, Teresa S. Wright2, Crystal Y. Pourciau3 and Bruce R. Smoller4
(1)
Department of Pathology & Immunology, Baylor College of Medicine and Texas Children’s Hospital, Houston, Texas, USA
(2)
Departments of Dermatology and Pediatrics, University of Tennessee Health Science Center, Memphis, TN, USA
(3)
Departments of Dermatology and Pediatrics, Baylor College of Medicine and Texas Children’s Hospital, Houston, Texas, USA
(4)
Department of Pathology and Laboratory Medicine, University of Rochester School of Medicine and Dentistry, Rochester, NY, USA
9.1 Erythema Nodosum
9.1.1 Clinical Features
Erythema nodosum is thought to be a reactive cutaneous process triggered by a variety of infectious and noninfectious causes. Although erythema nodosum typically affects adults ages 20–30 years old, it is the most common form of panniculitis seen in children [1, 3]. The mean age of erythema nodosum in childhood is 8–10 years old. Before puberty, erythema nodosum appears to affect both sexes equally.
Tender erythematous 1–3 cm nodules characterize erythema nodosum. These are most common on the anterior lower legs, but may occur anywhere else on the body. In children, a common infectious trigger is streptococcal infection. Following treatment of identifiable infectious triggers, such as streptococcus, cutaneous lesions usually resolve within weeks, although residual dyschromia may occur. Symptoms of erythema nodosum may be alleviated with nonsteroidal anti-inflammatory agents.
9.1.2 Histology
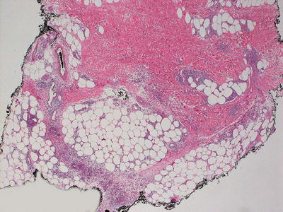
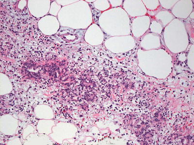
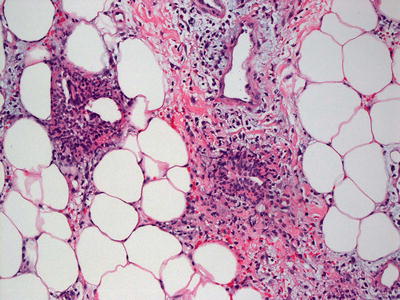
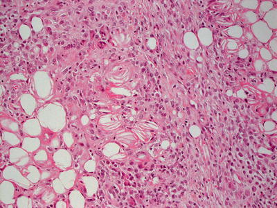
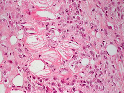
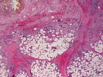
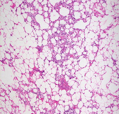
Erythema nodosum is a septal panniculitis [1]. Early lesions demonstrate septal edema and a mixed inflammatory infiltrate of neutrophils, lymphocytes, eosinophils, and occasional giant cells (Fig. 9.1). As the lesions develop, neutrophils diminish in number with increased number of histiocytes, including multinucleated giant cells (Figs. 9.2 and 9.3). Small granulomatous foci are present in some cases. The septa become thickened and fibrotic, and septal edema is less apparent. The inflammatory infiltrate may extend into the periphery of the fatty lobules, although fat necrosis is not seen. The blood vessels are not inflamed. The overlying epidermis and dermis are usually relatively unremarkable.




Fig. 9.1
Erythema nodosum demonstrates a septal panniculitis characterized by widening of the fibrous septa and an inflammatory response

Fig. 9.2
Abundant lymphocytes, scattered eosinophils and histiocytes, including multinucleated giant cells, are seen within the fibrous septa in erythema nodosum

Fig. 9.3
Small foci that resemble granulomas, known as Miescher’s radial granulomas , are seen in the fibrous septa in some cases of erythema nodosum
The differential diagnosis depends upon the stage of the lesion. Early lesions containing many neutrophils may be mistaken for vasculitis, but the vessels are intact and the dermis is not involved [1]. An infectious etiology might be considered, but there is no necrosis and the anatomic boundaries are respected in a way not usually seen with infectious processes. Later lesions in which septal fibrosis is prominent may give rise to the possibility of scleroderma and necrobiosis lipoidica. In both of these entities, one would expect dermal changes that are not seen in erythema nodosum. Cases of erythema nodosum with granulomas can be mistaken for other granulomatous processes. Special stains and microbiological cultures may be required to rule out infectious processes in these cases, and clinical history helps to distinguish erythema nodosum from sarcoidosis, although the two entities can occur simultaneously [2]. Sarcoidosis also usually involves the dermis and the subcutis. Lobular panniculitides demonstrate more changes in the lobules, and they do not ordinarily involve the septa to any significant degree.
9.1.3 Pathogenesis
A common cause of erythema nodosum in children is upper respiratory infections caused by Group A Streptococcus pyogenes [1, 3, 4]. Erythema nodosum can be associated with other underlying infections, including Mycoplasma pneumonia and disseminated coccidioidomycosis, as well as sarcoidosis and inflammatory bowel disease [3–7]. Some inflammatory bowel disease susceptibility loci have been shown to be associated with erythema nodosum [7]. Similarly, erythema nodosum can have a genetic predisposition with polymorphisms associated with a specific tumor necrosis factor-α allele, TNF-αII [8]. Additionally, concurrence of Sweet’s syndrome and erythema nodosum in the same patient has been observed, and may point to a pathological association between these two disorders involving neutrophils [9]. The exact molecular basis of erythema nodosum is not known, but it may be related to the deposition of immune complexes in blood vessels in the septae of subcutaneous fat, leading to panniculitis [10].
9.2 Sclerema Neonatorum
9.2.1 Clinical Features
Sclerema neonatorum is a rare condition characterized by diffuse hardening of subcutaneous tissues. Sclerema typically affects very ill premature or young infants with a history of sepsis, hypoxemia, and hypothermia. Mortality ranges from 30 to 100 % . Areas of induration, swelling and erythema appear in the skin and tend to spread rapidly. Treatment is aimed at management of the underlying medical issues.
9.2.2 Histology
Histologic changes are those of a lobular panniculitis with a histiocytic response [11]. The adipocytes undergo degeneration with formation of needle-like crystals. These may be present within histiocytes [12]. There is little necrosis or secondary inflammation in most cases. There is thickening of the fibrous septa reported in some cases [13]. Subcutaneous fat necrosis of the newborn is differentiated from sclerema neonatorum based upon the pronounced inflammatory infiltrate seen in the former entity.
9.2.3 Pathogenesis
The pathogenesis of sclerema neonatorum appears to be related to high saturated-to-unsaturated fatty acid ratio in infants, and thus a higher melting point and a low solidification point for fat that enables it to harden with decreased body temperature [13, 14]. Ultrastructural studies show that infants with sclerema neonatorum have increased saturated fats and triglyceride crystals within adipocytes [15–18]. Prematurity, hypothermia, and metabolic abnormalities may further increase the levels of saturated fatty acids. Other possible etiologies of sclerema neonatorum include underlying systemic diseases, edema affecting the subcutaneous tissue, and defective mobilization of fatty acids from adipose tissues [13].
9.3 Subcutaneous Fat Necrosis of the Newborn
9.3.1 Clinical Features
Subcutaneous fat necrosis is a rare panniculitis affecting newborn infants. There is frequently a history of traumatic delivery often complicated by dystocia, hypothermia, hypoxia, and meconium aspiration.
Clinically, firm subcutaneous nodules or plaques are present, typically on the back, buttocks, and thighs (Fig. 9.4). There is potential for associated complications, particularly hypercalcemia. The skin lesions are usually self-limited, but there may be residual skin atrophy or scarring.


Fig. 9.4
Subcutaneous fat necrosis of the newborn presents as rippled and slightly dusky-colored, indurated plaques along the bilateral flanks, buttocks and proximal thighs
9.3.2 Histology
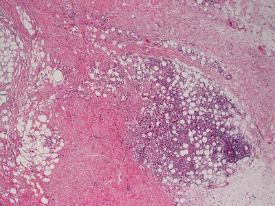
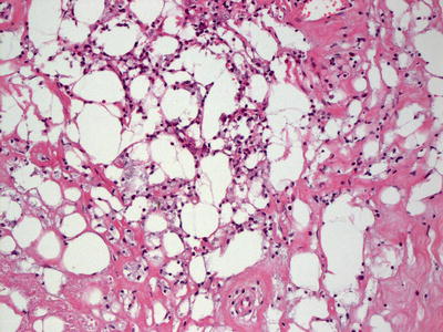
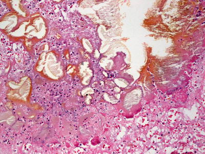
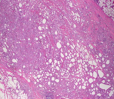
Biopsy of subcutaneous fat necrosis of the newborn demonstrates a lobular panniculitis [19] (Fig. 9.5). There is a diffuse, brisk mixed inflammatory infiltrate within fat lobules. Necrosis of adipocytes results in crystal formation and small granulomas surrounding the degenerating cells [20] (Figs. 9.6 and 9.7). Crystals are needle-shaped, and can be present within degenerating adipocytes and histiocytes [21, 22]. Eosinophilic granules , a manifestation of degenerating eosinophils within the surrounding infiltrate, have been observed in some cases [23–25]. Dystrophic calcification is seen in late cases [20, 26, 27]. Radially oriented needle-like crystals are helpful in establishing the diagnosis on fine needle aspiration cytology [28, 29].




Fig. 9.5
Subcutaneous fat necrosis of the newborn is a lobular panniculitis that is characterized by a predominantly histiocytic response

Fig. 9.6
Sheets of histiocytes , some of which contain crystalloid material, are admixed with lymphocytes in subcutaneous fat necrosis of the newborn

Fig. 9.7
Degenerating fat forms crystals within histiocyte cytoplasm in subcutaneous fat necrosis of the newborn
The differential diagnosis includes sclerema neonatorum, although this process does not usually engender an inflammatory response. An infectious process might enter the differential diagnosis, but the needle-like crystals are not a feature of an infectious process.
9.3.3 Pathogenesis
Subcutaneous fat necrosis of the newborn is a type of panniculitis that affects term infants following birth trauma, such as perinatal asphyxia, meconium aspiration, and hypothermia [30–32]. These inciting factors can impair tissue perfusion, resulting in hypoxia, adipocyte necrosis, and the release of free fatty acids in subcutaneous tissue.
9.4 Post-Steroid Panniculitis
9.4.1 Clinical Features
Post-steroid panniculitis is a rare complication of steroid therapy with a few dozen cases reported, mostly in children. It is usually seen in patients receiving high doses of systemic corticosteroids that are abruptly discontinued.
Clinically, erythematous nodules and plaques appear on the skin. Lesions tend to occur in areas where steroids induce the greatest accumulation of fat, such as the facial cheeks, posterior neck, and upper trunk. Lesions tend to resolve spontaneously.
9.4.2 Histology
Biopsies of this quite rare lobular panniculitis demonstrate degenerating adipocytes containing crystalloid structures (Figs. 9.8 and 9.9). These needle-shaped crystals also can be seen within surrounding histiocytes [33]. Multinucleated giant cells are common, and are most prevalent surrounding areas of fat necrosis [34]. A lymphocytic infiltrate with granulocytes is present within the lobules [35]. Identical histologic changes have been described in a patient receiving etanercept injections [36].



Fig. 9.8
Post-steroidal panniculitis shows necrosis of adipocytes and a dense lymphocytic infiltrate centered within the lobules

Fig. 9.9
Lobular necrosis with admixed lymphocytes and scattered neutrophils are seen in post-steroid panniculitis
The differential diagnosis includes other lobular panniculitides . Subcutaneous fat necrosis of the newborn has a much different clinical history and occurs primarily in newborns. It tends to have a more mixed inflammatory infiltrate than the panniculitis that occurs following steroid treatment. Sclerema neonatorum is also a lobular panniculitis, but it has virtually no inflammatory response to the degenerating adipocytes and a markedly different clinical history and course. Pancreatitis-induced panniculitis and alpha-1 antitrypsin deficiency-associated panniculitis are more neutrophil-mediated lobular panniculitides, and can be readily distinguished based upon clinical features.
9.5 Factitial Panniculitis
9.5.1 Clinical Features
Factitial panniculitis occurs when subcutaneous tissues are injured by the injection of drugs or chemical substances into the skin. In most cases, the injury is self-inflicted as a manifestation of underlying psychiatric disturbance. Factitial panniculitis is most common in young and middle-aged females with a history of psychiatric disorder and/or drug addiction. The clinical features vary depending on the agent that is injected. However, lesions are more common in easily accessible areas, such as the hands, buttocks, and thighs. Frequently, there are inflammatory nodules or plaques, often with erosions and ulcerations. Acute wounds should be treated as clinically indicated with antibiotics for infection, and dressings to promote healing. Effective long-term treatment requires social support and appropriate psychiatric care.
9.5.2 Histology
Many cases of factitial panniculitis were previously categorized under the name Weber Christian disease [39, 40]. Factitial panniculitis depicts a predominantly lobular panniculitis characterized by a mixed inflammatory infiltrate and focal fat necrosis. Neutrophils are abundant [41]. Despite the florid inflammatory infiltrate, the septal blood vessels are not involved [19, 42]. Depending upon the nature of the etiology of the disorder, the epidermis and dermis can show changes ranging from no abnormalities to extensive hemorrhage, necrosis, and inflammation.
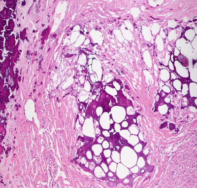
The differential diagnosis includes pancreatic panniculitis that demonstrates more extensive necrosis and calcification (Figs. 9.10 and 9.11). Alpha-1 antitrypsin deficiency-associated panniculitis is more focal than the diffuse process seen in factitial panniculitis .



Fig. 9.10
Pancreatic fat necrosis in pancreatic panniculitis results in a lobular panniculitis with abundant neutrophils

Fig. 9.11
Extensive necrosis in pancreatic fat necrosis results in cystically dilated spaces, hemosiderin deposition, and widespread calcification in late stage lesions
9.5.3 Pathogenesis
Factitial panniculitis can be caused by the injection of a foreign substance, such as mineral oil or liquid silicone, into the subcutaneous fat with subsequent induction of an inflammatory reaction characterized by subcutaneous fibrosis and foreign body reaction [41, 43]. Local pressure and repeated blunt trauma to an area on the body can also induce subcutaneous inflammation. Sites of vaccination of tetanus antitoxoid and antihepatitis vaccines, as well as sites of injection of interleukin-2 and granulocyte colony stimulating factor have been documented to develop panniculitis [41, 44, 45]. The skin changes at the site of injury may be due to vasoconstriction and resultant tissue ischemia.
9.6 Traumatic Fat Necrosis
9.6.1 Clinical Features
Traumatic fat necrosis is a potential cause of palpable soft tissue lumps in children. Frequently, there is no definite history of a traumatic injury. The child simply presents with one or more soft tissue nodules, often on an extremity. These nodules require no treatment and resolve spontaneously over time.
9.6.2 Histology
Even though the pathogenesis differs, the histologic findings in traumatic fat necrosis are identical to those described in factitial panniculitis [42, 46]. A lobular panniculitis with abundant fat necrosis and a dense mixed inflammatory infiltrate characterizes traumatic panniculitis (Figs. 9.12, 9.13 and 9.14). Rare cases develop a pseudomembrane that lends a lobulated appearance to the neutrophil-rich inflammatory infiltrate [47]. This pseudomembrane is likely a result of necrotic adipocytes.




Fig. 9.12
Traumatic fat necrosis causes a lobular and septal panniculitis with no anatomic boundaries

Fig. 9.13
Fat necrosis and a mixed inflammatory response are seen in cases of traumatic fat necrosis

Fig. 9.14
Dystrophic calcification secondary to necrosis of adipocytes is a common finding in late stage lesions of traumatic fat necrosis
9.6.3 Pathogenesis
Traumatic fat necrosis is caused by injuries to the skin and subcutaneous fat. Sudden trauma-induced pressure in adipose tissue can cause adipocytes and the surrounding capillaries to rupture, resulting in tissue damage [48]. The damaged fat cells release lipids , which are hydrolyzed into glycerols and fatty acids, causing an inflammatory response.
9.7 Alpha-1 Antitrypsin Deficiency-Induced Panniculitis
9.7.1 Clinical Features
Alpha-1 antitrypsin deficiency is a rare autosomal recessive hereditary disorder with an array of clinical manifestations, which are rarely observed before the age of 25 years. Skin lesions most commonly occur on the trunk and extremities, and they are characterized by crops of painful, ulcerative, subcutaneous nodules that drain an oily, serosanguinous material.
9.7.2 Histology
Alpha-1 antitrypsin deficiency causes a lobular neutrophilic panniculitis [11, 19]. Foci of liquefactive degeneration of fat lobules are immediately juxtaposed with areas that are seemingly completely uninvolved. The fibrous septa are usually involved, although to a lesser degree [49]. Collagenolysis is seen in these areas with neutrophils percolating between collagen bundles in the fibrous septa and up into the dermis. Enzymatic digestion of the adipocytes results in the formation of overlying ulceration of the epidermis and necrobiosis in the dermis [50, 51]. The dermis may exhibit changes that suggest cellulitis [51]. Destruction of elastic tissue fibers is especially prominent in some cases [52]. There is an occasionally associated vasculitis in this type of panniculitis [53]. Dystrophic calcification occurs in late stage lesions [54]. It is likely that some previous cases of Weber Christian disease were in fact due to alpha-1 antitrypsin deficiency [40, 49].
Pancreatitis also causes a neutrophil-predominant lobular panniculitis similar to alpha-1 antitrypsin deficiency. It can be distinguished based upon clinical history, the presence of uninvolved areas seen in alpha-1 antitrypsin deficiency but not in pancreatitis, and the more extensive saponification with calcification in cases of pancreatitis-induced panniculitis. Factitial panniculitis is usually more focal and not as diffusely affected as in alpha-1 antitrypsin deficiency.
9.7.3 Pathogenesis
Alpha-1 antitrypsin is an abundant serum glycoprotein produced in the liver. It is a member of the serine protease inhibitor family known as serpins , whose major role is to inhibit neutrophil elastase, cathepsin G, and proteinase 3 [55]. Alpha-1 antitrypsin deficiency results from mutation of glutamate to lysine substitution at residue 342 (Glu342Lys) in the protein. Consequently, the mutant protein is misfolded with protein retention in the endoplasmic reticulum and defects in protein secretion. These result in significantly low plasma and tissue levels of alpha-1 antitrypsin that are 10–15 % that of normal levels [55, 56]. The reduction in serum alpha-1 antitrypsin leads to loss of anti-neutrophil elastase activity. The uninhibited neutrophil elastase, in turn, can destroy tissues, particularly the lung parenchyma and liver of affected individuals [57–59]. Moreover, neutrophils , which are the main source of serine proteinases, are present in large numbers of tissues in patients with alpha-1 antitrypsin deficiency [60, 61].
Autophagy also plays an important role in the pathogenesis of this disease. More autophagosomes are present in human fibroblast cells that express mutated alpha-1 antitrypsin protein [62]. Autophagy can be activated by intracellular accumulation of mutated alpha-1 antitrypsin.
9.8 Erythema Induratum/Nodular Vasculitis
9.8.1 Clinical Features
Erythema induratum is a lobular panniculitis related to infection with Mycobacterium tuberculosis . It is rare in children. Most authors consider nodular vasculitis and erythema induratum to share identical histologic features. The generally agreed upon difference in terminology is dependent upon an association with Mycobacterium tuberculosis as seen in cases of erythema induratum, which is not present in patients designated as having nodular vasculitis [63–67]. Atypical mycobacterial infections do not appear to be associated with erythema induratum [68]. Clinically, erythema induratum presents with single or multiple tender erythematous nodules on the legs, and may ulcerate (especially in adults). The lesions tend to resolve when the patient receives a multidrug regimen against M. tuberculosis.
Stay updated, free articles. Join our Telegram channel
Full access? Get Clinical Tree





