19 “Slide and Patch” Technique
Summary
The “slide and patch” technique is so-called because it combines a mucoperiosteal free graft of the inferior turbinate with a mucosal rotational or advancement flap from nasal septum. In fact, the technique implies a “slide” of a mucoperichondrial or mucoperiosteal flap from the septum and a “patch” made by a mucoperiosteal graft harvested from inferior turbinate.
This approach is indicated when the patient has a rounded or oval perforation with larger diameter between 5 and 30 mm. Perforation whose diameter is smaller than 5 mm can be repaired with just a mucoperiosteal graft from inferior turbinate (with a notable time saving). If the perforation is larger than 30 mm, the results cannot be so good because the width of the mucoperiosteal graft could be not so large to cover the defect with a sufficient amount of tissue covered (in an underlay fashion) by the mucosa around the defect. Moreover, it is possible that larger defects cannot leave a sufficient amount of normal mucosa to allow the rotation or the advancement of an adequate flap.
19.1 Indications
This approach is indicated when the patient has a rounded or oval perforation with larger diameter between 5 and 30 mm.
Patients with septal perforation and no past history of inferior turbinectomy.
19.2 Surgical Steps
The “slide and patch” technique 1 involves the following surgical steps:
The surgery is performed under general anesthesia with the patient in supine position with the head rotated 30 degrees toward the first surgeon and by an endoscopic approach using a 4-mm 30-degree rigid endoscope.
Before surgery, two neurosurgical cottonoid pads with naphazoline for each nostril are applied to make a decongestant effect.
The nasal mucosa from anterior septum to the nasal floor and till perforation borders is bilaterally infiltrated with lidocaine and 1% adrenaline solution (1:100,000).
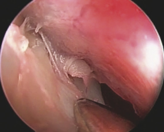
The perforation margins are then bilaterally trimmed and widely detached all around the perforation from the underlying cartilage or bone by a sickle knife to achieve a “refreshening of the edge” (Fig. 19‑1). It is important to elevate bilaterally an area of mucoperiosteum or mucoperichondrium of at least 1 cm all around the perforation.
Through a hemitransfixion incision, mucoperichondrial and mucoperiosteal layers are extensively elevated on one side of the nasal septum, from the inferior edge of quadrilateral cartilage up to the choana, nasal floor, and 1 cm from the nasal roof (Fig. 19‑2).
On the other side, in oval perforation with horizontal major diameter, a horizontal incision as long as the perforation major diameter is performed by a sickle knife on nasal mucosa 1 cm to the dorsal border of septal cartilage. The mucoperichondrial flap is then elevated from the perforation margin up to the incision. The flap is thus transposed downward and the borders of the perforation are sutured together with a 3–0 Vicryl suture (Fig. 19‑3).
In the case of rounded perforations, a rotation/advancement mucoperiosteal flap is designed by a rounded incision based posteriorly on the nasal-septal artery and elevated up to 1 cm from the choana (Fig. 19‑4). Also, in this case the flap is rotated to reach the inferior border of the perforation and sutured with a 3–0 Vicryl suture (Fig. 19‑5).
In both cases the flap should advance to cover the perforation without tension. The septal cartilage of the area where the flap has been prepared is left uncovered.
A mucoperiosteal graft is harvested from the inferior turbinate by an endoscopic turbinoplasty following Marks’ technique. 2 In particular, after injecting 2 to 3 mL of solution containing 1% Carbocaine with 1:80,000 epinephrine on inferior turbinate mucosa, over the bone, an incision on the head of the inferior turbinate with a number 15 blade along the inferior edge of the turbinate is performed. The mucoperiosteum of the nasal side of the turbinate is thus separated by a suction elevator from the underlying bone. The turbinate bone with attached lateral mucosa is then removed by endoscopic scissors till the tail of the turbinate; the residual bone can be outfractured to reduce the angle between the turbinate and lateral nasal wall. Finally the mucosa of the nasal side (previously elevated) is flipped over to cover the exposed area.
The removed part of the inferior turbinate (Fig. 19‑6) is therefore used to harvest the graft by separating the mucoperiosteum (lateral mucosa of the inferior turbinate) from the underlying bone (Fig. 19‑7). The mucoperiosteal graft is trimmed to size (minimum 1 cm of diameter larger than the perforation).
The mucoperiosteal graft is then inserted through the hemitransfix incision in the tunnel between the septal cartilage and elevated septal mucoperichondrial flap (Fig. 19‑8).
Graft borders are positioned under the previously elevated perforation borders in underlay fashion for minimum 5 mm all around (Fig. 19‑9).
At the end of this step, no one area of the perforation has to be uncovered (Fig. 19‑10).
A Gelfoam sheet can be positioned over the graft to protect it in the healing process.
Silastic sheets, designed to cover nasal septum from 1 cm below the septal roof up to the nasal floor, are inserted bilaterally and fixed anteriorly and posteriorly by a 2–0 silk “U” suture.
Nasal packing is rarely necessary if careful control of bleeding and cauterization of bleeding points is performed under endoscopic vision before ending surgery. 3
Antibiotic therapy is prescribed with amoxicillin and clavulanic acid (1 g twice a day orally) and tranexamic acid (1 fL twice a day orally) starting the night of the surgery.
Starting the next day, nasal lavages are frequently performed with lukewarm sterile saline solution.
The patients can be discharged on the first postoperative day, if nasal packing has not been applied and if there is not an active nasal bleeding.
A postoperative checkup is performed once a week, and for the first 2 weeks in particular this is to remove the scabs or clots and evaluate the postoperative healing.
Silastic sheets are removed at about 3 weeks postoperatively.
Subsequent checkups are performed weekly until the full integrity of the mucosa is restored. It is important to avoid aspiration and pay particular attention to removing the scabs and clots that lie on the flap or on the graft because those can displace the graft. It is better to let the nasal lavages removing the scabs and clots and to gently remove them with a forceps starting from 1 month postoperatively
Stay updated, free articles. Join our Telegram channel
Full access? Get Clinical Tree





