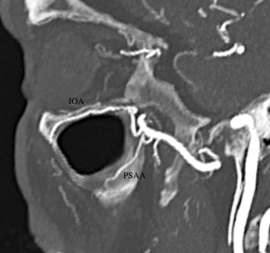
The posterior superior alveolar artery (PSAA) usually represents the first branch of the pterygopalatine segment of the MA. It runs close to the periosteum of the convexity of the maxillary tuberosity and divides into two branches: a lateral descending vessel (dental branch) and an internal vessel (peridental branch). This internal branch perforates the tuberosity of the maxilla and courses endosseously supplying the mucosa of the maxillary sinus and anastomosing with the IOA 2 , 4 , 7 (Fig. 3‑8).
Stay updated, free articles. Join our Telegram channel
Full access? Get Clinical Tree





