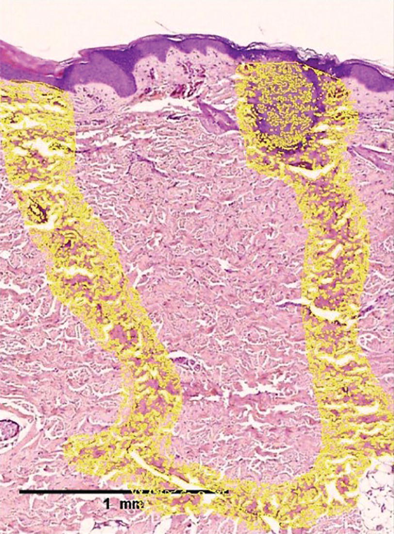
Shaun Wootten and Lawrence A. Rheins Department of Research and Development, Aesthetics Biomedical Inc., Phoenix, AZ, USA It all began with a needle. Orentreich and Orentreich introduced subcision, a new method of correcting depressed scars and wrinkles [1]. They showed that during subcision the target region is raised, in this instance treating a depressed scar, and also forming new connective tissue that is caused by normal wound healing mechanisms. Camirand and Doucet, then took Orentreich’s manual needling concept a step further with the application of an array of needles using a tattoo gun [2]. Fernandes then employed these principles using a dermaroller, composed of an array of needles, for minimally invasive percutaneous collagen induction (PCI) [3]. These discoveries in turn gave rise to microneedling that physicians use in aesthetic medicine today where an array of needles pulsate using a motor with a constant repitition to puncture the skin – coined the “microneedling pen”. Radiofrequency, originally for radio‐wave communication, is a frequency range in the electromagnetic spectrum that is a high frequency alternating current. This current was initially used for electrocautery. Now radiofrequency devices are used for a variety of dermatologic conditions and are found in dermatology, plastic surgery, dental, obstetrics and gynecology, and medical spa offices. These devices have been used to treat several dermatological conditions such as wrinkles, acne scars, enlarged pores, and acne vulgaris [4–7]. Radiofrequency’s main advantage to treat dermatological conditions is that the energy provides deeper penetration into the tissue due to radiofrequency not having chromophore absorption affects or tissue diffraction [8]. The first radiofrequency device approved for wrinkle reduction by the U.S. Food and Drug Admistration (FDA) used monopolar radiofrequency (ThermaCool; Thermage, Hayward, CA, USA). Since then, aesthetic medicine has taken notice on the advantages of radiofrequency over other aesthetic laser modalities. Radiofrequency Microneedling (RFMN) uses bipolar radiofrequency through an array of microneedles to produce a controlled coagulation at a specified dermal depth to induce neoelastogenesis and neocollagenesis. Basil Hantash was the first to publish clinical results on a novel RFMN device in 2009 and with the publication, a plethora of RFMN devices have received clearance through the FDA [9]. Since then RFMN devices have been configured and customized in a variety of ways to differentiate technologies in this predominantly saturated market. In terms of the RFMN microneedles, the needles have been placed in different geometric configurations, the number of needles in the array have been varied, needles have been insulated or non‐insulated to control RF heat dissipation (Figure 54.1), needles have been angled from the standard 90 Figure 54.1 Illustration of radiofrequency dispersion through microneedles: (a) illustration of insulated needle affect and (b) illustration of non‐insulated needle affect. Radiofrequency is delivered in two modalities: monopolar and bipolar. Monopolar radiofrequency involves two poles that are spaced apart, a considerable distance, where one of the poles is usually a negative ground plate and the other pole is usually the applicator plate that establishes the radiofrequency. Monopolar radiofrequency has very little control of what skin layers the user is applying the radiofrequency and thus may cause thermal damage in undesired areas. Bipolar radiofrequency involves two or more active electrodes where one electrode is positive and one is negative where the RF travels from one electrode to the other establishing a target area for the treatment [10, 11]. This bipolar effect, histologically, is seen in Figure 54.2. The main difference between monopolar and bipolar is that monopolar is pole–pole and bipolar is electrode–electrode. Bipolar radiofrequency has an advantage over monopolar where the electrode–electrode configuration affords the use of the opportunity to establish thermal injury in a specific skin layer compared to monopolar modality where less control exists. Figure 54.2 Non‐insulated RFMN effect showing needle to needle communication. Radiofrequency moves through the skin in a 3‐dimensional tissue space incorporating heat phenomana principles: conduction, convection, and radiation. This heat phenomana, in the form of thermal energy, is produced when the current overcomes the impedance of the target tissue [12, 13]. Impedance of the skin is the resistance to the alternating current or radiofrequency in this example. The heat‐induced behavior of the skin depends on several factors such as the maximum temperature that the target tissue reaches, exposure time of the radiofrequency, tissue hydration, and the tissue age. In RFMN, the radiofrequency flows through the needles to the target tissue where the needles are the positive or negative electrodes. The thermal energy from the RFMN device then causes coagulation zones and other forms of thermal stimulation throughout the RFMN treatment area – inducing neoelastogenesis and neocollagenesis. In turn, the treatment area has been found to have increases in collagen I, collagen III, IL‐1β, TNF‐α, MMP‐13, MMP‐1, HSP72, HSP47, and TGF‐β – critical molecules essential for skin repair [9]. A typical patient will receive three [3] treatments of RFMN spaced out four [4] weeks apart. Treatment packages will include a numbing agent, a RFMN treatment, typically a post‐care topical for enhanced healing or anti‐inflammatory to decrease redness. Numbing the patient takes 15–30 minutes depending on the numbing agent; usually numbing cream is used with RFMN treatments. The RFMN treatment takes 20–40 minutes, where treatment time depends on number of passes on the face and how many treatment regions. RFMN treatment packages come in a variety such as a combination of face, neck, and/or décolleté. In some instances, RFMN packages will include the body to treat striae or cellulite. Due to the entire RFMN experience only taking ~1‐hour practices can treat several patients in a day. The average treatment cost for one [1] RFMN treatment in the United States is 750USD and with an average 100USD disposable cost the RFMN treatment offers significant return on investment (ROI) for all levels of practices. Wrinkles are representative of photoaged skin where lines and creases form in the skin. Wrinkle reduction is one of the most common treatments in cosmetic dermatology. There has been a number of ablative and nonablative approaches to wrinkle,and fine lines reduction such as using lasers (CO2, Er:YAG), monopolar radiofrequency, and intense pulse light (IPL). There are advantages and disavantages of both ablative and nonablative approaches. Now with RFMN, the user can fractionate energy directly into the dermis without sparring the epidermis. This results in skin tightening and therefore wrinkle reduction. Only 3 RFMN devices on the market are cleared by the FDA for the percutaneous treatment of facial wrinkles: Vivace Electrosurgical System (SHENB, Co, Ltd.; South Korea), Infini (Lutronic Corporation; South Korea), and Profound System (Syneron Candela Corporation; USA). Figure 54.3 shows a representative before and after of wrinkle reduction by the Vivace Electrosurgical System. Overall, RFMN has showed to be a safe and effective treatment for wrinkles [14]. Figure 54.3 Wrinkle reduction: (a) before and (b) after. Successful treatment of acne scars in adolescents and adults remains an enigma in acne treatment. After inflammatory acne, dermal depressions, acne scarring, may appear on the skin as a result of the destruction of collagen [15]. Chemical peeling, subcision, dermabrasion, fillers, punch techiques, and ablative laser of all showed to improve the appearance of acne scars [16–21
CHAPTER 54
Radiofrequency Microneedling in Cosmetic Dermatology
What is radiofrequency microneedling?
Principles of microneedling
Principles of radiofequency
Principles of radiofrequency microneedling
° , and RF energy has been controlled to target various tissue depths.
Radiofrequency microneedling modalites
Monopolar versus bipolar radiofrequency
Mechanism of action of bipolar radiofrequency in skin
In‐office use of radiofrequency microneedling
Radiofrequency microneedling treatments
Treatment of wrinkles
Treatment of acne scars
![]()
Stay updated, free articles. Join our Telegram channel
Full access? Get Clinical Tree





