(1)
Misdiagnosis Association & Society, Seattle, WA, USA
Keywords
Pemphigus vulgarisPathologyHistologyAcantholysisTzanck testDirect immunofluorescence (DIF)Immunoglobulin G (IgG) antibodiesPemphigus foliaceusImmunohistochemistry stainingIndirect immunofluorescence (IIF)Paraneoplastic pemphigusIgA pemphigusIgG/IgA pemphigusIntroduction
Pemphigus vulgaris (PV) is a life-threatening chronic autoimmune disease where the serum autoantibodies respond to the cell surface antigens resulting in a loss of epidermal cell cohesion [1]. This can be characterized as the manifestation of circulating autoantibodies against the intercellular adhesion structures, desmosomal protein desmoglein (Dsg) 3, and in some cases Dsg1. Disruption of the cell-cell and cell-matrix adhesion due to the circulating autoantibodies results in acantholysis , which could result in Tzanck phenomenon—the rounding of single epidermal cells due to the loss of cell-cell attachment [1].
The main histological finding, acantholysis, is known as the loss of coherence of epidermal cells and their subsequent detachment. Observing under light microscopy indicates that this process begins by the development of edema among keratinocytes located above the stratum basale. Proceeding this in the next stage, a suprabasal crevice appears and widens to give rise to a bulla. In cellular material collected from the base and sides of a bulla, typical acantholytic cells can be found by a cytological examination known as the Tzanck test . Immunofluorescence methods can also be used to detect immunoglobulin G (IgG) antibodies in the intercellular space of the epidermis or epithelium and circulating antibodies in serum [2].
In PV, the disruption of suprabasalar adhesion results in a single layer of basal keratinocytes bound to the dermoepidermal basement membrane. Detection of IgG antibodies by direct immunofluorescence is the gold standard test for diagnosis of pemphigus vulgaris. In this chapter, we will discuss the pathogenesis, morphologic, histomorphologic, and histopathology of pemphigus vulgaris and several diseases in the differential for PV.
Pemphigus Vulgaris: From a Morphologic View
Pathogenesis (Mechanism) of the Morphologic Feature
Pemphigus vulgaris is a rare autoimmune intraepithelial blistering disease produced by circulating autoantibodies against keratinocyte desmogleins (Dsg) resulting in the loss of keratinocyte adhesion, through a process called acantholysis [3]. Autoantibodies against desmoglein 3 (Dsg3), prominent in the lower epidermis, are the main pathogenesis of PV. Keratinocyte detachment in the lower epidermis and tight attachment of basal keratinocytes to the basement membrane by hemidesmosomes give the appearance of suprabasal blisters (bullae) commonly seen in PV. Other autoantibodies include anti-desmocollin [4] and anti-desmoglein 1 (present in the upper epidermis). It should be underlined that the presence of anti-desmoglein 1 in serum leads to acantholysis of superficial keratinocytes similar to pemphigus foliaceus (PF) .
Histomorphologic Feature
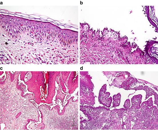
The earliest change in PV is epidermal edema (spongiosis) and exocytosis of eosinophils into spongiotic epidermis (eosinophilic exocytosis) (Fig. 9.1a). Acantholysis in the lower epidermis leads to the formation of slit-like suprabasal cleft or lacuna containing some acantholytic cells. Attachment of basal keratinocytes to the basement membrane and subsequent suprabasal acantholysis gives the characteristic appearance of a “tombstone” layer, in which a layer of basal keratinocytes is preserved (Fig. 9.1b). The suprabasal bulla may extend up to form an intraepidermal bulla or blister, which is interpreted as the regeneration of basal keratinocytes as the disease progresses. Epidermal necrosis, intraepidermal bulla, and extension of acantholysis into the adnexal structures may be seen in the progression of the disease (Fig. 9.1c) [3–5].


Fig. 9.1
(a) Eosinophilic spongiosis in pemphigus vulgaris (H&E × 20). (b) Suprabasal bulla with acantholysis and tombstone feature (H&E × 20). (c) Extension of the acantholytic blister into the follicular structure (H&E × 20). (d) Mucosal involvement with marked papillomatosis (H&E × 10) (Source: Alireza Ghannadan MD)
Dermal changes are non-specific, and the papillary dermis usually protrudes to the blister cavity, which is more prominent in the mucosal areas (Fig. 9.1d). Dermal inflammation is mild and consists of mixed inflammatory cell infiltrate including lymphocytes, neutrophils, and eosinophils around superficial vessels [6].
Immunohistochemistry Study
Immunohistochemistry staining by anti-desmoglein (anti-Dsg) monoclonal antibody 32-2B, which detects desmogleins 1 and 3, distinguishes drug-induced pemphigus from idiopathic pemphigus. A patchy pattern of staining was observed in idiopathic pemphigus, whereas drug-induced pemphigus shows normal pattern in 70% of cases and a patchy pattern in 30% of the cases. Normal pattern of staining is an indicator of a good prognosis in drug-induced pemphigus [7].
Immunolabeling with C3d and C4d in paraffin blocks was positive in 82% of pemphigus vulgaris cases, which roughly mirrors the intercellular pattern for IgG and complement seen by direct immunofluorescence [8].
The direct immunofluorescence (DIF) test could be replaced by immunohistochemistry staining of IgG4 and C3d on paraffin blocks in situations in which the DIF test is not available [9].
Immunofluorescence Study
Detection of IgG antibodies by direct immunofluorescence is the gold standard test for the diagnosis of pemphigus vulgaris. In pemphigus vulgaris, IgG usually deposits in intercellular spaces of keratinocytes leading to a network or chicken wire feature of the epidermis (Fig. 9.2). C3, IgM, and IgA are less common antibodies that react in the epidermis [10, 11]. Negative DIF is a predictor of immunologic remission in pemphigus vulgaris. Plucked hair may be used as a substrate for the DIF test in the remission period, and it had 79% sensitivity, 48% specificity, 61% positive predictive value, and 68% negative predictive value [12]. Patients in clinical remission who had positive DIF are more prone to relapse than those with negative DIF [13–15].


Fig. 9.2
Direct immunofluorescence for (a) IgG and (b) C3 in pemphigus vulgaris shows network or chicken wire pattern (Source: Alireza Ghannadan MD)
Circulating antibodies bind to epidermal keratinocytes present in 80–90% of pemphigus vulgaris patients and are detected by the indirect immunofluorescence (IIF) test. In pemphigus vulgaris, monkey esophagus is a better substrate for the IIF test (react with anti-Dsg3 antibodies), whereas in pemphigus foliaceus , guinea pig esophagus or human skin is a better substrate (react with anti-Dsg1 antibodies) [16–19]. These antibodies have been reported in many inflammatory dermatoses, including burns [20].
Stay updated, free articles. Join our Telegram channel
Full access? Get Clinical Tree



