3 Hair Anatomy and Histology for the Hair Transplant Surgeon
Summary
Keywords: follicular unit anatomy terminal hairs vellus hairs hair cycle anagen catagen telogen bulge dermal papilla
Key Points
•Follicular units contain terminal and vellus/miniaturized hair follicles, sebaceous glands, arrector pili muscles, eccrine coils, perifollicular dermis, adipose tissue, and a rich neural and vascular network.
•The terminal hair follicle is the prime element in hair transplantation. In order to preserve its integrity, the surgeon needs to understand this anatomy.
•Hair follicles are dynamic anatomic structures gifted with a unique capacity of self-renewal. Their anatomy changes according to the hair cycle phase.
3.1 Introduction
Historically, hair is commonly regarded as a unique mammalian feature. The first evidence of hair was recovered from a rich accumulation of fossil excrement from 55 million-year-old late Paleocene beds at Bayan Ulan in Inner Mongolia, China.1
Human hair varies considerably in size, shape, and density, depending on its location and stage of development. Most of the estimated 5 million hair follicles (HFs) that cover the human body are vellus hairs. They are rooted in the papillary or upper reticular dermis, and produce a barely visible hypopigmented hair shaft of less than 30 μm in diameter and often less than the thickness of the inner root sheath (Fig. 3.1). In contrast, most follicles present on the scalp and used in hair restoration are terminal hairs: pigmented, long, rooted in the subcutaneous tissue, and produce thick hair shafts with a diameter bigger than 60 μm.
3.2 Updated Review of the Follicular Unit Anatomy for the Hair Transplant Surgeon
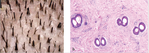
Human hair emerges from the scalp in groupings known as follicular units (FUs) (Fig. 3.2a). However, strictly speaking, the FU is a histological concept first recognized by the pathologist T. Headington in 19842 when analyzing serial horizontal sections of scalp biopsies obtained from cylindrical punches (Fig. 3.2b). Headington defined the FU as a unit structure composed of one to four terminals plus one or two vellus HFs, their associated sebaceous glands, their arrector pili (AP) muscles, the perifollicular vascular and neural plexus, and a circumferential band of fine adventitial collagen. This classical description of the microscopic anatomy of the FU has been subjected to several modifications, which can be summarized as follows.

Fig. 3.2 Follicular units (FUs). (a) Close-up photo of the occipital scalp skin showing how hairs exit the surface, forming groups known as follicular units (FUs). (b) A horizontal histologic section of four 2-hair FUs. This section was made at the infundibulum level (above the sebaceous glands).
3.2.1 The Variable Distribution of Terminal Hairs in FUs
The FUs, which in modern hair transplantation are the primary elements of transplant, can be harvested from the donor scalp either directly with a 0.8- to 1-mm cylindrical punch (FUE) or by microscopic dissection after strip harvesting (Fig. 3.3). It is important to note that in the donor area there is significant variation in the percentages of the different hair groupings from patient to patient and among different races. For example, more than 50% of the FUs in Caucasians are two-hair FUs, followed by three- and four-hair FUs, while only 10 to 20% of the FUs have one terminal hair (Fig. 3.4). As a rule of thumb, the scalp hair density in Caucasians is about 2.5 times the FU density.3 In contrast, most FUs in Asians have two hairs, followed by one terminal hair FUs (30–37%).4 It is important to realize that the absolute number of FUs per square centimeter remains relatively constant (65–85 FUs/cm2), and that it is the different proportion of natural hair groupings that determines a patient’s hair density. For example, patients with high hair density have more three- and four-hair FUs than patients with low hair density, although the FU density may be the same.

Fig. 3.3 Sliver dissected from a strip excision. This photo shows a sliver dissected under the stereomicroscope from a donor strip. It illustrates the different compartments of the scalp skin. D, dermis; Ep, epidermis; SF, subcutaneous fat. Note how deep the bulbs of the terminal follicles are located (normally between 4 and 5 mm). Also note the yellowish color of the sebaceous glands (SG), and the arrangement of the follicles in groupings. Other structures present in the skin including arrector pili muscles, sweat glands, small vessels, and nerves are invisible under the stereomicroscope.

Fig. 3.4 Follicular units represent the main transplant graft. FUs of human scalp may contain one, two, three, or four terminal hairs (from left to right). These FUs were harvested with a 0.95-mm punch using the FUE technique.
3.2.2 The Anatomical Relationship of the AP Muscle with the FU
In classic anatomical textbooks, each HF appears associated with a single AP muscle. However, the current anatomical model takes into consideration the FU as a unit structure, introducing the concept of one FU served by one AP muscular unit,5 in which the AP muscles that originate from their respective follicles join together, forming a single muscular structure that extends upward to its superior attachment zone. We could imagine the AP muscles acting as a string that ties all the HFs of each FU together, like a ribbon on a bunch of flowers (Fig. 3.5). Below that area, the inferior portion of the anagen follicles tends to splay out, which is the main reason why sharp FUE punches inserted too deep (usually deeper than 3 mm) cause excessive follicular transection.

Fig. 3.5 Anatomy of the follicular unit. This is a drawing showing the spatial relationship between the different components of an FU transplant graft: hair follicles, sebaceous gland (yellow), eccrine gland (green), and arrector pili muscle (red).
The AP muscle is attached to the follicle in a portion of the outer root sheath known as the bulge zone. It has been shown that the bulge stem cells are responsible for guiding the attachment of the AP muscle by means of the deposit of a protein called nephronectin.6 In hair transplantation, the AP muscles are obviously transected during donor harvesting but the muscle seems to be regenerated after implantation in the recipient area7 maintaining its contractile capacity.
3.2.3 FUs Contain Eccrine Sweat Glands
The surgeon and the hair transplant technicians cannot see eccrine glands under the stereomicroscope because they are not visible unless stained with specific dyes. Nevertheless, the majority, if not all, of FUs contain one eccrine coil (secretory portion of the eccrine sweat glands) as can be observed in many vertical histologic sections at the level of the inferior portion of the follicle (below the AP muscle; Fig. 3.5 and Fig. 3.7)8. The functional significance, if any, of this eccrine–HF anatomic association is currently unknown.
3.3 The Terminal Hair Follicle: The Hair Surgeon’s Most Precious Tissue
The terminal HF is what produces the thick and long hair shaft. It would seem to be a simple structure, but the terminal HF is in fact quite complex and can be considered a miniorgan per se, composed of many different types of cells that interact together and with the surrounding microenvironment: epithelial cells, mesenchymal cells from the dermal papilla (DP) and dermal sheath, several pools of epithelial, melanocyte, and mesenchymal stem cells involved in HF self-regeneration and pigmentation, a rich innervation and vascularization network, and resident immunocytes (mast cells, macrophages, T cells, and Langerhans cells). Some of these different cell types contribute to hair shaft growth and some to other very important functions (dermal remodeling, re-epithelialization after wounding, cutaneous stem cell homeostasis, etc.), which are beyond the scope of this chapter.
3.3.1 Changes in the Anatomy of the Terminal HF According to the Hair Cycle
HFs follow a continuous cycle of growth (anagen phase), involution (catagen phase), and rest (telogen phase) until a new cycle develops. In humans, these events are asynchronous, which means that each follicle contained in an FU is at a point in its cycle, which is independent of its neighbors (Fig. 3.6a). In normal circumstances, approximately 90% of human scalp follicles are in anagen, and the remaining 10% in either catagen or telogen.

Fig. 3.6 Hair follicles within the follicular unit cycle asynchronically (or independently). (a) Follicular unit harvested with 1-mm punch composed of four terminal hairs and one vellus/miniaturized hair (arrowhead). One of the terminal hairs is in catagen, two are in anagen, and one in telogen (arrow). (b) Several hair follicles dissected under the stereomicroscope that show different stages of the hair cycle from anagen (left), early catagen, mid-catagen, late-catagen, and telogen (right).
Stay updated, free articles. Join our Telegram channel
Full access? Get Clinical Tree





