Fig. 17.1
Irregular brown patch on the left cheek in background of solar lentigines; biopsy sites marked in purple

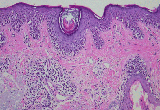
Fig. 17.2
Melanoma in situ of the lentigo maligna type: confluent proliferation of atypical melanocytes with pagetoid spread and follicular involvement and dermal solar elastosis (H&E, 20×)
At presentation, a detailed review of systems was negative and the biopsied lesion was asymptomatic. On clinical exam, a faint brown patch on the left mid cheek was present in a background of multiple solar lentigines and was distinctly separate from a scar along the left lateral cheek from treatment of a prior melanoma in situ. The clinical lesion appeared to measure 2–3 cm, but, due to the extensive background of photodamage, the true clinical margins of the lesion were difficult to delineate visually. Wood’s light exam accentuated the pigmented lesion, but the borders of the lesion still remained vague. No palpable lesions were appreciated on palpation of the lesion and surrounding tissue and head and neck lymph node basins. In order to better estimate extent and depth of the melanoma, another biopsy was performed of a slightly darker mark within the pigmented lesion and showed only chronically sun damaged skin. A control biopsy of normal appearing sun damaged skin was also performed to establish a baseline. Pathology showed marked solar elastosis, but intraepidermal melanocyte density was within normal limits.
Based on biopsy pathology information, an initial diagnosis of a thin melanoma was made. No further lab or imaging work was performed according to guidelines for an otherwise asymptomatic patient with pT1a melanoma [1]. An excision with 1 cm margins to the deep subcutaneous plane was performed using our staged excision with radial sectioning technique and tissue was sent for 24-hour rush paraffin-embedded permanent sections (Fig. 17.3). The tumor debulking centrally showed residual melanoma with invasion to 2.2 mm Breslow depth, Clark IV, non-ulcerated, mitotic rate 1/mm2, with no lymphovascular invasion, and no satellites (Fig. 17.4a). Perineural involvement was noted at the base of the tumor (Fig. 17.4b). The peripheral margins were clear in all four quadrants.



Fig. 17.3
Staged excision with radial sectioning technique: (a) The tumor is debulked centrally and margins excised and evaluated with vertical sections (b) The divided tissue is placed into cassettes for processing and embedding with complete preservation of tissue orientation

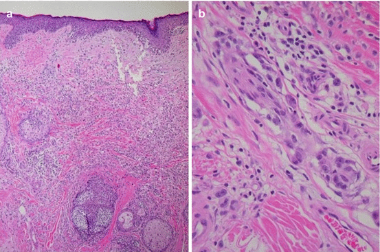
Fig. 17.4
(a) Melanoma Breslow thickness 2.2 mm extending to reticular dermis (H&E, 4×); (b) melanoma invading a nerve (H&E, 40×)
A consultation with head and neck surgery was arranged immediately given pathologic upstaging to a pT3a melanoma with associated risk of nodal and systemic metastasis. After a discussion with the patient and consulting physicians, a decision was made to not pursue sentinel lymph node biopsy (SLNB) given the 5 cm surgical defect (Fig. 17.5) and potential inaccuracy in this situation where the nodal mapping may not be relevant. Additional margins were excised to exclude in transit metastasis and pathology showed no residual melanoma. After consultation with plastic and reconstructive surgery, decision was made to reconstruct the surgical defect with a full thickness skin graft given melanoma upstaging, size of defect, and multiple medical co-morbidities. Following reconstruction, the graft healed well and cranial nerve VII function was preserved. Further lab and imaging workup did not reveal any evidence of regional or systemic disease. In summary, the melanoma was upstaged to Stage IIA disease. The patient continued melanoma follow up every 3–4 months with interval clinical exams and imaging.


Fig. 17.5
5 cm surgical defect on left cheek following staged excision
One year following initial surgical treatment, clinically palpable left cervical lymphadenopathy developed and CT scan of the neck showed two enlarged lymph nodes in the submandibular space suspicious for malignancy. Fine needle aspiration confirmed metastatic melanoma. After a systemic workup with medical oncology showed no other concerning findings, the patient underwent left superficial parotidectomy and left modified radical neck dissection. 0/16 parotid nodes and 2/15 neck nodes were positive for melanoma with extranodal extension. Post-operative adjuvant radiotherapy was performed, and the patient continued clinical followup with medical oncology with interval scans. One year later, an enlarging pulmonary nodule was noted on CT scan and biopsy confirmed metastatic melanoma. He underwent radiofrequency ablation of the pulmonary nodules but ultimately succumbed to metastatic melanoma 2 years later.
Stay updated, free articles. Join our Telegram channel
Full access? Get Clinical Tree





